-
1/10 Welcome to my first
#pathtweetorial!
I was recently gifted a lovely section of adrenal gland, so I figured: why not use it to make a guide to the kidney's most stylish (& functional) accessory?
#pathology#endopath#meded#beautyinthebenign#onepathboardpointatatimepic.twitter.com/NqC2WrrDkw
Prikaži ovu nit -
A story of three nuts! And how to handle them
3 cases
Young men
Came with dull pain and swelling
#pathology#GUpath#pathtweetorial#GrossPath#testispic.twitter.com/fs4Gj2MMlD
Prikaži ovu nit -
I thought the first post was question posed!!!by the time I could come back.,the entire story was over!!!! The Nuts were cracked!!!
Awesome #pathtweetorial#pathtweetaward#pathboards#pathology#gupath.. -
17/ I’ll add more examples of “melanoma can look like anything” with time but if you have some good pics, please tweet them and I will add to this Tweetorial



#pathtweetorial pic.twitter.com/90y1jyzICJPrikaži ovu nit -
Hey
#EdTechHPE20
What do you think about #pathtweetorial ? I loved this one, but I am biased since adrenal is a fascinating gland
. #tweetorialhttps://twitter.com/MELanocyteMD/status/1221837348566196224 …
-
10/10 I know this was pretty basic, but hopefully if was a good review for
#medstudents or#pathresidents like me, who forgot what adrenals look like
Shout-to @MeladDababnehMD for telling me to do a#pathtweetorial... even though I decided on a completely different topicPrikaži ovu nit -
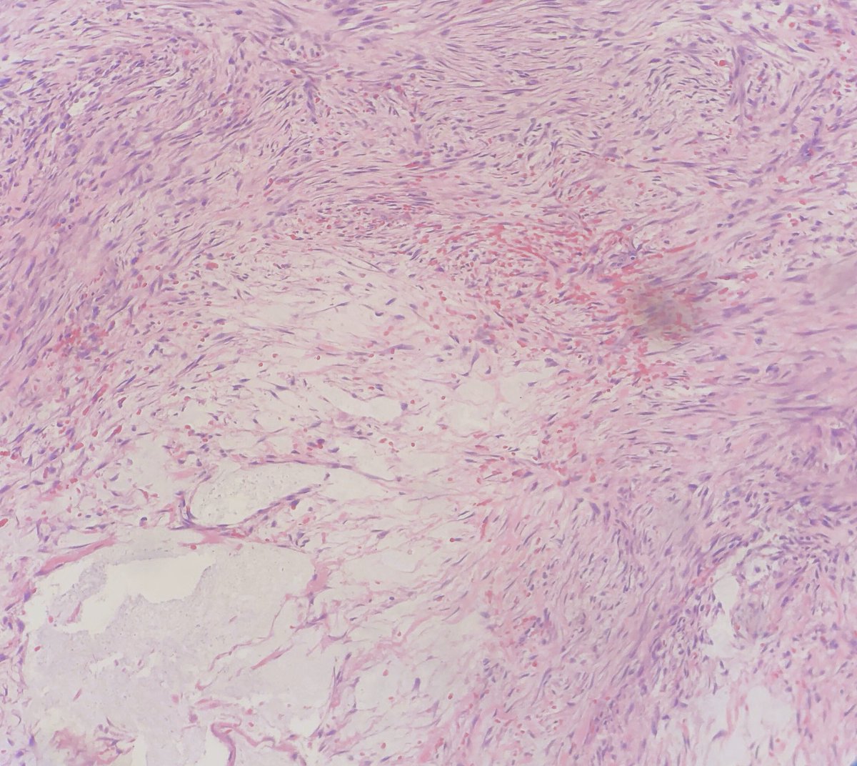
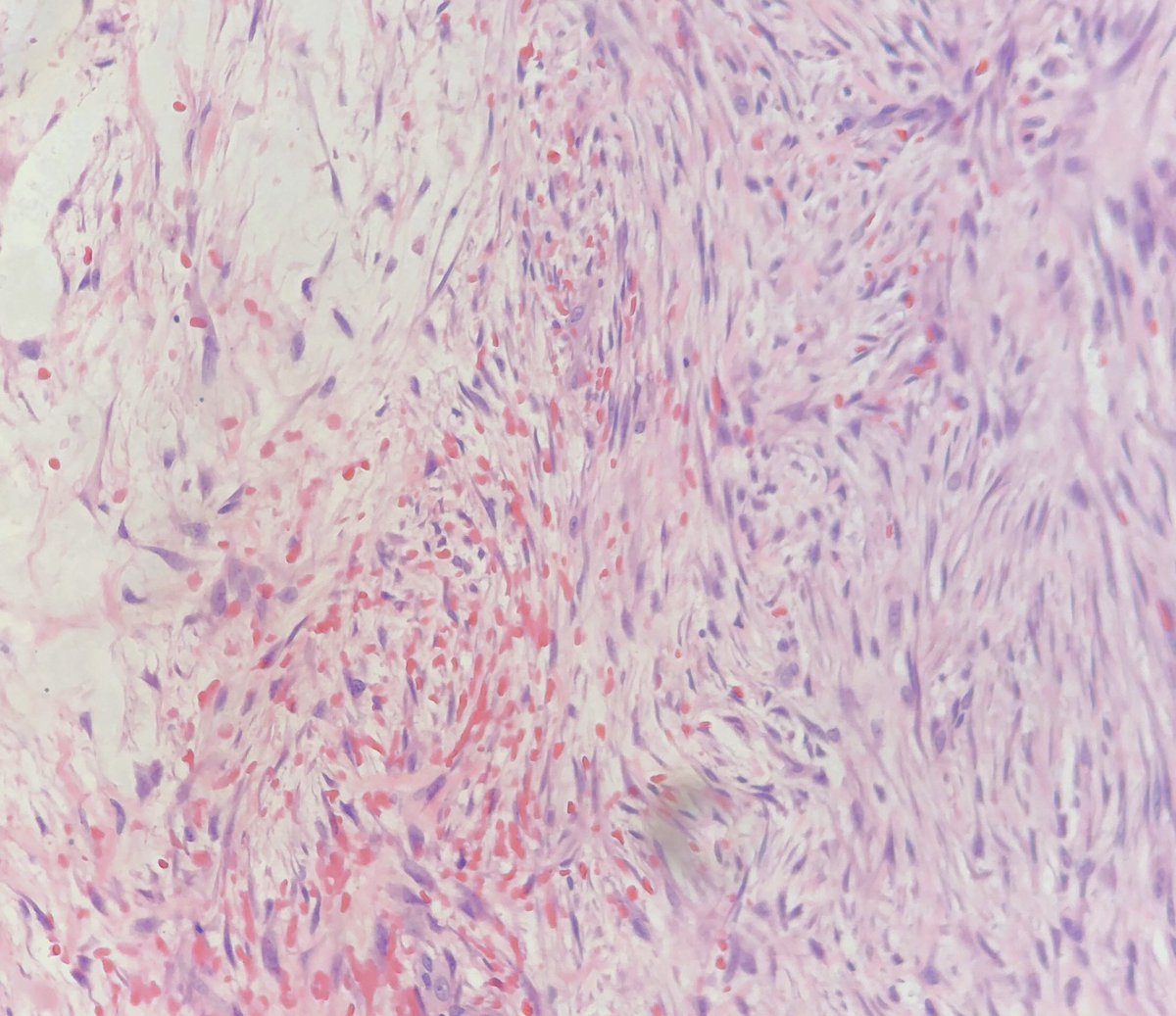
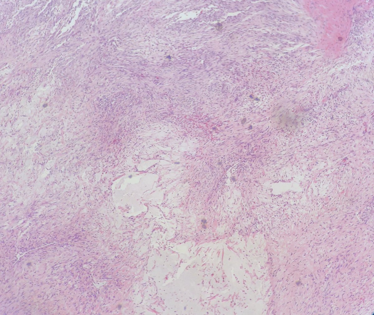
Nice nodular fasciitis
#pathtweetorial. Sometimes they arise on head/neck (esp in kids). For more examples of nodular fasciitis, check out my video (one of 1st YouTube videos I made...quite different from my current style!) https://youtu.be/2jAjK8C7Y6c#pathology#BSTpath#dermpathhttps://twitter.com/JScapaPathMD/status/1213497816988803072 …
-
Today at the
#SLUMFM conference we discussed Anti-M antibodies in
pregnancy. Let’s recap on a few of the key points we discussed including the MNS blood group and our personalized algorithm for monitoring anti-M antibodies in pregnancy.
