-
Want to learn about meningiomas from an amazing
#neuropathologist and excellent teacher?#neuropath#pathboardshttps://twitter.com/FRodriguezNP/status/1121844104470593537 … -
Looking forward to Tuesday’s session!
#pathCast#neuroPath https://twitter.com/frodrigueznp/status/1121844104470593537 … -
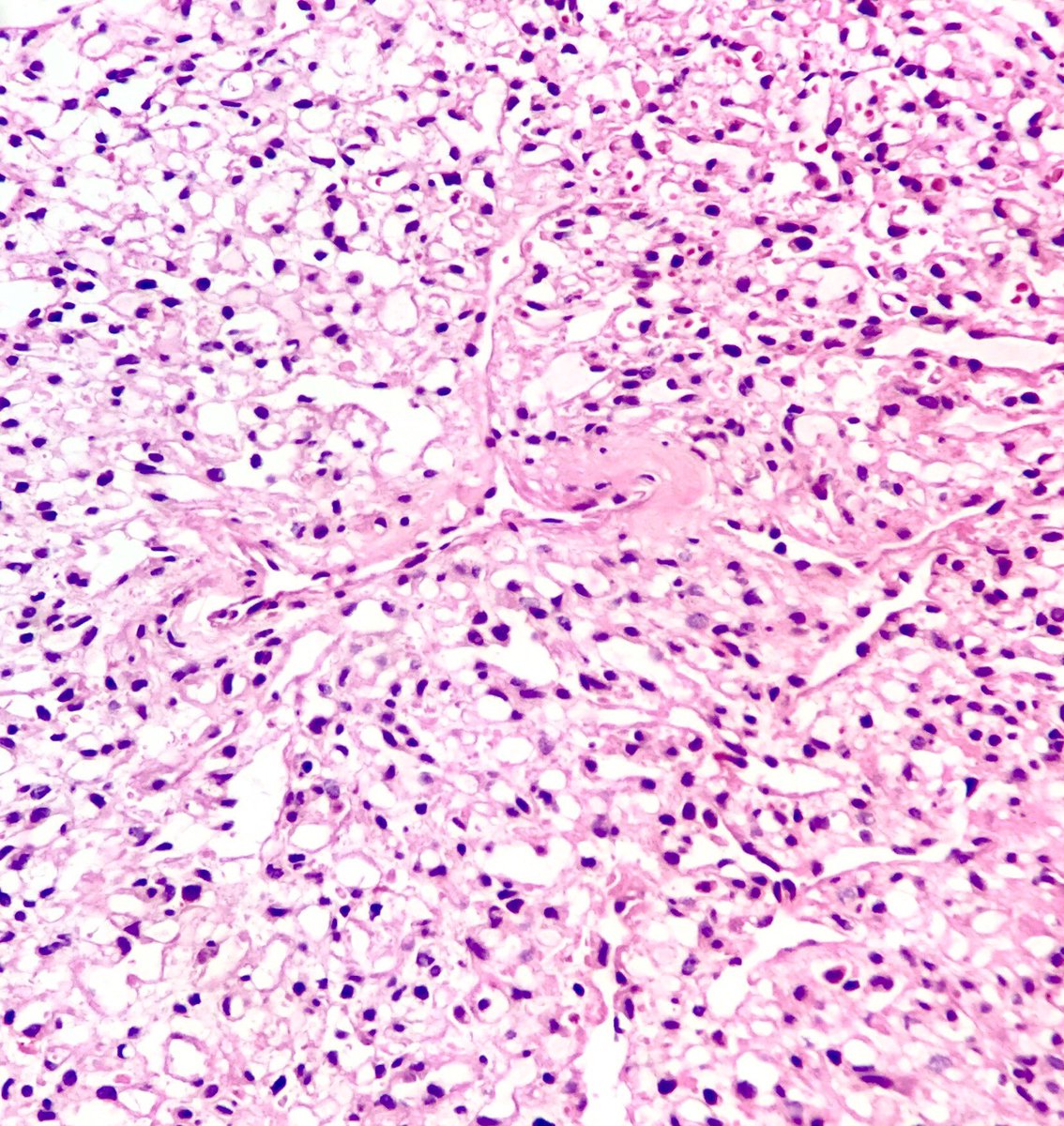
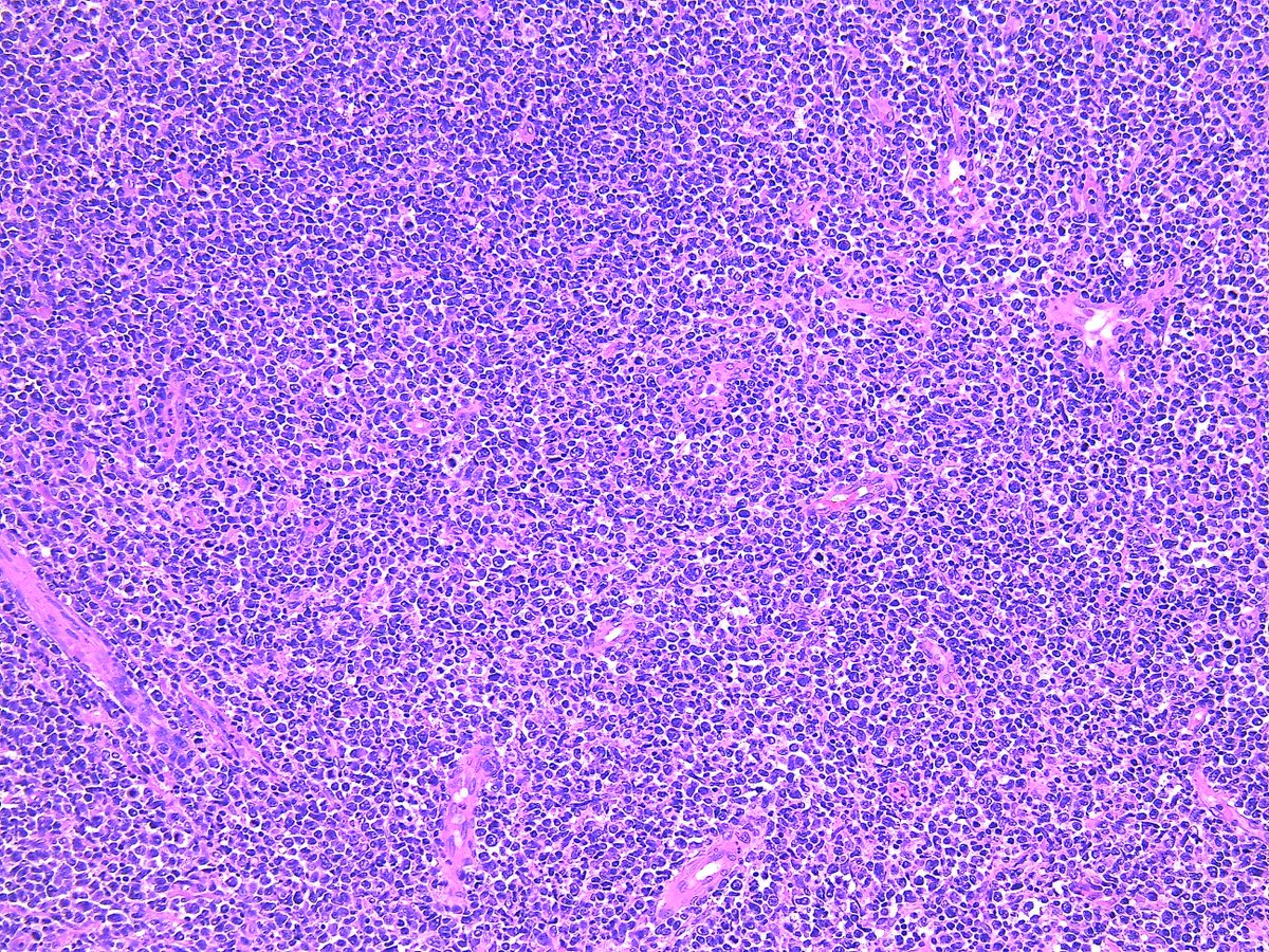
Two very different histologic patterns in the exact same pituitary adenoma.
#pathology#neuropath#pituitary#adenomapic.twitter.com/GKO6yLBrw7
-
Virtual H&E slides for Tuesday April 30 available in the link below. The topic is meningiomas. Lot's to cover!
