-
1/10 Welcome to my first
#pathtweetorial!
I was recently gifted a lovely section of adrenal gland, so I figured: why not use it to make a guide to the kidney's most stylish (& functional) accessory?
#pathology#endopath#meded#beautyinthebenign#onepathboardpointatatime pic.twitter.com/NqC2WrrDkw
Prikaži ovu nit -
Which of the following tumors are associated with granulomatous response?
#onepathboardpointatatime@PathologySayah@ALBoothMD@olopeznu@JaitlyVanyaPrikaži ovu nit -
@TheABPath#anatomicpathology#blueprint2020#springexam#onepathboardpointatatime@PathologySayah@ALBoothMD@jacob88smith@olopeznupic.twitter.com/UVmEjQyVhVOvo je potencijalno osjetljiv multimedijski sadržaj. Saznajte više
-
And now, the conclusion of my cervical
#cytopath trilogy... Part III: "The Uncertain". Thanks for all the support & I hope you found it helpful, I know I learned a lot making these!
#pathart#meded#pathboards#onepathboardpointatatime#pathresidents#gynpathpic.twitter.com/gwZv7EJjPVPrikaži ovu nit -
Important
#dermpath point, not all that is intracytoplasmic is Leishmaniasis. Morphologically, histoplasma has a distinct capsule.#IDpath#pathbugs#pathboards#onepathboardpointatatime#mededhttps://twitter.com/JCandidoXavier/status/1216674146727485442 …
