-
There might not be a miraculous cure for
#coronavirus, but Eleanor Fish,@UofT#immunology doctor, says the medicine interferon might be a game-changer. (via@alex_mckeen@TorontoStar) For#HerInformedOps, contact Fish @ http://bit.ly/38rzKpN https://www.thestar.com/news/canada/2020/01/31/is-there-another-weapon-in-the-coronavirus-fight-a-toronto-researcher-wants-to-shout-it-from-the-rooftops.html … -
"Why are some people better able to fight off the flu than others? Part of the answer, according to a new study, is related to the first flu strain we encounter in childhood."
#Immunology#zoonosis#spillovers#FluSeasonhttps://www.sciencedaily.com/releases/2020/02/200204094722.htm … -
Prof Plummer was a respected scientist who led work on understanding
#HIV#immunology/transmission, including working with female sex-workers who were resistant to HIV Renowned Canadian scientist Frank Plummer dies in Kenya, where he led HIV breakthroughs https://www.cbc.ca/news/canada/manitoba/scientist-frank-plummer-death-1.5451624?fbclid=IwAR1ZR0ia_AfKJa2kqEjZIjJ5NMFccBH8qjumNcU7yg97ZevLEc4A9EhhpRY …Prikaži ovu nit -
"The immune systems of Europeans were partly shaped by the introduction of new genetic variants through interbreeding between some of our early European ancestors and Neanderthals."
#Immunology#evolutionoftheimmunesystem#humanevolutionhttps://www.sciencedaily.com/releases/2016/10/161020142948.htm … -
While promising new
#Tcell#immunology research coming out of@cardiffuni has yet to been tested in humans, there’s hope that this could lead to treatments that kill a wide range of#cancer cells: https://bbc.in/37Fy8ZI#WorldCancerDay
-
Interested in an editorial career with
@NatureComms in the field of#immunology? We are now hiring a new associate or senior editor, to be based in London or New York. Learn more & apply before Feb 17: https://go.nature.com/36BwJSq pic.twitter.com/qercxe5dbg
-
Early-life loading of the immune-system antibody arsenal via
#microbiome repertoire and microbial exposure -and resultant predisposition to disease pathology when failed or incomplete https://www.nature.com/articles/s41385-020-0257-y …#rstats#iot#bigdata#scicomm#itrtg#autoimmune#immunology#genomicspic.twitter.com/bGNyYKAUAN
Prikaži ovu nit -
Septische Granulomatose (CGD) lässt sich - als Alternative zur herkömmlichen Knochenmarktransplantation - durch Gentherapie heilen
@pid_dsai@UCLchildhealth#medizin#Immunotherapy#immunology#Kinder#immunesystemhttps://www.nature.com/articles/s41591-019-0735-5 … -
The Feb issue of NRI has set sail: https://go.nature.com/3b4OOMv Avast pipetting ye lab-lubbers and harken to tales of P-aRrr-aRrrs! https://rdcu.be/b01H5
#immunology#inflammation#DAMPs#TLRspic.twitter.com/PvX477igsh
-
Nature Reviews Rheumatology, Jan 2020 “Immune monitoring using mass cytometry (CyTOF
) and related high-dimensional imaging approaches
Felix J. Hartmann & Sean C. Bendall
#cytof#immunology#immune#pathology#cytometry#rheumatology#masscytometryhttps://lnkd.in/gaUHa4W -
Cancer & activated T cells have metabolic similarities. This causes acidity in the cancer environment & nutrient competition that impairs T cell anti-cancer functions.
#cancer#immunology#immunometabolism@ImmunoMet https://go.nature.com/2GCuVyc pic.twitter.com/N2KG7iOdPo
-
This particular T-cell
#receptor interacts with a molecule called MR1, which is on the surface of every cell in the human body. Work is very early.#MSL#medicalaffairs#oncology#immunology https://buff.ly/2TGiPM8 pic.twitter.com/0BxpGiOf6R
-
#FebruaryIssue |#Review on immune monitoring using mass cytometry and related high-dimensional#imaging approaches Check it out at https://go.nature.com/37sjZhT#Rheumatology#Immunology@felixjhartmann@Bendall_Labpic.twitter.com/OuMB1owI7x
-
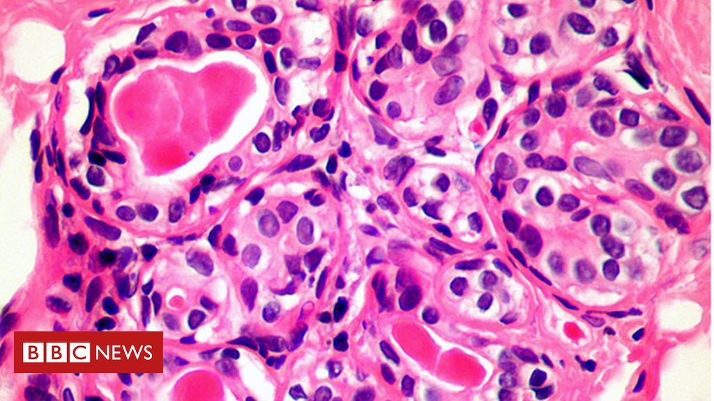
According to scientists, a newly-discovered part of our immune system could be harnessed to treat all cancers. https://www.bbc.com/news/health-51182451 …
@BBC#cancer#immunology#cells -
New drug discovery may trigger
#macrophages to digest atherosclerotic plaque. Still in discovery phase but exciting.#Nature#Cardiology#Immunology#inflammation https://www.nature.com/articles/s41565-019-0619-3 …pic.twitter.com/pW4TAIg4si
Čini se da učitavanje traje već neko vrijeme.
Twitter je možda preopterećen ili ima kratkotrajnih poteškoća u radu. Pokušajte ponovno ili potražite dodatne informacije u odjeljku Status Twittera.