-
Люди Все
Подлинная учетная запись@ColumbiaMed Research, education, & patient care news from Columbia University Irving Medical Center. https://instagram.com/columbiamed https://www.facebook.com/columbiamed
-
He:Do you know what really makes me smile . Me being a Dr: Facial muscles
#Medico -
Bueno... de vez en cuando algún
#médico#ictus reconoce el trabajo realizado con mis clientes.pic.twitter.com/7Wv9EdW2Ej
-
Note to self "Tomorrow you'll wish you had started today"
#Medico -
La historia del
#Médico que se derrumbó en su primera guardia. Por#ConTintadeMédico
http://contintademedico.com/la-historia-del-medico-que-se-derrumbo-en-su-primera-guardia/ …pic.twitter.com/YnrHFNpnLd
-
Mujer de 70 presentó
#IAM con elevación del ST persistente complicado ANEURISMA VENTRICULAR Y TROMBO INTRA-CARDIACO . Presentamos el#eco y#ECG del caso.
#cardiología#cardiologo#medicina#médico#electrocardiograma#electrocardiografía#hospital#medicine#doctor#saludpic.twitter.com/eaWXMAFzbA -
Players will play well. Hari Ommmm

#whysosarcasm#medico -
-
We're Healthcoco! We aim for ease in your personal practice management assistance. Healthcoco+ makes your practice more productive, efficient and time-saving so that you can give more time to your patients. https://www.healthcoco.com/for-doctors
#healthcare#doctors#Medico pic.twitter.com/TcMW8o2sPT
-
-
There is no anxiety like send up exams...
#Medico... -
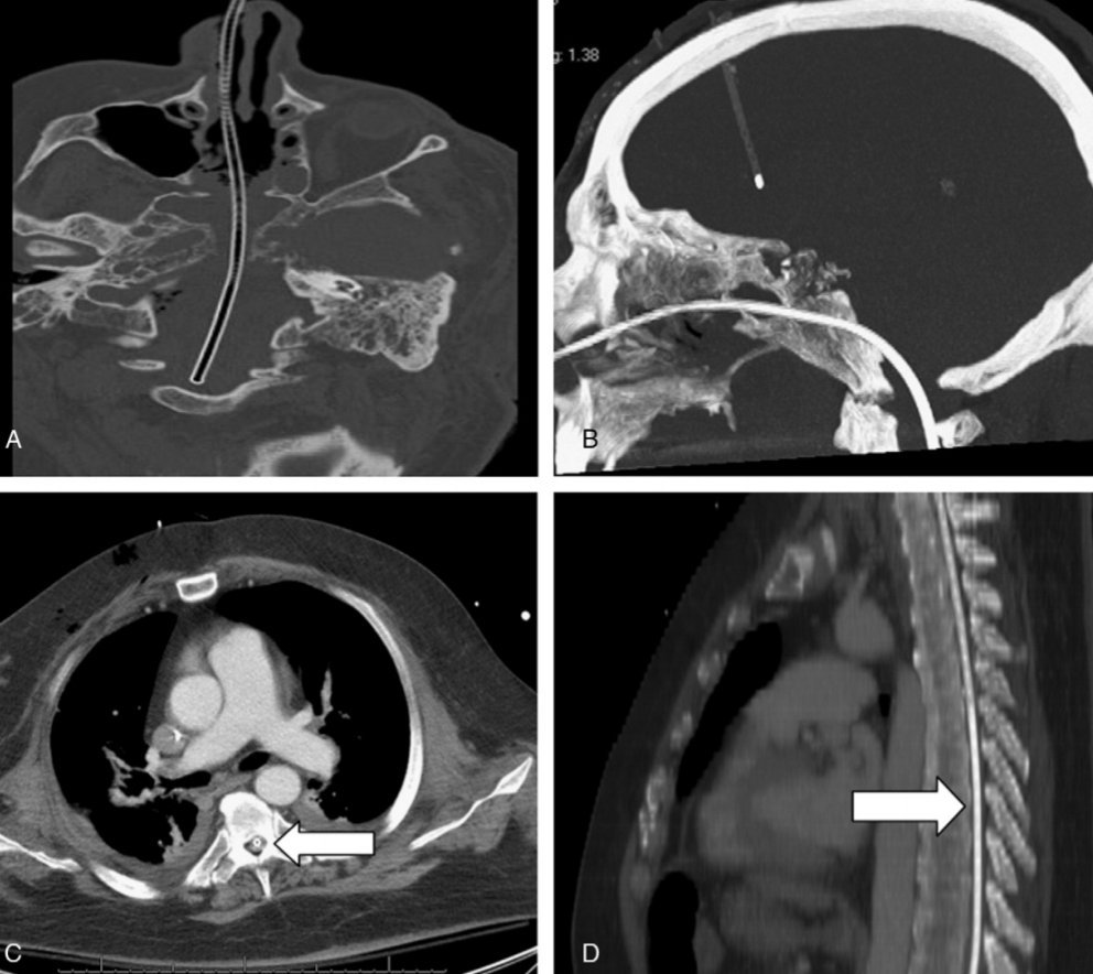
1.
#Cirugía base de cráneo x cordoma del clivus
57a
2. Se le colocó sonda nasogástrica antes.
3. En UTI el paciente se la saco.
4. El #Médico de guardia la recolocó: la sonda atravesó la base del cráneo reparada, el tronco del encéfalo y entró a la médula. 5. Caudraplejia y
pic.twitter.com/oJ97Hrjl7Y
Показать эту ветку -
-
A boy with sembulingum and a girl with Ganong's Physiology can never be friends.
#Medico -
So Little Stress, So Much Drama
#medico https://twitter.com/DrGreyyyy/status/1142090856721244162 … -
So much depression So little study
#Medico -
So many expectations So little achievements
#Medico -
So Many books So little Time
#Medico -
This bear proves the
#Rinne's Test wrong, and told: "Bone Conduction is better than Air Conduction"#MEDICO pic.twitter.com/x4Ob3FXnKr
-
About to study this for the first time after entering medical
Preps has started officially #preps#medico pic.twitter.com/VPOwZJ9l2t
-
This is real happiness...
#doctors#medico pic.twitter.com/tf2tvsnUBK
Загрузка может занять некоторое время.
Вероятно, серверы Твиттера перегружены или в их работе произошел кратковременный сбой. Повторите попытку или посетите страницу Статус Твиттера, чтобы узнать более подробную информацию.