-
Have you ever heard of Vectorite? Actually, it's a biopesticide that is spread in part by bees! It's an ingenious biotechnology initiative.
#bees#biotechnology#biopesticide#fungus#microorganismhttps://arstechnica.com/science/2019/10/now-available-in-the-us-a-pesticide-delivered-by-bees/ … -
"Shellac and the permanent use of nail polish increase the risk of
#fungal#infection because you’re causing trauma to the nail.#Fungus can then enter the nail-bed." Read some more top#tips from a podiatrist on#footcare!http://bit.ly/2uRPcgm -
TY4RT
@johncwright2 &@RiyadhAlrifai ! Counterintuitively,#fungus could be the answer to saving our frogs https://buff.ly/2U9Zl2K#Conservation#Wildlife ##915 -
Hello
@profvrr. Have there been any documented cases of zoonotic#virus transfer between reptiles and mammals? Or really between any endotherm and exotherm? This definitely happens with#bacteria and#fungus. But I find it hard to believe for viruses. https://www.scientificamerican.com/article/snakes-could-be-the-original-source-of-the-new-coronavirus-outbreak-in-china/ …Prikaži ovu nit -
Endemic and panglobal genetic groups, and divergence of host-associated forms in worldwide collections of the wheat leaf rust fungus Puccinia triticina as determined by genotyping by sequencing
@UMNPlantPath@MaricelisAceve1#wheat#Puccinia#fungus https://go.nature.com/38dyhn7 -
Holy
#fungus batman, Christmas has come on time
https://www.theguardian.com/artanddesign/2019/dec/25/somerset-house-london-mushroom-art-fungi-exhibition … -
きのこリウム先生、かく語りき
(文中にちらりと妻たちが出てくるw)
https://book.asahi.com/article/12950031 …
#kinokole#fungi#fungus -
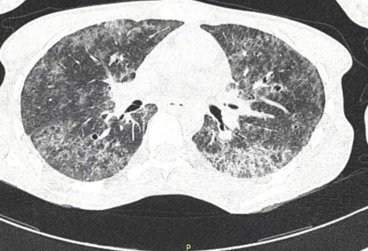
Jigsaw puzzling in the ICU: diagnosing invasive pulmonary aspergillosis.
@drjordirello@PneumoINSPIRE@VVIZV1#fungus#aspergillus#ICU#aspergillosis@JMellinghoff@marta_bork@WendyChaboyer@RKleinpell@BronaghBelfast@drbencb https://www.ncbi.nlm.nih.gov/pubmed/31361683 pic.twitter.com/lAynu8h3E6
-
Superglue plant and ‘miracle berry’ among 2019’s new finds Includes
#bamboo#fungus https://www.theguardian.com/environment/2019/dec/17/superglue-plant-and-miracle-berry-among-2019s-new-finds?CMP=Share_AndroidApp_Tweet … -
4.5)
#FUNGUS and#PancreaticCancer ??@nature published a letter in Oct. describing a link between#malassezia (cause of dandruff & sebderm)and panc. cancer via the#Mbl and#C3 pathways. A dense read, but fascinating science and a potential new onc
https://www.nature.com/articles/s41586-019-1608-2 …
6/14Prikaži ovu nit -
Researchers find new evidence that a
#fungus can be hard to find@uniofexeter@NatureCommshttps://phys.org/news/2019-12-evidence-fungus-hard.html … -
#IDDailyPearl Recent diagnosis HIV+men w/Fever/dispnoea/LDH
/oral candidiasis/
What diagnostic test would you perform?
