-
Nature is full of beauty . . . .
#fractals#fractalsinnature https://www.instagram.com/p/B8EG-5QiSNB/?igshid=1ajfsk4kpn8a7 … -
Fractals on fractals. Frost on the window and the trees in the background. Art while waiting for the car to defrost. It’s a good day already.
#fractalsinnature https://www.instagram.com/p/B78Zvdan7CVz_eJ38buteyxe4TaV-KGT0UcKKI0/?igshid=kzavfqixhxu6 … -
Yesterday walk, natural
#fractals.#fractalsinnature @ Parco del Beato Bertrando https://www.instagram.com/p/B62mZiaiigE/?igshid=1jd48vmfksmfu … -
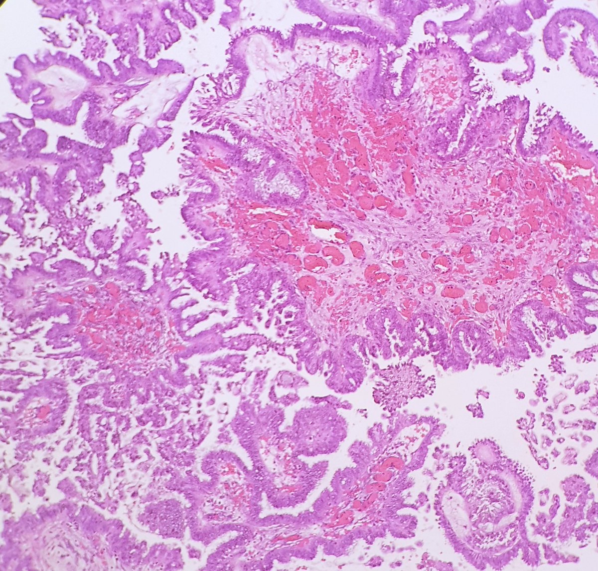
The repeated branching of this ovarian tumor reminds me of coral.
#pathology#fractalsinnature
pic.twitter.com/2xBfTGE3ZL
Prikaži ovu nit -
Nature Imitates Nature .
#down#feather#lichen#fruticoselichen#frilly#filaments#fractalsinnature @ Ukiah, California https://www.instagram.com/p/B0jPWXZJnKK/?igshid=1u7lrtergg4yb …Prikaži ovu nit -
ιғ yoυ тrυly love naтυre, yoυ wιll ғιnd вeaυтy everywнere
~ Vincent Van Gogh
•
•
•
#still_life_nature#naturalsymmetry#fractalsinnature#macro#macro_mood#macro_x#macro_captures#macro_champ#macro_holic… https://www.instagram.com/p/ByYzoFYJhRP/?igshid=k8qr00wwp50v … -
#fractalsinnature#cherryblossoms#cerisierjaponais#körbärsblommor#springishere#lecastellet#provence#prunus @ Le Castellet, Provence-Alpes-Cote D'Azur, France https://www.instagram.com/p/Bt8z1oKAcAR/?utm_source=ig_twitter_share&igshid=1w4du395mtqnv … -
We got a tour tape split with Kurt Vise ernest_skroller, and we made it to the ocean! Performing tonight in Atlanta on WREK Radio!
#datacompromise#fractalsinnature#oceanicaesthetic @… https://www.instagram.com/p/Bsq1mPUAzI0/?utm_source=ig_twitter_share&igshid=1f8y2vuj95k3l … -
Fractals in nature ・・・
by, @sacredelements on instagram ・・・#fibonacci#phi#goldenratio#fractal#fractals#sacredgeomertry#quantumphysics#cymatics#infinity#blackhole#atom#torus#galaxy#universe#singularity#pinealgland#ascension#spiral#fractalsinnature pic.twitter.com/aRfELoVPqe
-
Crazy about fractals
@CyberforPeople fractals_ fractal.fairy fractalaudiosystems mathematicsforlife@mathematicswu@danielmadison mathdiscussion#fractal#fractals#fractalsinnature @ Tel… https://www.instagram.com/p/BpbiPrKB1Kq/?utm_source=ig_twitter_share&igshid=176ylldqamfyc … -
The Barnsley Fractal (in real life)
#fractalsinnature @ Andes, New York https://www.instagram.com/p/BmrWQ8gA8hM/?utm_source=ig_twitter_share&igshid=1ounvlsrl61sw … -
Fractal-icous.
#NoFilter#FractalsInNature
taken at Gardens by the Bay.
To you,
I send #NationalDay

https://www.instagram.com/p/BmP03pzjQjV/?utm_source=ig_twitter_share&igshid=1rw4zr9sat9zz … -
Perfect bracken fractals, reaching up to the sky
#bracken#patterns#naturalgeometry#ferns#fractalsinnature#fb https://ift.tt/2ksE69k pic.twitter.com/gfr25LeimZ
-
Fractal patterns on the flower.
#fractalsinnature @ Blacksburg, Virginia https://www.instagram.com/p/BYgahjiHedZ/ -
Artichokes, anyone?
#fractalsinnature https://www.instagram.com/p/BWEaELxB0Kf/ -
Made me feel guilty for strimming one of these out of my frobt hedge today.
#fractal#fractalsinnature
Čini se da učitavanje traje već neko vrijeme.
Twitter je možda preopterećen ili ima kratkotrajnih poteškoća u radu. Pokušajte ponovno ili potražite dodatne informacije u odjeljku Status Twittera.