-
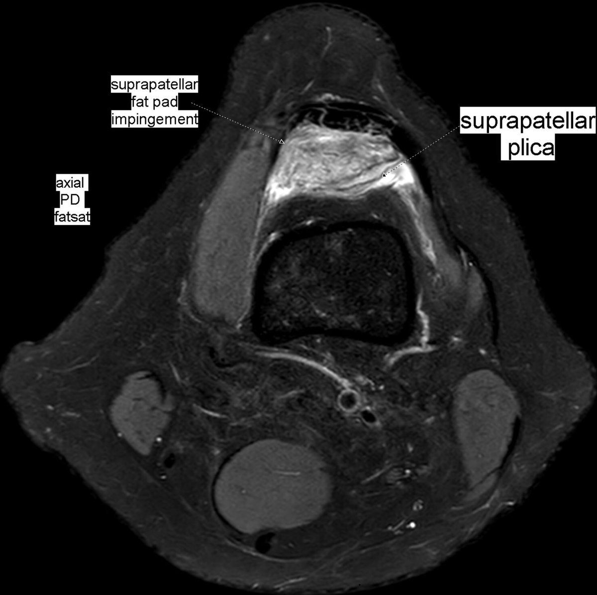
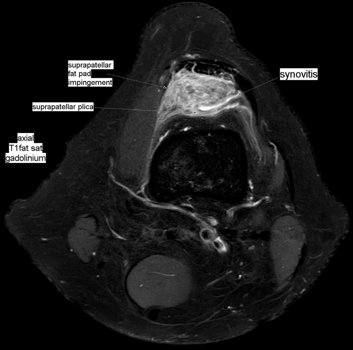
Patient with anterior knee pain. Localized synovitis of suprapatellar recess and suprapatellar fat pad impingement syndrome secondary to a suprapatellar plica: suprapatellar plica syndrome.
#MSKrad#knee#orthopaedics#radiology https://www.ncbi.nlm.nih.gov/pmc/articles/PMC6477514/pdf/main.pdf …pic.twitter.com/fvk7MUuDNt
-
-
Pain worsening after rest. New MRI 18 days after to rule out again stress fracture, now clearly seen. Back to baseline examination, the oblique fracture plane was better seen as a subtle line in sagittal images.
#peerlearning#MSKrad#foot#orthopaedicspic.twitter.com/HtDYoFvH8V
Prikaži ovu nit -
Superstar future
#MSKRad! Congratulations Teresa!
https://twitter.com/drteresamc/status/1224830770889383936 …
-
How runner's
#knee looks on#MRI#orthotwitter#msk#MSKrad#radiology#runnerhttps://youtu.be/pasL3pMEZc4 -
SSR Research Committee is now accepting Seed Grant applications. The recipient of the Seed Grant will be announced at the annual meeting! APPLY TODAY! More information available at the SSR website! (https://buff.ly/2GRm1Nv ).
#mskrad -
Gone fishin! Be back later. For more radiology and education material like this, check out my YouTube channel: https://buff.ly/31fHdGl New videos uploaded each week - SUBSCRIBE to get notifications about new content!
#FOAMed#FOAMrad#fishinglife#EmergencyMedicine#MSKRad pic.twitter.com/BSt3XLxuKS
-
"
#US-guided#Musculoskeletal Interventions in the#Hip with#MRI and US Correlation"#iRad#MSKRad https://twitter.com/RadioGraphics/status/1222605588544335875 …
-
Even though there is controversy about the „glenoid track concept“, we should provide the necessary measurements (Hill-Sachs interval, glenoid bone loss) in our reports in patients after shoulder dislocation. More details: https://www.mri-essentials.com/glenoid_track/
#mskrad#radres#orthotwitter -
Spinal Accessory Neuropathy MRI finding - Edema and atrophy of the Trapezius Muscle. In this particular case, the Sternocleidomastoid Muscle was uninvolved. SAN injury is usually related to prior neck surgery.
#RadRes#MSKRad pic.twitter.com/e26TM3eEHV
-
Pseudoerosions of hands and wrists a normal finding not to be confused with inflammatory arthritis' erosions Capsules / recesses and joint
Hand: isoechoic
Wrist: hypoechoic
to subdermal fat
Normal joint capsules and recess:
no hyperemia on color Doppler
#MSKRad#ultrasoundhttps://twitter.com/AnnaFalkowskiMD/status/1223894640434302976 …
-
Super- mega- lumbar disc herniation But
#WhyFusion?#MRI#MSKRad#NeuroRadhttps://twitter.com/jrasouli/status/1223683188976955393 …
-
Pseudoerosions are common in hand & wrist ultrasound and should not be mistaken for true inflammatory erosions Check out our article on this topic
https://authors.elsevier.com/a/1aUok,GNpjl78M …
#MSKrad#MSKradiology#MSKUS#POCUS@jjacobsn@VivekKaliaMD@GirishGandi@UMichRadiology@ELS_Radiologypic.twitter.com/WOXeVha252
-
Great Whole-body MRI symposium
@Unispital_USZ . Significant improvement of patient care in multiple myeloma (Christina Messiou):https://doi.org/10.1148/radiol.2019181949 … Increase diagnostic confidence, key role for early diagnosis in spondylarthritis (Andrea Rosskopf).#MSKrad pic.twitter.com/dzsyjUBO3g
-
-
Tarsal coalition. Why choose when you can have both?
Calcaneo-navicular & talocalcaneal coalition fibrous type.
#radres#radiology#mskrad pic.twitter.com/wjdZToy9sA
-
Woman, 40yo * Parosteal lipoma Juxtacortical fatty mass with adjacent cortical thickening - the amount of hyperostosis can vary: small area >>> exuberant exostoses
#mskrad#radiology#radiologia#mskpic.twitter.com/fIeODzsP23
-
Edema + patchy fatty infiltration of supraspinatus, infraspinatus, deltoid and teres minor muscles. Parsonage-Turner syndrome (acute brachial plexus neuritis) of suprascapular + axillary nerves. Associated adhesive capsulitis.
#MSKrad#shoulder#orthotwitterpic.twitter.com/1C0f9g30Ad
-
12 yo boy with buttock pain after soccer game
* Ischial tuberosity avulsion fracture
Easily missed on X-ray
Usually conservative when displaced <2 cm
#mskrad#sportsmedicine#Orthopedics#radiology#radiologiapic.twitter.com/inQAM3aOqg
Čini se da učitavanje traje već neko vrijeme.
Twitter je možda preopterećen ili ima kratkotrajnih poteškoća u radu. Pokušajte ponovno ili potražite dodatne informacije u odjeljku Status Twittera.