-
T lymphoblasts make a starry sky pattern on touch prep.
#hemepath pic.twitter.com/OikeaYUWs1
-
You will never guess what these cells are! Young patient with fever, bilineage cytopenias and lymphadenopathy. Bone marrow aspirate is shown. Biopsy shows the same cells. Thanks to our hemepath fellow Neha Gupta for taking these images.
#hemepath#haempath#pathologypic.twitter.com/8uNJwxFyTJ
Prikaži ovu nit -
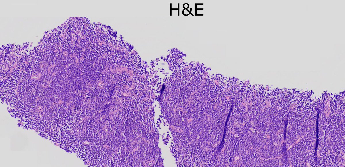
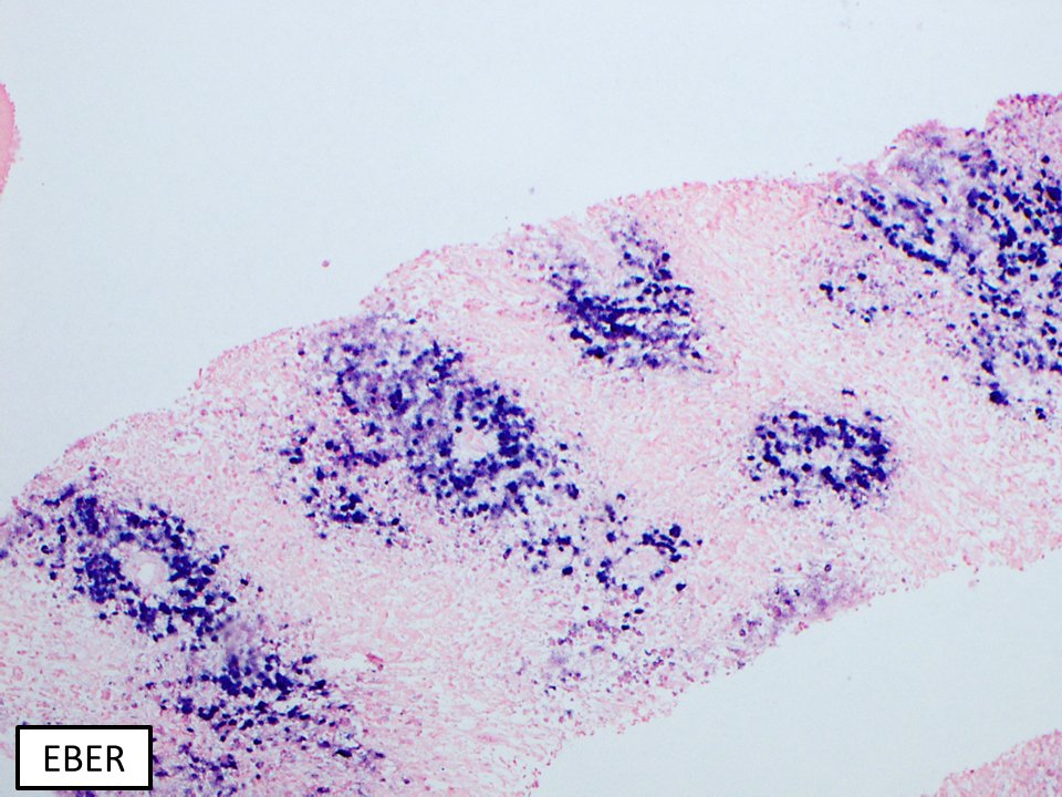
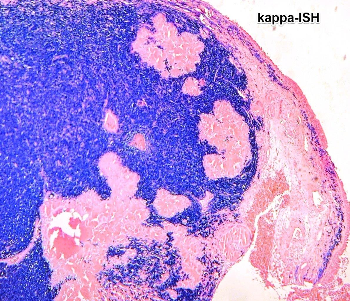
What's your diagnosis of this EBV+ B-cell lymphoma? Adult female, HIV+ with adenopathy. Poor compliance on HAART. WSI + IHCs: http://the.pathology.network/share/f4ffc9dc38c3c5132913f81b67b02a3c …
#hemepath pic.twitter.com/wt99agWd0v
-
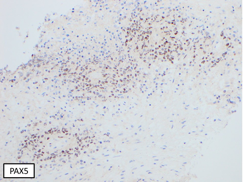
What is your favored diagnosis on this biopsy of a tonsillar lesion based on the morphology and this PAX5 immunostain?
