-
All February
#heartmonth
we will be featuring free cardiac CME! This week check out our 15-minute Radiology Case Review of Aortic Discretion by vRad CMO Benjamin W. Strong: https://hubs.ly/H0mT-R40
#CME#Radiology#Radiologist#cardiothoracicpic.twitter.com/qcXMuqyixF
-
Technology Marches on at
#RSNA "#Radiologist Eyal Morag, who serves as medical director of Aidoc, reveled in how far radiology AI had come in the last few years, noting an “explosion in AI companies” at RSNA" https://hubs.ly/H0mT_1M0 pic.twitter.com/teRXZojHJh
-
#Radiologist experts say#CT alone not enough to rule out the presence of#coronavirushttps://www.radiologybusiness.com/topics/care-delivery/radiologist-ct-coronavirus … -
The Know-it-all
The Vindicator
The Thinker
The Poet
The Ignorant
Which type of #radiologist are you?
: https://bit.ly/37BWjID -
Work in progress for a new display promoting who we are and the work we do
@ImagingDudleyg1@DudleyGroupNHS#ImARadiographer#ipe#radiologyeducation#radiologist pic.twitter.com/FuombtdGlf
-
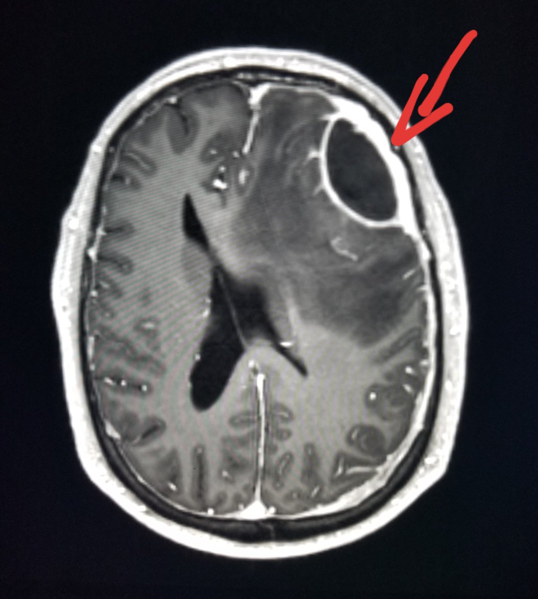
#Brain#MRI: large#abscess (#empyema) in patient after#neurosurgery.#radiologist#radiology This information is for educational purposes. There is no individually identifiable health information. De-identification of protected health information has been performed.pic.twitter.com/gqmwikulGQ
-
Melding the power of
#technology and#healthcare to provide better patient outcomes....it is up to us to imagine the new frontiers they can help us reach. https://buff.ly/2UmCO2E#AI#Healthtech#Radiologist#Healthcarepic.twitter.com/kuuyI81GEz
-
There is significant value provided by a trained
#radiologist that software cannot replace-> physical state of the pt, current images/past images comparison, collaboration w/ other healthcare teams. They r central to the#diagnostic process#AI#radiologyhttps://www.forbes.com/sites/saibala/2020/02/03/artificial-intelligence-is-not-ready-for-the-intricacies-of-radiology/#1dddd6de67eb … -
You know you’ve found your calling as a
#pediatric#radiologist when you‘re ECSTATIC that your patient urinates on the exam table at just the right time for dx. Yes, there’s a right time in my world! Here’s my real-time fluoroscopic#boomerang of a posterior urethral valve!#puvpic.twitter.com/aMW20zEEpf – mjesto: Texas Children's Hospital West Campus -
Locums Position in MO for Interventional
#radiologist CPH# JOB-2621334 http://dlvr.it/RPJq4Y -
Can you recommend anyone for this
#Radiology job in Palm Beach Gardens, FL? Click the link in our bio to see it and more. Radiology - Radiologist at Envision Physician Services#Radiologist -
Envision Physician Services is looking for teammates like you. See our latest Radiology job openings, including "Radiology - Radiologist", via the link in our bio.
#Radiologist#NewRochelle, NY -
MD- RADIOLOGIST is available to join in VILLUPURAM, SALEM, COIMBATORE locations. if any hospitals , scan centers wants to hire , kindly contact - 9555199536 asap.
#RADIOLOGIST -
Don't be shy. Score a job like "Radiology - Radiologist - Body Imaging" at Envision Physician Services by asking for referrals. It's a great way to get a meeting with HR. Check out the link in our bio to apply.
#Radiologist#Decatur, IL -
Welcome to "Owambe Xra" . . .
fireboydml Scatter.
.
. . . . . . . . .
We talk about people you can meet @ different occasions. Watch today's program and enjoy... #radiology#radioinstagram#radiologist… https://www.instagram.com/p/B8BwnOnle26/?igshid=1srp8j4n6yx0j … -
Quick and easy radiology solution, visit --> http://www.radcorner.in
#radcorner#radiologist pic.twitter.com/rR0wJRvnk4
-
Locums
#Job in Texas for#radiologist CPH# JOB-2620789 http://dlvr.it/RP5wH1 -
Before he was a
#radiologist, Paul L. Sicuro, MD, was a@UW_Football quarterback. Read how this#HuskyLegend battled to be the QB top#dawg. http://ow.ly/9tAu50y9kQS pic.twitter.com/ptGNpS4BY4
-
Today’s
#LicensePlateOfTheDay is courtesy of@RaleighTraveler. ICNSIDU (I see inside you). Perhaps belongs to a#radiologist?
pic.twitter.com/zp2x7qzz3O
-
A Pennsylvania Facility Needs a
#LocumTenens#radiologist WBY# JOB-2620438 http://dlvr.it/RP20nq
Čini se da učitavanje traje već neko vrijeme.
Twitter je možda preopterećen ili ima kratkotrajnih poteškoća u radu. Pokušajte ponovno ili potražite dodatne informacije u odjeljku Status Twittera.