-
Hey all! I’ll be discussing uterine stromal tumors for the next couple weeks. Stay tuned for detailed descriptions and images!
#GYNpath#OnePathboardPointAtAtime@ADamronMD@PathologySayah@MAHoureih@AMubeen_Path@DrGeeONE@gtevaristomd@Dramanyhassany1@SUNYUpstatePathpic.twitter.com/uwKlS5194B
-
-
Few classic images of endocervical adenocarcinoma in situ
hrHPV In 80-90%
HPV type 18 > 16 > other
Tx: Usually cone/LEEP
HPV-associated features:
Apical mitoses and apoptotic bodies
Diffuse p16 IHC
Morphologic variants exist!
#OnePathboardPointAtAtime pic.twitter.com/UTCuXoPNdp
-
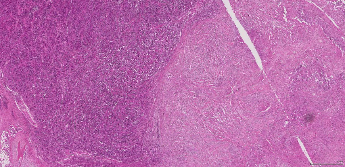
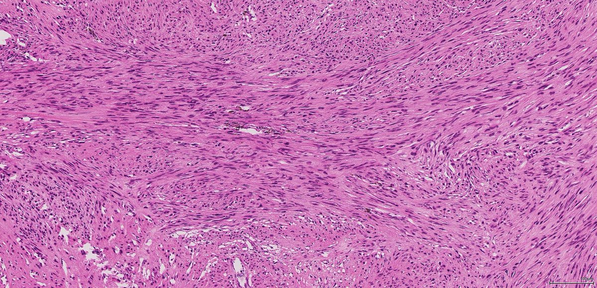
Desmoid-Type Fibromatosis
#OnePathboardPointAtATime • Locally-aggressive clonal myofibroblasts • Long, sweeping fascicles • Infiltrative growth • Collagenous stroma • Bland spindle cells • Low N:C ratio • Elongated ovoid nuclei • May have hyalinized or edematous areas pic.twitter.com/3bRBiakb66
Prikaži ovu nit -
Chordoma
~5% of bone tumors (4th-8th decade)
Var: Conventional, chondroid, & dedifferentiated
Sacrum 50%, skull base 35%, spine 15%
+/- physaliphorous cells
+ CK, S100, brachyury
Ddx: Chondrosarcoma (- CK & brachyury, +S100)
