Tweetovi
- Tweetovi, trenutna stranica.
- Tweetovi i odgovori
- Medijski sadržaj
Blokirali ste korisnika/cu @jannimd
Jeste li sigurni da želite vidjeti te tweetove? Time nećete deblokirati korisnika/cu @jannimd
-
Prikvačeni tweet
"Regardless of whether a premed student is interested in specializing in radiology, experts say all aspiring physicians can benefit from attending a med school with a strong radiology curriculum." https://www.usnews.com/education/best-graduate-schools/top-medical-schools/articles/2018-04-26/how-to-find-a-medical-school-that-excels-in-radiology …
#radedu#radres#mededHvala. Twitter će to iskoristiti za poboljšanje vaše vremenske crte. PoništiPoništi -
I just found out that there is evidence showing that two spaces after a period is better than one space after a period. But I see more documents written with one space after a period.
#radedu#meded https://www.theatlantic.com/science/archive/2018/05/two-spaces-after-a-period/559304/ … Do you use one space or two after a period?Hvala. Twitter će to iskoristiti za poboljšanje vaše vremenske crte. PoništiPoništi -
Sign? A. Hilum overlay B. Silhouette C. Air bronchogram D. Scimitar
#ChestRadEdu#meded@TanMohammedMD@DarelHeitkamp Answer: Silhouette (RML pneumonia). PA - opacity obscuring R heart border. Lateral - opacity overlying heart, marginated inferiorly by major fissurepic.twitter.com/KYSpuxPmdk
Hvala. Twitter će to iskoristiti za poboljšanje vaše vremenske crte. PoništiPoništi -
Jannette Collins, MD, MEd, FACR proslijedio/la je Tweet
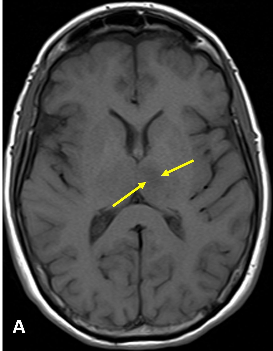
Acute Infarct - https://hubs.ly/H0mS5JB0 by
@jannimd There are two main types of stroke: ischemic (most common) due to lack of blood flow from thrombosis, embolism, systemic hypoperfusion, or cerebral venous sinus thrombosis, and hemorrhagic, due to bleeding#RadRes#FOAMRadpic.twitter.com/81UKvjKLOS
Hvala. Twitter će to iskoristiti za poboljšanje vaše vremenske crte. PoništiPoništi -
Great opportunity for residents to network with potential collaborators and mentors.
@TanMohammedMDhttps://twitter.com/herseherself/status/1224407878028734474 …Hvala. Twitter će to iskoristiti za poboljšanje vaše vremenske crte. PoništiPoništi -
Looking at a radiology contract? Read this post to learn about tail insurance, non-compete clauses, benefits with "strings", what and how to negotiate, and more.
#radres#radiology@futureradres@DarelHeitkamp@TanMohammedMD@ScottTruhlar@koolkpMD@gargtushark@thats_bonehttps://twitter.com/themrionline/status/1224372386906230784 …Hvala. Twitter će to iskoristiti za poboljšanje vaše vremenske crte. PoništiPoništi -
Are you looking for a neuroradiology fellowship? Here's what programs directors think is important.
#radedu@EBeheshtian@dyousem1@futureradrespic.twitter.com/HOxL6BZESZ
Hvala. Twitter će to iskoristiti za poboljšanje vaše vremenske crte. PoništiPoništi -
Great paper on the merits of Twitter for program directors. A lot of the information is generalizable to all radiologists.
#radres@DarelHeitkamp@ErinCookeMD@amykpatel@JRobbinsMD@LoriDeitte@futureradres@AwanRad@TanMohammedMDpic.twitter.com/Ky6vueodTB
Hvala. Twitter će to iskoristiti za poboljšanje vaše vremenske crte. PoništiPoništi -
Hvala. Twitter će to iskoristiti za poboljšanje vaše vremenske crte. PoništiPoništi
-
Hvala. Twitter će to iskoristiti za poboljšanje vaše vremenske crte. PoništiPoništi
-
Hvala. Twitter će to iskoristiti za poboljšanje vaše vremenske crte. PoništiPoništi
-
Jannette Collins, MD, MEd, FACR proslijedio/la je Tweet
Multiple Myeloma (MM) - https://hubs.ly/H0mQGYQ0 by
@jannimd Multiple Myeloma (MM) is diffuse or multifocal involvement of hematologic tumors of plasma cell origin#RadRes#FOAMRad#MedEd#RadEdupic.twitter.com/2rS7qJAGlM
Hvala. Twitter će to iskoristiti za poboljšanje vaše vremenske crte. PoništiPoništi -
A person who won't read has no advantage over one who can't read. -Mark Twain Need a book recommendation? Try "Tuesdays With Morrie" by Mitch Albom. It's about a teacher who gave his student the greatest gift of all - wisdom.
