-
.
@StanfordPath Saturday!
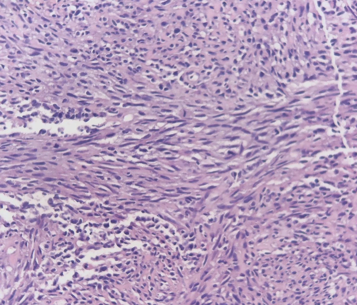
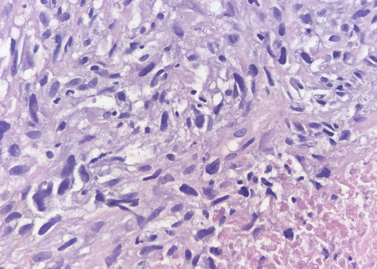
65 YO man with a femur lesion. Had history of giant cell tumor of bone 20 years ago in same area. Patient treated with bisphos
Pleomorphic spindle cells in fascicles with necrosis. No giant cells
see IHC below
#stanfordpathsaturday#pathologytwitter pic.twitter.com/ZRmpS44FSt – mjesto: Stanford hospital
Prikaži ovu nit -
.
@StanfordPath Saturday!
45 YO woman with LBO. Colonoscopy shows cobblestoning. R/o Crohns
Mucosal ulceration with corkscrew glands in the lamina propria and submucosa. These glands are also on the serosa and in the muscularis propria
#stanfordpathsaturday#pathologytwitterpic.twitter.com/xlabjhtZOn
Prikaži ovu nit -
.
@StanfordPath Saturday!
30 YO woman returning from Zambia with hematuria. Cystoscopy shows a bladder “nodule”.
Acute and chronic cystitis with abundant eosinophils. Ova and helminths are seen.
#stanfordpathsaturday#IDpath#pathologytwitter#MedEdpic.twitter.com/ntcj5HUi7l
Prikaži ovu nit -
.
@StanfordPath Saturday!
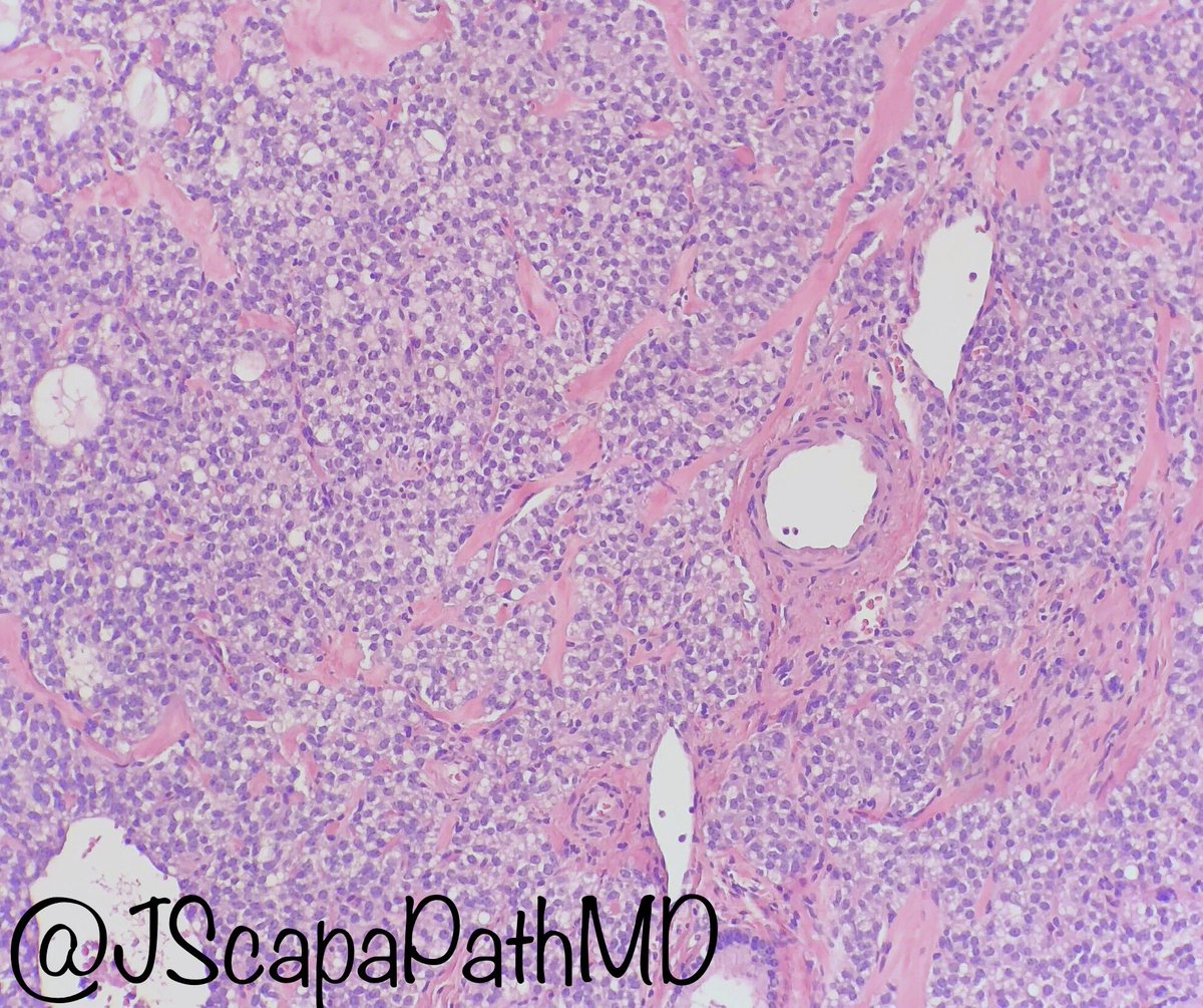
25 YO woman with a solid-cystic pancreatic body mass
well demarcated lesion with sheets of monomorphic polygonal cells with pale/vacuolated cytoplasm. Hyalinized stroma.
Beta Catenin cytoplasmic and nuclear positive
#stanfordpathsaturday pic.twitter.com/Du9NaZhcG2
Prikaži ovu nit -
Alright that’s it from here in Sunny Phoenix from the
@Pathologists Council on membership and professional development committee meetings. Have a great weekend.#stanfordpathsaturday pic.twitter.com/x1XhOrvmco
Prikaži ovu nit -
Anyways, felt that was a good discussion kind of case rather than my usual factoid based posts on an entity. Hope you enjoyed it!
#stanfordpathsaturday#BSTpath – mjesto: Stanford hospitalPrikaži ovu nit -
Just reviewed B-cell neoplasms so this was an awesomely-timed
#StanfordpathSaturday#pathboards#hemepath -
That’s it for today. Hope everyone has a great weekend especially if it’s a 3-day one!
#stanfordpathsaturdayPrikaži ovu nit -
Have a great weekend, pathology Twitter-verse!
#stanfordpathsaturdayPrikaži ovu nit -
Liking the
#stanfordpathsaturday hashtag
Čini se da učitavanje traje već neko vrijeme.
Twitter je možda preopterećen ili ima kratkotrajnih poteškoća u radu. Pokušajte ponovno ili potražite dodatne informacije u odjeljku Status Twittera.