টুইট
- টুইট, বর্তমান পৃষ্ঠা।
- টুইট এবং উত্তর
- মিডিয়া
আপনি @radiology_rsna-কে ব্লক করেছেন
আপনি কি এই টুইটগুলি দেখতে চাওয়ার বিষয়ে নিশ্চিত? টুইটগুলি দেখা হলে @radiology_rsna অবরোধ মুক্ত হবে না।
-
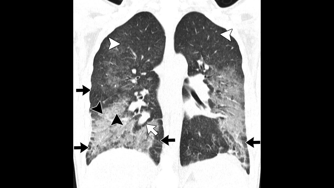
What are the CT characteristics of T790M mutation--positive non--small cell lung cancer after tyrosine kinase inhibitor therapy failure? Find out in this article by Koo et al.pic.twitter.com/CEw1GK4Ku0
ধন্যবাদ। আপনার সময়রেখাকে আরো ভালো করে তুলতে টুইটার এটিকে ব্যবহার করবে। পূর্বাবস্থায়পূর্বাবস্থায় -
Sinitsyn reviews the work of Ohta et al to determine whether dual-energy CT with late iodine enhancement can be used as an alternative to LGE MRI. http://ow.ly/dnDx30kWCIU
ধন্যবাদ। আপনার সময়রেখাকে আরো ভালো করে তুলতে টুইটার এটিকে ব্যবহার করবে। পূর্বাবস্থায়পূর্বাবস্থায় -
In this targeted editorial, Albert de Roos reviews the research by Takagi et al https://pubs.rsna.org/doi/10.1148/radiol.2018172076 … and discusses the value of cardiac imaging by using CT and MRI after radiation therapy. http://ow.ly/Qnvp30kWCFR
ধন্যবাদ। আপনার সময়রেখাকে আরো ভালো করে তুলতে টুইটার এটিকে ব্যবহার করবে। পূর্বাবস্থায়পূর্বাবস্থায় -
Can superior hypogastric nerve block reduce the amount of pain-related narcotics after UAE? Yoon et al share their findings in this issue of Radiology. http://ow.ly/fmkZ30kUomg pic.twitter.com/RUWJzmu04F
ধন্যবাদ। আপনার সময়রেখাকে আরো ভালো করে তুলতে টুইটার এটিকে ব্যবহার করবে। পূর্বাবস্থায়পূর্বাবস্থায় -
In this targeted editorial, Black reviews the work of Kavanagh et al https://doi.org/10.1148/radiol.2018180053 … and discusses the importance of individualized decision making for lung cancer screening. http://ow.ly/BWIa30kUocH
ধন্যবাদ। আপনার সময়রেখাকে আরো ভালো করে তুলতে টুইটার এটিকে ব্যবহার করবে। পূর্বাবস্থায়পূর্বাবস্থায় -
Looking for an effective, minimally invasive approach for the treatment of obesity? Bariatric embolization with smaller microspheres may be just the thing. http://ow.ly/J82o30kUo7U pic.twitter.com/HPIJdrF1ZR
ধন্যবাদ। আপনার সময়রেখাকে আরো ভালো করে তুলতে টুইটার এটিকে ব্যবহার করবে। পূর্বাবস্থায়পূর্বাবস্থায় -
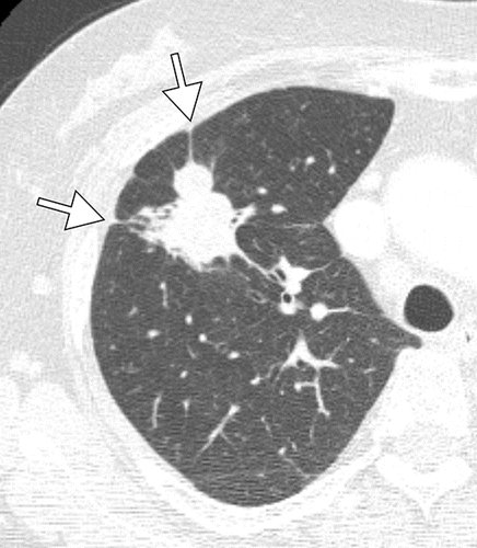
Jin Mo Goo reviews the research of Schreuder et al and asks, "Does juxtapleural or perifissural location mean that a lung nodule is benign?" http://ow.ly/PuOT30kPL8o
ধন্যবাদ। আপনার সময়রেখাকে আরো ভালো করে তুলতে টুইটার এটিকে ব্যবহার করবে। পূর্বাবস্থায়পূর্বাবস্থায় -
Johns et al assess interventricular septal angle in identification of combined per- and postcapilary pulmonary hypertension in patients with pulmonary hypertension due to left heart disease. http://ow.ly/XfLp30kPLi4 pic.twitter.com/NmmCIR523j
ধন্যবাদ। আপনার সময়রেখাকে আরো ভালো করে তুলতে টুইটার এটিকে ব্যবহার করবে। পূর্বাবস্থায়পূর্বাবস্থায় -
Thermal ablation and nephrectomy yielded comparable 5-year survival in patients over age 65 years with Stage 1A renal cell carcinoma. http://ow.ly/mb1830kMEYg pic.twitter.com/ObrhaPYvem
ধন্যবাদ। আপনার সময়রেখাকে আরো ভালো করে তুলতে টুইটার এটিকে ব্যবহার করবে। পূর্বাবস্থায়পূর্বাবস্থায় -
In patients evaluated for coronary artery disease, hybrid SPECT perfusion imaging/coronary CT angiography is an excellent long-term predictor of adverse cardiac events, with matched hybrid findings associated with a high annual cardiac event rate. http://ow.ly/i7ZR30kMEvW pic.twitter.com/4FMknEpELq
ধন্যবাদ। আপনার সময়রেখাকে আরো ভালো করে তুলতে টুইটার এটিকে ব্যবহার করবে। পূর্বাবস্থায়পূর্বাবস্থায় -
CT is a challenge in overweight patients. Find out how CT imaging performance of a TaCZ CT contrast agent compares with that of a conventional iodinated contrast agent in this experimental study. http://ow.ly/ZOL830kMEgq pic.twitter.com/0nrBphYhX8
ধন্যবাদ। আপনার সময়রেখাকে আরো ভালো করে তুলতে টুইটার এটিকে ব্যবহার করবে। পূর্বাবস্থায়পূর্বাবস্থায় -
Choy, et al. review examples of current applications of machine learning and artificial intelligence techniques in diagnostic radiology and their future impact in radiology practice
#RadAI#MachineLearning http://ow.ly/PfKD30kLsz0 pic.twitter.com/QRVxbC7D4A
ধন্যবাদ। আপনার সময়রেখাকে আরো ভালো করে তুলতে টুইটার এটিকে ব্যবহার করবে। পূর্বাবস্থায়পূর্বাবস্থায় -
Be a part of radiology's history and its future. Submissions are now being accepted for Radiology: Artificial Intelligence, the first of 3 new RSNA journals. Submit your manuscript today!
