-
#Bad_but_beautiful |FNA of a firm axillary lump| Can you guess the patient’s primary lesion?#cytopath#pathtweet#pathtwitter pic.twitter.com/QqAVxOg86e
-
Folks of
#pathtwitter and#Medtwitter do away rotations usually ‘turn over’ for the following school year? Most of the programs I’m looking at on VSAS still only have up to May/early Jun 2020 as available dates, and I wouldn’t be able to do aways until July.
-
I Always feel a sense of
#Pathtwitter accomplishment when I score a@JMGardnerMD retweet.

-
We like to think of this as the education "cool factor"
@DrAHLAMN1 Great job!#pathtwitter https://twitter.com/DrAHLAMN1/status/1224358366245478403?s=20 …
-
37 year-old female with a breast mass. Describe what you see. Further work-up? Diagnosis? Let’s figure it out!
#PathResidents#Pathology#BreastPath#womenshealth#PathTwitter pic.twitter.com/ZQozd88B9B
-
#pathtwitter Tell us how often you replace your microscope. Click the link below to answer our poll. https://twitter.com/instapathbio/status/1224723659799003137?s=20 … -
Was there ever a time when pathologists were seeing patients in clinical setting? Besides for FNA procedures that is...
#pathtwitter -
Seriously, thanks so much to everyone who contributed and to
@HermelinMD for hosting!!! This is all so helpful.
#path2path#pathtwitter#match2020 -
I’m telling everyone in medicine now. Follow this guy. He is the man. End of convo
#PathTwitter#pathologyhttps://twitter.com/bloodbankguy/status/1222875907418755072 …
-

#PathTwitter, join us tomorrow, Tues at 9PM ET for our#Path2Path chat regarding#Match2020. Our open forum of pathologists will cover all your questions including:
Ranking #pathology programs
#CouplesMatch
SOAP strategies
PGY-1 boosters
Mentorship opportunities https://twitter.com/HermelinMD/status/1220177480465702912 …pic.twitter.com/4FkqIa7NT0
-
50 year old male presents with hematuria. 6 mm bladder dome cystic lesion with hemorrhage on cystoscopy identified.
#Path#GUpath#pathtwitter pic.twitter.com/lIC7nneucJ
-
New blog post. Searching for input on Overdiagnosis from a pathologist perspective.
#pathtwitter https://www.jenamartinmd.com/blog/exploringoverdianosis … -