#neuropath#meningioma@mannanrifat03@EMadrigalDO@neuropathology@pathologyCast https://digital.pathology.johnshopkins.edu/repos/1577 -
This
@neuroshef@cistib collaboration between#neuropath and#engineering develops new techniques to show changes in blood vessels in the white matter lesions deep in the brain that are associated with#dementia.https://twitter.com/affrangi/status/1121693145098485760 … -
When you see cells like this in the deep white matter of the temporal lobe of a
#patient with intractable#epilepsy, what type of cortical dysplasia should you call it?#pathology#neuropath#seizure#corticaldysplasia
pic.twitter.com/xCYBznuXWt
عرض هذه السلسلة -
Here's the answers. You all did very well, some of these are quite difficult!
#pathology#neuropath#anatomy
pic.twitter.com/3ICIChYbPj
عرض هذه السلسلة -
This is a coronal section of a human
#brain. I've numbered all the structures I was able to identify. What does each number indicate?#pathology#neuropath#anatomy
pic.twitter.com/wNhg73Lynz
عرض هذه السلسلة -
How many structures can you identify in this Luxol fast blue-stained section of
#brain?#neuropath#pathology#SoMe4pathologypic.twitter.com/P2iYb6zuxz
عرض هذه السلسلة -
Chronic inflammatory demyelinating polyneuropathy: update on diagnosis, immunopathogenesis and treatment.
#neuropath https://jnnp.bmj.com/content/early/2019/04/16/jnnp-2019-320314 … -
Phosphorylated NUB1 distinguishes α‐synuclein in Lewy bodies from that in glial cytoplasmic inclusions in multiple system atrophy.
#neuropath https://onlinelibrary.wiley.com/doi/abs/10.1111/bpa.12728#.XL8SOXhUDYM.twitter … -
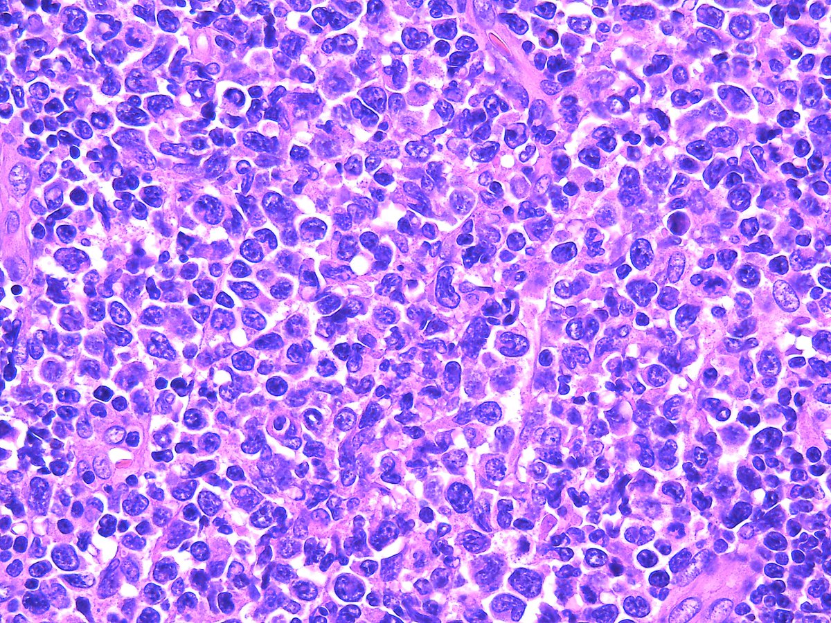
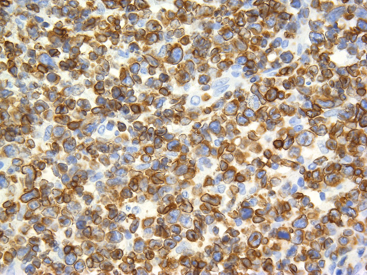
Peripheral T-cell lymphoma, not otherwise specified. HE and CD3.
#Neuropath#Hemepathpic.twitter.com/AFwttCvUaI
-
Another great example of an entity we reviewed recently.