#BSTpath#Onepathboardpointatatime pic.twitter.com/4Baz5yyhAg
-
Malignant Triton Tumor (MPNST with rhabdomyoblastic differentiation)
Rare variant of MPNST
>50% occur in setting of NF1
Median age 40
Hallmark is rhabdomyoblasts (desmin, myogenin, MyoD1 +)
5 yr survival 10% vs 51% in MPNST
#BSTpath#OnePathboardPointAtATime pic.twitter.com/iTozoCGUmA
-
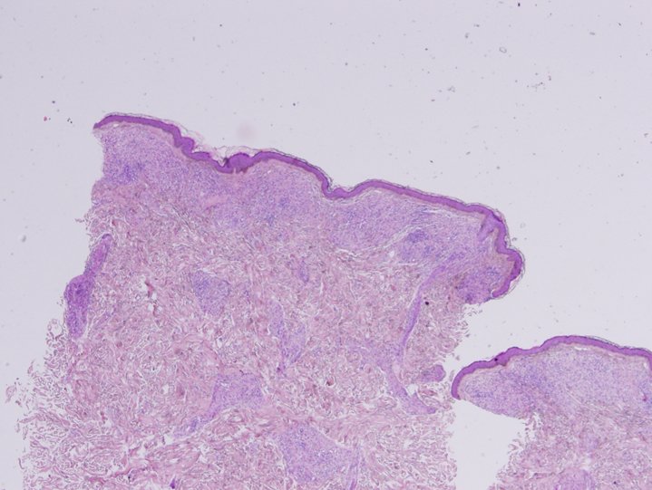
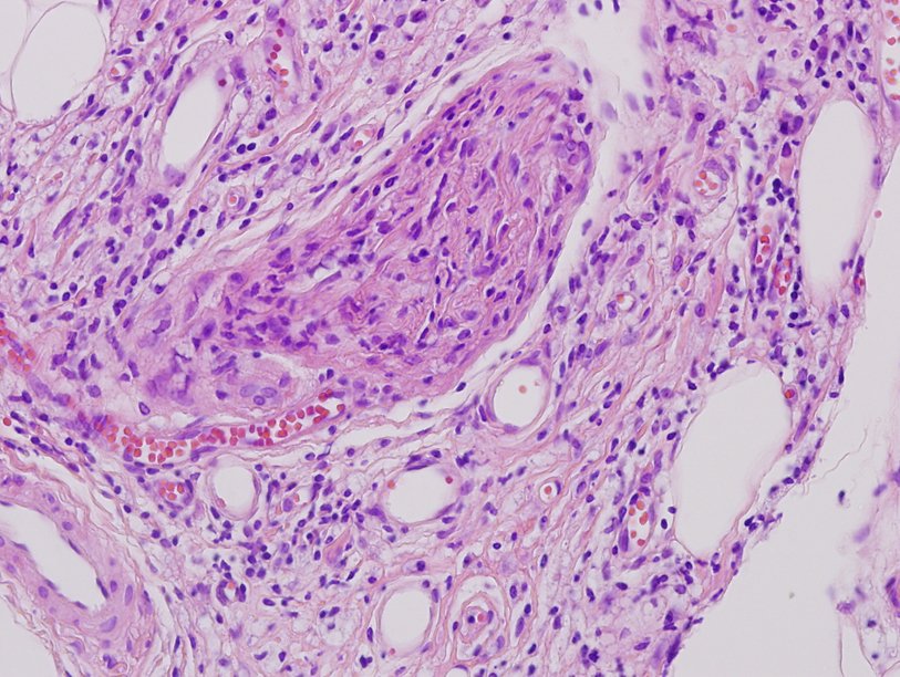
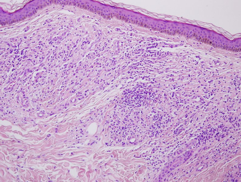
A 31 yrs old male with multiple hyperpigmented / hypopigmented lesions on face and trunk .. Many histiocytes (filled with lepra bacilli) in dermis and surounding the nerve bundles. Dx: Lepromatous leprosy Special stain: Fite stain.
#OnePathboardPointAtATime#dermatologypic.twitter.com/6zh1uuWzsr
Čini se da učitavanje traje već neko vrijeme.
Twitter je možda preopterećen ili ima kratkotrajnih poteškoća u radu. Pokušajte ponovno ili potražite dodatne informacije u odjeljku Status Twittera.
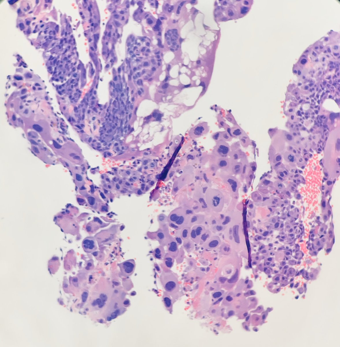
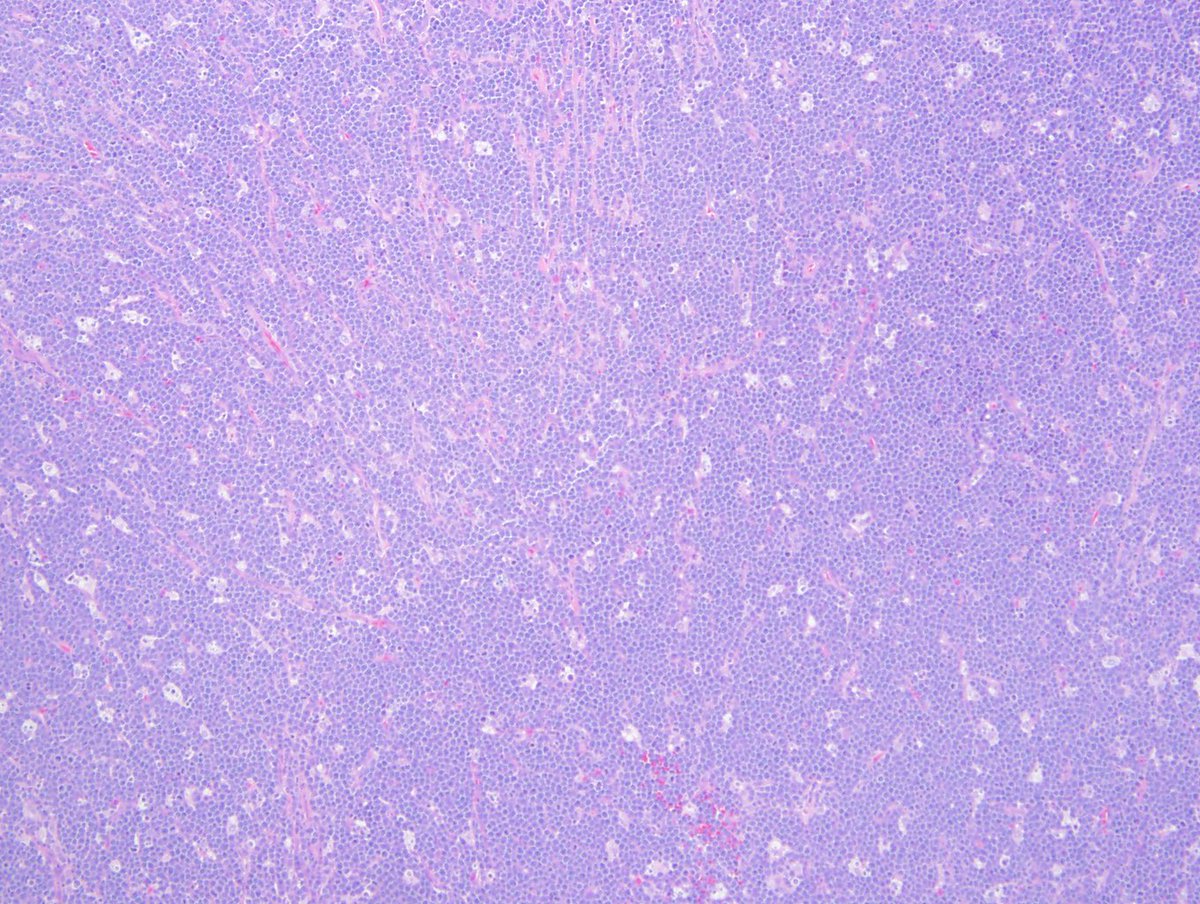
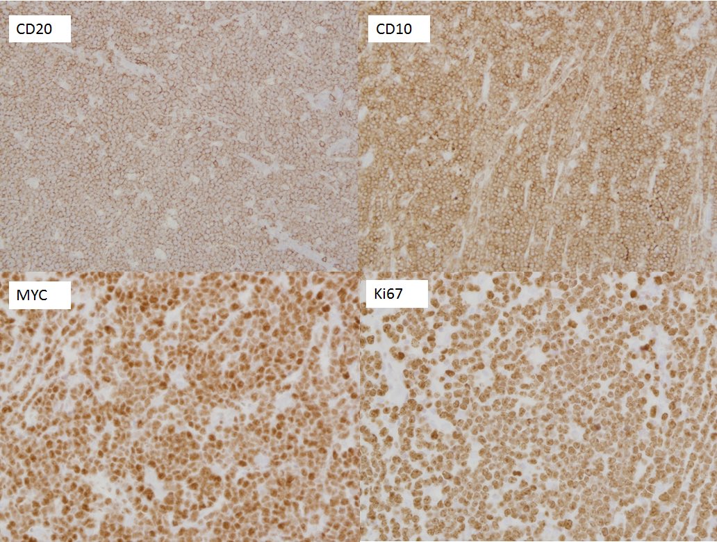
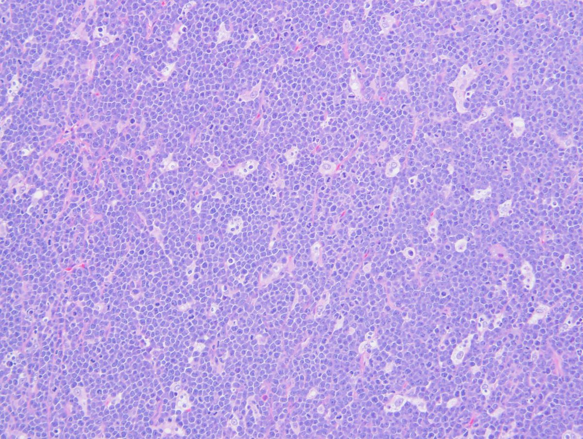
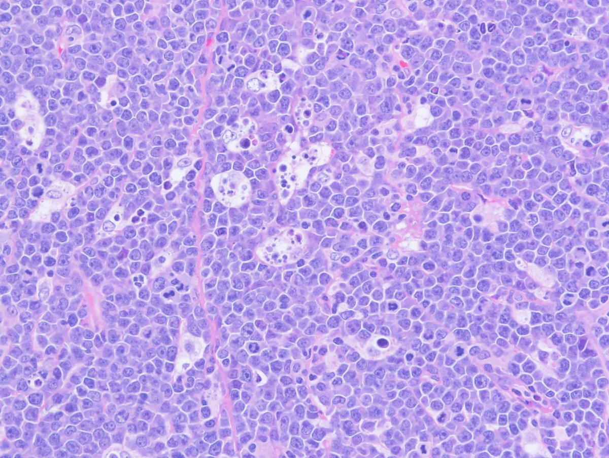
t(8;14)(q24;q32) MYC-IGH