B-glucan/PCR/Grocott/DFA
#pneumocystis#Fungus#IDmed#IDtwitter#grocottstain https://www.ncbi.nlm.nih.gov/pmc/articles/PMC5641380/pdf/ofx193.pdf …pic.twitter.com/qZmVOSd5y8
-
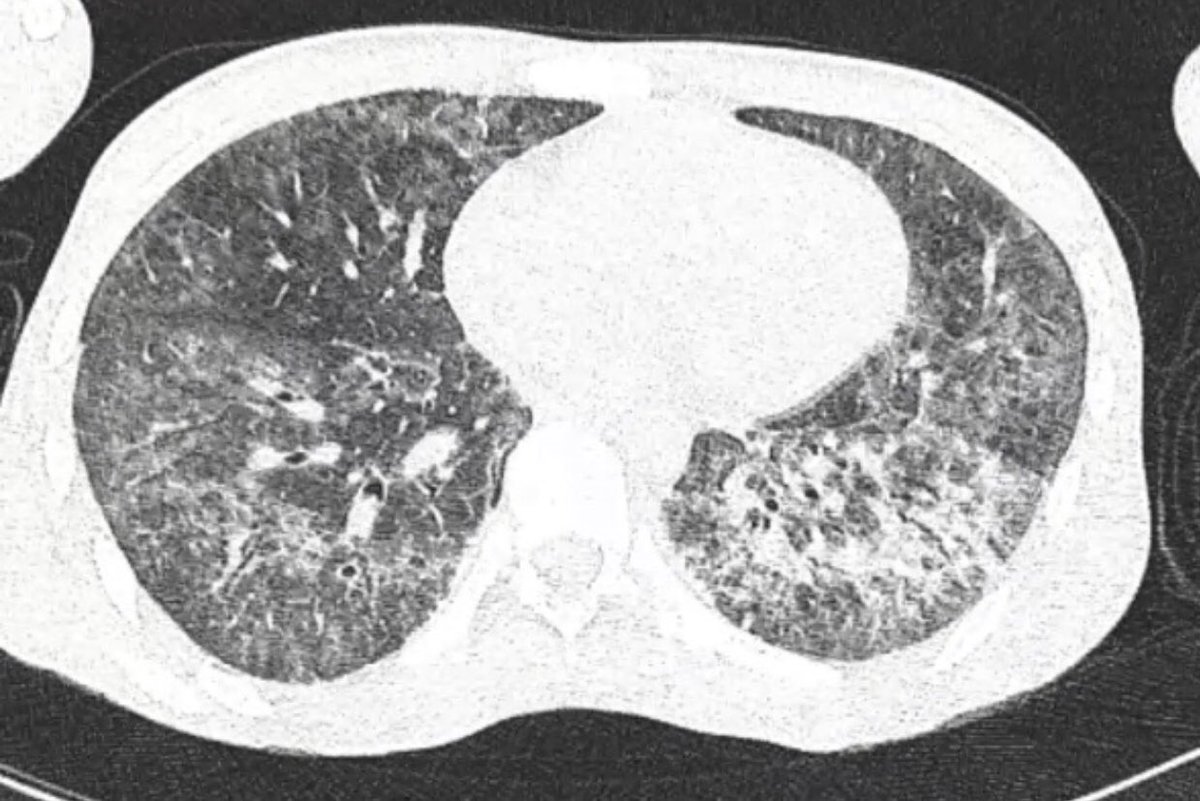
Aspergillus infections are associated with the progression of cystic fibrosis. This study highlights the need to further evaluate early Aspergillus species infections. https://www.ncbi.nlm.nih.gov/pubmed/31747309# …
#cysticfibrosis#aspergillus#fungi#fungus#bronchiectasispic.twitter.com/M47lgaKm7p
-
#Fungus produces active agent in a medicinal herb@PNASNewshttps://phys.org/news/2019-12-fungus-agent-medicinal-herb.html … -
Anthracnose alert: How bacteria prime fifth-biggest global grain crop against deadly
#fungus https://phys.org/news/2019-12-anthracnose-bacteria-prime-fifth-biggest-global.html … -
Fungus and wheat? A dynamic duo! Studies show that adding
#fungus to wheat improved nutrient uptake and could to a new variety of "smart" crops https://bit.ly/2OsFKXh#Plants#Symbiosis#MotherEarth#Sustainability#Food#Green#Agriculture#physiserpic.twitter.com/atlFb88w84
Čini se da učitavanje traje već neko vrijeme.
Twitter je možda preopterećen ili ima kratkotrajnih poteškoća u radu. Pokušajte ponovno ili potražite dodatne informacije u odjeljku Status Twittera.
おフランス製作の番組ざんす。