-
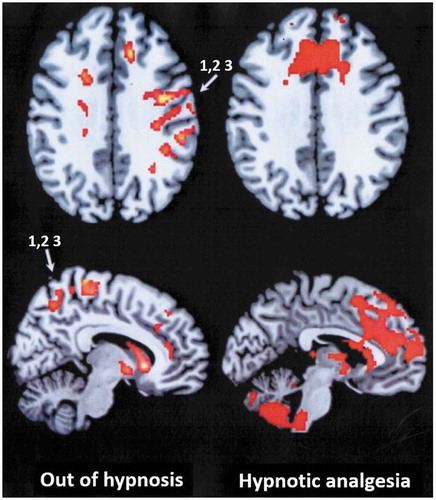
Researchers in Italy found that hypnotic-focused analgesia may prevent painful stimuli from reaching sensory cortex in the brains of highly hypnotizable people. https://www.tandfonline.com/doi/full/10.1080/00207144.2020.1685331?scroll=top&needAccess=true …
#hypnosis#analgesia#mechanisms#fMRI pic.twitter.com/m2NQll7NkR
-
Graduating with skills in
#neuroimaging and#statistics in 2020? I'm recruiting a#postdoc to develop/validate/apply cutting-edge Bayesian statistical methods for#fMRI. Tools that make it possible to precisely map individual brains w/out huge amounts of data.Prikaži ovu nit -
Expert programmers have fine-tuned cortical representations of source code and functional categories of source code can be decoded from programmer's brain activity!
#fMRI#BCI#decoding ,
https://www.biorxiv.org/content/10.1101/2020.01.28.923953v1 … -
In addition to the postdoc position, we now have a PhD scholarship available! Project details (listed with Prof Ross Cunnington): https://graduate-school.uq.edu.au/phd-scholarships-health … How to apply: https://scholarships.uq.edu.au/scholarship/earmarked-scholarships-support-category-1-project-grants …
#PhD#7T#fMRI#psychophysics#somatosensoryhttps://twitter.com/pucketta_m/status/1219623156865884160 … -
@HopkinsMedicine#Otolaryngology#fMRI demonstrates complex mental stimulation of#Jazz &#Rap#NewMusichttps://twitter.com/HopkinsMedicine/status/1224029981573029888 … -
The neuroSCIENCE of sadness? Is this supposed to be ironic? I predict one day
#fMRI will be able to resolve voxels so that the#affectome will make BOLDER predictions about the "brainstem." p < 0.05 after standard k-means clustering analysis of traced pictures...

-
Would you go into an
#fMRI machine with another person? - http://bit.ly/2RBHq2a@EmoryPsychology@gberns@LourencoLab@LaurenAulet@columbiacss@LancasterUni@StanfordEng@StanfordWoods@AnjaMBrandon@uarizona@hausfath@henrifdrakepic.twitter.com/MLp3FndWCP
-
Plus side of doing 8
#fMRI studies a week is that PowerScribe now flawlessly gets words like “semantic,” “phonological,” and “aslant.”
It is ironic that PowerScribe fails on transcribing “phonology”
#MayoClinicFlorida@TheASNR@theASFNR@MayoRadiology@phudge54@jsandhu11 -
How can
#fMRI help in the diagnosis of migraines? via@Medscapehttps://wb.md/2tm0KZa -
#FreeSurfer question: differences between stable (v6.0) and development versions? Getting different recon-all outputs for same dataset and unsure which is most reliable.#neuroimaging#fmri -
Researchers at the Marsh Lab at Columbia University have been studying whether differences in brain connectivity relate to how children with OCD respond to Cognitive Behavioral Therapy. Read on here: https://go.nature.com/31btIYd
#OCD#cbt#psychology#fmri pic.twitter.com/Zng0ojvndj
-
Impact of
#highintensity vs#lowintensity#exercise on the#brain.#fmri study! Neuroscience News: High and low exercise intensity found to influence brain function differently. https://lnkd.in/emxbhSH -
Happy to advertise a 3yr EU-funded PhD position in Lille (co-supervised w
#F_Cabestaing) on#fMRI based#Neurofeedback of#Hallucinations More on application very soon#PRT@echrgroup@IPsychiatrie@HumanBrainProj@INM7_ISN@NeuroSpin_91@hearingvoice@PhilCorlett1@isiteULNE -
Effect of
#CBD (#cannabidiol) on#psychosis demonstrated using#fmri (functional#MRI) -
Participate in a
#research project at PERFORM studying the cognitive effects of learning a new#language on healthy#aging. https://perform.concordia.ca/Email/archive/preview_541.html …#neuropsychology#healthyaging#cognition#fMRI#MRI -
Excellent work by the Center's Steve Stufflebeam and team!
#fMRI#epilepsyhttps://twitter.com/radiology_rsna/status/1222975280647745536 …
-
What are the neurobiological correlates of language recovery after severe
#TBI? Our study suggests reemergence of#fMRI responses to spoken language in bilateral temporal & parietal cortices. Preprint: http://bit.ly/38D77pF Data release forthcoming via@YelenaBodienpic.twitter.com/lzqG3nCpNx
-
I was originally silenced b/c I was advocating the use of
#fMRI to irradiate#Corruption in politics. ElectorMagnetics is the basis / direction MUCH of this brain research has used. -
First oral Power Pitch presentation and no less than
#ismrm2020
#fmri#qpp#huntingtonsdisease -
Oh the horror! This unique
#fMRI study looks into scary movies to examine different forms of fear
#anxiety#anticipation#movies https://www.sciencedirect.com/science/article/pii/S1053811920300094?via%3Dihub …
Čini se da učitavanje traje već neko vrijeme.
Twitter je možda preopterećen ili ima kratkotrajnih poteškoća u radu. Pokušajte ponovno ili potražite dodatne informacije u odjeljku Status Twittera.