How did this patient get as far as an MRI? What were the symptoms?
No egophony or changes in auscultation?
No dullness on lower thorax percussion?
No gas, air fluid lvls on Chest XR?
I'm curious. 
-
-
-
- Još 1 odgovor
Novi razgovor -
-
-


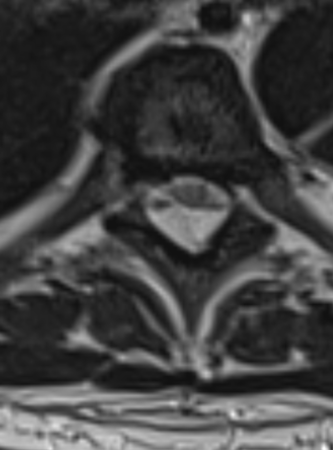
Nice one, but without the axial images, it’s hard to get the dissected aorta.. you wrote there are no herniated disc, so I am wondering what was the reason for getting the enlightening axials 
-
Exactly. Without the axial slices... great chances of missing it. That’s why axial images should span the entire spine when youn don't see nothing (like disc pathology) at the sagittal
- Još 2 druga odgovora
Novi razgovor -
-
-
So vital. Reminds me of the Dr. Atif's African supervisor from US.
Hvala. Twitter će to iskoristiti za poboljšanje vaše vremenske crte. PoništiPoništi
-
Čini se da učitavanje traje već neko vrijeme.
Twitter je možda preopterećen ili ima kratkotrajnih poteškoća u radu. Pokušajte ponovno ili potražite dodatne informacije u odjeljku Status Twittera.
* Examine all the corners
<- always
- Aortic dissection + pleural effusion