-
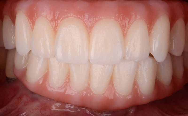
The beautiful transformation is the obvious part of this case, but true precision and engineering went into it to provide the lip support and achieve the highest function possible. https://buff.ly/2Wm4KWO
#prosthodontist#newsmile#artlabdentistrypic.twitter.com/67vQabMKVI
-
Peace out braces! Congratulations on your new smile, Arden!
#GarrettOrthodontics#NewSmile pic.twitter.com/YJvQtMNMii
-
Jean Marie has a brand new smile! Congratulations!

#GardnerGrins#NewSmile pic.twitter.com/cEufg6vWs8
-
What Is Dental Bonding? (http://ow.ly/9AYR30oKKeP )
#DentalBonding#DentalHealth#NewSmile pic.twitter.com/bEMSjXFgXQ
-
For adults and teens who don’t like the idea of wearing braces, Invisalign could be the solution. Think Invisalign might be right for you? Contact First Impression Orthodontics today for your complimentary consultation!
#FIO#Invisalign#NewSmile pic.twitter.com/3h973VefK4
-
After losing her 4 front teeth in an accident, see Kelly's beautifully restored smile. Read her bone grafting and implants case study at Portland Perio Implant Center https://buff.ly/2BnKQkj
#dentalimplants#newsmile pic.twitter.com/hO7PdULL04
-
RT>
@ArtLabDentistry: Another recent full-mouth reconstruction completed at ArtLab#Dentistry. See more photos and read the case study here: https://buff.ly/31Jx5oW#dentalimplants#newsmile#fullmouthreconstructionpic.twitter.com/rtD90eDCuw
-
First day of a new smile for Mattie!! Congratulations!!


#GarrettOrthodontics#NewSmile pic.twitter.com/I2CuQHhBtw
-
Look Decades Younger With Dental Implants https://buff.ly/2HTaxH4
#newsmile#dentalimplants#allon4#willowpassdentalcarepic.twitter.com/Hmr3dhig7v
-
Dr. Benjamin is a Smile Virtual Specialist! Get the smile you've always wanted. With her FREE smile virtual consult, you can get started with changing your smile in just 3 easy steps!
#SmileVirtual#NewSmile#MarinaToothFairyDentalpic.twitter.com/AIF4EIdnU3
-
Take Down Tuesday! We love your new rocking smile! Congratulations!

#GardnerGrin#NewSmile#TakeDownpic.twitter.com/kQPRnBOQBE
-
Transformation Tuesday! We love your new smile! Thank you for being an awesome patient!

#GardnerGrin#NewSmile pic.twitter.com/idmMTyyxZm
-
Here is a recent Yelp review from our patient G.D. - "There aren't enough stars on yelp to rate Dr. Reshad, as 5 stars aren't enough. He has changed my life by designing the smile of my dreams."
#newsmile#dentalimplantspic.twitter.com/FtxsNyCRYE
-
Busy schedule? With Invisalign, you have fewer and shorter office visits! Contact Wake Orthodontics and Pediatric Dentistry today at 919-719-1780 for your complimentary consultation to see if Invisalign is right for you!

#WakeOrthoPedo#Invisalign#NewSmile pic.twitter.com/Iy7Rn20V6I
-
Tuesday Reveal. We love this part of our job. This patient has just seen her new smile for the first time after a 3 hour treatment .
#newsmile#compositebonding#smilemakeover#manchestercitycentre#towncentre#dentistry#tuesday#makingoeoplesmile#surprise#reveal#dentistrypic.twitter.com/hIywgiFc24 -
If you are not willing to risk the usual, you will have to settle for the ordinary...
#OluwaClassic04#KingLifeStyle#NewSmile — in Abuja https://www.facebook.com/100001694810373/posts/2516586568407812/ … -
Dental Implants or Dental Bridges: Which is Best? - ArtLab Dentistry https://buff.ly/2PTa2mj
#newsmile#healthymouth#confidence#prosthodontist#dentalcarepic.twitter.com/A3QxUq6G16
-
Jonas got his braces off just in time to celebrate his birthday in a couple of days! Happy Early Birthday and congratulations on your new smile!


#GarrettOrthodontics#NewSmile pic.twitter.com/wzbFIiNoFj
Загрузка может занять некоторое время.
Вероятно, серверы Твиттера перегружены или в их работе произошел кратковременный сбой. Повторите попытку или посетите страницу Статус Твиттера, чтобы узнать более подробную информацию.