Tweetovi
- Tweetovi, trenutna stranica.
- Tweetovi i odgovori
- Medijski sadržaj
Blokirali ste korisnika/cu @jonty3_awal
Jeste li sigurni da želite vidjeti te tweetove? Time nećete deblokirati korisnika/cu @jonty3_awal
-
Sandeep Awal, MD, DNB proslijedio/la je Tweet
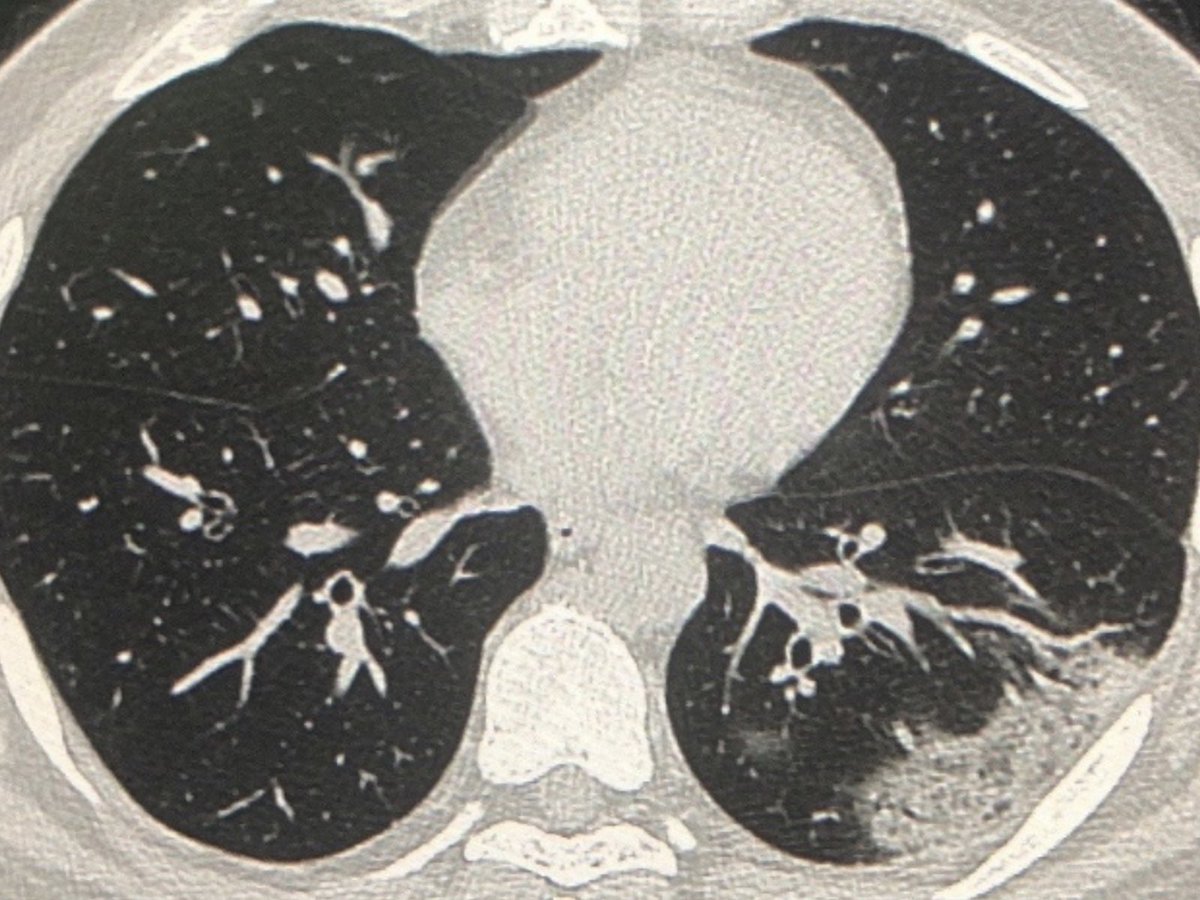
