-
.
@StanfordPath Saturday!
30 YO woman returning from Zambia with hematuria. Cystoscopy shows a bladder “nodule”.
Acute and chronic cystitis with abundant eosinophils. Ova and helminths are seen.
#stanfordpathsaturday#IDpath#pathologytwitter#MedEdpic.twitter.com/ntcj5HUi7l
Prikaži ovu nit -
.
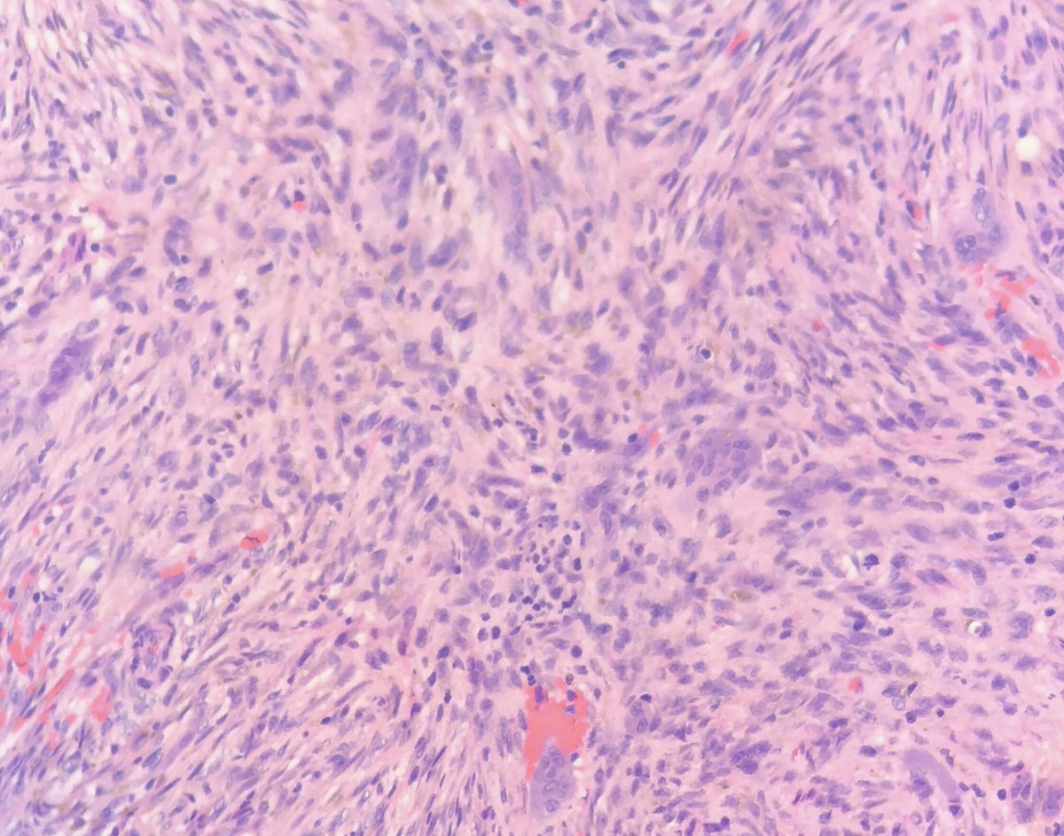
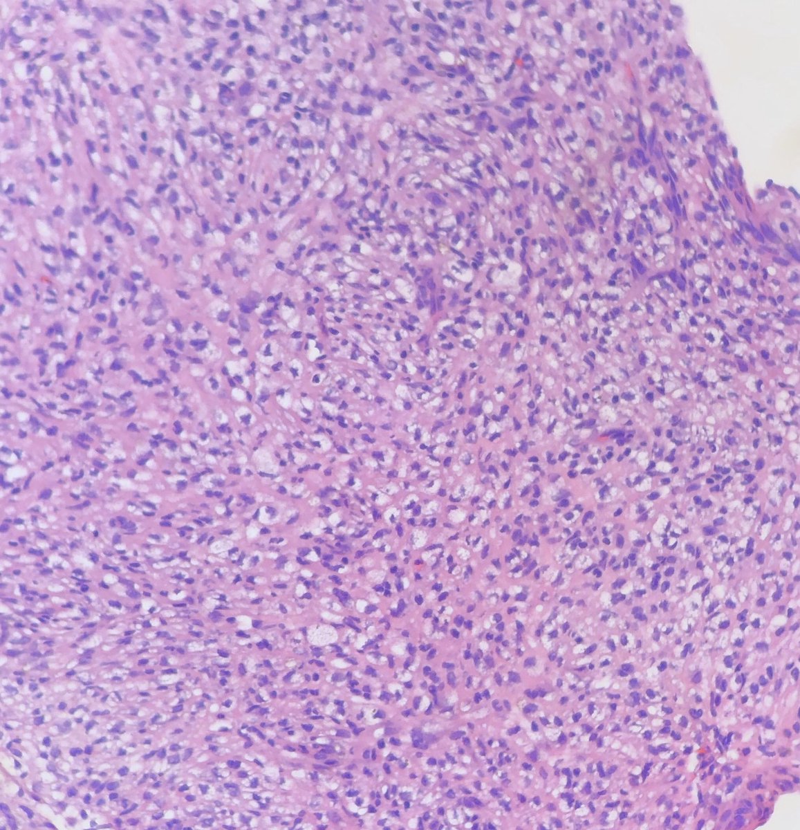
@StanfordPath Saturday!