Follow the #PathTweetorial below. pic.twitter.com/t4tygKH4nX
Prikaži ovu nit -
A 69-year-old, O-negative woman presents to the ER with a Hb = 6.5. She has a history of cirrhosis & now has bleeding esophageal varices. A type and screen is ordered.
Yikes – her Ab screen is positive.
Check out the Ab panel below.
#Blooducation#PathTweetorial pic.twitter.com/Dj58aawQdn
Prikaži ovu nit -
4/
Worldwide, dematiaceous fungi are found in the soil & wood.
Here’s the link to a comprehensive
article on 

cases of Primary CNS Phaeohyphomycosis
https://academic.oup.com/cid/article/38/2/206/287136 …
#PathTweetorial pic.twitter.com/oiyC43UEbk
Prikaži ovu nit -
Tonight I’m going to moderate at 9pm the
#pathJC#Eurotime, discussing about Pulmonary Illness associated with#vaping . You can still read it
https://academic.oup.com/ajcp/advance-article/doi/10.1093/ajcp/aqz182/5588493 … by @smlungpathguy Terrific#pathtweetorial by@Path_Matt to start
https://twitter.com/Path_Matt/status/1180855188682428416 …
-
What does this
spooky hairstyle and the Kell blood group system antigens have in common? EVERYTHING! Learn how the perm, disulfide bonds, and Anti-K antibodies are all l̳i̳n̳k̳e̳d̳ together.
Follow the #PathTweetorial below.#Blooducation l#BBRounds (Picture circa 1992)pic.twitter.com/bKVpvdKLxjPrikaži ovu nit -
“Rolacoaster Series! by DrRolaAli” for all who missed these stunning Path content! @DrRolaAli#pathology#pathboards#rolacoaster#tweetorial#pathtweetorial@smlungpathguy@kriyer68@JMGardnerMD@DrAhmedKalebi@DrGeeONE@TheKarenPinto@Thejaspathohttps://twitter.com/i/moments/1186137209352548352 … -
#Bloodbank#PathTweetorial A lady visits her doctor for feeling 'tired all the time'. Blood tests were ordered, turns out Hb=59g/L; MCV=67.6fL; PLT=340x10^9/L; Ferr=3ug/L; VitD= 22.8nmol/L. 3 units of RBCs have been requested, ABO & RhD tyiping reactions
pic.twitter.com/w0oLwoer62
Prikaži ovu nit -
1/ Time for a
#Tweetorial on immunofluorescence patterns. Very useful for residents for#pathboards Granular IgA in skin = dermatitis herpetiformis#pathtweetorial https://twitter.com/jmgardnermd/status/954730742029930496?s=21 …
Prikaži ovu nit -
Malignant mesothelioma involving pleural fluid
Morular pattern
Scallopped or hobnailed edges/borders (not smooth like adeno)
#patholgy#cytology#pathologists#pathtweetorial pic.twitter.com/7HhlmEl3CD
Prikaži ovu nit
Čini se da učitavanje traje već neko vrijeme.
Twitter je možda preopterećen ili ima kratkotrajnih poteškoća u radu. Pokušajte ponovno ili potražite dodatne informacije u odjeljku Status Twittera.
A beautiful 
45 year old man with a postauricular mass
spindled and stellate plump cells in fascicular arrangement with myxoid stroma and extravasated RBCs
SMA+, Keratin-, S100-, cytoplasmic b-Catenin
USP6 gene rearranged