#radres#meded@DarelHeitkampHvala. Twitter će to iskoristiti za poboljšanje vaše vremenske crte. PoništiPoništi -
Jannette Collins, MD, MEd, FACR proslijedio/la je Tweet
Multiple Sclerosis (MS) of the Spine - https://hubs.ly/H0mPrFV0 by
@jannimd Spinal MS is often associated with brain lesions; however, 20% of patients with spinal lesions do not have intracranial plaques#RadRes#FOAMRadpic.twitter.com/pskcyG8AzA
Hvala. Twitter će to iskoristiti za poboljšanje vaše vremenske crte. PoništiPoništi -
Jannette Collins, MD, MEd, FACR proslijedio/la je Tweet
Join the
#MedEdChat Thursday night at 9PM NYC to brainstorm methods of measuring publication impact on practice with@TLMedEd#MedEdImpact#MedEd@AAIMOnline@apgonews@Surg_Education@admsep@COMSEPediatrics@STFM_FM@TheCgea@TheNEGEA@SGEAnews@SDRME_Mededpic.twitter.com/cMnBYFpmRc
Hvala. Twitter će to iskoristiti za poboljšanje vaše vremenske crte. PoništiPoništi -
Using report TAT as a performance metric is an example of how a tool is a useful motivator when the subject is underperforming, but becomes a hazard when it continues to be applied after performance is maximized.
#radres@ScottTruhlar@RichDuszak@DarelHeitkamp@TirathPatelMDhttps://twitter.com/DarelHeitkamp/status/1222541850956963843 …
Hvala. Twitter će to iskoristiti za poboljšanje vaše vremenske crte. PoništiPoništi -
Hvala. Twitter će to iskoristiti za poboljšanje vaše vremenske crte. PoništiPoništi
-
Jannette Collins, MD, MEd, FACR proslijedio/la je Tweet
Skull Fracture - MRI Online https://hubs.ly/H0mMQZb0 by
@jannimd Fractures involving paranasal sinuses or temporal bone air cells are potential sites of intracranial communication and a route of infection, cerebrospinal fluid leak (rhinorrhea, otorrhea), or pneumocephaluspic.twitter.com/q4dDJOYKo8
Hvala. Twitter će to iskoristiti za poboljšanje vaše vremenske crte. PoništiPoništi -
Most likely diagnosis? A. Sarcoidosis B. Pulmonary alveolar proteinosis C. Adenocarinoma in situ C. Respiratory bronchiolitis
#ChestRad#FOAMed@TanMohammedMD Answer: Pulmonary alveolar proteinosis. CT shows multifocal GGO associated with septal thickening ("crazy paving")pic.twitter.com/BYdDY2gE0h
Hvala. Twitter će to iskoristiti za poboljšanje vaše vremenske crte. PoništiPoništi -
This is an important topic. I posted a couple blogs on radiology contracts: https://hubs.ly/H0mLQCd0 https://hubs.ly/H0mFN750 And a third will be out soon!
@TajKatt@AgnesSolberg@aimeelowe@ACRRFS@ACRYPS@RadResidencyhttps://twitter.com/RadResidency/status/1221853836240982016 …Hvala. Twitter će to iskoristiti za poboljšanje vaše vremenske crte. PoništiPoništi -
I especially like “addressing emotions” and connecting them with your own personal experience. This can dampen the anxiety associated with negative feedback.
@LoriDeitte@TanMohammedMDhttps://twitter.com/AndreaUCFCOM/status/1219979737495244801 …Hvala. Twitter će to iskoristiti za poboljšanje vaše vremenske crte. PoništiPoništi
Čini se da učitavanje traje već neko vrijeme.
Twitter je možda preopterećen ili ima kratkotrajnih poteškoća u radu. Pokušajte ponovno ili potražite dodatne informacije u odjeljku Status Twittera.