-
3D "printing": Dr. Lopez-Rueda
#neuroimagen#funnyneuradiolgypic.twitter.com/9zcGWpuOYT
-
Advanced MRI: Dr. Tamames
#neuroimagen Exciting SENR pic.twitter.com/hrqSdwVV0f
-
Hello Mexico! Getting ready to give three talks in three days at the Instituto de Neurobiología in Querétaro and the
#Neuroimagen annual meeting in Guanajuato. Couldn't wish for a better scenery to do my prep:) pic.twitter.com/fpI8mzV3c6
-
Machine learning
#Neuroimagen Biomarker Discovery-Aplication to#Alzheimer Disease by@jussi_tohka un@Fund_CIEN http://www.jussitohka.net pic.twitter.com/wo97AK3tSn
-
Los trastornos de la migración neuronal son una causa de epilepsia focal. En este caso tenemos una paciente con crisis frontales y un doble córtex en la misma región en RM (T1 coronal -izq-, y axial -dcha-)
#Epiteca#Neuroimagen pic.twitter.com/EmyZEuJPBT
-
Indignante que médicos digan a pacientes que no creen en
#Fibromialgia. Hay multitud de estudios de#neuroimagen#ActividadMetabólicaBasal#anatómicos#moleculares tras realización de tareas o terapias experimentales que demuestran alteraciones funcionales-estructurales en SNCpic.twitter.com/JddmNNkSKK
-
Se abren nuevas posibilidades de cirugía para pacientes con epilepsias refractarias y resonancias aparentemente “normales”. Nuestro equipo ha implantado un nuevo software de postproceso de imagen que permitirá detectar lesiones sutiles.
#Epiteca#Neuroimagen pic.twitter.com/qwF3BVRRyb
-
#Neuroimagen en estudio precirugía Espectaculares ponencias por ponentes excepcionales pic.twitter.com/4tRaF2RkkR
-
Pero es que las siguientes máquinas tienen ya 10.5 T... ¿Dónde está el límite de la
#neuroimagen ? En este artículo lo explican a fondo

https://www.nature.com/articles/d41586-018-07182-7 …Prikaži ovu nit -
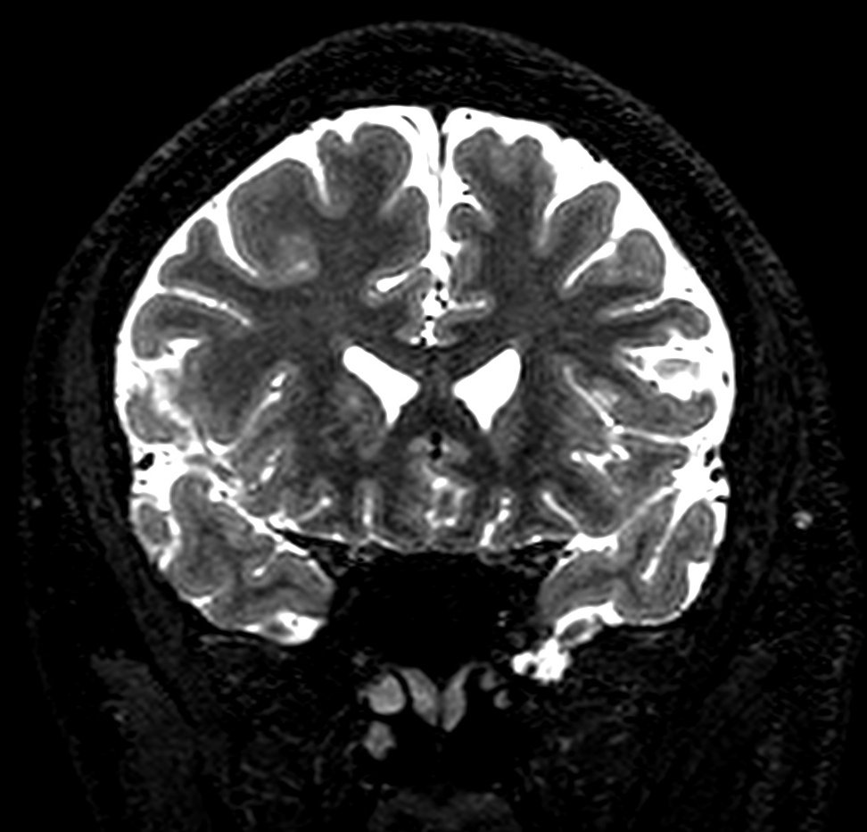
El encefalocele temporal es una causa oculta de epilepsia focal recientemente descrita. En este caso tenemos un ejemplo típico en región temporopolar, en RM T2 coronal
#Epiteca#Neuroimagen pic.twitter.com/qeBIwb275h
-
Progreso habitual de un derrame cerebral
#Neuroimagen#Radiologíapic.twitter.com/vEjJtot4qZ
-
Nos sumamos desde la
#Radiologia al#diamundiacontraeldolor Porque el#Paciente con dolor de espalda sufre mientras tarda el diagnóstico concluyente Porque el dolor de cabeza en#Neuroimagen es una gran incertidumbre (#Neurologia) Por su dolor intestinal Y en#Reumatologia...pic.twitter.com/ARz9ccaUbM
-
¡Tenemos nuevo webinar!
@daperezm habla del enfoque inicial ante un paciente con#cefalea: síntomas y signos de alarma al evaluar una cefalea, solicitud de pruebas de#neuroimagen... ¿Te lo vas a perder? http://ow.ly/cmFC50uSEaa pic.twitter.com/OiYJuC0wRs -
Módulo de formación continua de la
#SOCANE#Socanectados. Próximo 18 de diciembre. Actualización en#neuroimagen. Asistencia libre. En colaboración con@NovartisSpain. ¿Te lo vas a perder?pic.twitter.com/jFEm4OAE7P
-
Doctor en Neurociencias por la
@unav Directores: Dr. José A. Obeso y Dr. Iván Peñuelas#Neuroimagen#Parkinsonpic.twitter.com/Jaaaz76gQX
-
Que gran proyecto, que generosidad formarnos
@epilepsiaHRI#Epiteca#Neuroimagen https://twitter.com/EpilepsiaHRI/status/1024935212042649603 …
-
Conocer a los profesionales y el trabajo de los investigadores de
@Fund_CIEN en#Radiología#neuroimagen pic.twitter.com/MPCitKvTDs
-
#HackathonSalud Rompiendo el hielo..... Reto en#Neuroimagen y predicción de edad y Enfermedad de#Alzheimer Lo mejor...
el trabajo en equipo... Y nada menos que con tres especialistas en #DataScience Disfrutando......pic.twitter.com/7SIoGpVDrt
-
Estudios de
#neuroimagen confirman la inflamación cerebral en pacientes con#fibromialgia http://www.neurologia.com//noticia/6942/estudios-de-neuroimagen-confirman-la-inflamacion-cerebral-en-pacientes-con-fibromialgia …
Čini se da učitavanje traje već neko vrijeme.
Twitter je možda preopterećen ili ima kratkotrajnih poteškoća u radu. Pokušajte ponovno ili potražite dodatne informacije u odjeljku Status Twittera.