-






I II III MENINGIOMA I II III - My first [ #neuropath GIF ]
-
#BrainTumor#PathBoards#pathology#patologia#pathresidents#neurooncology#pathart#pathclassic#meningioma#histopathology#pathclues#brain#neuro#pathtwitter#MedEd#neurosurgerypic.twitter.com/zhsSQVYanIPrikaži ovu nit -
#Hypotension#infarcts can also occur in the#cerebellum. Here's one involving the superior cerebellar artery's watershed territory.#pathology#neuropath#pathtwitter#brain#strokepic.twitter.com/nkQ6GEZY2I
-
Early View: Julieann Lee and international collaborators describe the clinicopathological features of intracranial desmoplastic small round cell tumors
#neuropath#BrainTumor@DKFZ@UCSFHospitals@UCSFCancer https://onlinelibrary.wiley.com/doi/abs/10.1111/bpa.12809?af=R …pic.twitter.com/1NNuthcrXK
-
January 2020 issue highlights: Lester and McDonald review Intracranial
#Ependymoma: Molecular Insights and Translation to Treatment#neuropath#neurooncology#BrainTumorhttps://onlinelibrary.wiley.com/doi/10.1111/bpa.12781 … -
Impairment of glymphatic pathway and putative meningeal lymphatic vessels in aging human. Ann. Neurol.
#neuropath https://doi.org/10.1002/ana.25670 … -
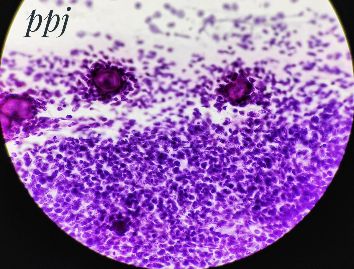
Cerebellar mass in an older, immunocompromised patient. Diagnosis? What stain is this?
#neuropath#CrittersOnTwitter@neuropathmk@kylesconwaypic.twitter.com/6XViSHq9fq
-
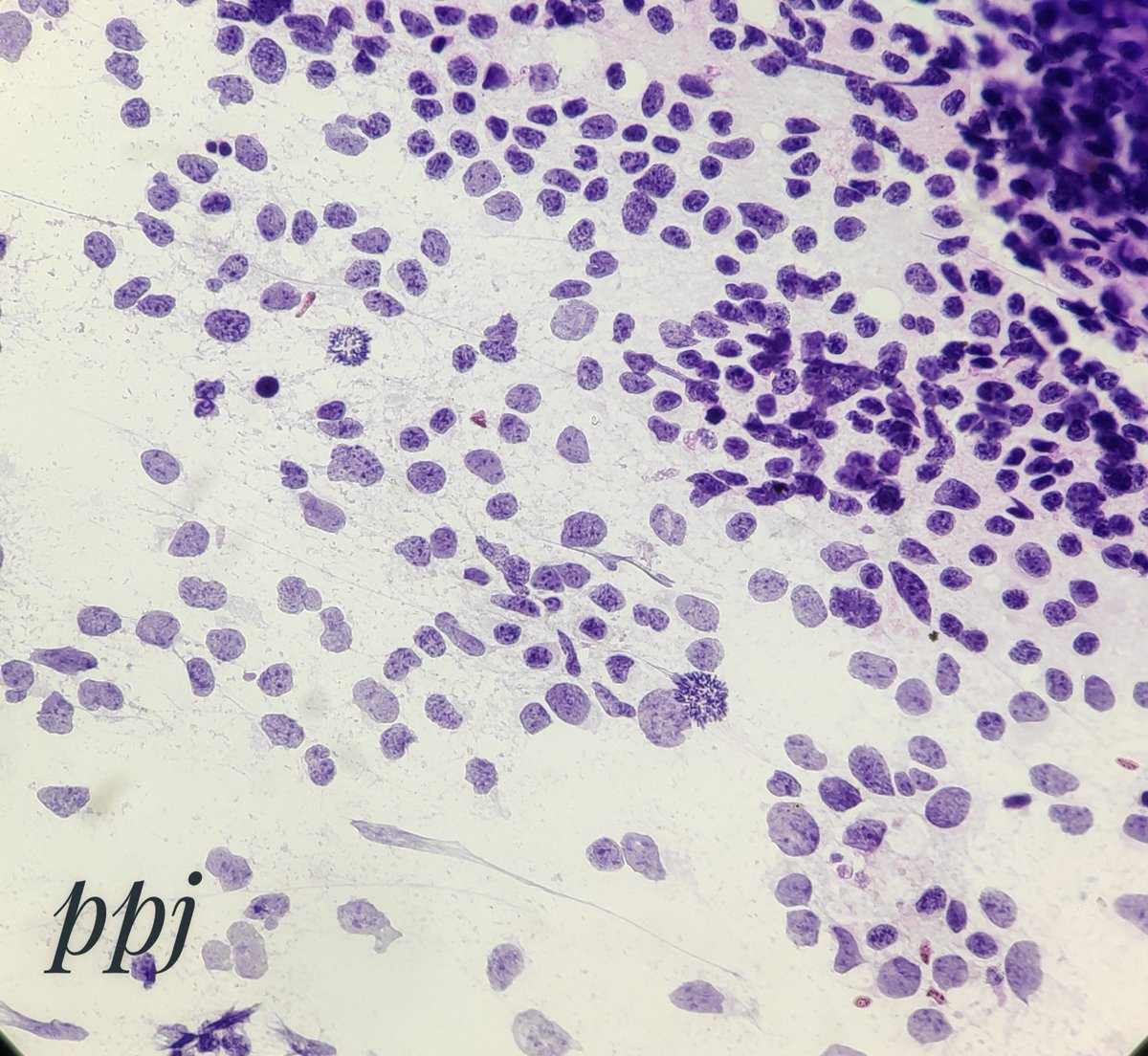
Middle aged male. Lesion in Corpus callosum with calcification. Squash smears
. Small cells, numerous mitoses. What should we sign out as? #pathology#neuropath#frozensection#squashsmears#expertsspeak@FRodriguezNP@CraigHorbinski@MishiePishi@neuropathmk@anushasbhattpic.twitter.com/mlxeKolSvX
-
Getting ready for this great review!
