-
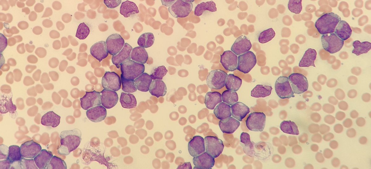
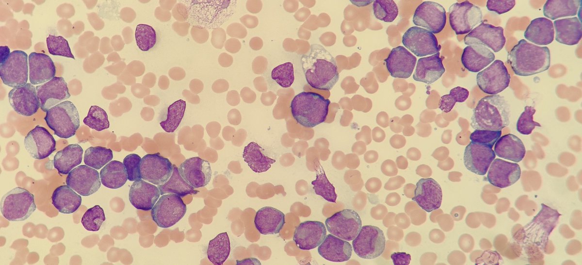
#MorphologyMonday They say you always remember your first. This was mine and turned my mundane, slow shift into something else. What do you think it is?#biomedicalscientist#underthescope#bloodfilm#haematology#morphology pic.twitter.com/fXULRERGir
-
HannahMannah suffering for beauty. Pretty rubberdolls make me so sadistic!
#rubberdoll#morphology at#MissVelour’s#RubberStudio Londonpic.twitter.com/47r1k2AHpuOvo je potencijalno osjetljiv multimedijski sadržaj. Saznajte više
-
Hello Twitter World! My name is Todd Green and I study comparative and functional anatomy of vertebrate animals―with particular interest in the evolutionary
#morphology of#ratite birds.pic.twitter.com/cCBpy7KjKy
Prikaži ovu nit -
My 2nd
#PhD chapter is out! Have a look if you're interested in#fish#teeth.#teamfish#predation#piscivory#morphology https://bit.ly/2kvpGci pic.twitter.com/xn11i8fJm8
-
My latest creation....
#rubbermistress#medicalmistress -#rubberdoll#morphology#specialistpic.twitter.com/MANGfGMeOfOvo je potencijalno osjetljiv multimedijski sadržaj. Saznajte više
Prikaži ovu nit -
My first
#phd paper is now published. Check it out if you want to know more about piscivorous fish#morphology and function (photo credits J.E. Randall) https://bit.ly/2VWGAwO pic.twitter.com/qX9P3aiEAs
-
Want to know more about
#morphology and function of piscivorous#fishes? Check out the 1st phd publication of lab member@MikeMihalitsis (photo credits J.E. Randall) https://bit.ly/2VWGAwO pic.twitter.com/WbnWWg4pd0
-
Get enhanced testing for just $100 more! 1 Collection Kit is just $695 + get your first year of storage absolutely FREE. https://cryochoice.com/pricing_sperm_banking.html …
#dad#cryo#sperm#morphology pic.twitter.com/Sppzcjo88H
-
Phobia Balderdash in
#morphology today@IMSEOG@MenloPark19#greekbasespic.twitter.com/uX3iLX33aQ
-
A shiny new object on my bookshelf! Happy that Jan Wölfer and I contributed to this book on the relatedness of
#phylogeny, functional#morphology, and bio-inspired technical solutions. Thanks to Ingmar Werneburg and Oliver Betz for bringing 26 German-speaking authors together. pic.twitter.com/JivdSldjkE
-
Good to catch up on latest research by
@WillPerryMEFGL@BangorUni - looking at#morphology and#genetics of farmed & wild#salmon -#OnSecondment@JNCC_UK#conservation#aquaculturehttps://twitter.com/willperrymefgl/status/1118827085349433344 …
-
Preparing for our summer class in functional
#morphology.#sharks#flatsharks#fish#Studentspic.twitter.com/Xwt8W7Hptv
-
In
#taxonomy we consider both the observable traits (the#morphology, studied in regular
and often also with #SEM), and the genetic results carefully, and add other information we have, such as occurence data-it's never just the#DNAbarcode, but it's one of our tools
. 8/npic.twitter.com/TjymEzk4B2
Prikaži ovu nit -
Agreed! Otherwise I spent five years teaching it to my students for nothing


#Hematology#Morphology#NotDeadhttps://twitter.com/scigirl2010/status/1223741624720609280 … -
Preview of chapter X "The Principles of Campus Conception: A Spatial and Organizational Genealogy. What Knowledge Can We Use from a Historical Study in Order to Analyse the Design Processes of a New Campus?" by Caroline Scotto
#History#Morphology#Genealogy#Space#Materialitypic.twitter.com/rdpCL6gu9x
-
Speaker Series: How Birds Shape the Air: The Structure and Function of Bird Wings with Dr. Tobin Hieronymus, Assistant Professor, Northeast Ohio Medical University, Tue Feb 4, 7:30pm, Rocky River Nature Center
@CleveMetroparks#bird#anatomy#morphology#AnimalsThatFlypic.twitter.com/BTTZIMCKAc
Čini se da učitavanje traje već neko vrijeme.
Twitter je možda preopterećen ili ima kratkotrajnih poteškoća u radu. Pokušajte ponovno ili potražite dodatne informacije u odjeljku Status Twittera.