-
Read my latest
#research on#locuscoeruleus#neuropathology in progressive supranuclear palsy, published with@SpringerNature in Acta Neuropathologica Communications. https://doi.org/10.1186/s40478-020-0886-0 …@CambridgeFTD@SpillantiniLab -
An yet another top ten paper on recent disoveries in
#neuropathology has appeared in#freeneuropathology --#neurovascular disease#stroke#cerebrovascular#cavernoma pic.twitter.com/tLF5iiPk1x
-
what a motivational lecture from
@IngmarBlumcke about last update in#epilepsie#neuropathology in@MedUni_Wien#Vienna@EpilepsiaJourn@EANSonline@Samir_Jabari_@TheJNS@WorldNeurosurg@IlaeWeb#Neurosurgery@NatureNeuro@FAU_Germany@junge_epi@EpilepsyBehavi1pic.twitter.com/r620qt584d
-
https://drawittoknowit.com/course/neurological-system/glossary/eeg-findings/tonic-clonic-seizure … Review Tonic-Clonic Seizures - click to see different phases.
#usmle#seizures#tonicclonic#neurology#neuroscience#brainscience#pathology#neuropathology#seizurephases#meded#medicalscience#medicalschool#medicalstudent#neuroresident -
https://drawittoknowit.com/course/neurological-system/glossary/eeg-findings/status-myoclonus … Learn about epilepsy with our newest tutorials!
#ditki#epilepsy#pathology#neuropathology#neuroscience#neurology#medicalschooltutorials#medicalschool#medicaleducation#clinicalmedicine#statusmyoclonus#usmle#comlex#apbn#neuroresidency -
Only Psychiatrists who say they want
#ECT are ones who never studied#neuropathology of#Electricalinjury & neuropathology of cumulative effects of multiple seizures, forgetting that lack of SOPs in admin technique could make them like me instead of anecdotal success stories. pic.twitter.com/CThhYeHOSS
-
Clinical management and genomic profiling of
#pediatric low-grade gliomas in Saudi Arabia @PLOSONE#neuropathology#PLGG#Neurosurgery#NeuroOncologyhttps://journals.plos.org/plosone/article?id=10.1371/journal.pone.0228356 …Prikaži ovu nit -
Delighted to welcome
@Derek_UCL as our new social media editor@NAN_Wiley and thank you to@Dr_AbiLi for her amazing work in this role@TNRLab@rohandesilva@JRobinHighley@J9Kirby@Hesx1JP@wileyneurology#neuropathology@smarino0111 -
Review of DNA‐Methylation‐based Classification of Paediatric Brain Tumours
@TNRLab@rohandesilva@JRobinHighley@J9Kirby@Hesx1JP@wileyneurology@NAN_Wiley#neuropathology#braintumor#diagnosis#epigenetics https://buff.ly/30zfFLI pic.twitter.com/dksr1tgVOq
-
Extradural- spinal lesion in a 50 year old male. What are your differentials? Immunos to come later.
