-
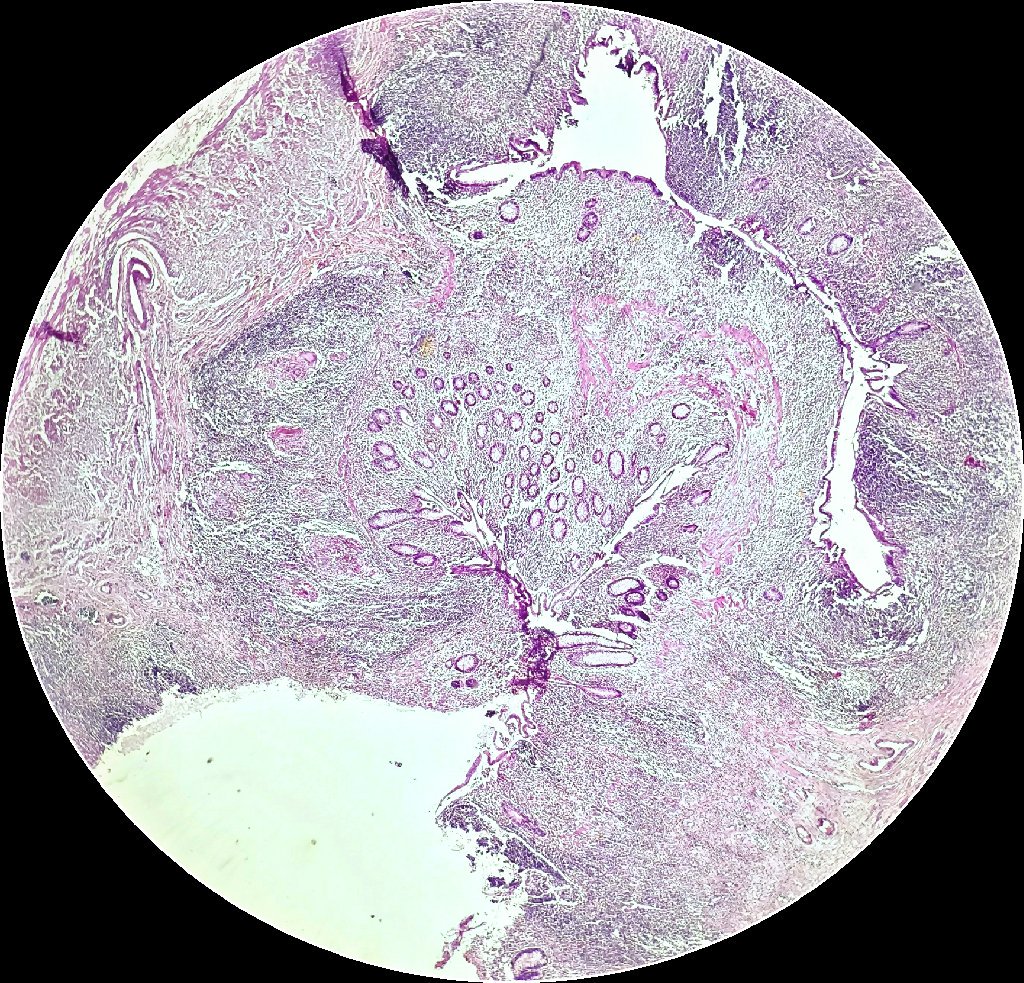
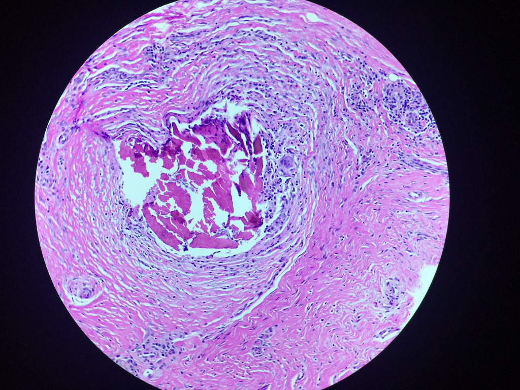
Recurrent mass at site of previous breast cancer, at site of scar. Anybody know what the pink stuff is? Maybe filler material or something ?