65 YO man with a femur lesion. Had history of giant cell tumor of bone 20 years ago in same area. Patient treated with bisphos
Pleomorphic spindle cells in fascicles with necrosis. No giant cells
see IHC below
#stanfordpathsaturday#pathologytwitter pic.twitter.com/ZRmpS44FSt – mjesto: Stanford hospital
Prikaži ovu nit -
@DownstatePath - Denosumab-treated giant cell tumor of bone. - Characterized by giant cell depletion and new bone formation, having little morphologic resemblance to its pretreatment counterpart (see below).#pathology#pathologytwitter#BSTpath
pic.twitter.com/P3wogh2Gwd
Prikaži ovu nit -
Giant cell tumor of bone represents 5% of primary bone tumors. It will run into you one day. Please recognize this tumor so that the patients will get treated appropriately.
#pathologytwitter#bone @Pathologistspic.twitter.com/UC9xVvR6WY
-
.
@StanfordPath Saturday!
45 YO woman with LBO. Colonoscopy shows cobblestoning. R/o Crohns
Mucosal ulceration with corkscrew glands in the lamina propria and submucosa. These glands are also on the serosa and in the muscularis propria
#stanfordpathsaturday#pathologytwitter pic.twitter.com/xlabjhtZOn
Prikaži ovu nit -
I'd be honored if anyone in the wonderful
#pathologytwitter community would take a moment to read my article published in@pathologistmag https://thepathologist.com/outside-the-lab/do-not-wait-for-leaders … & I'd be extra appreciative if you would take this survey https://www.surveymonkey.com/r/K7YK8LW about your interest in#globalhealth -
Nothing particularly insightful to add to
#pathologytwitter this evening, I just though this myocardial fibrosis looked nice under the scope (unfortunately not so nice for the patient...)#pathology#autopsy#foreniscpath#4n6path#pathart#cardiacpathpic.twitter.com/jIe6fXJJQu
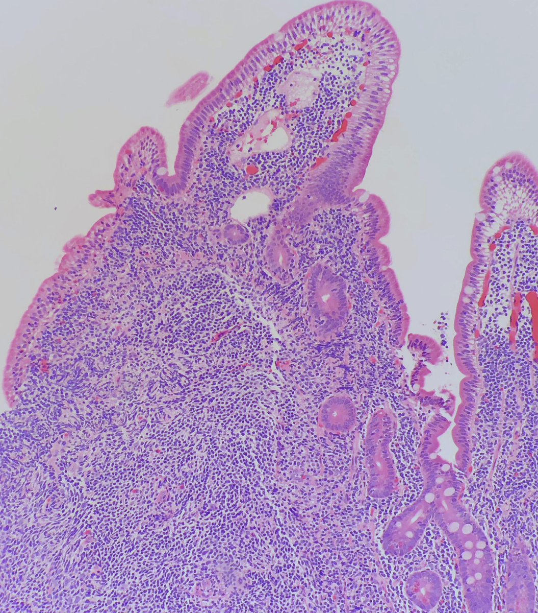
-
.
@StanfordPath Saturday!
50 YO man with nodules in the duodenum
Expansion of lamina propria and submucosa with follicular structures of small lymphocytes with centrocyte morphology
See IHC photos below
t(14;18) IGH/BCL2
#stanfordpathsaturday#meded#pathologytwitter pic.twitter.com/iKF8tpqM8A
Prikaži ovu nit -
Taking time off after residency/fellowship to rekindle your passion (ie not doing academic stuff during that time) A bad idea, good idea, crazy idea, absolutely not idea, career suicide??? Or does it depend on the field of medicine???
