Tweetovi
- Tweetovi, trenutna stranica.
- Tweetovi i odgovori
- Medijski sadržaj
Blokirali ste korisnika/cu @neuroangio1
Jeste li sigurni da želite vidjeti te tweetove? Time nećete deblokirati korisnika/cu @neuroangio1
-
Neuroangio proslijedio/la je Tweet
#FOAMed_NIR 33: MCA is truly the simplest of cerebral artery to understand in terms of anatomy. What's more important is learning the cortical functions of the areas supplied by MCA. Learning@neuroangio1#stroke#neurology#neurosurgery#neuroIRpic.twitter.com/JJVNzJmCPW
Hvala. Twitter će to iskoristiti za poboljšanje vaše vremenske crte. PoništiPoništi -
Neuroangio proslijedio/la je Tweet
#FOAMed_NIR 29: Learning collateral dynamics is essential to understand the pathophysiology of ischemic stroke. Learning@neuroangio1#stroke#neurology#neurosurgery#neuroIR http://neuroangio.org/neuroangio-topics/intracranial-collateral-pathways/ …pic.twitter.com/DtZnxTXWVY
Hvala. Twitter će to iskoristiti za poboljšanje vaše vremenske crte. PoništiPoništi -
http://neuroangio.org website has logged in more than 3 million views. Not bad for a
#sponsorfree website dedicated to#neuroIR#education@nyulangone@NYULangoneBK@BellevueHosppic.twitter.com/IueQzBnyiK
Hvala. Twitter će to iskoristiti za poboljšanje vaše vremenske crte. PoništiPoništi -
Neuroangio proslijedio/la je Tweet
Day 21: No study of anatomy is complete without learning the embryology.
@neuroangio1#stroke#neurology#neurosurgery#neuroIR "If you don't know where you've come from, you don't know where you're going" -@DrMayaAngeloupic.twitter.com/bXfzlNL5pE
Hvala. Twitter će to iskoristiti za poboljšanje vaše vremenske crte. PoništiPoništi -
Neuroangio proslijedio/la je Tweet
Day 20: And finally the bridging veins (Matsushima, T 2015 et al).... Next stop venous sinuses
@neuroangio1#stroke#neurology#neuroIR#neurosurgerypic.twitter.com/FGbb6R5AMf
Hvala. Twitter će to iskoristiti za poboljšanje vaše vremenske crte. PoništiPoništi -
Neuroangio proslijedio/la je Tweet
Day 18: Everything now is starting to make sense.
@neuroangio1#neuroanatomy#neurosurgery#neurology#neuroIR Can't wait to learn about the beauty of bridging veins next...pic.twitter.com/cTNNeRE8Jg
Hvala. Twitter će to iskoristiti za poboljšanje vaše vremenske crte. PoništiPoništi -
Neuroangio proslijedio/la je Tweet
Great job
@DanMeila#abcwin2020@valdisere presenting on distal aspiration thrombectomy with 027 microcatheters@Distal_Grouppic.twitter.com/isc8NA7Q4x
Hvala. Twitter će to iskoristiti za poboljšanje vaše vremenske crte. PoništiPoništi -
Great job
@DanMeila#abcwin2020@valdisere presenting on distal aspiration thrombectomy with 027 microcatheters@Distal_Grouppic.twitter.com/isc8NA7Q4x
Hvala. Twitter će to iskoristiti za poboljšanje vaše vremenske crte. PoništiPoništi -
Small
#carotidplaque can cause big strokes…% stenosis is not the whole story. Two sequential strokes with plaque getting larger but still remaining <50% stenosis. See full case: https://bit.ly/30oXV5x pic.twitter.com/JC5yOiNIPS
Hvala. Twitter će to iskoristiti za poboljšanje vaše vremenske crte. PoništiPoništi -
Neuroangio proslijedio/la je Tweet
Beautiful

#ascendingpharyngeal with its “dangerous”
anastomoses. Look at carotid branch coursing in the #foramenlacerum!@youngNIR@neuroangio1#radres#BANANA2020pic.twitter.com/aiBUINQYC9
Hvala. Twitter će to iskoristiti za poboljšanje vaše vremenske crte. PoništiPoništi -
Neuroangio proslijedio/la je Tweet
Day 9: I am getting this sentence tattooed tomorrow
