-
#STUDY: Reactivation of#Vaccine Strain of#Varicella#Virus Should Be Recognized as a Potential Cause of#MENINGITIS in children https://www.ncbi.nlm.nih.gov/pubmed/20844461#LearnTheRisk#vaccines#VZVpic.twitter.com/NG2zXKSYcA
-
RT
@IonexxCo West Nile Virus found in mosquitoes in Ohio, Washington https://www.usatoday.com/story/news/nation-now/2018/06/29/west-nile-virus-found-mosquitoes-ohio-washington/745103002/ …#FridayFeeling#29Jun#healthandsafety#publichealth#publicsafety#summer#mosquito#mosquitoes#travel#lifestyle#camping#SummerNights#SummerFun#Washington#Ohio#WestNile#virus -
Meet the
#virus#hunters:#Scientists track diseases X, Y and Z...https://www.telegraph.co.uk/news/2018/06/29/scientists-hunt-diseases-x-y-z/ … -
The damage due to the
#Herpes#virus can cause#esophagitis. This is more likely to be the case in those who are#immunocompromised. https://www.ncbi.nlm.nih.gov/pmc/articles/PMC5423037/ …pic.twitter.com/9Scv3UjpyF
-
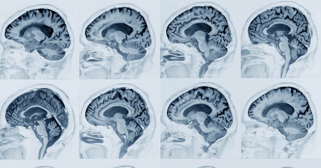
Thanks to
@NYTHealth for using our@ScienceSource image SS21401622 (#Alzheimers MRI Brain Scans) in their, 'A Common#Virus May Play Role in Alzheimer’s Disease' article: https://www.nytimes.com/2018/06/21/health/alzheimers-virus-herpes.html …#medical#stockphotos#scienceimages@PamBelluckpic.twitter.com/iRWPVolmrg
-
High-Resolution
#CryoEM of#Zika Virus Reveals Clues to Fighting It 3.1 Å resolution w comparison of#ZIKV w mosquito-borne flaviviridae#dengue virus (DENV) & Japanese encephalitis virus (JEV) https://nyti.ms/2IuuF2A https://www.cell.com/action/showImagesData?pii=S0969-2126%2818%2930170-9 …@NYTScience@CellPressNews#virus pic.twitter.com/hVTP4OtFdu
-
#StarryComeback After a deadly#virus wiped out millions of#starfish in the west coast of North America, according to the@guardian, a new study shows that starfish have evolved#genetic resistance to the virus. Read More: https://buff.ly/2Mm1Esw pic.twitter.com/SKl6rsJnMl
-
Doctors say new evidence suggests
#herpes#virus may play a role in the development of#Alzheimers Need#disease testing or research? Submit a request, call 1-855-377-6821 https://buff.ly/2KeuTQA#brain#dementia#neurosciencepic.twitter.com/InPI9D6tAU
-
A common
#virus may play role in#Alzheimer’s disease https://buff.ly/2lqfMFG via@NYTHealthpic.twitter.com/ooWimwda7M
-
How prepared is the world for the next epidemic? This tool shows most countries are not. https://wapo.st/2tryccB?tid=ss_tw&utm_term=.438cc4735b50 … https://preventepidemics.org/
#epidemic#virus#microbiology@DrFriedenpic.twitter.com/6wdaD7ex4Z
-
The Global Virome Project (GVP), an ambitious attempt to spot the next pandemic virus. https://buff.ly/2lukO3R
#Biology#virues#virus#microbiology#pandemic#Biotechnology#biotechusa#TechnologyNews#medicine#epidemiology#epidemic#healthcare#Medicalpic.twitter.com/05Qsd1aDBc
-
Can viruses drive Alzheimer’s disease? Infections like viruses might kick-start an immune response in the
#brain that leads to the increased accumulation of#amyloid in#Alzheimers brains#herpes#virus https://nyti.ms/2MgMchc pic.twitter.com/vyaJMj63GR
-
A mosquito-borne virus known as the Keystone Virus has made it's way to humans for the first time (traditionally, the virus was only found among animal species). Learn more: https://www.npr.org/2018/06/21/622402387/keystone-virus-makes-jump-from-mosquitoes-to-human-for-first-time … via
@NPR#KeystoneVirus#Mosquito#Virus pic.twitter.com/fzqo0lsJsL
-
#Researchers teach#AI how to win at#shooters (without cheating)#Tech#Gadgets#Scientists#Engineers#Software#Coding#Virus#Cyber#Cybersecurity#Future#Futurist#AR#VR#ML#DL#DLT#Machine#Robot#Robots#Automation#Autonomous#IOT#IIOT#Code http://ht.ly/HHb630kCTsY pic.twitter.com/hNvBfKAUql
-
#Herpes#virus may play role in#Alzheimer's, study says. https://buff.ly/2KeuTQA#genetics#brain#neurodegenerative#cognitive#psychiatry#infectionspic.twitter.com/AlqKXc2qAi
-
Good to know!
#Keystone#Virus Makes First Known Jump From#Mosquitoes To#Humans fever and rash in a 16-year-old from in#Florida#USAhttps://n.pr/2ML9r3X -
Temporada alta de enfermedades importadas
#22CongresoSEIMC#virus@ele_trigo https://elpais.com/elpais/2018/06/06/planeta_futuro/1528295566_117216.html?id_externo_rsoc=TW_CC … vía@Planeta_Futuro -
#STUDY on Vaccine#Shedding: Vaccinated for#Shingles Can Infect Others w/ Varicella Zoster#Virus (i. e. w/ Chicken Pox) https://www.ncbi.nlm.nih.gov/pmc/articles/PMC3096786/ … In some immunized individuals,#vaccine virus DNA is shed up to 4 weeks.#vaccines#LearnTheRisk#VZVpic.twitter.com/RXblUxBXzv
-
Connaissez-vous le virus Nipah ? Frédéric Tangy, directeur de recherche au
@CNRS et chef de l’Unité de génomique virale et#vaccination à I’@institutpasteur répond aux questions de@20Minutes sur ce#virus qui sévit actuellement en Inde. http://ow.ly/Hv3m30k9PkW
Het laden lijkt wat langer te duren.
Twitter is mogelijk overbelast of ondervindt een tijdelijke onderbreking. Probeer het opnieuw of bekijk de Twitter-status voor meer informatie.