Tweetovi
- Tweetovi, trenutna stranica.
- Tweetovi i odgovori
- Medijski sadržaj
Blokirali ste korisnika/cu @jbjs
Jeste li sigurni da želite vidjeti te tweetove? Time nećete deblokirati korisnika/cu @jbjs
-
JBJS Essential Surgical Techniques: Key Procedures Medial Patellofemoral Ligament Reconstruction in Skeletally Immature Patients http://ow.ly/kQCL50ydjhU pic.twitter.com/VrlkvOUWLB
Hvala. Twitter će to iskoristiti za poboljšanje vaše vremenske crte. PoništiPoništi -
Comparing the Use of Axillary Radiographs and Axial Computed Tomography Scans to Predict Concentric Glenoid Wear http://ow.ly/zKx650yckAj pic.twitter.com/eLgt9RQcwK
Hvala. Twitter će to iskoristiti za poboljšanje vaše vremenske crte. PoništiPoništi -
Septic Arthritis of the Knee in Children - A Critical Analysis Review http://ow.ly/WCi150yckq5 pic.twitter.com/DJvd3jelx1
Hvala. Twitter će to iskoristiti za poboljšanje vaše vremenske crte. PoništiPoništi -
Chronic Posterior Sternoclavicular Dislocation in a Contact Athlete http://ow.ly/Ox1y50y6iLp pic.twitter.com/zZ3evBM427
Hvala. Twitter će to iskoristiti za poboljšanje vaše vremenske crte. PoništiPoništi -
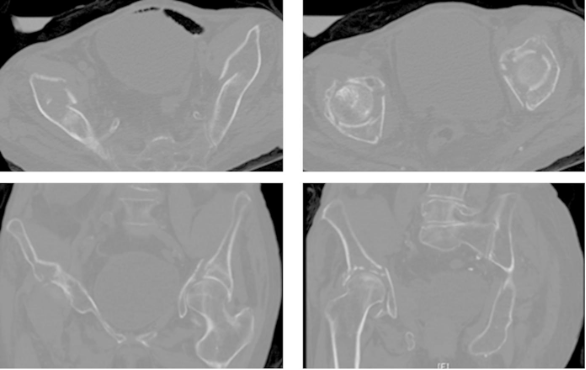
Bilateral Acetabular Fractures Associated with Seizures http://ow.ly/e0im50y6iyz pic.twitter.com/AQYYXrEvJ9
Hvala. Twitter će to iskoristiti za poboljšanje vaše vremenske crte. PoništiPoništi -
Read our next Elite Reviewer Profile on
@drcharlesjobin of@OrthoColumbia, posted today! Check it out here: https://orthobuzz.jbjs.org/2020/02/04/elite-reviewer-spotlight-charles-jobin/ …pic.twitter.com/OvVgyITIrp
Hvala. Twitter će to iskoristiti za poboljšanje vaše vremenske crte. PoništiPoništi -
Rehabilitation Following Arthroscopic Rotator Cuff Repair - A Prospective Randomized Trial of Immobilization Compared with Early Motion http://ow.ly/sBKk50xQejk pic.twitter.com/ydZ7wXfonb
Hvala. Twitter će to iskoristiti za poboljšanje vaše vremenske crte. PoništiPoništi -
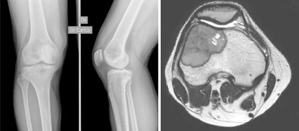
Femoropatellar Osteoarthritis and Trochlear Femoral Bone Defect due to Giant Cell Tumor of the Knee: A Selected Patellofemoral Joint Arthroplasty and Reconstructive Technique https://jbjs.org/reader.php?id=106280&rsuite_id=2307029&native=1&source=JBJS_Case_Connector/10/1/e0378/fulltext&topics=kn%2Bon#figures …pic.twitter.com/HQlG3TH50F
Hvala. Twitter će to iskoristiti za poboljšanje vaše vremenske crte. PoništiPoništi -
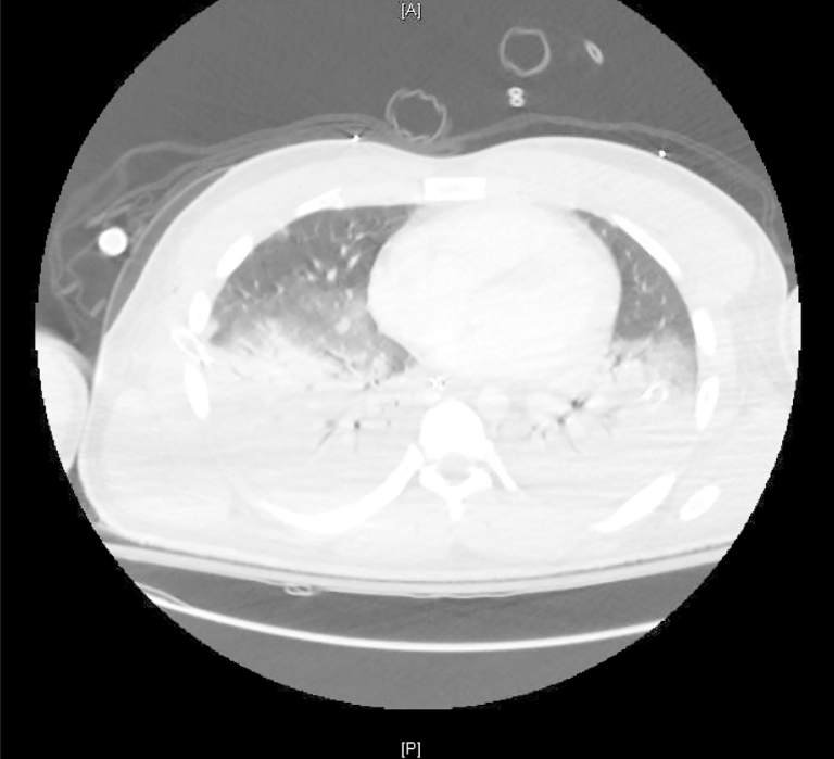
Reamed Intramedullary Nailing of a Femur Fracture in a Polytraumatized Patient on Extracorporeal Membrane Oxygenation http://ow.ly/19BZ50y6io4 pic.twitter.com/GXw6p2r34V
Hvala. Twitter će to iskoristiti za poboljšanje vaše vremenske crte. PoništiPoništi -
Calling all pediatric surgeons. Need CME? Extend your knowledge with pediatric online learning module from JBJS. https://storefront.jbjs.org/product/vrc-3rd-edition-individual-module-pediatric-orthopaedics …pic.twitter.com/leOPCjTffD
