-
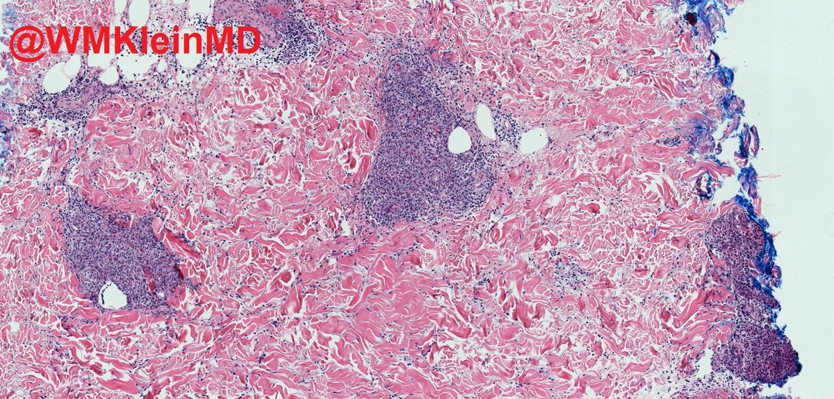
When a cosmetic surgeon offers dermal fillers on a regular scheme for a wrinkle, I really hope they have seen some some of these granulomatous reactions under a
#pathology#granulomatous#foreign#inflammation#giantcellhttps://twitter.com/Mvgs1706/status/1221922051692228608 …
-
The team includes researchers from
@NIAIDNews,@UCLAstemcell,@BostonChildrens,@GreatOrmondSt & other organizations.
Learn more about chronic #granulomatous disease (CGD) in a@NIAIDNews video:https://youtu.be/roow1WZwByAPrikaži ovu nit -
This is interesting - occupational related
#granulomatous lung disease#sarcoidosis#BTSWinter2019pic.twitter.com/cnOGiBvskB
Prikaži ovu nit -
#SIUSDMPath Week #6. Dr. Brink covered Inflammation and Repair. This is a foundation topic for pathology and mechanism of disease. Let’s recap by summarizing the differences between#granulomatous inflammation and#granulation tissue.pic.twitter.com/8v3GwcpbxV
Prikaži ovu nit -
VIDEO: @NIH scientists provide an overview of chronic#granulomatous disease (CGD), describe its symptoms & treatments, and explain how studying this#RareDisease yields insights into more common conditions.https://youtu.be/roow1WZwByA -
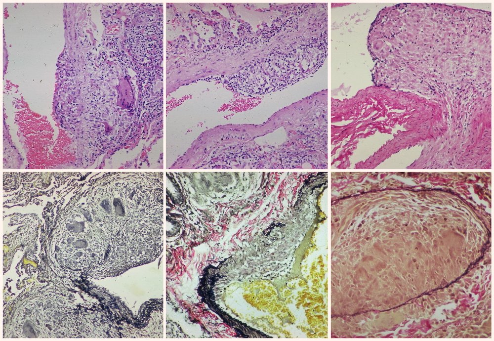
#Pilomatricoma may also have#granulomatous inflammation surrounding portions that rupture or when matrical cells are absent. pic.twitter.com/utr4s4rVii
Prikaži ovu nit -
Differential diagnosis of a
#granulomatous reaction includes:#drpubliosaavedrareumatólogo#therheumatologydoctor#rheumatology#Reumatología#MEDELLÍNpic.twitter.com/cF2wKa8zr7
-
A report revealed what is currently the most expensive prescription drug in America:
#Actimmune, which costs $52,000 per month. The drug is used to treat#osteopetrosis, a bone disease, as well as chronic#granulomatous disease, an immune disorder. https://www.theepochtimes.com/heres-the-most-expensive-drug-in-the-united-states_2860876.html … -
#Epigenetic marks in lung immune response in#granulomatous#LungDisease | American Journal of Respiratory Cell and Molecular Biology https://www.atsjournals.org/doi/abs/10.1165/rcmb.2018-0177OC#.XCjAH1nr2sA.twitter … -
#Granulomatous#Mastitis is a breast#inflammatory#disease that is still unknown to many. It occurs at the time of#pregnancy of the#women. People often relate it to#breast#cancer especially inflammatory type breast cancer. https://goo.gl/cXoNMh pic.twitter.com/TtjBwVu8me
-
#Granulomatousvasculitis can be seen in 67% of open lung biopsies and 100% of autopsy lungs in#sarcoidosis. Mostly involves veins but also arteries and lymphatics. Rarely encountered in transbronchial lung biopsies.#pulmpath#vasculitis#granulomatous. pic.twitter.com/v87hpgE9a2
-
Differential dx of
#granulomatous lung disease: clues & pitfalls. Amazing review@ERSpublications look@jorroserhttp://err.ersjournals.com/content/26/145/170012 … -
Undergrad exam case! Beautiful!