#granuloma#pathologypic.twitter.com/fF8rwIv5ap
Prikaži ovu nit -
Como quien no quiere la cosa, hoy me he acordado de un caso de esta semana en la consulta... una recién nacida con un
#granuloma#umbilical... Si hay que tratarlo, pueden hacerlo los padres en su casa... "El granuloma umbilical cura con sal!@elgipi dixit... [continuará]pic.twitter.com/lPeU2lggrIPrikaži ovu nit -
Salmonella driven macrophage polarization promotes persistence:
@monack_lab &Co find that#Salmonella persists in#granuloma#macrophages reprogrammed to M2 state w/ effector SteE overcoming TNF-mediated limitation of M2 granuloma macrophage polarization https://www.cell.com/cell-host-microbe/fulltext/S1931-3128(19)30593-1 …pic.twitter.com/m2PyV1Cweg
-
Langerhans giant cell
#TB#pathology#granuloma pic.twitter.com/kZxKCrjf79
-
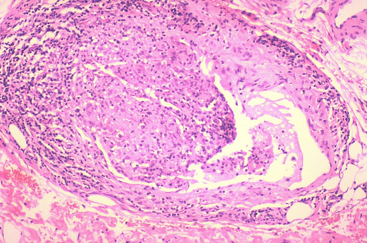
Although granulomatous vasculitis appears to occur most frequently in pulmonary sarcoidosis, it may be encountered in other conditions as well.
#pulmpath#vasculitis#granuloma pic.twitter.com/xKJh3Fxszw
-
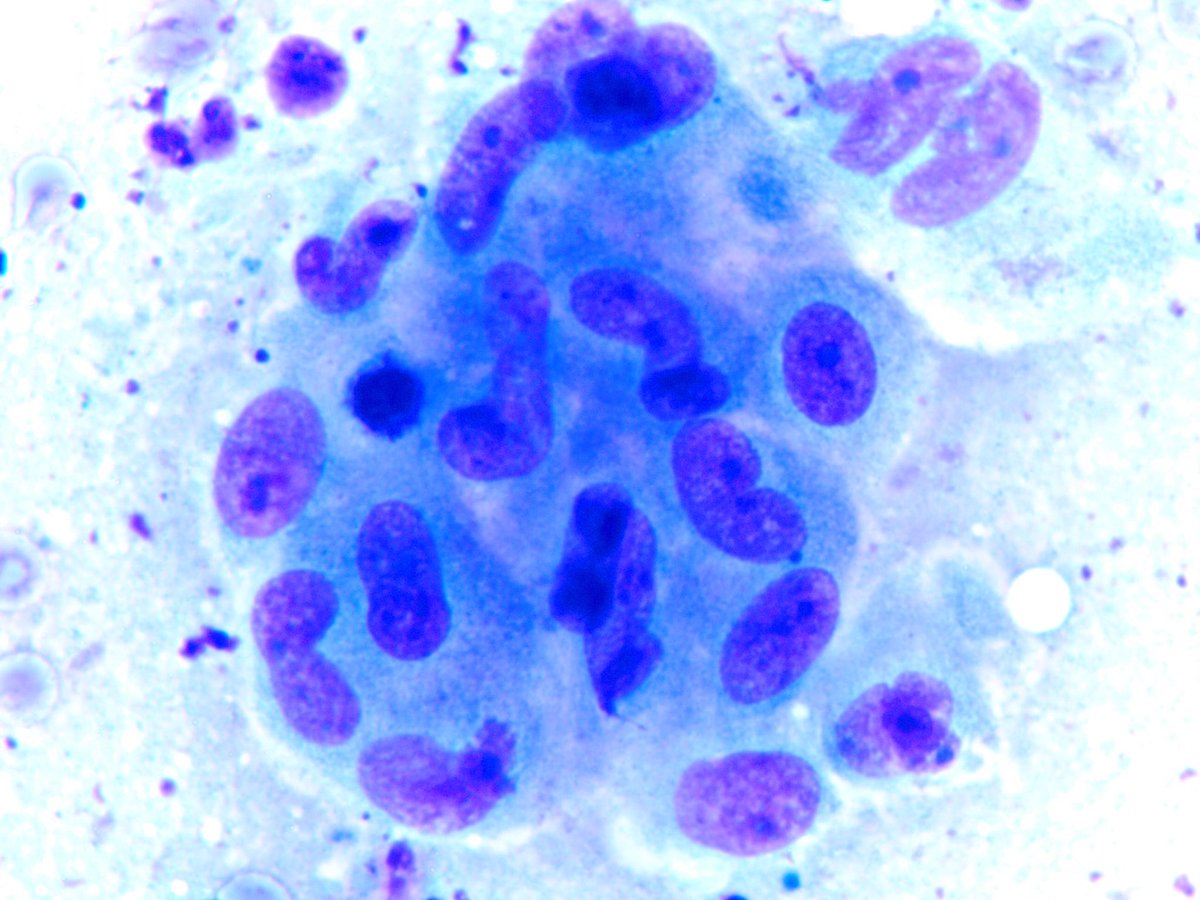
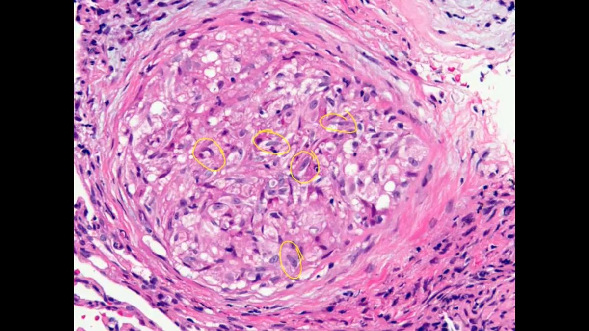
Two
#asteroid bodies within multinucleated giant cells. AB are stellate cytoplasmic inclusions seen#sarcoidosis and foreign body#granuloma , but usually not in#tuberculosis. The filaments contain complex lipoproteins, calcium and other minerals.@Mycytopathology#pathologypic.twitter.com/byZN3H7uV9
-
The Eradicator!