#RadAI http://ow.ly/Rkol30kLf0f pic.twitter.com/mFBtIhHQMQ
ধন্যবাদ। আপনার সময়রেখাকে আরো ভালো করে তুলতে টুইটার এটিকে ব্যবহার করবে। পূর্বাবস্থায়পূর্বাবস্থায় -
Luetkens and Klein et al find that extracellular volume fraction may be valuable for the detection and quantification of diffuse liver fibrosis in patients with chronic liver disease in this issue of Radiology. https://bit.ly/2Ko8a4o
#AbRadpic.twitter.com/Pf0oONGVmN
ধন্যবাদ। আপনার সময়রেখাকে আরো ভালো করে তুলতে টুইটার এটিকে ব্যবহার করবে। পূর্বাবস্থায়পূর্বাবস্থায় -
Radiology পুনঃ টুইট করেছেন
Listen to Issue Summary 2: June 2018 from Radiology Podcasts | RSNA in Podcasts. iTunes: https://apple.co/2tEyIos Google Play: http://bit.do/eokcT
#radiologypic.twitter.com/cfqzn0GSah
ধন্যবাদ। আপনার সময়রেখাকে আরো ভালো করে তুলতে টুইটার এটিকে ব্যবহার করবে। পূর্বাবস্থায়পূর্বাবস্থায় -
Ferumoxytol-based quantitative blood oxygenation level–dependent MRI can potentially be used as a noninvasive surrogate for oxygenation mapping in infiltrative astrocytomas. Discover more in the latest issue of Radiology. https://bit.ly/2MWZEI6
#NeuroRadpic.twitter.com/JHrfWhmJGK
ধন্যবাদ। আপনার সময়রেখাকে আরো ভালো করে তুলতে টুইটার এটিকে ব্যবহার করবে। পূর্বাবস্থায়পূর্বাবস্থায় -
Screening examinations of women with dense breasts classified with automated software resulted in higher recall and biopsy rates and higher odds of breast cancers compared with women with nondense breasts. https://bit.ly/2twL7ux
#breastimagingpic.twitter.com/uliKlI8LWI
ধন্যবাদ। আপনার সময়রেখাকে আরো ভালো করে তুলতে টুইটার এটিকে ব্যবহার করবে। পূর্বাবস্থায়পূর্বাবস্থায় -
Listen to the Dr. Bluemke's 2nd audio podcast of the month as he discusses 5 new research articles from the June issue. https://bit.ly/2IC8kS2
#radiologypic.twitter.com/NEu35OpcZy
ধন্যবাদ। আপনার সময়রেখাকে আরো ভালো করে তুলতে টুইটার এটিকে ব্যবহার করবে। পূর্বাবস্থায়পূর্বাবস্থায় -
Notice anything different? If you've received your July print issue already, check out the newly redesigned print format and let us know what you think! https://bit.ly/2IC8kS2
#radiologypic.twitter.com/8pBmaZoZfJ
ধন্যবাদ। আপনার সময়রেখাকে আরো ভালো করে তুলতে টুইটার এটিকে ব্যবহার করবে। পূর্বাবস্থায়পূর্বাবস্থায় -
The July issue of Radiology is now online! Check out the latest cutting edge and impactful imaging research in radiology and medical imaging. https://bit.ly/2qHFWpu
#radiologypic.twitter.com/isX3jgqPDV
ধন্যবাদ। আপনার সময়রেখাকে আরো ভালো করে তুলতে টুইটার এটিকে ব্যবহার করবে। পূর্বাবস্থায়পূর্বাবস্থায়
লোড হতে বেশ কিছুক্ষণ সময় নিচ্ছে।
টুইটার তার ক্ষমতার বাইরে চলে গেছে বা কোনো সাময়িক সমস্যার সম্মুখীন হয়েছে আবার চেষ্টা করুন বা আরও তথ্যের জন্য টুইটারের স্থিতি দেখুন।