-
Yes/No Histo
It's game time!
Here's a non-pathological histological image.
(I took it while I was spinning around in my chair).
Can you guess which organ/tissue it is?
Ask me a question.
But I'll answer only Yes
or No
#histology#anatomy#pathologypic.twitter.com/UnqNsStkOT
Показать эту ветку -
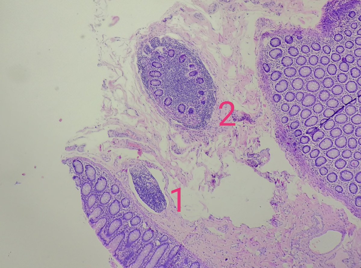
#GIPath#pathology#histology Colectomy for carcinoma presenting as ileocolic intussuception. Sections from near tumor. Any thoughts
pic.twitter.com/Ob9dnGRY6N
-
It’s so hot my blocks won’t set! And don’t get me started on having to wear a lab coat right now

#histology#phd#heatwavepic.twitter.com/QWfvppMofp
-
When is a heart not a heart?
When it's actually a lung!
--
The is an endobronchial biopsy. The bronchial epithelium can be seen lining the "apex" & forming "right coronary" & "LAD arteries". There's also plenty of smooth muscle in these atria!
#histology#anatomy#pathologypic.twitter.com/I190yEFcpw
-
I made a website/blog to document my experiences teaching myself
#histology (and eventually other topics too)!!
#PhDlife#AcademicTwitter It's a work in progress - the linked posts don't have content (yet!), but I wanted to share what I have so far: http://www.mikaelastiver.com/histology/ pic.twitter.com/Ee9Ss9sxTs -
Today our colleagues at King’s College Hospital Histology laboratory were able to show our visiting students how samples are processed. As well as review some interesting cases under a microscope!
#Reachoutday3#Histology#Viapathpic.twitter.com/zRULIQWRIk
-
New Supplier!
@vectorlabsus is now available in the Quartzy Shop#mountingmedia#antibodies#fluoresence#reagents#histology https://hubs.ly/H0jqFk20#labmanagement#labprocurement#labsupplies#labmanagerpic.twitter.com/V2Gy8U1C4c
-
Day 41: embryonal carcinoma. Usually presents in younger age group (avg 30s), most commonly seen as a component of mixed germ cell tumors. CD30+. DNA copy number increases = worse prognosis. #pathology#histology#learningeverydaypic.twitter.com/bDj3oTCMhB
-
Looking forward to give a talk on
#AI in#histology in Paris
on 12th July 2019 - you can still register for this event http://hteprogram.com/hte-internal-meeting-2019-artificial-intelligence-to-study-hte/ … @Zucmanrossi@Caldera60373705pic.twitter.com/pRBt9ntMMa
-
Lab selfie. Working hard and sweating buckets
#lablife
#histology https://www.instagram.com/p/BzHf923gh0S/?igshid=jnun8u95iv3r … -
The July issue of
@JMDiagn is now live! Full issue: https://jmd.amjpathol.org/issue/S1525-1578(19)X0004-5 …. On the cover:#Adenocarcinoma#Histology using#UMFIX.pic.twitter.com/BZMzJx4j40
-
The
@VMDatabase welcomes its 20th collection with additional superb#histology virtual images. Thanks to our colleagues from Kaohsiung Medical University in Taiwan-China
, this is the first VMD collection from Asia. pic.twitter.com/csF76LGqZt
-
(1/3) A quick review of deep learning for mutation prediction in cancer
#pathology
three groups have shown that it is possible to detect clinically relevant mutations in #lung,#colorectal &#prostate#cancer#histology images
pic.twitter.com/Iknu4QotO5
-
Beautiful picture
. Hematopoietic organs are not my favorite ones but how precious information they reveal. #histology#pathology#hematopoiesis#spleen#lymphoid#physiology#extramedullary#hematopoiesishttps://twitter.com/histocasino/status/1142284473918267393 …
-
When it's mid-summer and you're stuffed full of cold and working on your transfer report, the little things sure make you chuckle. Thanks powerpoint for your alt text suggestion, but I think you'll find it's a blood vessel in an MCL epiligament
#histology#phdchatpic.twitter.com/1Mjf1aL7Ry
-

You're 'avin a giraffe!
A tower of histological giraffes to celebrate #WorldGiraffeDay - 1. Brenner tumor (urothelium in an ovary)
@DrAldehyde 2. Endocervix
@jestevamd
3. Smooth muscle
@onlyfornurses
4. Cervical vertebra 
@ihearthisto#histology#anatomy#pathologypic.twitter.com/lITBxT2ncy
-
Seminoma Safari
A giraffe observed in testicular connective tissue infiltrated with lymphocytes
--
Seminomas are germ cell tumors in the testes. The tumor cells (all around the
) have large nuclei & many mitotic figures
--
#histology#anatomy#pathology
by FranciscoLaRosapic.twitter.com/t7RxiH1JJz
-
Journal
#Histology and#Histopathology Research https://www.pulsus.com/histology-histopathology-research.html … Accepting Articles for upcoming issue Contact editorial office: histopathology@microbialjournals.orgpic.twitter.com/fWBXuyjm55
-
Day 1 in
#histology was great! That’s the coolest job! -
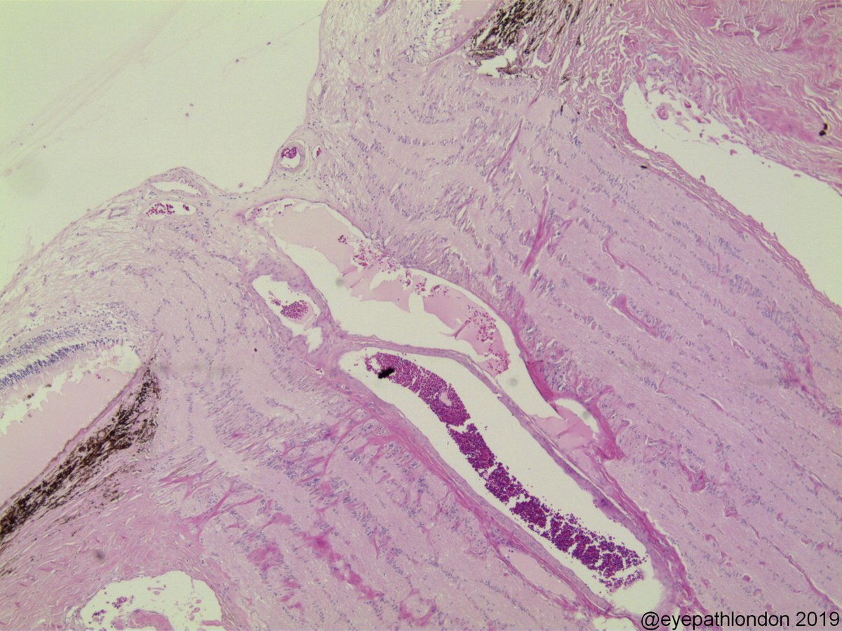
No
#EyePath here - it's normal#histology (other than the shallow retinal detachment). The section is taken longitudinally through the optic nerve. It shows the central retinal artery and vein entering (and leaving) the eye.#Ophthalmologypic.twitter.com/kU2DcUBJKS
Загрузка может занять некоторое время.
Вероятно, серверы Твиттера перегружены или в их работе произошел кратковременный сбой. Повторите попытку или посетите страницу Статус Твиттера, чтобы узнать более подробную информацию.