@mohlopheni from@AHRI_News That's a levitating#granuloma in his hand. Not sure he has quite that much control but exploring granulomas to discover new TB biomarkers is one of his superpowers. More at http://superscientists.org#tbscientist#southafricanscientistpic.twitter.com/MZcEmDnW9O
-
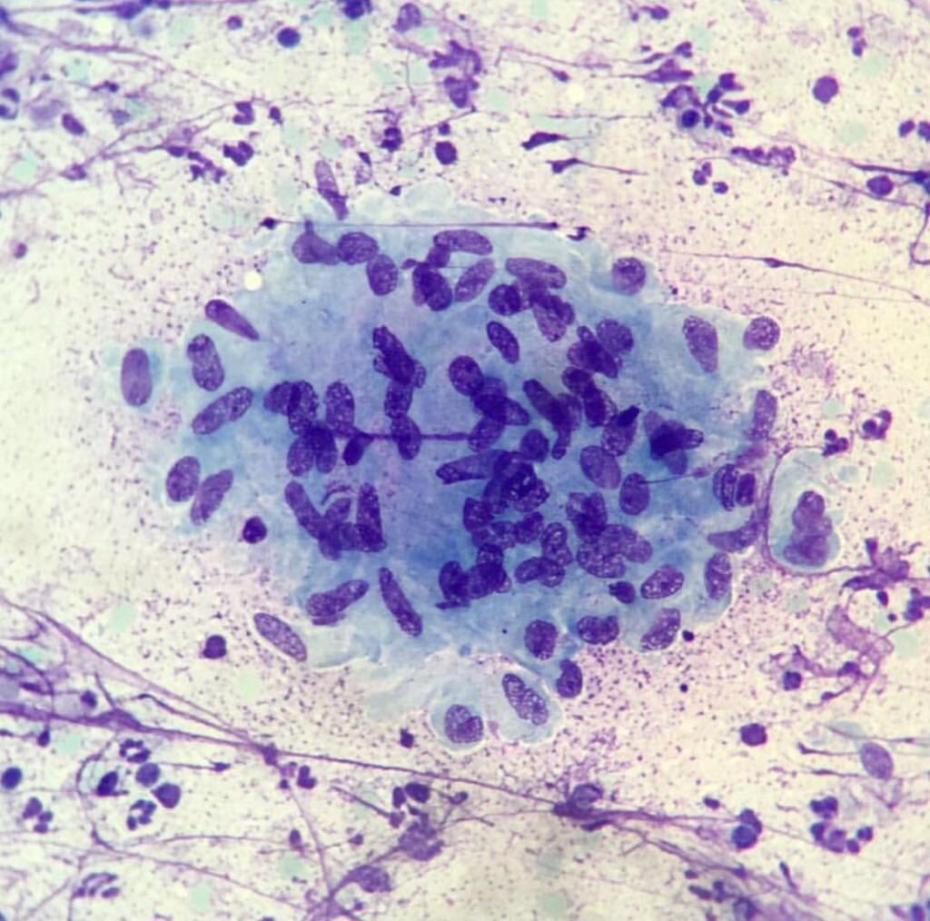
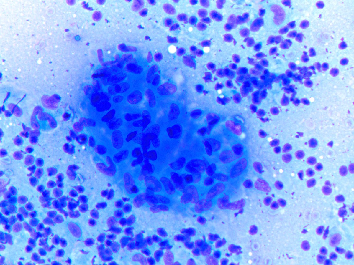
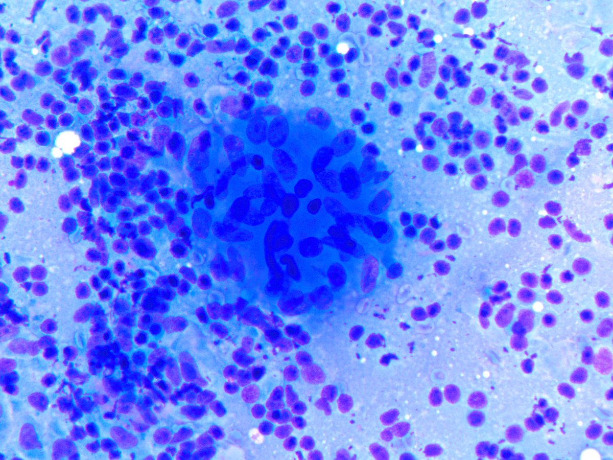
Granulomas on cytology (lymph node sarcoid)
#pathology#granuloma#PulmPath#hemepath@pathobotpic.twitter.com/tmuo8iia1b
-
You might not be able to control the cards your dealt in life, but you can make the best of your opportunities. Born tough, born fighter, born winner, and there ain't nothing can change that.