#MedTwitter#PathologyTwitter#Wellnesspic.twitter.com/3uzButDvgB -
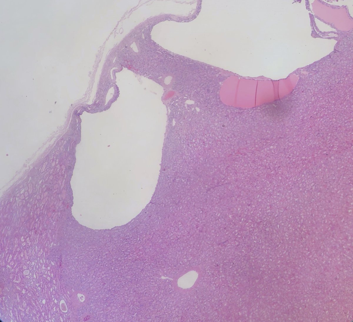
61 years old male patient, right nephrectomy
#pathology#MacroPath#gross#PathologyTwitter#cytopath#pathtwitter#pathart#MedEd#pathtweetorial#gynpath@locbms@tensefreed@SurgiFactspic.twitter.com/gfOT4ZF6kf
Prikaži ovu nit -
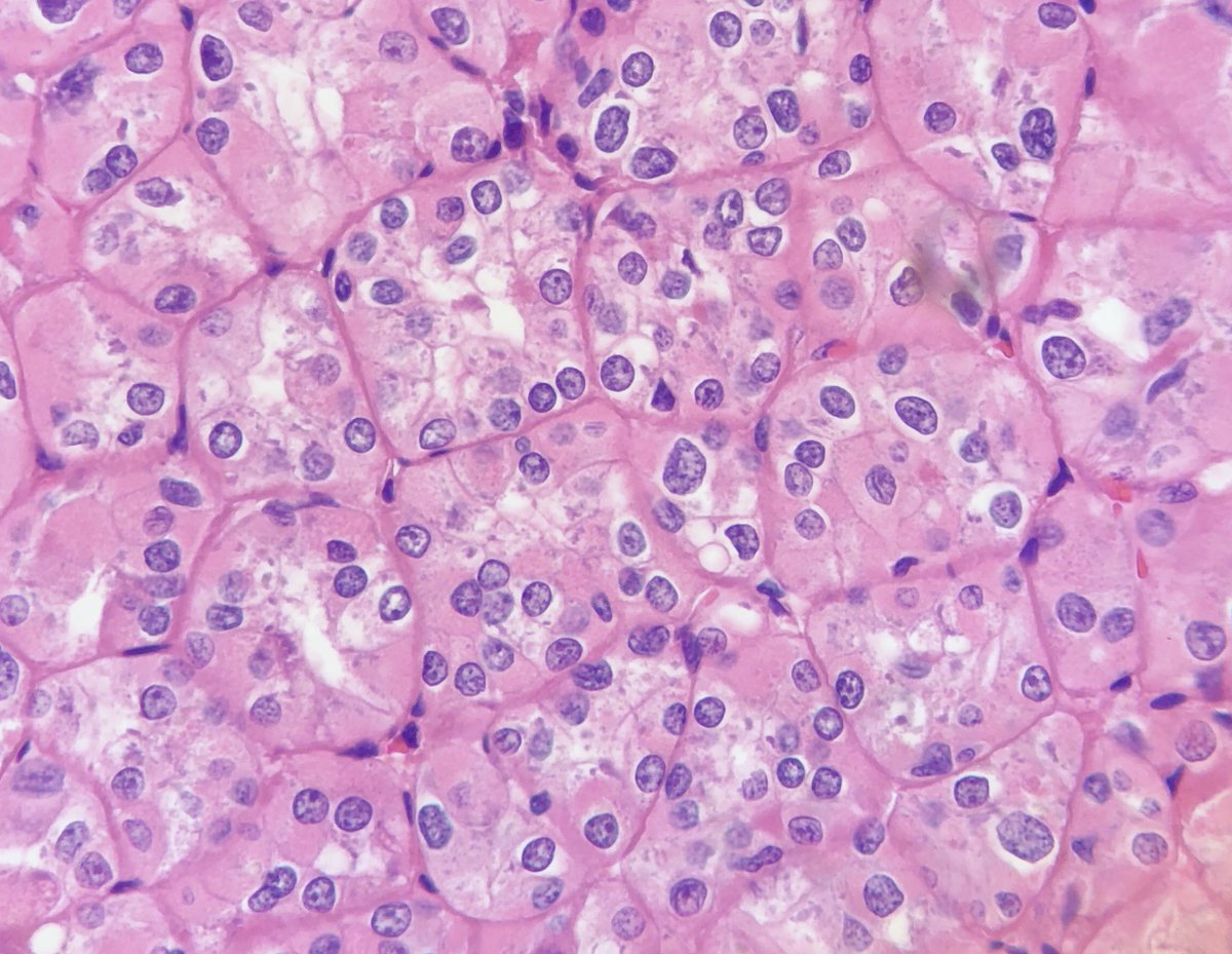
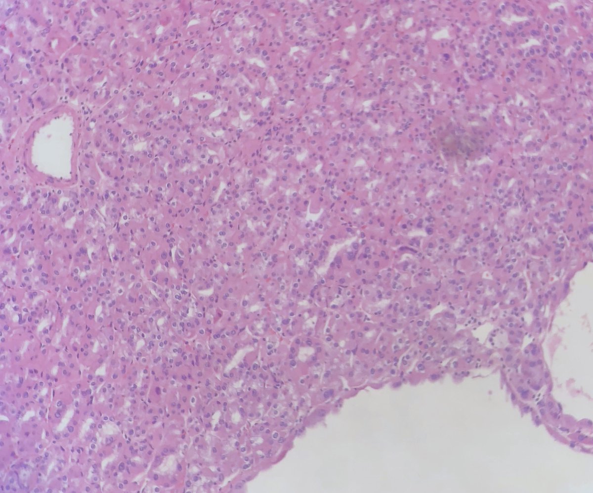
.