#neuropath pic.twitter.com/ODrJmLthzl
-
Watch and share this masterclass presentation by
@afgao on the history and state of the art of#neuropath classification of#glioma#molecular#glioblastoma#GBM#braintumours#WHO#pathology#neurooncology#neurosurgery#neurologyhttps://youtu.be/NQ_1qZqfhlc -
Analysis of neurodegenerative disease-causing genes in dementia with Lewy bodies.
#neuropath https://actaneurocomms.biomedcentral.com/articles/10.1186/s40478-020-0879-z … -
Ependymoma with numerous true rosettes, a characteristic but rare finding. IHC: EMA (luminal border and perinuclear dot-like)
#neuropath pic.twitter.com/KJlM6LQX89
-
Top 10 Most Accessed 2019
#OpenAccess: Bieniek,@DrMMB, and colleagues investigate the association between contact sports participation and#CTE@MayoClinic@MayoClinicPath#neuropath https://onlinelibrary.wiley.com/doi/10.1111/bpa.12757 …pic.twitter.com/L04JxiDiIM
-
Always tough getting embryonal
#neuropath tumors in young children. Baby with enhancing pineal-region mass with metastases to spinal cord. Germ cell markers negative. H3K27M neg. What is your ddx for this? What other workup would you like? WSI: http://the.pathology.network/share/ddab10fa0092139a25805e0bee305017 …pic.twitter.com/cQhG7XBXl6
-
No mitosis seems. MIB <1%. No history that we know of TSC. Waiting on molecular results. Diagnosed as a Ganglioglioma Grade I.
#pathology#neuro#neurosurgery#brain#neuropath pic.twitter.com/ewjpJz0BAm
Prikaži ovu nit -
c-IMPACT-NOW update 5 has suggested some interesting changes in the grading and terminology for IDH-mutant astrocytomas: CDKN2A/B and Arabic numerals are in, "glioblastoma" out
#neuropath https://link.springer.com/article/10.1007%2Fs00401-020-02127-9 …Prikaži ovu nit -
Mini-Symposium on
#medulloblastoma: Medulloblastoma Genomics in the Modern Molecular Era by@drpaulnorthcott and colleagues discusses the latest advances in the molecular classification of medulloblastoma and more#neuropath#neurooncology https://onlinelibrary.wiley.com/doi/10.1111/bpa.12804 …pic.twitter.com/IZDexp0xkL
-
56 year-old woman with left parietal
#brain tumor. Diagnosis? Any other tests you'd like to run (perhaps an abdominal#CT scan)?#pathology#pathtwitter#neuropath@NeuroOnc@neuropathology@NU_Pathology@NeurosurgeryNMpic.twitter.com/Fh9l2pCXmE
Prikaži ovu nit -
5 year old male with a frontal lobe lesion.
Differential? Work up? #neuro#pathology#neurosurgery#neuropath#brain#CNS#surgery
pic.twitter.com/1VjDltstUO
Prikaži ovu nit -
Prognostic and radiographic correlates of a prospectively collected molecularly profiled cohort of IDH1/2‐wildtype astrocytomas.
#neuropath https://onlinelibrary.wiley.com/doi/abs/10.1111/bpa.12826 … -
Alternaria
#keratitis in a gardener who got a piece of a thorn in her#eye. Consider wearing safety glasses!#eyepath#neuropath#pathtwitter#ophthalmologypic.twitter.com/uCG4S1IwOZ
Čini se da učitavanje traje već neko vrijeme.
Twitter je možda preopterećen ili ima kratkotrajnih poteškoća u radu. Pokušajte ponovno ili potražite dodatne informacije u odjeljku Status Twittera.