-
I made the
#AR#floods#smartphone app using@6d_ai on#iPhoneXS with real-time#occlusion.#DisasterScope#resilienceforall#DRRpic.twitter.com/LVoa8xgzFS -
This is how learning the principles of
#occlusion can transform your#dentistry career: https://buff.ly/2oAaoo2#CareerGoals#Ambition#Success#Dentistspic.twitter.com/P9s6DoxELa
-
.
@SAPhotonics announces the release of its SA-62/E#AugmentedReality head mounted display#HMD with electronic see-through, high contrast & bright imagery (even when viewed outdoors), and full#AR object#occlusion. https://www.auganix.org/sa-photonics-releases-sa-62-e-electronic-see-through-augmented-reality-hmd/ … -
Feuilles d'occlusion : 8.55€
#Ryser#Bangerter#Strabisme#Occlusion http://bit.ly/2hjwcAZ pic.twitter.com/3Uf2gfzm9B
-
#Jawsurgery is used to treat some types of#occlusion but it’s important to seek guidance before deciding on this source of treatment. Find out more here: http://bit.ly/36uRa3Y pic.twitter.com/fA8SpaqlTB
-
When
#filterout is not an option,#stent exclusion helps. 2 IRs, 3 RT’s and 4 hrs later,#trapease (8yr)#occlusion#device successfully excluded. Thanks Buckley from@BDandCo for#venovo support.#irad#TwittIR@SIRspecialists@SIR_ECS@SIRRFS@CVIR_Journal@JVIRmedia@EVTodaypic.twitter.com/qxKOWEu3bJ
-
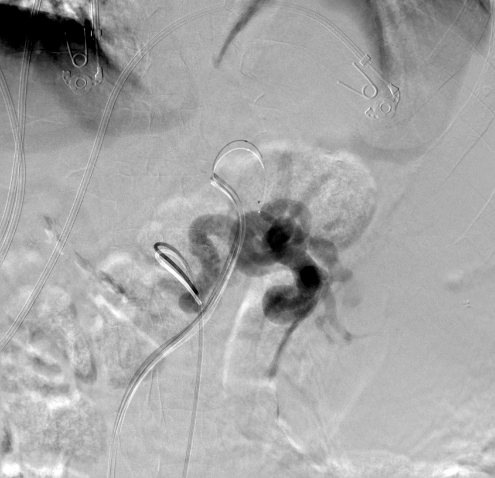
56 Y O known Chronic Liver Disease with Isolated Gastric Varices. Treated by
#Balloon#Occlusion Transvenous#Obliteration and#VascularPlug Placement#Intervention#Radiology#Makkahpic.twitter.com/0eup4cuY7x
