-
Non displaced trabecular compression fractures are
#easytomiss in osteoporotic#spine;#radres please review soft tissue window for such fractures-surrounding sclerosis due to edema/hemorrhage/compression can make them more visible#FOAMed@NASSspine https://bit.ly/37XAAdH pic.twitter.com/1oGrDA6jz6
-
"Regardless of whether a premed student is interested in specializing in radiology, experts say all aspiring physicians can benefit from attending a med school with a strong radiology curriculum." https://www.usnews.com/education/best-graduate-schools/top-medical-schools/articles/2018-04-26/how-to-find-a-medical-school-that-excels-in-radiology …
#radedu#radres#meded -
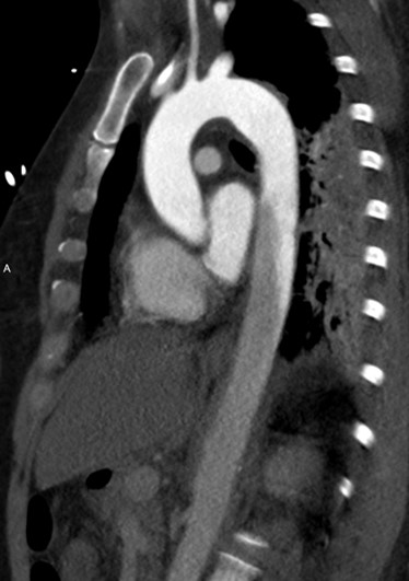
Weird appearance of aorta on CTA. Can easily be confused with dissection, but this is from contrast mixing with blood return in VA ECMO. The 3D image shows ECMO canulae. Several nice references, here's one from Korea https://www.ncbi.nlm.nih.gov/pmc/articles/PMC4023050/ …
#FOAMed#radres pic.twitter.com/doTpBuhMDl
-
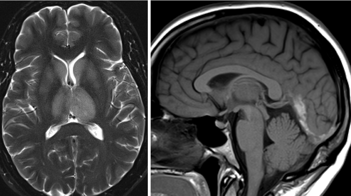
Dilated Virchow Robin/Perivascular spaces in children. https://pubs.rsna.org/doi/full/10.1148/rg.274065722 … https://www.ncbi.nlm.nih.gov/pmc/articles/PMC6398334/ … https://link.springer.com/article/10.1007%2Fs00234-006-0112-1 …
#pedineurorad#neurorad#radres#pedrad#pedsneuro#radiology@ataranath01pic.twitter.com/2vB16GZ4Xa
-
Congratulations to @DrNStrickland, president
@RCRadiologists, on her promotion at@imperialcollege.#Radiology and#HealthIT forever changed with her discovery of “DDPs” default display protocols. Now pushing boundaries of#AI: http://www.bbc.com/news/amp/health-49270325 …#heforshe
#radres#radxxpic.twitter.com/n5bWdJzM64
-
#easytomiss fracture of a bifid spinous process#spine#trauma#radiology#radres This fracture can be overlooked if you are focusing only on sagittal images#EMRad#FOAMrad#FOAMed@NASSspine https://bit.ly/32bT4VX pic.twitter.com/b0g3MRwzhf
-
Nora's lesion: bizarre parosteal osteochondromatous proliferation.
#MSKRad#radiology#FOAMRad#radres#Radiología@MskSerme https://www.ncbi.nlm.nih.gov/pmc/articles/PMC3448582/ …pic.twitter.com/olyaLj4ilW
-
Honoring all of the veterans who have sacrificed this Memorial Day & celebrating our courageous trainees who balance being a
#RadRes with military service. Shout out to@DoCMcGlockz for the Sunday paper feature!#IRad@PennRadiology@Penn_IR https://bit.ly/2JEA64c pic.twitter.com/H0kJqc0Tdy
-
The
#Wellness Day initiative@EmoryRadiology has helped reduce the number of Sick Days taken by residents, while also decreasing resident burnout and improving the overall resident experience.#LeadingTheWay#RadRes#BenevolentTraining#WellnessDays http://www.ncbi.nlm.nih.gov/pubmed/30722842 pic.twitter.com/sKlM5KPo3Q
-
Interesting incidental finding. Anomalous accessory left renal vein through the inferior pole draining into the left common iliac vein. Apparently it’s been case reported.