Learning at http://neuroangio.org
#stroke#neuroanatomy@neuroangio1pic.twitter.com/WLmvcPiQGQ
Hvala. Twitter će to iskoristiti za poboljšanje vaše vremenske crte. PoništiPoništi -
Neuroangio proslijedio/la je Tweet
Day 4: Duplicated PICA, duplicated vision... learning at http://neuroangio.org ... my wife caught me staring crossed eyed, she thought I was being weird
@neuroangio1#NeuroIR#stroke#neuroendovascularpic.twitter.com/Ya7qNv2CYO
Hvala. Twitter će to iskoristiti za poboljšanje vaše vremenske crte. PoništiPoništi -
Neuroangio proslijedio/la je Tweet
My pica for PICA continues...Day 2 of learning at http://neuroangio.org I wonder if NY Subway was based on this
@neuroangio1 ?#NeuroIR#stroke@YoungNIRpic.twitter.com/jaUVN2TkCz
Hvala. Twitter će to iskoristiti za poboljšanje vaše vremenske crte. PoništiPoništi -
Neuroangio proslijedio/la je Tweet
The beauty of anatomy never ceases to amaze me! PICA is my new favorite artery now
#NeuroIR#stroke#BANANA2020@neuroangio1pic.twitter.com/xn2cZmKQhr
Prikaži ovu nitHvala. Twitter će to iskoristiti za poboljšanje vaše vremenske crte. PoništiPoništi -
Neuroangio proslijedio/la je Tweet
Check out this interesting anatomy in an acute basilar stroke case with chronic left CCA occlusion http://neuroangio.org/sample-page/case-archives/a-case-of-even-more-critical-basilar-occlusion/ …
@BCMNeurosurgery@DrPJKaras@neuroangio1Hvala. Twitter će to iskoristiti za poboljšanje vaše vremenske crte. PoništiPoništi -
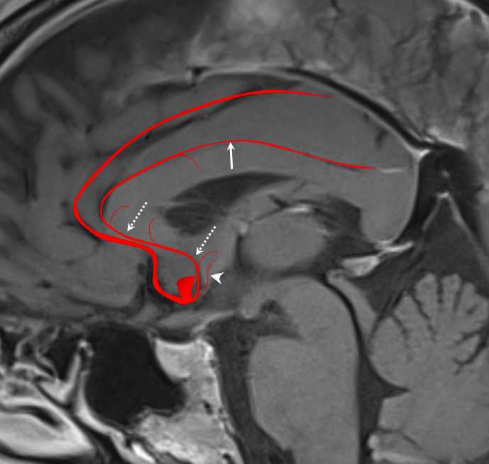
Subcallosal artery - important vessel usually of the
#ACOM region.#Hypothalamus#fornix#corpuscallosum can be injured if this artery is damaged-

from ACOM clipping 
Can be small and invisible on CTA, MRA or even global DSA @eytanraz@ClaireSchwegel@nyulangonepic.twitter.com/2CuMV9iYA8
Hvala. Twitter će to iskoristiti za poboljšanje vaše vremenske crte. PoništiPoništi -
Neuroangio proslijedio/la je Tweet
Kudos to my superstar
4th year #radres who recognized this as#AChoA supplying part of#PCA territory rather than an enlarged#PCOM#BANANA2020@nyulangone@NYULangoneBK@neuroangio1pic.twitter.com/EUZFar5wbM
Hvala. Twitter će to iskoristiti za poboljšanje vaše vremenske crte. PoništiPoništi -
Neuroangio proslijedio/la je Tweet
Great lineup at
#emboclub#NYC last night Representing@MountSinaiCVC with@MajidiShahram@TShigematsuMD@johannatfifi@rdeleacymd Thanks to@CERENOVUS_HQ for the support and great foodpic.twitter.com/cKEOjxP8MJ – mjesto: Zuma New York
Hvala. Twitter će to iskoristiti za poboljšanje vaše vremenske crte. PoništiPoništi -
Neuroangio proslijedio/la je Tweet
A Complex Case of Ruptured Dissecting Aneurysm of the PICA: Endovascular reconstruction with Silk Vista Baby Device in
@Hospital_FJD@BaltSpain@PedroJRuiz65@EscartinLopez@mariajesus_gar@G_Mon_Her@JNIS_BMJ@NeuroRadialist@neuroangio1@NeurosurgeryCNS@StrokeAi@Dr_CRdguezpic.twitter.com/5Bh1EciZOIHvala. Twitter će to iskoristiti za poboljšanje vaše vremenske crte. PoništiPoništi -
Neuroangio proslijedio/la je Tweet
@YoungNir now we need to work on the next step about making sure Endovascular fellows are able to attendhttps://twitter.com/neuroangio1/status/1195720663258075142 …
Hvala. Twitter će to iskoristiti za poboljšanje vaše vremenske crte. PoništiPoništi
Čini se da učitavanje traje već neko vrijeme.
Twitter je možda preopterećen ili ima kratkotrajnih poteškoća u radu. Pokušajte ponovno ili potražite dodatne informacije u odjeljku Status Twittera.