-
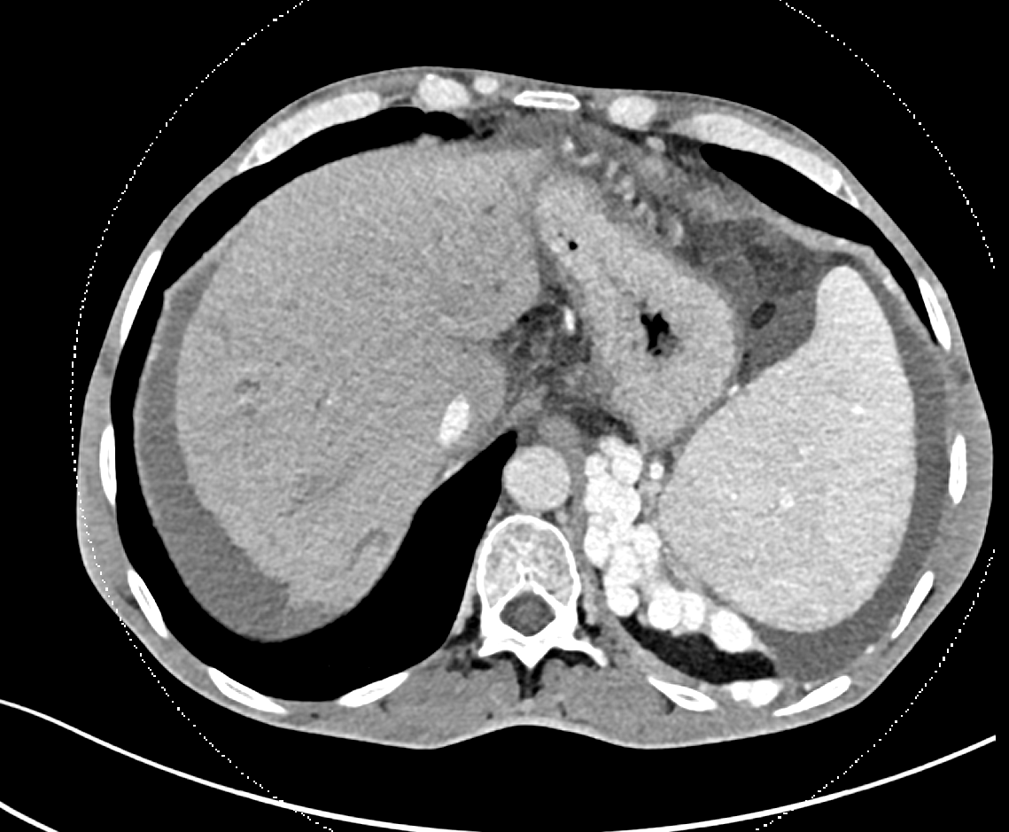
Last case of 2019. Successful
#recanalisation of chronic#splenicvein#occlusion using#transhepatic approach.#portalvein and#SMV reconstructed for#palliation#pancreaticcancer. Wish everyone happy 2020.#irad@SIRspecialists@SIR_ECS@SIRRFS@JVIRmedia@CVIR_Journalpic.twitter.com/Lgma0lTJUd
-
#venousreconstruction for b/l#legswelling.#IVC#occlusion from#filter placed 6 months ago for DVT and brain bleed. 2 IR effort ( Dr. Gordon).#filterretrieval followed by#iliocaval#stenting with#venovo.#irad#twittIR@SIRspecialists@SIR_ECS@SIRRFS@JVIRmedia@PairsWebpic.twitter.com/PqlCM1BJxL
-
Trying out Google's ARCore Depth API. Not bad at all, yet not perfect. We are getting there.
#object#occlusion#ARpic.twitter.com/FzNecP3ADh -
After months of hard work and intensive effort, we bring Depth API in
#ARCore. It enables#developers to create a depth map and create#occlusion, an ability for digital objects to be placed in front or behind real world objects.#AugmentedReality#Googlehttps://developers.googleblog.com/2019/12/blending-realities-with-arcore-depth-api.html?m=1 … -
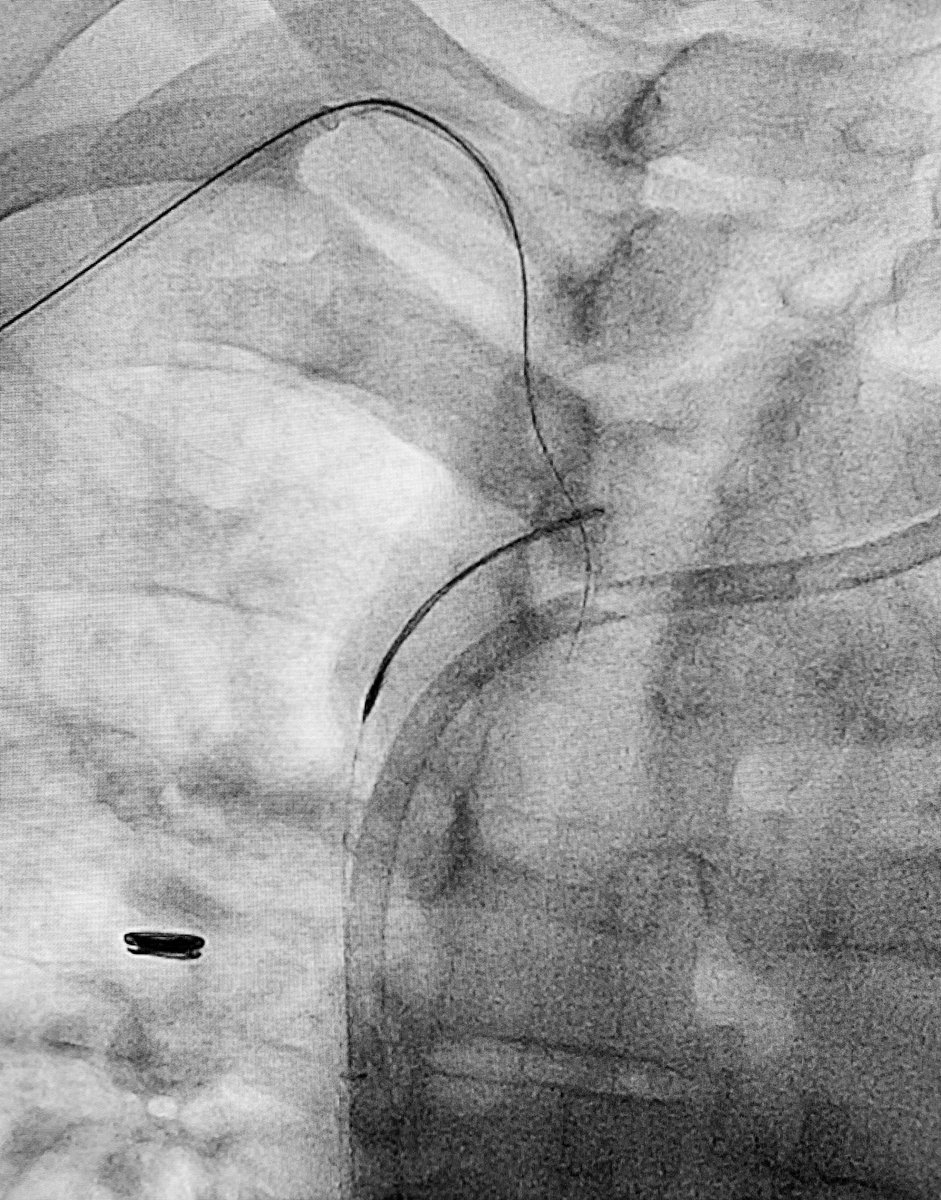
Chronic left
#subclavian#occlusion w/ arm#claudication. Treated w/ balloon expandable#VBX#stentgraft. Palpable#pulses at wrist.pic.twitter.com/t2BzQdyxud
-
#vascular Patient with chronic right iliofemoral#CTO, L fem-fem#bypass graft, R fem-pop flush#occlusion with little room for#antegrade stick, worsening R leg#ischemia, who you gonna call?#iRad#twittIR#CLI@PenVascular#CAT8 single session#thrombectomy, no#tPApic.twitter.com/3rZWfhVDbm