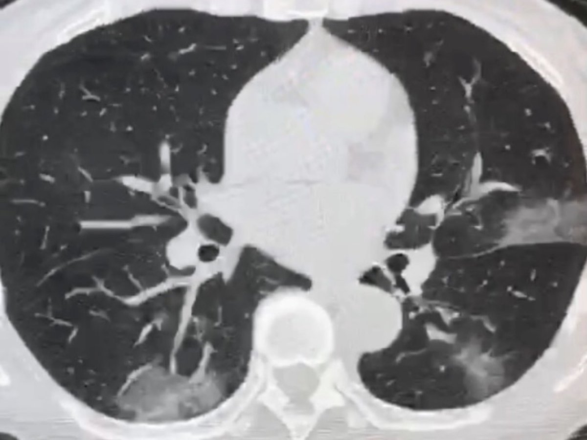
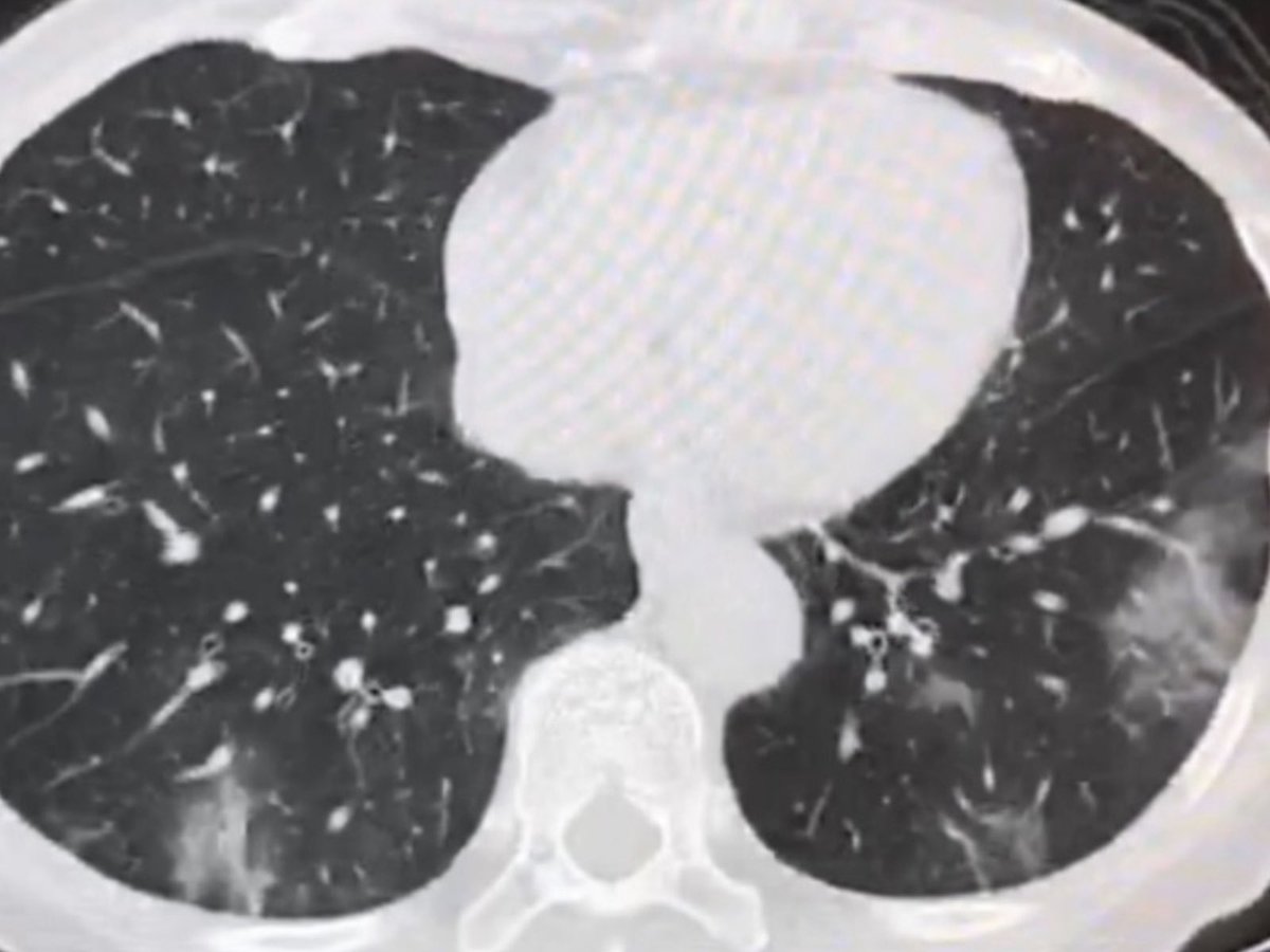
Pneumonia Associated with 2019-nCoV
CT Findings: Bilateral patchy GGOs w/ peripheral & lower lobe predominance → consolidation & ARDS features in severe cases. Lymphadenopathy & pleural effusion uncommon. CXR may be unreliable in early phase.
