-
1st Jefferson IRIG journal club of the year on the use of the
@InariMedical Flowtriever to treat Pulmonary Embolism. Huge thank you to Dr. Connor McKee (PGY-5#IRadRes) for facilitating the discussion!@SIRRFS@JeffersonRads@RonaldWinokurMD@carin_gonsalves@allison_tan_mdpic.twitter.com/mdzKS4ALP2 – mjesto: TJU: Alumni Hall
Prikaži ovu nit -
#TACE for#HCC vascular lake phenomenon#MIIP#IRad#withoutascalpel@SIRRFS#radiology#twittIR#IAmIR#IRadRes#FOAMrad#radiology#radres#FOAMed#FOAMIRpic.twitter.com/eevKMWJimo -
We couldn't be more proud of our newest BWH Rad Family members!
#radres#iradres#MatchDay2019#radiologypic.twitter.com/V4MFVKac3f
-
Innovation in IR sometimes means treating in a gray area. Know your lit and know what you're trying to achieve when it comes to stratifying in PE!
#iradres#iset2020@KutsenkoMD@SIRRFS@akhileshsistaMD@KyleCooperMD@SIR_ECS@ISETNews@iRadRock@keithppereira@SIRspecialistspic.twitter.com/pnohj0WWmp – mjesto: Diplomat Ballroom 3
-
Congratulations to Drs. Fitzgerald, Nguyen, Menon - the future of
#IRad has never been brighter!#Match2019#IRadRes pic.twitter.com/Ly0lYERuUE
-
Big congrats to
#IRadRes senior,@doctorbillmd, for receiving the#radres of the year award!https://twitter.com/VUMCradiology/status/1222960867676807168 …
-
Incredibly grateful to join
@VUMCradiology as an#IRadRes. Thank you for the opportunity Drs.@CariMotuzas,@ReedOmary, Ryan Muller,@danbrownIO,@filbano,@mcbreamy. Wouldn't be here without mentors: Drs.@rkryu,@pj_rochon,@JHoffmannIR,@Radsdoc82,@MKJesse3.#IRad!pic.twitter.com/g5SN7xmx2t
-
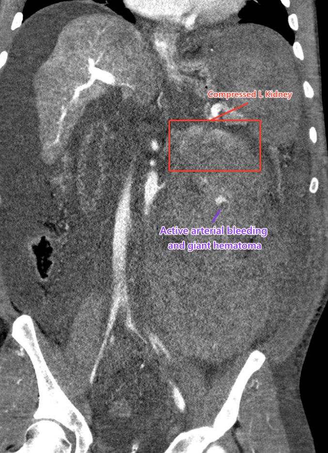
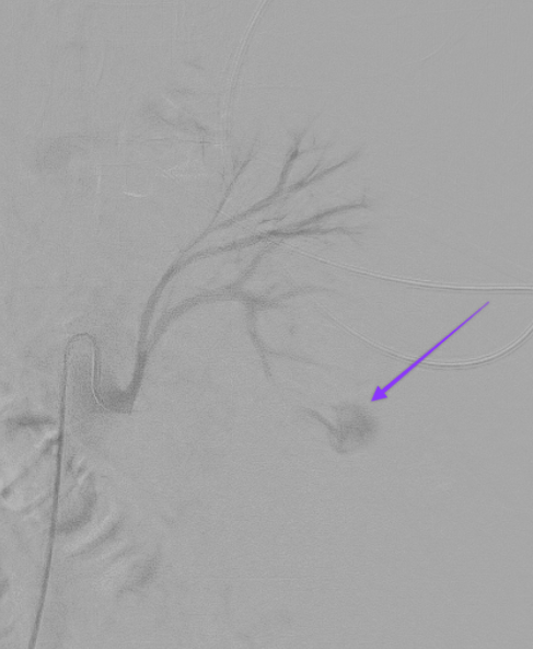
58 year old cirrhotic patient, underwent renal biopsy at outside facility. 1 day of progressive abdominal pain. CT with active bleeding from biopsied kidney.
#IRad quick to#embolize the vessel and#stopthebleed#MIIP#InnovationToHeal#Radiology#TwittIR#IRadRes pic.twitter.com/8GcA0rVLtE
-
NY
#radres and#iradres, get your best cases ready for our next Angioclub on Monday 12/2 at Draught 55! Join us for another great networking opportunity!@SIRRFS@SIRspecialists@ACRRFS@NYSRS_RFSpic.twitter.com/03mVpoVv9M
-
Congratulations! These amazing
#WomeninIR matched yesterday! Welcome!#iradres#irad#MatchDay2019#IAmIR#radXX@SIRspecialists@SIRRFSpic.twitter.com/uw6I3OZxVa
-
LIVE! The
#RSNARFC annual Resident & Fellow Symposium is happening now!#radres#iradres Laskeside Center East Room E45 1A#mentorship#WeAreRadiology#RNSA19pic.twitter.com/cZduzhKEP1
-
Live
@MountSinaiIR . It's#FilterFriday and my first#irad case tweet. Filter in for 8 years, but it was time to come out#filterout#GTFO@SIRspecialists@SIR_ECS#iradres#radres@IrNyrs@NYRS_RFSpic.twitter.com/v8M2iZuDAH
-
So much to LEARN.
#PAD#LEARN2019@SIRRFS#irad#iradres pic.twitter.com/RG2aRIB6bE
-
Excited to welcome our new
#IRadRes to@OSURadiology! Looking forward to working with you!@AmirOlfat@MinaMakaryMD@SIRspecialistspic.twitter.com/EiB5WQAI0G
-
Let’s go..!! We need this to grow. We as
#iRadRes need to learn all the aspects of training. May be in future we will have OBL/ASC as part of our training.@SIRRFS we got this..!!

https://twitter.com/sirrfs/status/1223375127250919425 …
-
Calling all
#iradres Please take a minute to fill out this survey! Greatly appreciated! https://twitter.com/sirrfs/status/1223375127250919425 …
-
Hey NY
#radres &#iradres! Our Resident Executive Council (REC) is now accepting applications thru Oct 18 from motivated R1/PGY2 residents! Wanna join the team? Email nyrs.ir.rfs@gmail.com for more info!@NYURadRes@ColumbiaVIR@ShaolinIR@MontefioreRAD@MountSinaiIRpic.twitter.com/xTn4fWdRl9
Prikaži ovu nit -
#FBF to last week’s first ACES Clinician Education Summit. Connections were made, good times were had by all, and a tradition was born!#ACES2019#meded#IRad#TwittIR#interventionalradiology#DVT#IRadRes#Vascular#ArgonMedical#OurMissionIsClearpic.twitter.com/fyZCCjfrtx
-
Happy
#Match Day! Congratulations to our newest@YaleRadiology residents who matched today! Great job, all your hard work has led you to your destination and dream residency. We are so thrilled to be part of your incredible journey!#MatchDay2019#RadRes#iRadRes#FutureIsBrightpic.twitter.com/e0PrOiJoQl
-
#irad residents,@Dr_Lola_IR & I are crowd-sourcing data to assess variability in IR residency programs in a QUICK survey! If you're an#iradres plz take this survey, repost, & share. Analyzed data will be open access! https://forms.gle/Mx7rvFiKE8hVFawB9 …Prikaži ovu nit
Čini se da učitavanje traje već neko vrijeme.
Twitter je možda preopterećen ili ima kratkotrajnih poteškoća u radu. Pokušajte ponovno ili potražite dodatne informacije u odjeljku Status Twittera.