#hemepath pic.twitter.com/q09QwwjNRT
-
Guys, you don't have to worry anymore. I found where all the Dutcher bodies went... Apparently in this
#myeloma case. If you don't know the difference: ( {O}) -> Dutcher (oOo { }) -> Russell Bodies (o0o0o) -> Mott cell#hemepath pic.twitter.com/NDmC13YNiF
-
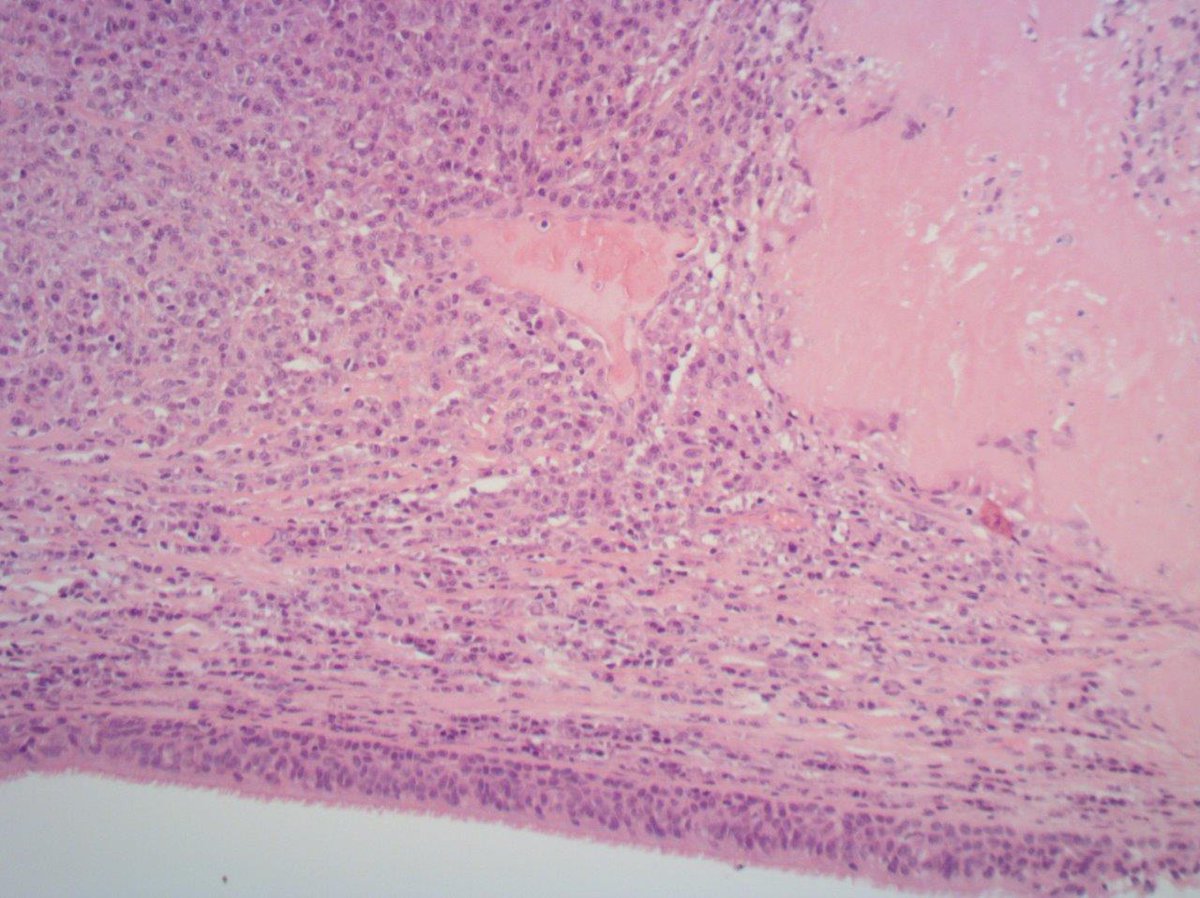
Classic Hodgkin lymphoma with a rare, almost exclusive perivascular pattern of infiltration
#Hemepath#Lymsm#endcancer#HemepathMDA#lymphomapic.twitter.com/KHPyyOvmCC
-
-
"Follicular colonization" by splenic marginal zone lymphoma in the bone marrow
#hemepath#spleen#pathologypic.twitter.com/D5kwwyM1hM
-
Macrocytic anemia + neutrophils with hypersegmentation (PMNs with 6+ lobes or 3% of PMNs with 5 lobes) = think about vitamin B12 or folate deficiency.
