Tweetovi
- Tweetovi, trenutna stranica.
- Tweetovi i odgovori
- Medijski sadržaj
Blokirali ste korisnika/cu @kjgeras
Jeste li sigurni da želite vidjeti te tweetove? Time nećete deblokirati korisnika/cu @kjgeras
-
Prikvačeni tweet
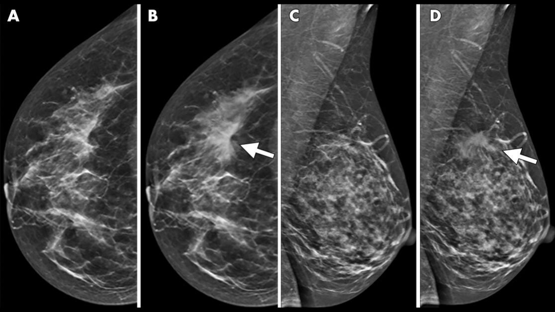
Great news! Our paper "Deep Neural Networks Improve Radiologists' Performance in Breast Cancer Screening" has been published at
@IEEE_TMI! This marks the end of a 3-year long endeavor, at@NYUDataScience and@cai2r, to demonstrate the potential of CNNs on this task. (1/8)pic.twitter.com/ZOGSI2drwe
Prikaži ovu nitHvala. Twitter će to iskoristiti za poboljšanje vaše vremenske crte. PoništiPoništi -
Krzysztof Geras proslijedio/la je Tweet
Come work with us as an intern on
#DeepLearning and#ProgramSynthesis at@GoogleAI! We have exciting research, a great team, and a very cute dog!https://twitter.com/gstsdn/status/1224384345630105600 …
Hvala. Twitter će to iskoristiti za poboljšanje vaše vremenske crte. PoništiPoništi -
Krzysztof Geras proslijedio/la je Tweet
fastMRI: A Publicly Available k-Space and DICOM Dataset of Knee MRI Images for Accelerated Image Reconstruction Using
#MachineLearning. https://buff.ly/2u0gdOL@cai2r#RSNAI#RADAIpic.twitter.com/GdY6mfthuh
Hvala. Twitter će to iskoristiti za poboljšanje vaše vremenske crte. PoništiPoništi -
Krzysztof Geras proslijedio/la je Tweet
Picard management tip: If you never fail, you aren't going boldly enough.
Hvala. Twitter će to iskoristiti za poboljšanje vaše vremenske crte. PoništiPoništi -
Krzysztof Geras proslijedio/la je Tweet
This month in NYU research news you can use:
How AI can help detect breast cancer
What sea slugs can teach us about food comas and long-term memory
Which phone games are actually good for your brain
Learn more on this episode of "Brainiacs":http://spr.ly/60171dL0l Hvala. Twitter će to iskoristiti za poboljšanje vaše vremenske crte. PoništiPoništi -
Hvala. Twitter će to iskoristiti za poboljšanje vaše vremenske crte. PoništiPoništi
-
A very nice video about our work on deep learning for breast cancer screening by
@nyuniversity and@Sapna_Parikh!https://www.youtube.com/watch?v=urJ7QEdhP_U …Prikaži ovu nitHvala. Twitter će to iskoristiti za poboljšanje vaše vremenske crte. PoništiPoništi -
Krzysztof Geras proslijedio/la je Tweet
Announcing new medical imaging dataset for an important clinical use case - and our first for ultrasound/ cardiac echo. Hope this release will help ML researchers engage in medical applications and improve diagnostics for patients worldwide. More to come in 2020
https://twitter.com/StanfordAIMI/status/1220295812657205248 …Hvala. Twitter će to iskoristiti za poboljšanje vaše vremenske crte. PoništiPoništi -
Krzysztof Geras proslijedio/la je Tweet
#MIDL2020 will have a special issue in MELBA (The Journal of Machine Learning for Biomedical Imaging), a new, web-based open-access journal for medical imaging. The best papers of the conference will be invited to submit an extended version of their work there!https://twitter.com/MELBAJournal/status/1218218196014174213 …Hvala. Twitter će to iskoristiti za poboljšanje vaše vremenske crte. PoništiPoništi -
Krzysztof Geras proslijedio/la je Tweet
Cows make milk. They milk themselves. Other cows check the milk (for free). Cows - get this - PAY THE FARMER to take the milk away. Then the farmer (you won't believe this, honestly) sells the milk *back to the cows.*
#academicpublishinghttps://twitter.com/DevilleSy/status/1216428583624855552 …Prikaži ovu nitHvala. Twitter će to iskoristiti za poboljšanje vaše vremenske crte. PoništiPoništi -
Ultimately, we should remember what the final goal of our research is, which is to decrease the effect that breast cancer has on millions of women and their families. We have an obligation to work towards this goal as a team. 10/N
Prikaži ovu nitHvala. Twitter će to iskoristiti za poboljšanje vaše vremenske crte. PoništiPoništi -