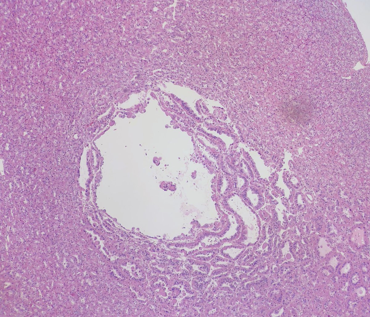
@StanfordPath Saturday!
39 YO female with renal mass.
Non-encapsulated cystic and nested neoplasm composed of eosinophilic cells. See photos below.
IHC: PAX8+, CK7-, CD117-, CAIX-, Cathepsin K-, SDH and FH retained
#stanfordpathsaturday#PathologyTwitter#MedEdpic.twitter.com/21caQBnj4K
Prikaži ovu nit -
Check out my OpEd on Death Investigation in Canada. "Accurate information surrounding death has important implications for the living."
#pathologytwitter#pathology#forensicpathology#cndpoli#MedEdhttps://twitter.com/VancouverSun/status/1210380713373118465 …
-
Special shout out to
@JMGardnerMD, whose twitter page inspired me to finally join, and for writing the incredibly helpful#pathologytwitter 101 guide!Prikaži ovu nit -
I can't believe I've only been on twitter for a week. It's been great & I'm looking forward to learning even more from all the amazing
#pathologists here. Thanks to everyone who interacted &/or followed me! (wow there's 100 of you?
) #pathology#pathologytwitter#pathresidentsPrikaži ovu nit -
This is a solid pseudopapillary neoplasm (SPN). Here’s some additional photos.
#pathologytwitter#MedEdpic.twitter.com/9vBHz2fQLq
Prikaži ovu nit -
#Forensics is an amazing field and the community of forensic pathologists is vibrant and welcoming!#medtwitter and#Pathresidents should definitely give forensic pathology a serious consideration.#pathologytwitter https://twitter.com/theNAME1966/status/1185659418173509632 …
-
.
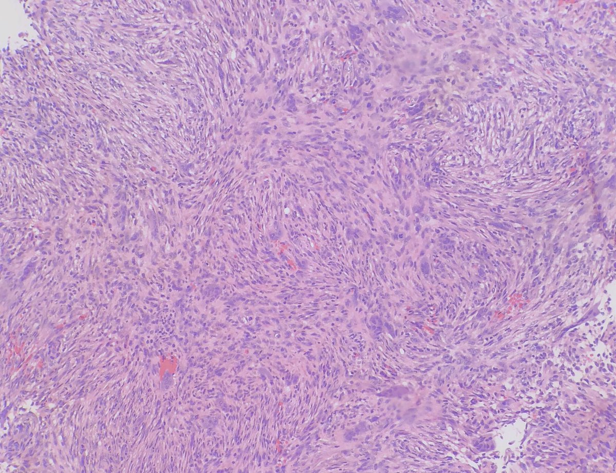
@StanfordPath Saturday!
7 year old boy with a bubbly lyric bone lesion of the distal femur
Spindle cells arranged in storiform pattern with scattered giant cells and some hemosiderin
Neg IHC including H3.3 34W
#stanfordpathsaturday#pathologytwitter#MedEdpic.twitter.com/pOKcsyOA44 – mjesto: Stanford Health Care
Prikaži ovu nit -
A fascinating read on Twitter, harassment, and trying to find a solution. I'm so glad to be a part of
#PathologyTwitter where our global#Pathology community comes together professionally!https://www.buzzfeednews.com/article/nicolenguyen/behind-twitters-plan-to-get-people-to-stop-yelling-at-each …
Čini se da učitavanje traje već neko vrijeme.
Twitter je možda preopterećen ili ima kratkotrajnih poteškoća u radu. Pokušajte ponovno ili potražite dodatne informacije u odjeljku Status Twittera.