-
Visualizing soft tissues in 3D in a non-destructive way using
#microCT? Check out our (pre-proof) work on the exploration of polyoxometalates as contrast-enhancing staining agents (#CESAs) for CE-CT!@ActaBiohttps://www.sciencedirect.com/science/article/pii/S1742706120300532 … -
This is not an SEM micrograph! :) It’s a surface mesh based on a fast
#synchrotron#microCT scan of an Ichneumonid#wasp. Scan duration: 43s, pre-segmentation with Amira, semi-automated segmentation with@Biomedisa, rendering with CINEMA 4D.pic.twitter.com/Q30mlq2Syd -
We're recruiting! Looking for an Experimental Officer in X-ray Micro-Computed Tomography to be a key part of our new EPSRC Tomography Facility
https://www.jobs.ac.uk/job/BYJ546/experimental-officer-in-x-ray-micro-computed-tomography … Closing date 01/03/20 @msesheffield@SheffMechEng@RoyalMicroSoc@SheffNanoLab#Xray#MicroCT -
Want to see the inside of a giant African Snapping ant's head? Check out this
#MicroCT Scan I took of one@BeckmanInst's microscopy suite!pic.twitter.com/ZOVOopXgpt -
.
@UTexasCT is offering a funded short course on generating, processing, storing, and sharing#microCT data as part of its oUTCT PEN grant with#oVertTCN! Applications are due to Dr. Jessie Maisano by January 10. See attached photo or below thread for details. Please share widely!pic.twitter.com/2mKmnz1GxO
Prikaži ovu nit -
Lenomyrmex is a rare and rather bizarre looking genus of dacetine ants from the Neotropics. Virtually nothing is known about their biology. Specimen courtesy of
@bramic21#MicroCT

pic.twitter.com/1Ii7wBKNcy -
@adnohr77@Yara_Haridy Yep! It's a CT scan! Scans were reconstructed from a#microCT setup called#histotomography. Vizualized in#syGlass thanks to@michael_syglass. Dataset is available for free in VR in the original#datadryad repository.#sciart#zebrafish#VirtualReality https://twitter.com/Sternarchella/status/1171073174571769856 …pic.twitter.com/ypKCIvcxM6 -
New paper! Collaboration, led by Maya Bosch and including me and Andre Strauss, on determining human agency in shell bead production: https://bit.ly/2EDInBz . It's open access, so help yourselves! Part of my work
@CambridgeCT#microCT pic.twitter.com/tYldDilfU4
-
Check out how we discovered a 40Mya
#RoveBeetle#BalticAmber#fossil completely covered up by tiny air bubbles using#microCT in our new short movie: https://doi.org/10.6084/m9.figshare.7491881.v1 …@figshare -
Dancing beetle fossil after microCT scan
the pink colour represents a huge bubble covering the beetle...a common phenomenon with Baltic amber fossils! I am segmenting it out to reveal the beetle's true morphology underneath
#Beetle#Amber#microCT#Staphylinidaepic.twitter.com/iGuyaPrqrS -
Found this lurking in my folders: the wonderful premaxilla and maxilla of the
#theropod Neovenator! Check out the laterally placed neurovascular canals that@TetZoo, colleagues and I described last year. What a peach of#microCT scan. More on this soon hopefully! pic.twitter.com/cP3GKRHJwU -
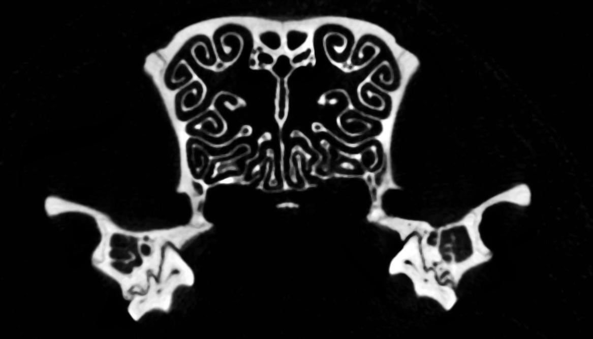
Thought this looked pretty cool. The nasal turbinates of a male Brush-tailed mulgara (Dasycercus blythii)
#microCT#marsupial@museumsvictoria@Mon_Bio_Imagingpic.twitter.com/jCOddE48WF
-
The mesosomal anatomy of Myrmecia, just published in Arthropod Systematics and Phylogeny, using
#microCT and#SEM. Especially beautiful#3Dreconstruction of the muscles. http://www.senckenberg.de/files/content/forschung/publikationen/arthropodsystematics/asp_77_1/01_asp_77-1_liu_1-19.pdf …pic.twitter.com/C9N3EtCgTb
Prikaži ovu nit -
I won the
#bruker#microCT photo contest this year with this scan of a frog inside a frog! pic.twitter.com/QfK16xj5vq
-
Orectognathus versicolor is an awesome trap-jaw ant that has two morphologically distinct worker sub-castes. I hope to film both someday soon!


#microCT pic.twitter.com/yOsU3LyKEG -
Hey
#herp folks, don't miss out@WitmerLab for neat lizard#microCT and much more! pic.twitter.com/sEaTdH30XI
-
Please share in your herpetology networks - review paper on X-ray microtomography in herpetology - https://brill.com/view/journals/amre/39/4/article-p377_1.xml … Thanks and enjoy!
#herpetology#Xray#microCT#tomographypic.twitter.com/HzIm8zwmx1
-
Happy
#worldantday! Here are two views of a new#Discothyrea species I'm describing in a revision of the#Afrotropical fauna with the folks at@EconomoLab. The power of#MicroCT!#scanallants@Pangapaco@dragonant@CongLiu0514pic.twitter.com/S1u9IWJrrG
-
Everybody loves horny toads...! Skull of Phrynosoma cornutum
#DigitalMenagerie#reptile#lizards#microCT#herpetologypic.twitter.com/hUfBmtA2oA -
Looking for a fully funded 3 year PhD project using
#NanoSIMS and other state of the art techniques?#soilaggregation#carbonallocation#plantsoilinteraction#microbialactivity#rhizosphere#stableisotopes#microCT @TU_Muenchen https://www.findaphd.com/phds/project/soil-aggregation-and-organic-carbon-allocation-induced-by-plant-and-microbial-activity-in-the-rhizosphere/?p107727 …
Čini se da učitavanje traje već neko vrijeme.
Twitter je možda preopterećen ili ima kratkotrajnih poteškoća u radu. Pokušajte ponovno ili potražite dodatne informacije u odjeljku Status Twittera.