#brain#cns#pathology#neuropath#neurosurgery#surgery#neuropathology
pic.twitter.com/yjgZYV7MnL
Prikaži ovu nit -
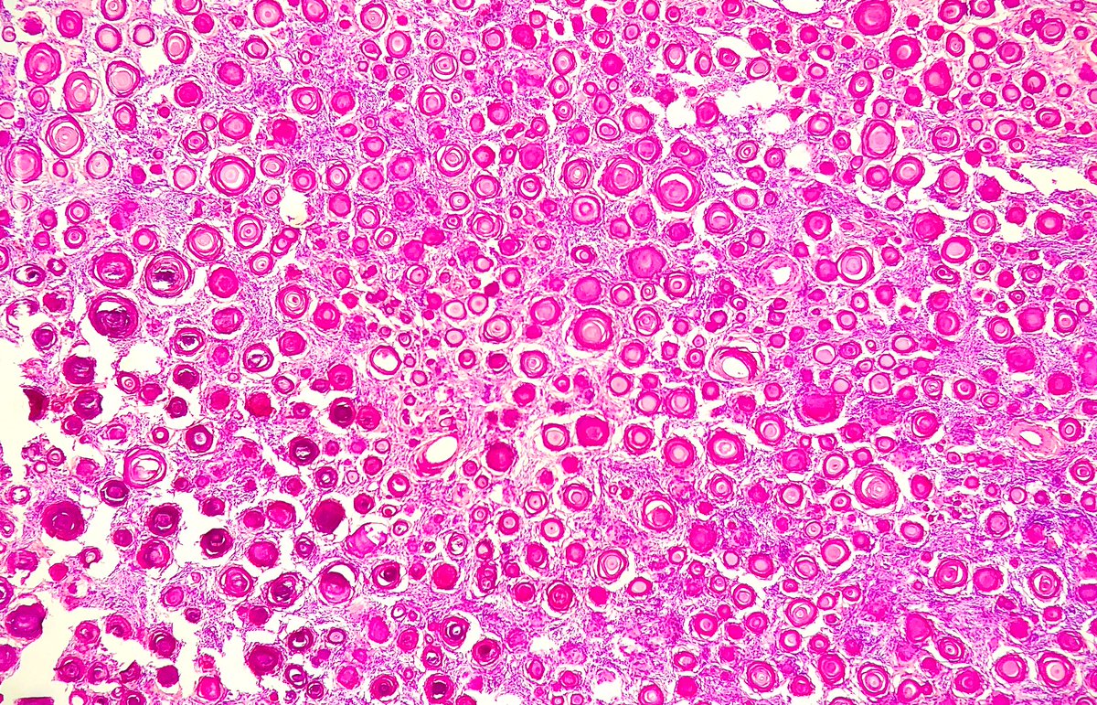
A nice psammomatous meningioma to start the year
#NeuroPathology#Pathology#PathArt#Prettypic.twitter.com/lhT8aiJmDN
-
Arteriovenous malformation.
#pathology#neuropathology pic.twitter.com/iyzFHmyolQ
-
Congenital CMV with microcephaly. Classic intranuclear and cytoplasmic viral inclusions.
#neuropathology#neuropathpic.twitter.com/HxtzfcKe7L
-
Coronal section through the frontal lobes shows hemorrhage involving the vascular territory of which of these three major cerebral arteries? https://adventuresinneuropathology.com/2019/10/21/cerebral-vascular-territories/ …
#vascular#cerebral#territory#artery#MCA#stroke#infarction#ischemic#hematoma#hemorrhage#neuropathology pic.twitter.com/5TIiG9Xdjq
-
60 year-old immunocompetent female with contrast enhancing masses in the brain. What is your diagnosis?
#pathology#neuropathology@RoswellParkPath@KaneYehonatan@HaiyingZhan@SayeedaYasmeen@RashidipourOmid@DeviVijay3@evemariecranepic.twitter.com/dG9JMrhUYj
-
Honored to win first place in the Residents Forum Photo Contest this weekend! This is a psammomatous variant of a spinal meningioma.
#cap19orl#neuropathology#ucladgsompic.twitter.com/2LYkFwU1bA
-
Continuation of case 55 year old female with congenital HIV. Permanents show background of histiocytes and these large round cells with marginization and subtle inclusions.
#neuro#pathology#neuropathology#neuropath#neurosurgerypic.twitter.com/rTRc4o15nd
Prikaži ovu nit -
55 year old female with multiple non enhancing lesions within the cortex and areas of the brain stem. Patient with a history of HIV. What are differentials based on frozen and smear?
#neuro#neuropathology#neurosurgery#pathology#brain
pic.twitter.com/8dfpPXZKEM
Prikaži ovu nit -
Subependymal giant cell astrocytoma (SEGA), WHO grade I. HE stain.
#pathology#neuropathology pic.twitter.com/P387ILllWP
-
This is brain autopsy of a 65 year female with bowel perforation. Gross diagnosis ?
#autopsy#neuropathology#NU_Pathologypic.twitter.com/R2jDliZCSX
Čini se da učitavanje traje već neko vrijeme.
Twitter je možda preopterećen ili ima kratkotrajnih poteškoća u radu. Pokušajte ponovno ili potražite dodatne informacije u odjeljku Status Twittera.