And I spent a lot of time testing different solutions to essentially “dissolve” the bacterial nets with the hope that then your immune system can break through and kill bacteria more effectively.
-
-
Prikaži ovu nit
-
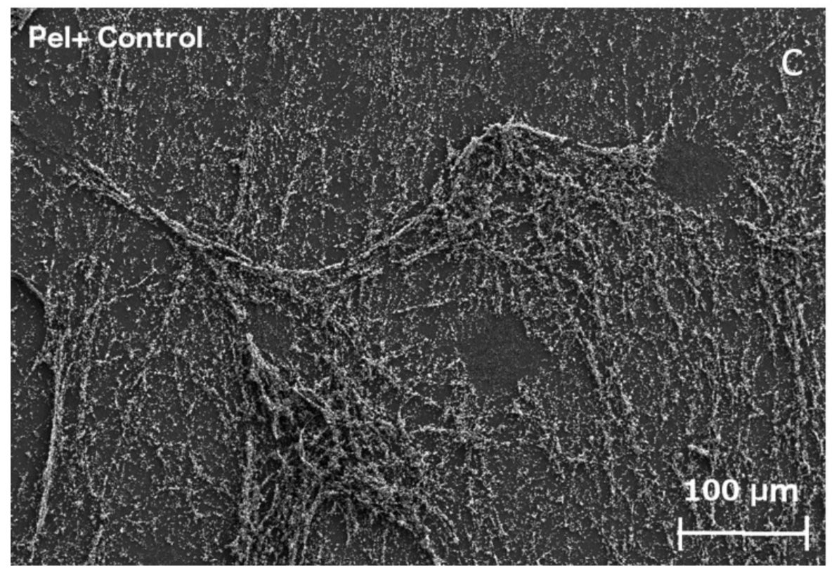
I’m excited because look at these cool images I got of bacteria embedded in the nets that THEY THEMSELVES actually made! The bacteria are the lil cylindrical rods and the nets are those strings between them. The nets are actually a web of sugar!
Prikaži ovu nit -
In the zoomed in image you can see the net and bacteria pretty clearly, and on the zoomed out image, you can see that these structures can actually get quite large (100s of micrometers!) and span over huge lengths compared to the size of a lil bacteria (~1 micrometer)
.pic.twitter.com/JdXX62MQIP
Prikaži ovu nit -
These are pseudomonas aeruginosa, which are an opportunistic human pathogen, meaning they infect people who are already sick. It’s a big problem in hospitals and for folks w/
#cysticfibrosis. Anything we can use to make current treatments/host immune system more effective is BIG.Prikaži ovu nit -
Novi razgovor -
Čini se da učitavanje traje već neko vrijeme.
Twitter je možda preopterećen ili ima kratkotrajnih poteškoća u radu. Pokušajte ponovno ili potražite dodatne informacije u odjeljku Status Twittera.


