Tweetovi
- Tweetovi, trenutna stranica.
- Tweetovi i odgovori
- Medijski sadržaj
Blokirali ste korisnika/cu @skeletalrad
Jeste li sigurni da želite vidjeti te tweetove? Time nećete deblokirati korisnika/cu @skeletalrad
-
Spinal Accessory Neuropathy MRI finding - Edema and atrophy of the Trapezius Muscle. In this particular case, the Sternocleidomastoid Muscle was uninvolved. SAN injury is usually related to prior neck surgery.
#RadRes#MSKRadpic.twitter.com/e26TM3eEHV
Hvala. Twitter će to iskoristiti za poboljšanje vaše vremenske crte. PoništiPoništi -
Hvala. Twitter će to iskoristiti za poboljšanje vaše vremenske crte. PoništiPoništi
-
MSK Rads.... come join our awesome MSK imaging and intervention team!
@UTHealthSA#MSKRadpic.twitter.com/X4B2Hgey1V
Hvala. Twitter će to iskoristiti za poboljšanje vaše vremenske crte. PoništiPoništi -
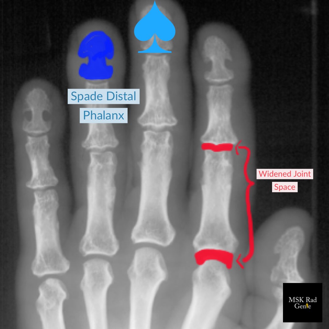
Typical MSK imaging findings in Acromegaly: 1. “Spade” hand distal phalanges 2. Frontal bossing 3. Enlarged sinuses 4. Widened joint spaces 5. Thickened heel fat pad (>2.5cm)
#RadRes#MSKRadpic.twitter.com/R3uLKomBnb
Hvala. Twitter će to iskoristiti za poboljšanje vaše vremenske crte. PoništiPoništi -
Overall female applicants opinion regarding
under representation in radiology. Due to the erroneous perception that radiology offers limited patient interaction; because women more often unconsciously prioritize the human nurturing aspect of medicine when compared to men.pic.twitter.com/lvZCx7YDLD
Hvala. Twitter će to iskoristiti za poboljšanje vaše vremenske crte. PoništiPoništi -
Not all air within the bone is caused by infection, although that was the case in this diabetic patient with early necrotizing fasciitis and emphysematous osteomyelitis.
#RadRes#MSKRadpic.twitter.com/ydnxzHnn3P
Hvala. Twitter će to iskoristiti za poboljšanje vaše vremenske crte. PoništiPoništi -
I’m a radiologist because it’s a very important profession. If you don’t believe me, ask a kid!
#kidtalk#radiology#vippic.twitter.com/CgfsRlzIstHvala. Twitter će to iskoristiti za poboljšanje vaše vremenske crte. PoništiPoništi -
I was challenged by
@MandyChe14 and@vallesamuel2 for the#7PhotosOfMyLife challenge Rules: no people, no explanations. Challenge one new person each day (dogs don’t count right?)
Today is day 1 and I challenge @samopaduapic.twitter.com/p1Bi7hBZTgHvala. Twitter će to iskoristiti za poboljšanje vaše vremenske crte. PoništiPoništi -
Kienböck’s - Assoc. to repetitive trauma & ulnar negative variance. Stage 0 & 1 seen only on MRI - conservative trt. Stage 2 is early sclerosis & edema - surgical treatment. Stage 3 & 4 is fragmentation, collapse and involvement of adjacent structures - fusion.
#RadRes#MSKRadpic.twitter.com/Yyfl4jGQkj
Hvala. Twitter će to iskoristiti za poboljšanje vaše vremenske crte. PoništiPoništi -
Deforming Non-Erosive Arthropathy.
#RadRes#medtwitter#mskradpic.twitter.com/WeaWYN9Y4o
Hvala. Twitter će to iskoristiti za poboljšanje vaše vremenske crte. PoništiPoništi -
TMJ MRI - open mouth. 1. Articular disc is dislocated anteriorly and does not reduce 2. Articular disc shows an abnormal morphology (loss of biconcave configuration)
#RadRes#MSKRadpic.twitter.com/ZqFI5Gxbdi
Hvala. Twitter će to iskoristiti za poboljšanje vaše vremenske crte. PoništiPoništi -
Ankylosing Spondylitis Buzz Words.
#RadRes Education.pic.twitter.com/SnidAuHIw6Hvala. Twitter će to iskoristiti za poboljšanje vaše vremenske crte. PoništiPoništi -
Hvala. Twitter će to iskoristiti za poboljšanje vaše vremenske crte. PoništiPoništi
-
#radres education - Metallosis, also known as pseudotumor and usually co-existing with particle disease (osteolysis).pic.twitter.com/kq5bnAxFYs
Hvala. Twitter će to iskoristiti za poboljšanje vaše vremenske crte. PoništiPoništi -
The Best Christmas Gift for an
#MSKRad and Chef wannabe!pic.twitter.com/lS4hQz9p5H
Hvala. Twitter će to iskoristiti za poboljšanje vaše vremenske crte. PoništiPoništi -
Ganglion Impar (GI) Block! GI is the end of the sympathetic chain, located within the extra peritoneal pre-sacral space at the level of the sacrococcygeal junction. Blocked usually with alcohol to treat coccydinia, vulvodynia and perianal pain.
#MSKRad#RadRes#educacionpic.twitter.com/3cTehwBGBa
Hvala. Twitter će to iskoristiti za poboljšanje vaše vremenske crte. PoništiPoništi -
The Floating Meniscus! Torn meniscocapsular ligaments (meniscofemoral and meniscotibial/coronary). Avulsed posterior root of the lateral meniscus.
#mskrad@UTHealthSApic.twitter.com/gIREyMRS8f
Hvala. Twitter će to iskoristiti za poboljšanje vaše vremenske crte. PoništiPoništi -
#RadRes time management Pearl! Rather than MAKING time for self care and relaxation, ORGANIZE your time wisely so it’s a core part of your daily routine. Making time requires constant mental energy, which can add up to burnout and frustration.#selfcare@UTHealthSAHvala. Twitter će to iskoristiti za poboljšanje vaše vremenske crte. PoništiPoništi -
Done with 75% of
#RadRes Interviews. Most common question: Do you foresee any big changes in your residency? Most common hobby: Hiking, family time. ALL LOR: without hesitations. My wish: That my own underwhelming residency application is now a recycled grocery bag.Hvala. Twitter će to iskoristiti za poboljšanje vaše vremenske crte. PoništiPoništi -
Hello
@boricuarad !!! A group of Puerto Rican radiologists! Please Follow
#BoricuaRad@SocradPR@soradrcmHvala. Twitter će to iskoristiti za poboljšanje vaše vremenske crte. PoništiPoništi
Čini se da učitavanje traje već neko vrijeme.
Twitter je možda preopterećen ili ima kratkotrajnih poteškoća u radu. Pokušajte ponovno ili potražite dodatne informacije u odjeljku Status Twittera.