-
Chronic R BCV occlusion with severe RUE swelling treated with good’ole snare and CTO wire technique. Fun case today with
@ElmasriFakhir@SIRspecialists@SIR_ECS#CTVO#dialysis#ESRD#occlusion#stent#snare#angioplasty#venousocclusion@cirsesociety#irad@JVIRmedia@CAIRads pic.twitter.com/ybdNh3iU8L
-
SVC syndrome from Type 4, chronic , CTVO with h/0 lung malignancy EBRT. CT shows both Innominate, SVC occlusion with extensive chest wall collaterals. Done with conscious sedation although prefer GA.
@SIRspecialists@SIR_ECS@JVIRmedia@AVIRnews#irad#Occlusion#SVC@EVTodaypic.twitter.com/iJGNmgePEJ
-
#ARKit3 用浸水体験アプリです.水面の表現を向上させました.引き続き開発を進めて行きます.#iPhone#Apple#ARKit#floods#DisasterScope#AR#augmentedreality#occlusion#防災pic.twitter.com/0s4Qr6gIs2 -
#OnlineFirst: Cranial dural#arteriovenous shunts: selection of the ideal lesion for surgical#occlusion according to the classification system from
#Neurosurgery#nsgy#vascular#DAVF#ActaNeuro https://link.springer.com/article/10.1007/s00701-019-03984-4 …pic.twitter.com/ZpFe3gDFYr
-
#occlusion#SBRD Classification of articulatorspic.twitter.com/GIwCLsYmA9
-
#occlusion#SBRD Canine guidance or group-function guidance?pic.twitter.com/fG7iFs1D8Z
Čini se da učitavanje traje već neko vrijeme.
Twitter je možda preopterećen ili ima kratkotrajnih poteškoća u radu. Pokušajte ponovno ili potražite dodatne informacije u odjeljku Status Twittera.