#irad#radres@SIRRFS https://www.ncbi.nlm.nih.gov/pmc/articles/PMC4818290/#sec0015title …pic.twitter.com/QYDujw40IM -
Had an interesting case of concurrent viable fetus and molar pregnancy. A rare phenomenon. https://www.ncbi.nlm.nih.gov/pmc/articles/PMC3671816/ …
#bodyrad@SocAbdRadiology#radres#FOAMed#FOAMradpic.twitter.com/E4UHeGUfZy -
Hospital viruses: Fake cancerous nodes in CT scans, created by malware, trick radiologists
#SBIACR2019#radres#imagingIT#hcldr#HealthIT https://www.washingtonpost.com/technology/2019/04/03/hospital-viruses-fake-cancerous-nodes-ct-scans-created-by-malware-trick-radiologists/ …pic.twitter.com/2YbvbDEfq2
-
An anatomic point for
#RadRes and#NeuroRad fellows: This patient was imaged for a cranial nerve palsy, which can be explained by the right tentorial abnormality. Do you know the CN? HINT: One has a tentorial segment. See http://bit.ly/2GEowE1 for answer.#FOAMradpic.twitter.com/K7tzgzutlb
-
Tip for
#RadRes: Don’t let the off-midline location or adult age at presentation fool you in this example. The intimate association with the strap musculature is the key to the case. See http://bit.ly/2FQeTSj for diagnosis and more.#HNrad#FOAMRadpic.twitter.com/FRWXTB0CDW
-
A nice example of the noncontrast brain MRI appearance of a can’t miss diagnosis for on call
#RadRes and#Neurorad fellows. See http://bit.ly/2GW8GGu for answer.#FOAMradpic.twitter.com/J7mifl1qhx
-
Type 2 CTOP.. Thanks
@FadiSaab17 for bringing up an important concept in crossing CTO's. Read here:https://www.ncbi.nlm.nih.gov/pubmed/29484959#Irad#Twittorial#Radres@SIRRFS@ACRRFS @_BenRoush@Do_Angio@Daryl_Goldman@Rad_Nish@NikkiKeefe@SarahKantharia@wadhwa_radpic.twitter.com/MuE9vXqX6V
-
Yttrium-90 radioembolization plays a primary role in palliation of locally advanced
#HCC with enhancing portal vein tumor thrombus, as seen on this mapping conebeam CT.#iRad https://www.ncbi.nlm.nih.gov/m/pubmed/20691606/ …#foammed#radres pic.twitter.com/r72bXtSMnj
-
Clinically meaningful interpretation of the proximal femoral fracture-what matters most to the surgeon
#radres#mskrad#mskerad@ASER_ERad#FOAMed using traction thanks to ortho@BrighamWomens@HMSOrthoTrauma Drs. Weaver & Harris https://bit.ly/2LnIe9S pic.twitter.com/BgyokmNITV
-
The latest issue of
@TheEconomist arrived in my mailbox yesterday. I recommend all radiologists read its insightful lead article on#AI, radiology & the future of work. Great analogy of how spreadsheets helped, not hurt, accountants.#optimism#RadRes https://buff.ly/2xOCkcg pic.twitter.com/2qAkyXxNba
-
Great read: "Can
#AI Be Taught to Explain Itself?" https://www.nytimes.com/2017/11/21/magazine/can-ai-be-taught-to-explain-itself.html … Join in the conversation on the#HCLDR tweetchat Tue 7:30 CST.#RSNA17#radres#MedEdpic.twitter.com/6hVr4ejXFc
Čini se da učitavanje traje već neko vrijeme.
Twitter je možda preopterećen ili ima kratkotrajnih poteškoća u radu. Pokušajte ponovno ili potražite dodatne informacije u odjeljku Status Twittera.