-
Congrats, my friend!!! Always influencing the Brazilian and global urological community!
#UroSoMe#UroSoMeBrasil -
Excelente curso con excelentes y grandes Profesores
#UroSoMe#UroSoMeMexico#UroSoMeBrasil -
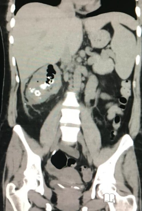
Fem, 65 yrs, ECOG 0, rUTI. US: 4 cm dome bladder tumor Biopsy: Mucinous adenocarcinoma with moderate differentiation, corion invasion. MRI: external iliac LN 15 mm. Next step?
#UroSoMe#urosomebrasil#bladdercancerpic.twitter.com/tPpj8rFBkK
-
73 yrs old, prostate with 263 grams. In using of cistostomy for 6 months. Open adenomectomy is still an option for poor countries where AEEP is not an option.
#UroSoMe#UroSoMeBrasil pic.twitter.com/SUelqQARoi – mjesto: Hospital de Clínicas da UFPR
-
O
#tbt de hoje vem direto do Congresso Paulista de 2018.
Anote em sua agenda: #CPU2020
05 a 7 de setembro - WTC São Paulo
Em breve informações e inscrições!
#SBUSP#UroSoMe#UroSoMeBrazil#UroSoMeBrasil#Urology#SBUpic.twitter.com/VrVHRCdrsp
-
39 years old, septic, previous double j and nefphrostomy for draining. No success. 3nd post-op of laparoscopyc nephrectomy, discharged home today.
#UroSoMe#UroSoMeBrasil pic.twitter.com/yGnovMXEDv – mjesto: Hospital de Clínicas da UFPR
-
Agora a SBU-SP
@sbusp_oficial tem uma conta no Twitter! Não percam as informações da nossa Sociedade e fiquem por dentro de nossos projetos!@sbuoficial@sburs#UroSoMeBrasil pic.twitter.com/fxINPwkBQl
Prikaži ovu nit -
Patients with surgical indication due to
#BPH and a concomitant elevated#PSA pose a clinical dilemma to the#urologist: Should they do a#prostate#biopsy before the operation?#MRI has an important role in this scenario!#UroSoMe#UroSoMeBrasil https://rdcu.be/b0HD5 pic.twitter.com/uq3HMzQOwH
-
O diagnóstico precoce do
#Câncer de#próstata aumenta significativamente as chances de cura! Em 5 anos, a sobrevida de homens com doença localizada chega a praticamente 100%. Já na doença avançada, fica em torno de 30%.#NovembroAzul#Azultitude#UroSoMeBrasil pic.twitter.com/0MNyC0YCnj
Prikaži ovu nit -
Bonus of presenting our 1ST international collaboration on
#EPN with a 5 country multicentre collaboration. Great effort & kudos to the team esp to u my dear friend@HegeltS#SIUWorld@SIU_urology#UroSoMe#UroSoMeBrasil#endourology#UroSoMexicopic.twitter.com/D340jl8ZW2
Prikaži ovu nit -
Presentando curso de Enucleacion Endocopica de la Prostata con todas las energías en Guadalajara Mexico. Todos a enuclear!!!
@so_uro@smumexico@CONAMEU1@CMUN_ColMexU@CAU_URO@UrologosJovenes@urologiaauca#UroSoMeMexico#uroSoMeBrasil#HoLEP#ThuLEP#BipoLEP#GreenLEPpic.twitter.com/PQHIAXgpoa
-
An easy and inexpensive model for US-guided puncture training...The Tofu model
#UroSoMe#UroSoMeBrasil pic.twitter.com/pvAvvEmBLY -
Another posterior tumor for lap partial nephrectomy! Is this a signal to try retroperitoneal approach?
#UroSoMe#UroSoMeBrasil#KidneyCancer#laparoscopypic.twitter.com/6tsHwiVLxQ -
Kicking off the Brazilian Congress of Urology, the 3rd largest urological Congress of the World! A lot of Endourology today at the
@AmerUrological Symposium and at the Tutorial.#CBU19@sbuoficial#urosome#urosomebrasil@Endo_Society@Uroweb http://www.cbu2019.com.br/ pic.twitter.com/CG53mvslKg
-
When do you use a-blockers for expulsive therapy for ureteral stone? Please share your real life and RETWEET
#UroSoMe#UroSoMeBrasil@fraesperto@MattBultitude@EndoLuminalEndo@GuidoGiusti@jteoh_hk@lucacindolo@ricautor@DrTortolero@moisessocarrasPrikaži ovu nit -
#UroSoMe It's For everyone around the world,#UroSoMeMexico#UroSoMeBrasil#UroSoMeIndia#UroSoMeMa by regions to discuss local issues,#UroSoMe is waiting for you! Join the Urology community!https://twitter.com/jteoh_hk/status/1130111991849160704 …
-
It is very interesting to see how
#UroSoMe grows into#UroSoMeBrasil#UroSoMeMexico#UroSoMeIndia and#UroSoMeMY. It is the diversity within the community that leads to such phenomenon. I wonder if there is a need for separate#UroSoMe hashtags for anywhere else in the world?pic.twitter.com/WtnqFJZ7mv
Čini se da učitavanje traje već neko vrijeme.
Twitter je možda preopterećen ili ima kratkotrajnih poteškoća u radu. Pokušajte ponovno ili potražite dodatne informacije u odjeljku Status Twittera.