#hematology#hemepath pic.twitter.com/aJ0T6J24Or
-
Mantle cell lymphoma. Neck lymph node, excisional biopsy. HE and Cyclin D1.
#pathology#pathologist#HemePath pic.twitter.com/6YuGsesNrs
-
76-Yrs-old
| At higher magnification, sternbergoid-like cells founded & others: plasma cells or eosinophils.
CD30+ with cytoplasmic Golgi reinforcement staining.
What's your #Diagnosis?#MoticEurope#DigitalPathology#Pathology#HemePath@PathResidentSPA with#Moticam X3pic.twitter.com/QDdNhPj9cX
-
Something you don’t see every day. Axillary lymph node. The main entity is highlighted by IHC, but something else is going on. Feel free to share your thoughts! You won’t see this too often but think about one of two things when you do.
#hemepath#pathology#pathologistpic.twitter.com/KQRmfFDswT
-
Check out this fascinating case. "When things don't add up – methotrexate unexpectedly revealed as the cause of pancytopenia.” http://onlinelibrary.wiley.com/doi/10.1002/ajh.25737/abstract … if in doubt re-take the
#history.#hemepath#hematology -
Very interesting! Is the tissue in between completely viable? What’s the location?
#hemepath https://twitter.com/sibaelhussein/status/1225221171727261696 …
-
UPDATES ON MATURE T-CELL LYMPHOMAS/LEUKEMIAS Latest Issue - Seminars in Diagnostic Pathology https://www.sciencedirect.com/journal/seminars-in-diagnostic-pathology/vol/37/issue/1 …
#pathologist#hemepath#MolDx#Molpathpic.twitter.com/Ezy6CTNtY1
-
Some days I forget how fortunate I am to have learned
#Hemepath from these remarkable#pathologists! today is not one of those days. Spotted in our@MDAndersonNews hallway..textbooks from our#hemepathMDA faculty... some
to @Pathologists
lucky winners in the resident rafflepic.twitter.com/DXQqlaLqDL
-
Nice case of extramedullary plasmocytoma by
@pathkids#PathTweetAward#hemepath https://twitter.com/pathkids/status/1224451422441234433 …
-
I’ve encountered one case so far, also lymphocyte-rich type.
#hemepath -
#FNA of neck lymph node#PediPath#PathResidents#HemePath pic.twitter.com/KFALzkNNkY
Čini se da učitavanje traje već neko vrijeme.
Twitter je možda preopterećen ili ima kratkotrajnih poteškoća u radu. Pokušajte ponovno ili potražite dodatne informacije u odjeljku Status Twittera.
B-prolymohocyte cells are medium sized with modeately condensed chromatin & many with only a single prominent nucleoli
No blebs-seen in T-PLL
>55% of all circulating cells (that’s the majic number, anything less is generally not B-PLL)