#craneo#eosinophilic#granuloma#braintumor#survivorpic.twitter.com/Cu93ugq1k3
-
Seminoma with florid granulomatous reaction including necrosis and granulomatous vasculitis.
#GUPath#granuloma pic.twitter.com/AHMrgPUELP
-
How about a
#Tweetorial with no ending? A document that can be added to at any time? Can it work? Let’s find out! 1/ This#pathtweetorial will address the entity know as “talc granulomatosis” and review the literature, including old papers!#pathology#pulmpath#granulomaPrikaži ovu nit -
A partial glimpse of the universe of granulomas.
#pathology#granuloma pic.twitter.com/sKkfoVSIyZ
-
Researchers have discovered
#Candida albicans can cross the blood–brain barrier, triggering an#immuneresponse that results in the formation of#granuloma-type structures and#memory impairments:http://bit.ly/2C088K1 -
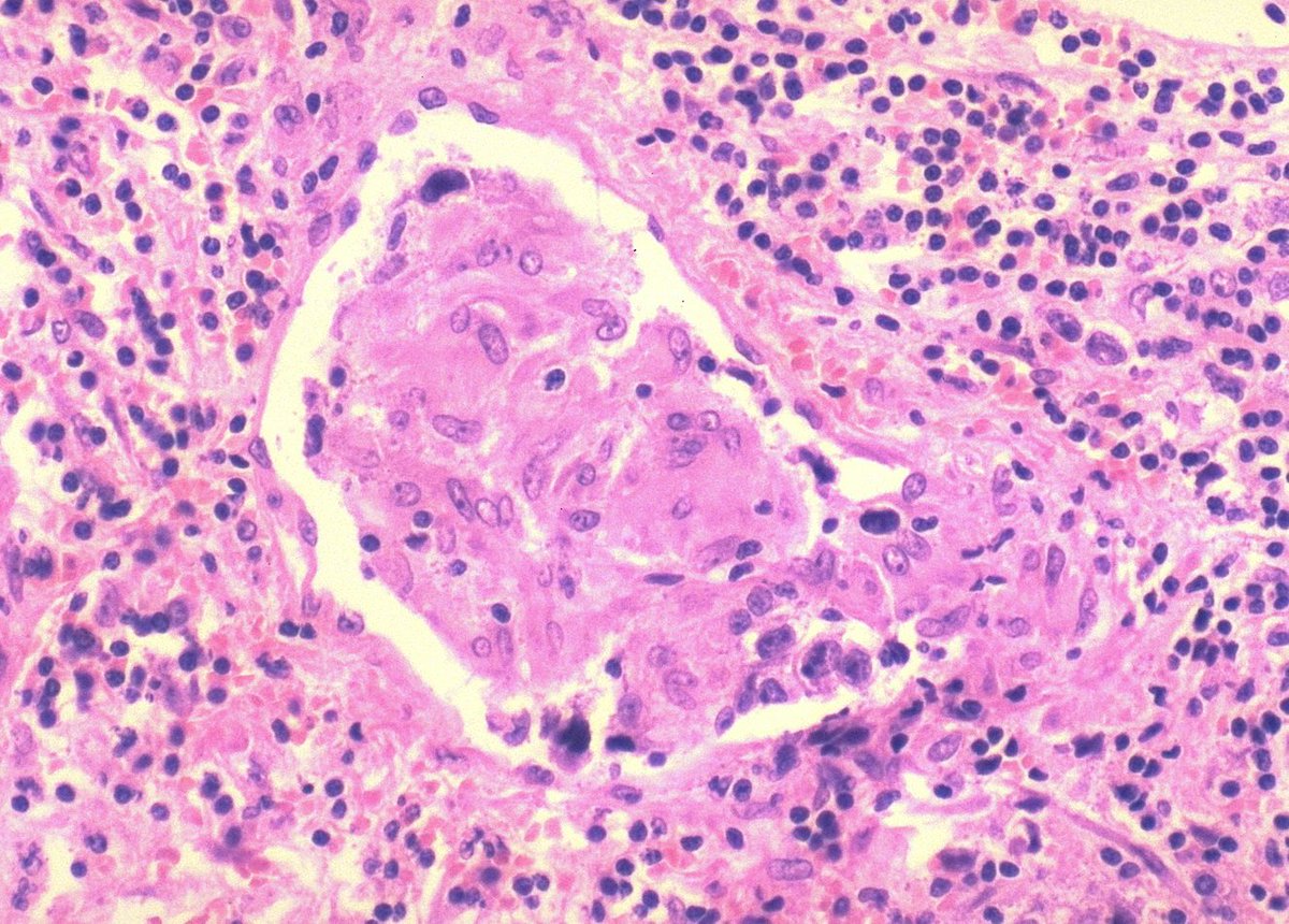
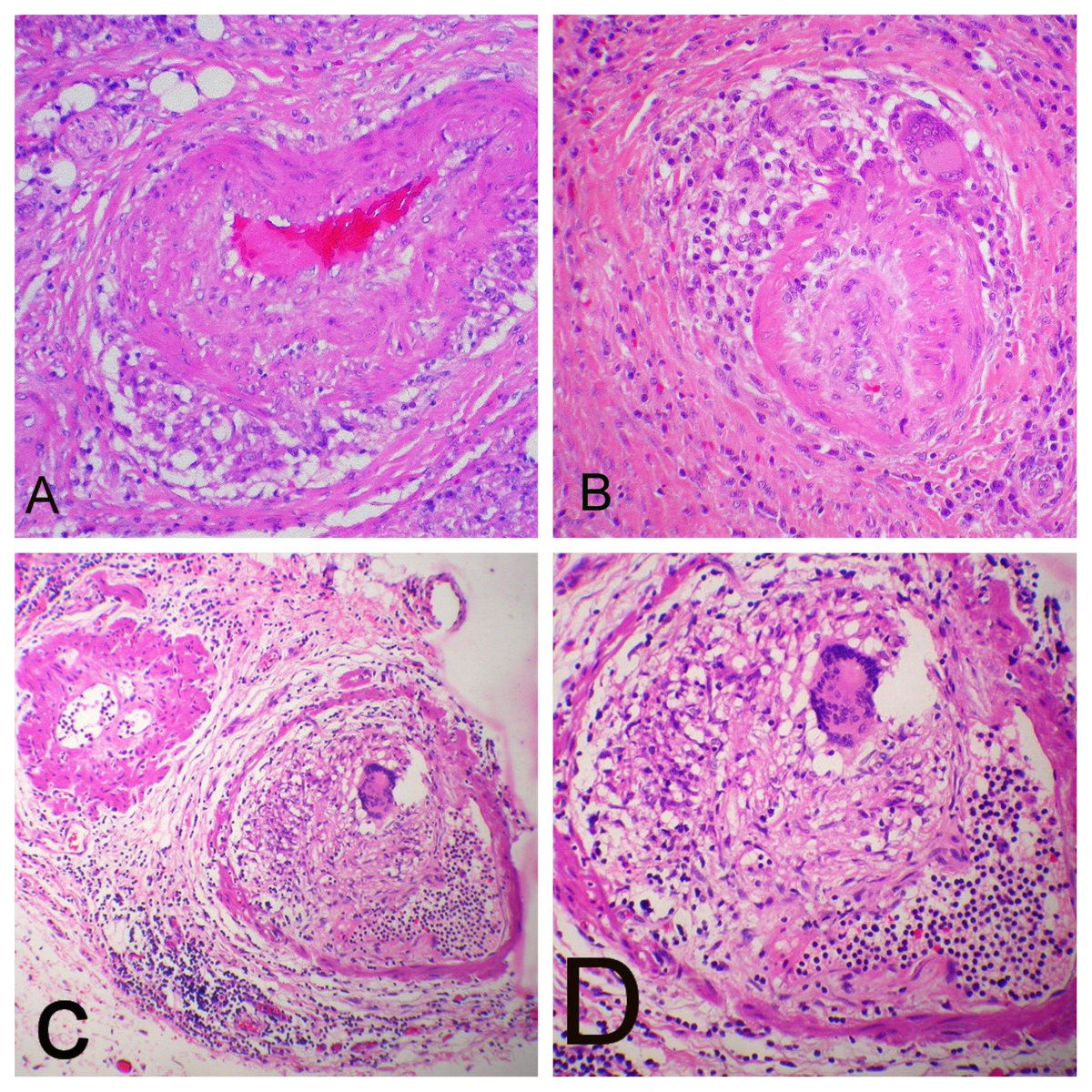
Non-sarcoid granulomatous
#vasculitis. A & B - Associated with#BCG injection C & D - Colonic#tuberculosis#granuloma pic.twitter.com/BZpffMVZaE
-
#PathTweetorial-#Granuloma Formation 1/6 Antigen presentation to dendritic cells triggers a complex interaction of cytokines produced by activated T-cells and macrophages resulting in epithelioid granuloma formation in#sarcoidosis & other granulomatous diseases.#pulmpathPrikaži ovu nit -
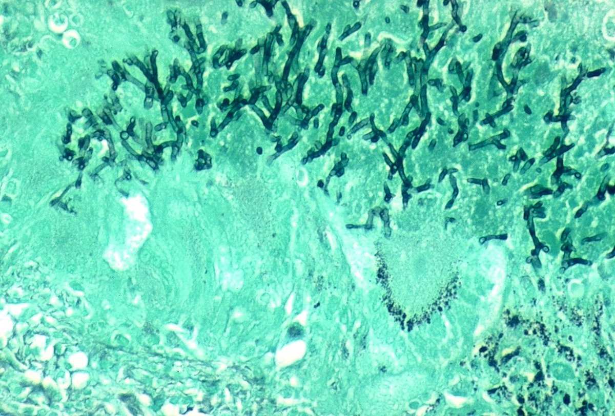
Invasive pulmonary
#aspergillosis with granulomatous inflammatory reaction.#pulmpath#fungi#granuloma pic.twitter.com/42lFrIkCDa