#neuropath#ihcpath#pathboardshttps://twitter.com/mehmetsar1959/status/1120656203770675201 …
-
@mlage@CraigHorbinski @DrTomJacques@neuropathobern@kriyer68#newupdatesneuroonc#IDH#neuropath#gliomas Human glioblastoma arises from subventricular zone cells with low-level driver mutations. - http://bit.ly/2PmiABC -
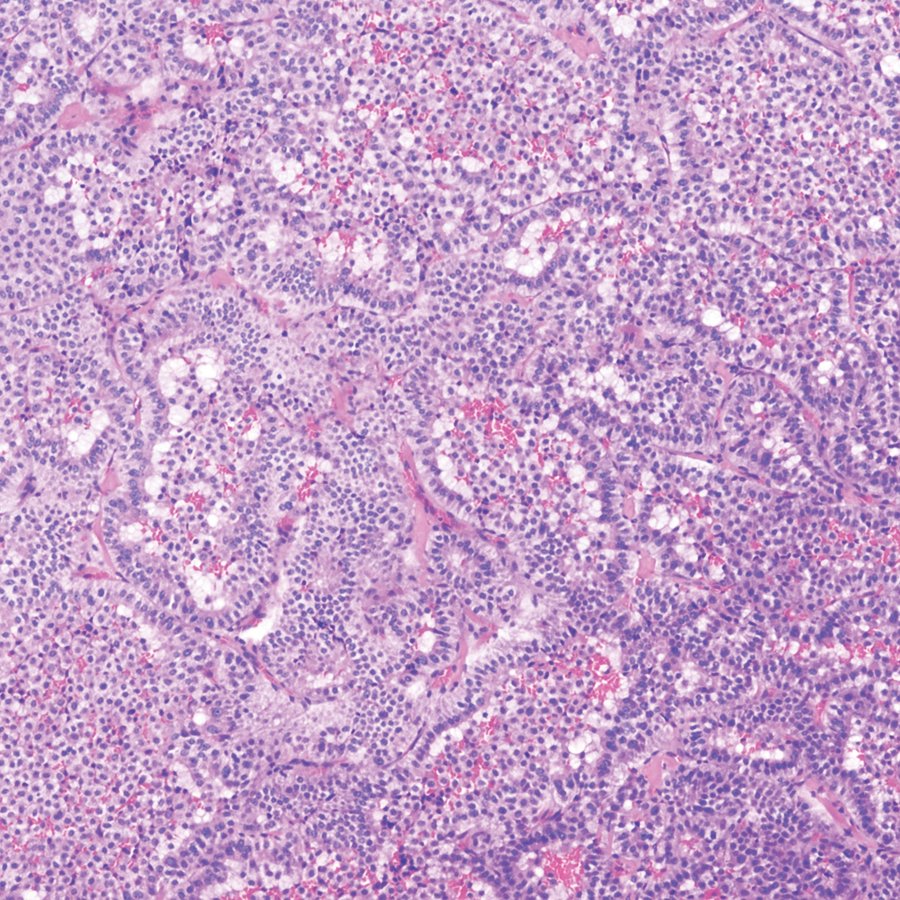
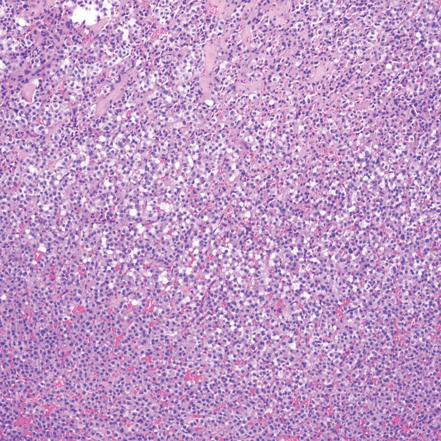
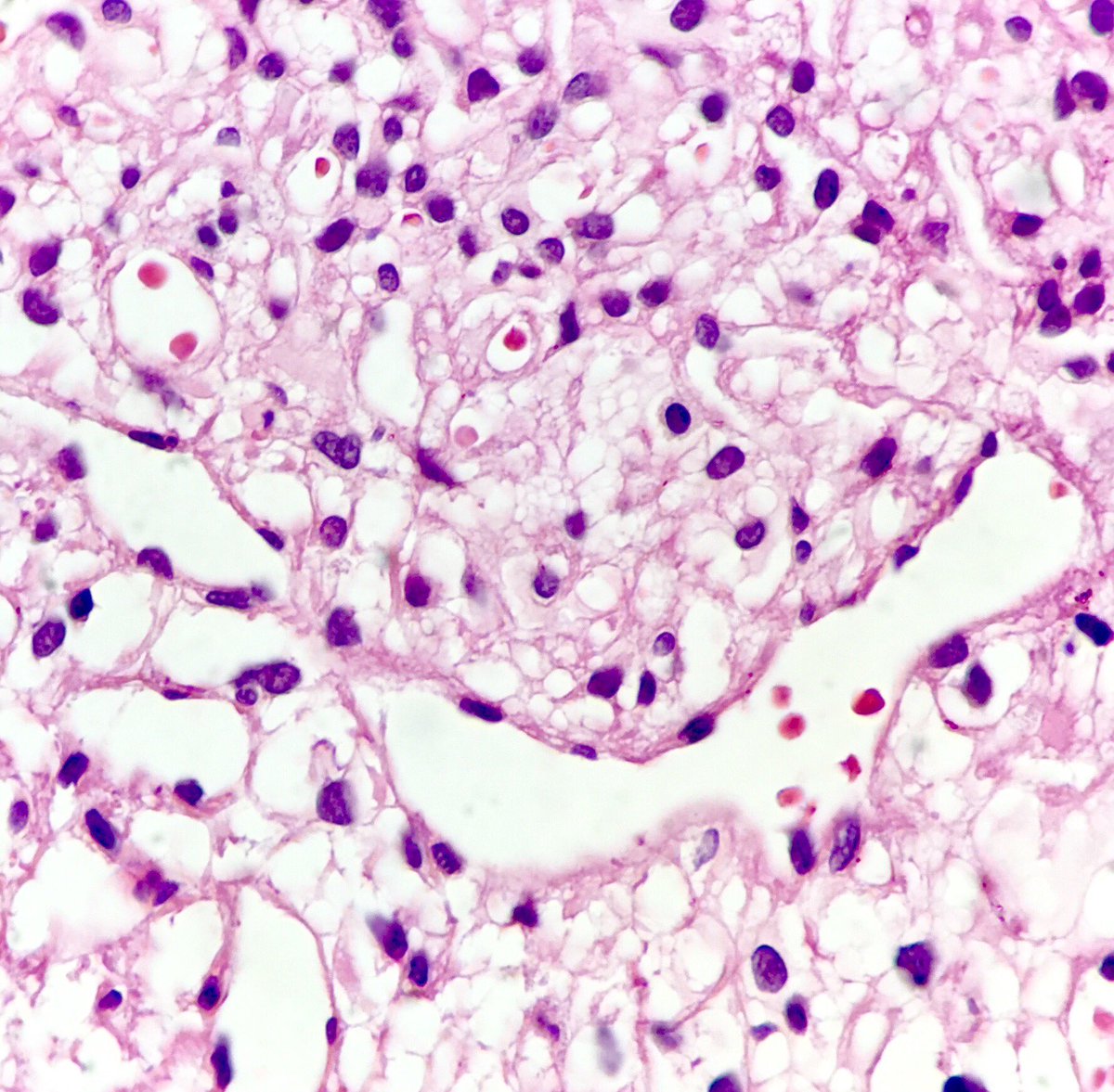
Pituitary adenoma. Pituitary gland, hypophysectomy. HE and lutenizing hormon.
#pathology#Neuropath#Endopathpic.twitter.com/7mDAtkjC6w
-
Primary cilium and brain aging: role in neural stem cells, neurodegenerative diseases and glioblastoma.
#neuropath https://www.sciencedirect.com/science/article/pii/S1568163718303052 … -
@DanielErsk1ne fantastic presentation about how neuropathology can aid biomarker discovery in#ParkinsonsDisease#qbri#Qatar#neuropath#neurosciencepic.twitter.com/INjKkxhXG9
-
1st symposium on Neurodegenerative diseases
#neuroscience#parkinsonsdisease#Parkinsons#Alzheimer#neuropath pic.twitter.com/D522kL1iWo
يبدو أن التحميل يستغرق بعض الوقت.
ربّما يعاني تويتر من الحمل الزائد أو يواجه عطلًا مؤقّتًا. حاول مجدّدًا أو تفقّد حالة تويتر لمزيد من المعلومات.