#ent#granulomatous#polyps#seeberihttps://twitter.com/GeronimoJrLapac/status/841616749015502849 …
-
#Granulomatous#vasculitis possible case of granulomatosis with polyangitis aka#Wegener's dz#dermpathpic.twitter.com/a33cuMsQiH
-
Use your knowledge of
#granulomatous disease to Dx this man w#parotid swelling &#sinusitis http://ja.ma/1VuSjAK -
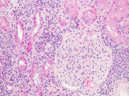
#Granulomatous interstitial#nephritis by Shah S. et al http://ow.ly/TLie8#openaccesspic.twitter.com/Bu4thwLxkA
-
"We report a case of
#granulomatous#mycosis#fungoides..." Read more: http://ow.ly/QJ70g#Dermatology#JAADCaseReports -
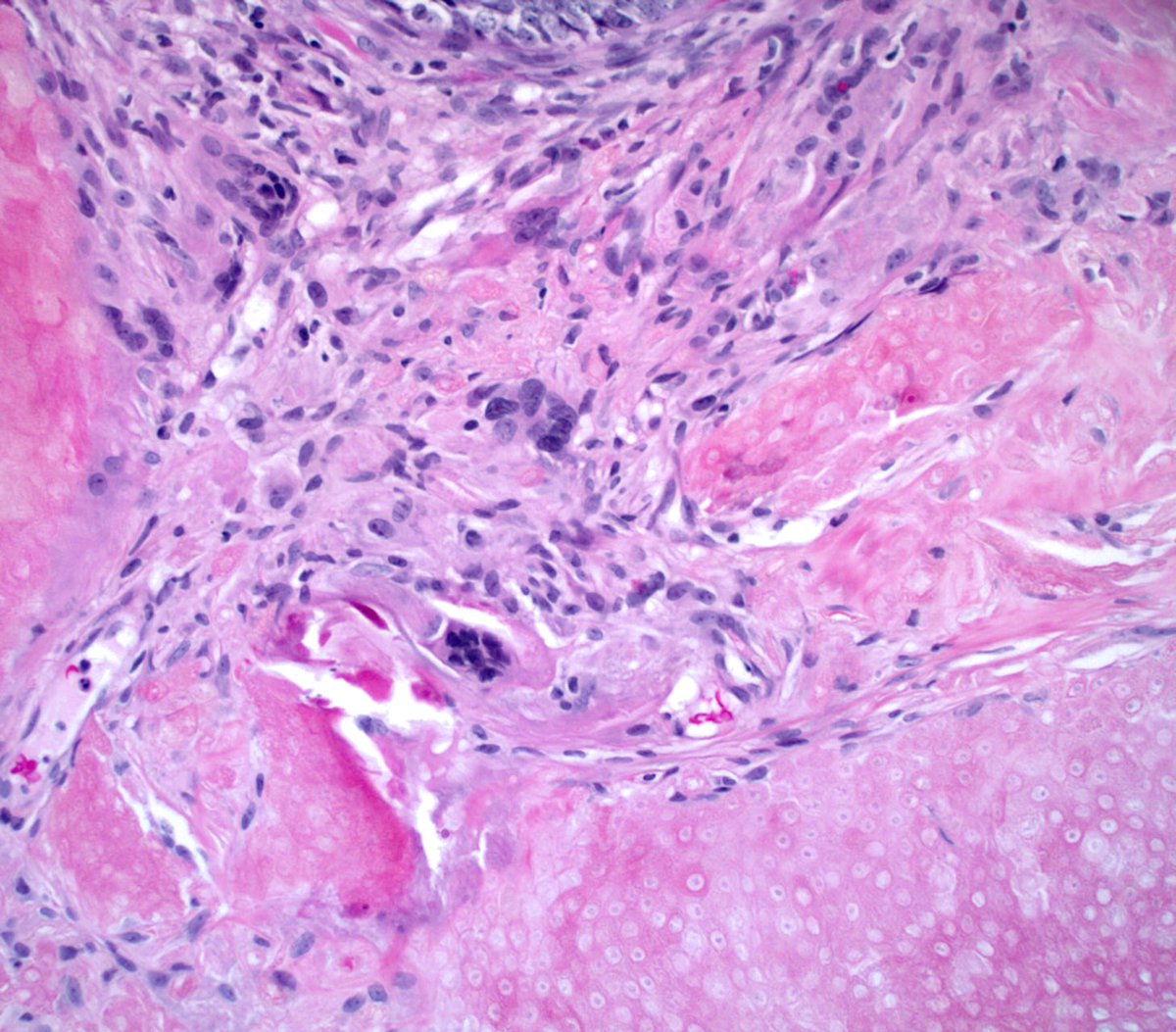
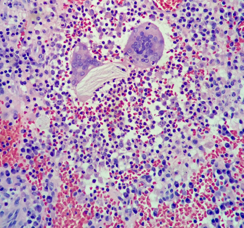
Digesting multinucleated giant cells
#Dermatopathology#rupturedcyst#granulomatous reaction pic.twitter.com/arqWnwXBHo
Čini se da učitavanje traje već neko vrijeme.
Twitter je možda preopterećen ili ima kratkotrajnih poteškoća u radu. Pokušajte ponovno ili potražite dodatne informacije u odjeljku Status Twittera.