I II III MENINGIOMA I II III - My first [ #neuropath GIF ]
-
#BrainTumor#PathBoards#pathology#patologia#pathresidents#neurooncology#pathart#pathclassic#meningioma#histopathology#pathclues#brain#neuro#pathtwitter#MedEd#neurosurgerypic.twitter.com/zhsSQVYanIPrikaži ovu nit -
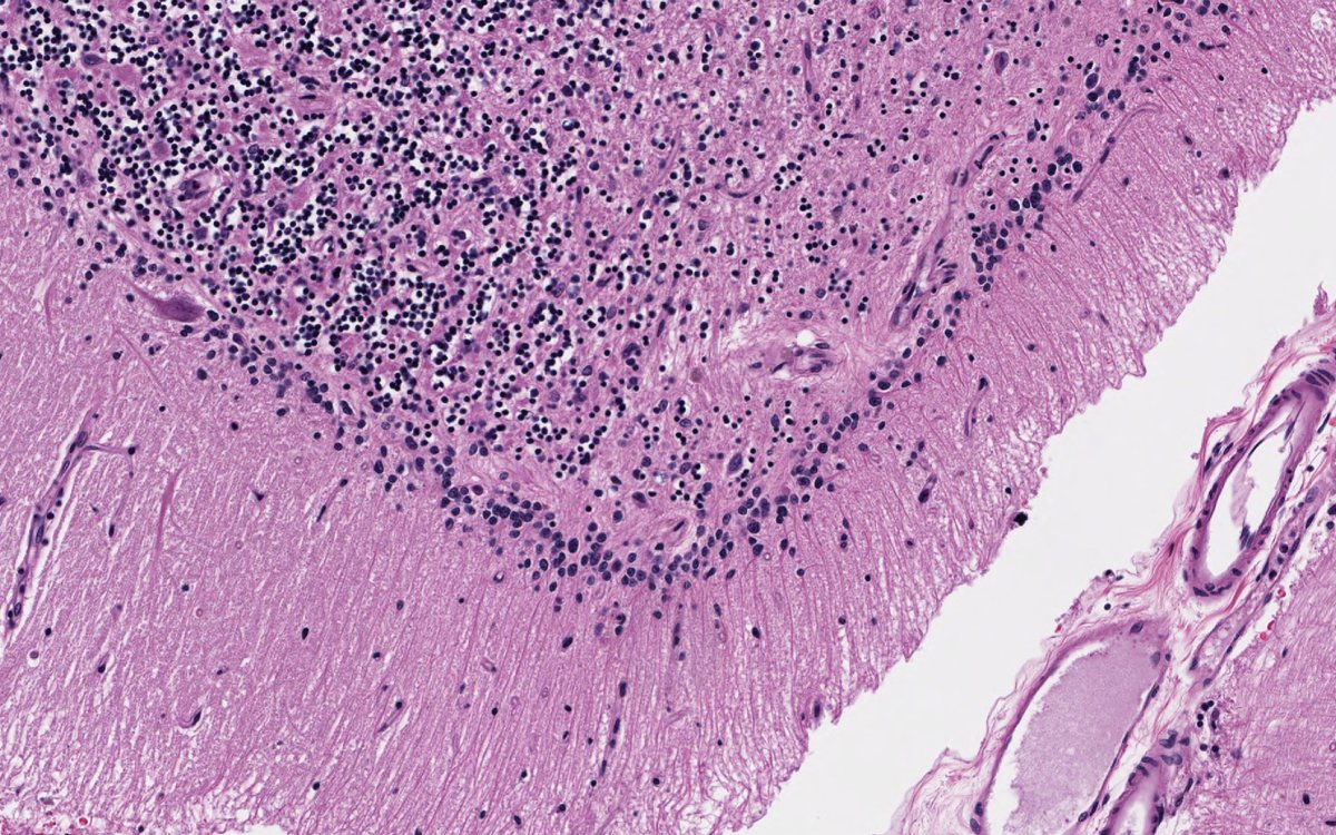
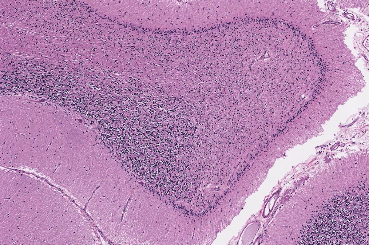
#Hypotension#infarcts can also occur in the#cerebellum. Here's one involving the superior cerebellar artery's watershed territory.#pathology#neuropath#pathtwitter#brain#strokepic.twitter.com/nkQ6GEZY2I
-
We are delighted to share that our manuscript entitled "Deep learning models for histopathological classification of gastric and colonic epithelial tumours" was published in Scientific Reports on Jan 30th.
#Pathology#Pathtwitter#DigitalPathologyhttp://www.nature.com/articles/s41598-020-58467-9 … -
Posting my first case for #pathtwitter and it's#cytopath#headneckpath#ENTpath#eyepath 45/F with swelling near medial canthus x 6months@sza_jhcyto@BinXu16@Sara_Jiang@eyepathlondon@ViralBhanvadia@venkytalks@InduArun5@vi_monappa@padmapathology1pic.twitter.com/E60dfjbFgT
Prikaži ovu nit -
Please check out pathology...
#PathTwitter -
Great
#pathtwitter nightmare fodder ....the melanoma met in the lung showing gland formation!! /shudders https://twitter.com/smlungpathguy/status/1222734048327610369 … -
#FrontiersInAcademicPathology2020#mssm
#Pathology#Pathtwitter#Path#Meded#MedTwitter#CME#TransplantPathology#Blood#HappyFriday#FridayThoughts#TherapeuticPathology#genomicspic.twitter.com/XNT8MComtd
-
Strategies to Expand the Numbers of Functional Human Hematopoietic Stem Cells Ronald Hoffman, MD
#FrontiersInAcademicPathology#mssm#Pathology#Pathtwitter#Path#Meded#MedTwitter#CME#TransplantPathology#Blood#HappyFriday#FridayThoughts#TherapeuticPathology#genomics
Čini se da učitavanje traje već neko vrijeme.
Twitter je možda preopterećen ili ima kratkotrajnih poteškoća u radu. Pokušajte ponovno ili potražite dodatne informacije u odjeljku Status Twittera.
Not long ago, pathogen reduction existed only in the minds of a few really smart people. Smart person Dr Ray Goodrich shares the great story of how PRT went from idea to invention, now at 