https://thoracicrad.org/wp-content/uploads/2020/02/STR-Alert-Coronavirus-2.3.2020.pdf …pic.twitter.com/VrprB2msdz
Hvala. Twitter će to iskoristiti za poboljšanje vaše vremenske crte. PoništiPoništi -
Sandeep Awal, MD, DNB proslijedio/la je TweetHvala. Twitter će to iskoristiti za poboljšanje vaše vremenske crte. PoništiPoništi
-
Sandeep Awal, MD, DNB proslijedio/la je Tweet
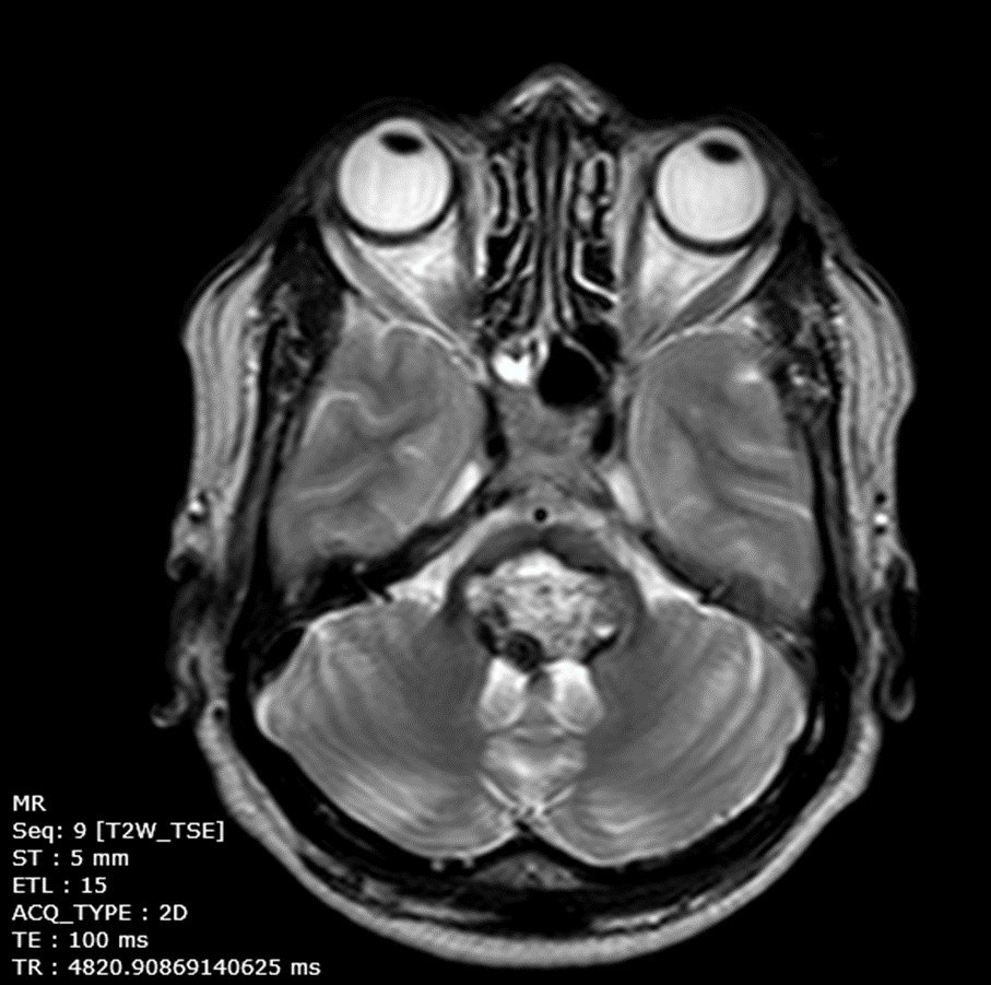
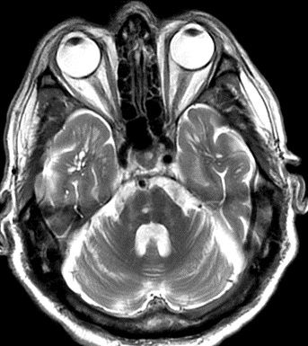
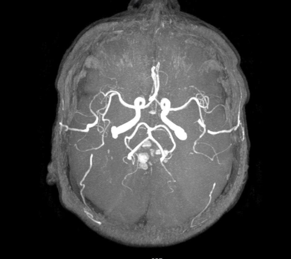
A 62-year-old man presents with a history of progressive gait and limb ataxia and scanning dysarthria with mild cogwheeling. A brain MRI scan was performed. Can you solve this
#radiology case? http://bit.ly/2UsuE8W pic.twitter.com/hMAQN3ZTqs
Hvala. Twitter će to iskoristiti za poboljšanje vaše vremenske crte. PoništiPoništi -
Hvala. Twitter će to iskoristiti za poboljšanje vaše vremenske crte. PoništiPoništi
-
Thyroglossal duct cysts are most commonly found in the Infrahyoid region (45%) in midline (~70%) and are the 2nd most common benign neck mass after lymphadenopathy.They are associated with ectopic thyroid in 40% cases. The accepted rule is - they should be within 2cm of midline.