Finally, breast cancer screening is the first step. There are fascinating challenges ahead: explainability, robustness, utilizing other imaging modalities, longer-term diagnosis, prognosis, discovery of new biomarkers… There is work to be done by many groups for years. 9/N
Prikaži ovu nitHvala. Twitter će to iskoristiti za poboljšanje vaše vremenske crte. PoništiPoništi -
Ours and Google’s work on breast cancer screening is just the beginning. We both have shown that there is a potential of using neural networks in this context, but neither of the papers are showing any prospective evaluation in a clinically realistic setting. 8/N
Prikaži ovu nitHvala. Twitter će to iskoristiti za poboljšanje vaše vremenske crte. PoništiPoništi -
Our code and the weights of trained networks are publicly available for that reason. I hope that sharing the code will become a standard in the future. I believe that journals, especially the big ones, should require it. https://github.com/nyukat/breast_cancer_classifier … 7/N
Prikaži ovu nitHvala. Twitter će to iskoristiti za poboljšanje vaše vremenske crte. PoništiPoništi -
The greatest shortcoming of G’s paper is the lack of publicly available code reproducing their results. It’s very hard for anyone to build upon their work without it, especially for smaller groups that could potentially also contribute to the progress of the field. 6/N
Prikaži ovu nitHvala. Twitter će to iskoristiti za poboljšanje vaše vremenske crte. PoništiPoništi -
I believe when multiple groups show similar results with similar methods, it’s a good thing. It co-validates our approaches and it’s showing that the toolbox that we use (in this case, deep neural networks) is robust and works in different scenarios. 5/N
Prikaži ovu nitHvala. Twitter će to iskoristiti za poboljšanje vaše vremenske crte. PoništiPoništi -
Having said that, the strength of G’s paper is in careful analysis of the results. I appreciate that. We will use some of their ideas for evaluations in future papers. Our paper also has extensive evaluations, but the methods are its more important part. 4/N
Prikaži ovu nitHvala. Twitter će to iskoristiti za poboljšanje vaše vremenske crte. PoništiPoništi -
“Novelty” is difficult to quantify. There are already multiple papers that show similar results. Some of them even precede ours. You can find many examples in the “related work” section of our paper or in a review that we wrote around the same time. https://twitter.com/radiology_rsna/status/1177583797287755778 … 3/N
Prikaži ovu nitHvala. Twitter će to iskoristiti za poboljšanje vaše vremenske crte. PoništiPoništi -
First of all, I would like to congratulate the authors of that paper for its acceptance and the attention it got. Overall, I think it’s an excellent paper. https://www.nature.com/articles/s41586-019-1799-6 … 2/N
Prikaži ovu nitHvala. Twitter će to iskoristiti za poboljšanje vaše vremenske crte. PoništiPoništi -
Today there was a lot of discussion regarding the novelty of Google’s new paper on using AI for breast cancer screening in comparison to our earlier work (in the tweet below). Let me offer my take on this. https://twitter.com/kjgeras/status/1185002150360948737 … 1/N
Prikaži ovu nitHvala. Twitter će to iskoristiti za poboljšanje vaše vremenske crte. PoništiPoništi -
Krzysztof Geras proslijedio/la je Tweet
Decisions released
Congratulations to accepted papers; to those who we could not accommodate, we wish you success in your ongoing research. See our blog for the first of our reflections. See you soon in Ethiopia. #ICLR2020#OurHatata
https://link.medium.com/ysHgHxoLy2 Hvala. Twitter će to iskoristiti za poboljšanje vaše vremenske crte. PoništiPoništi
Čini se da učitavanje traje već neko vrijeme.
Twitter je možda preopterećen ili ima kratkotrajnih poteškoća u radu. Pokušajte ponovno ili potražite dodatne informacije u odjeljku Status Twittera.