-
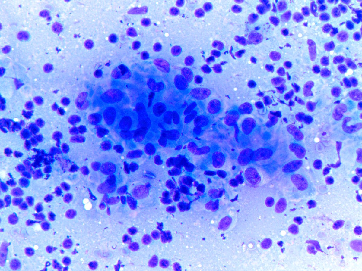
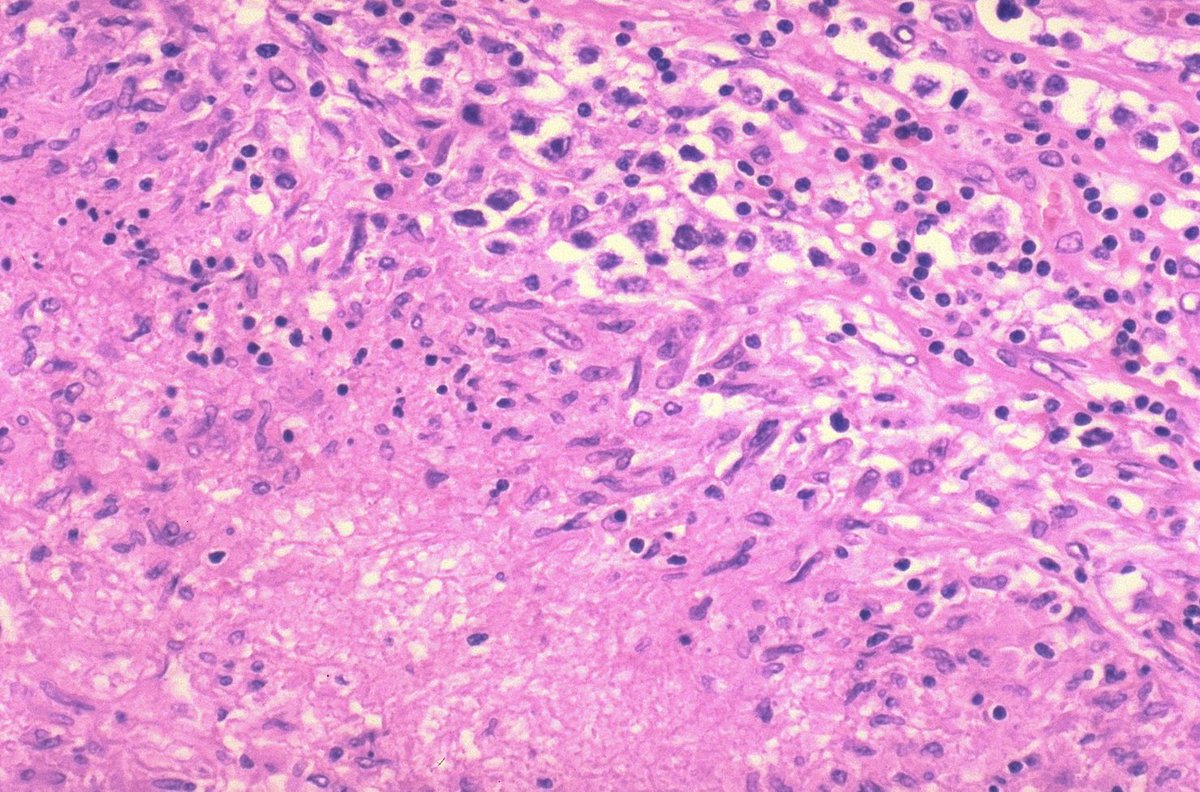
Granulomas are so beautiful...
#cytology#pathology#medicine#granuloma pic.twitter.com/YyazOVCdt7
-
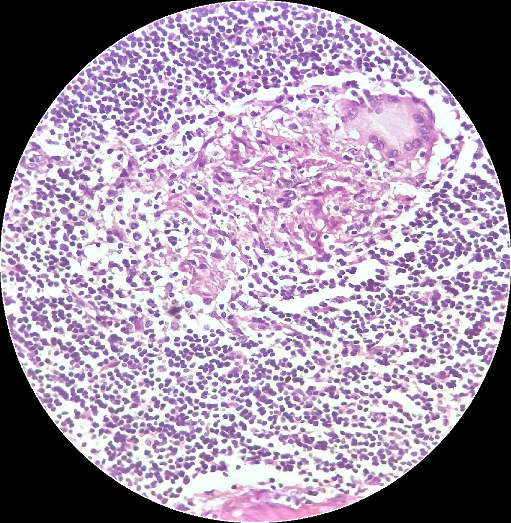
35 year old male presenting with acute abdomen. Appendicectomy. AFB negative.
#gipath#Pathology#granuloma@kriyer68@pembeoltulu@DraEosina@Patholwalker@VijayPatho@BinXu16@Chucktowndoc@dr_abdulaleem@appy_vashi@suraksharaobpic.twitter.com/PapqUNE0uV
Čini se da učitavanje traje već neko vrijeme.
Twitter je možda preopterećen ili ima kratkotrajnih poteškoća u radu. Pokušajte ponovno ili potražite dodatne informacije u odjeljku Status Twittera.
nice one