Prikaži ovu nitHvala. Twitter će to iskoristiti za poboljšanje vaše vremenske crte. PoništiPoništi -
In a 71 year old female patient with neck swelling for 2 months, CECT study of the neck shows a well defined midline thin walled cystic lesion with internal septations near the infrahyoid region with subhyoid extension - suggestive of Thyroglossal duct cyst.
#radiologypic.twitter.com/jvvzkuzrBG
Prikaži ovu nitHvala. Twitter će to iskoristiti za poboljšanje vaše vremenske crte. PoništiPoništi -
Sandeep Awal, MD, DNB proslijedio/la je Tweet
"Lentiform Fork Sign": T2 hyperintensity (+/- diffusion restriction) of the internal and external capsules and medullary laminae. Helps differentiate uremic encephalopathy from other toxic, metabolic, or anoxic insults. Known renal failure/hyperuremia also helps.
Prikaži ovu nitHvala. Twitter će to iskoristiti za poboljšanje vaše vremenske crte. PoništiPoništi -
Sandeep Awal, MD, DNB proslijedio/la je Tweet
Dick's Pick of the Week: Uremic Encephalopathy T2 hyperintensity +/- rest diffusion within internal and external capsules (lentiform fork sign), basal ganglia, thalami, midbrain, and mesial temporal and parieto-occipital cortices.
#FOAMed#FOAMrad#radres#NeuroRad#radiologypic.twitter.com/Xma1rrWsxK
Prikaži ovu nitHvala. Twitter će to iskoristiti za poboljšanje vaše vremenske crte. PoništiPoništi -
Hvala. Twitter će to iskoristiti za poboljšanje vaše vremenske crte. PoništiPoništi
-
Sandeep Awal, MD, DNB proslijedio/la je Tweet
22-year old asymptomatic man whose father died of sudden cardiac death at age 40… presented by Drs.
@markdsugi & Michael Gotway from@MayoRadiology Arizona. https://thoracicrad.org/assets/index/2019/Case_of_the_Month/cardio/12-2019/revised/index.html …pic.twitter.com/k8LMK6uFDaHvala. Twitter će to iskoristiti za poboljšanje vaše vremenske crte. PoništiPoništi -
Sandeep Awal, MD, DNB proslijedio/la je Tweet
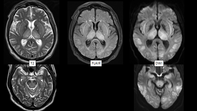
NOT an eye test... What underlying condition does this young patient have?
@Radiopaedia link: https://bit.ly/38Id6cQ More cases with advanced/unusual pathology: https://bit.ly/37ADjdr#FOAMrad#FOAMed#radiologypic.twitter.com/KWycTSWMsVHvala. Twitter će to iskoristiti za poboljšanje vaše vremenske crte. PoništiPoništi -
Hvala. Twitter će to iskoristiti za poboljšanje vaše vremenske crte. PoništiPoništi
-
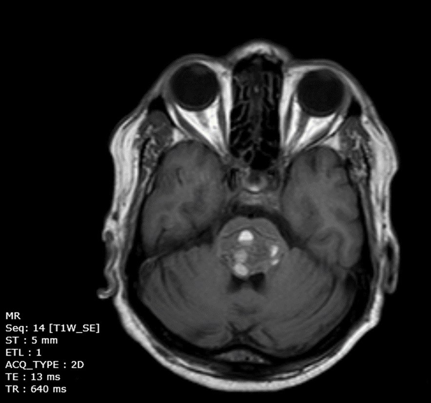
Pontine cavernoma with varying stages of hemorrhage
#NeuroRad#radiology#neurologypic.twitter.com/IbVutWwNAA
Prikaži ovu nitHvala. Twitter će to iskoristiti za poboljšanje vaše vremenske crte. PoništiPoništi
Čini se da učitavanje traje već neko vrijeme.
Twitter je možda preopterećen ili ima kratkotrajnih poteškoća u radu. Pokušajte ponovno ili potražite dodatne informacije u odjeljku Status Twittera.