Hvala. Twitter će to iskoristiti za poboljšanje vaše vremenske crte. PoništiPoništi -
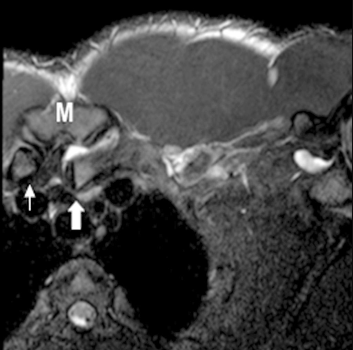
Ipsilateral Deltoid and Hand Compartment Syndrome - A Case Report and Review of the Literature http://ow.ly/eSOL50y6ijl pic.twitter.com/kNSFvLHire
Hvala. Twitter će to iskoristiti za poboljšanje vaše vremenske crte. PoništiPoništi -
Severe Wound Complication due to Prineo Surgical Dressing in Shoulder Hemiarthroplasty http://ow.ly/tkfT50y6i7Z pic.twitter.com/GZrS8xH1QV
Hvala. Twitter će to iskoristiti za poboljšanje vaše vremenske crte. PoništiPoništi -
Successful Open Reduction and Internal Fixation of Proximal Humerus Fracture After Dysvascular Subcoracoid Humeral Head Dislocation http://ow.ly/j4vi50y6i4E pic.twitter.com/luWQKnx4Bh
Hvala. Twitter će to iskoristiti za poboljšanje vaše vremenske crte. PoništiPoništi -
Femoral Interference Screw Fixation in ACL Reconstruction Using Bone-Patellar Tendon-Bone Grafts http://ow.ly/qKB350y6hSq pic.twitter.com/i1MT2gwUAq
Hvala. Twitter će to iskoristiti za poboljšanje vaše vremenske crte. PoništiPoništi -
All 2019 Monthly and Quarterly exams are now available on the JBJS Store. Access now: http://ow.ly/7tzd50yaxr1 pic.twitter.com/ya11akchQJ
Hvala. Twitter će to iskoristiti za poboljšanje vaše vremenske crte. PoništiPoništi -
Jones Fractures - Pathophysiology and Treatment http://ow.ly/IEQL50xQe3j pic.twitter.com/JjfAaqocAJ
Hvala. Twitter će to iskoristiti za poboljšanje vaše vremenske crte. PoništiPoništi -
Catastrophic Failure of a MiniHip Femoral Stem http://ow.ly/56ax50y6h3b pic.twitter.com/e3hA0Yyjrb
Ovo je potencijalno osjetljiv multimedijski sadržaj. Saznajte više
Hvala. Twitter će to iskoristiti za poboljšanje vaše vremenske crte. PoništiPoništi -
JBJS Clinical Classroom is a powerful learning tool that allows orthopaedic surgeons to strengthen their knowledge base in multiple subspecialties. Learn more about how it works: http://ow.ly/QBoo50yand1 pic.twitter.com/GheWeTqWQK
Hvala. Twitter će to iskoristiti za poboljšanje vaše vremenske crte. PoništiPoništi -
Contralateral Limb Effect on Gait Asymmetry and Ipsilateral Pain in a Patient with Knee Osteoarthritis - A Proof-of-Concept Case Report http://ow.ly/urFS50y6gZd pic.twitter.com/1EsGlXjZz5
Hvala. Twitter će to iskoristiti za poboljšanje vaše vremenske crte. PoništiPoništi -
Predictors and Outcomes of Crossover to Surgery from Physical Therapy for Meniscal Tear and Osteoarthritis - A Randomized Trial Comparing Physical Therapy and Surgery http://ow.ly/YS6750xQdPm pic.twitter.com/M50bm1vlc4
Hvala. Twitter će to iskoristiti za poboljšanje vaše vremenske crte. PoništiPoništi
Čini se da učitavanje traje već neko vrijeme.
Twitter je možda preopterećen ili ima kratkotrajnih poteškoća u radu. Pokušajte ponovno ili potražite dodatne informacije u odjeljku Status Twittera.