-
1/? Enucleations can be intimidating specimens! Confirm appropriate laterality by assessing attached muscles (sup rectus & sup oblique = most helpful) & position of ciliary vessels (run horizontally). Mark sup aspect /w pen/sharpie to maintain orientation
#eyepath pic.twitter.com/ojXFArUezf
-
No mysterious
#eyepath diagnosis here, but a nice
to start off the week
pic.twitter.com/e1NuJ21q4Z
-
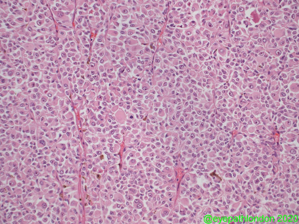
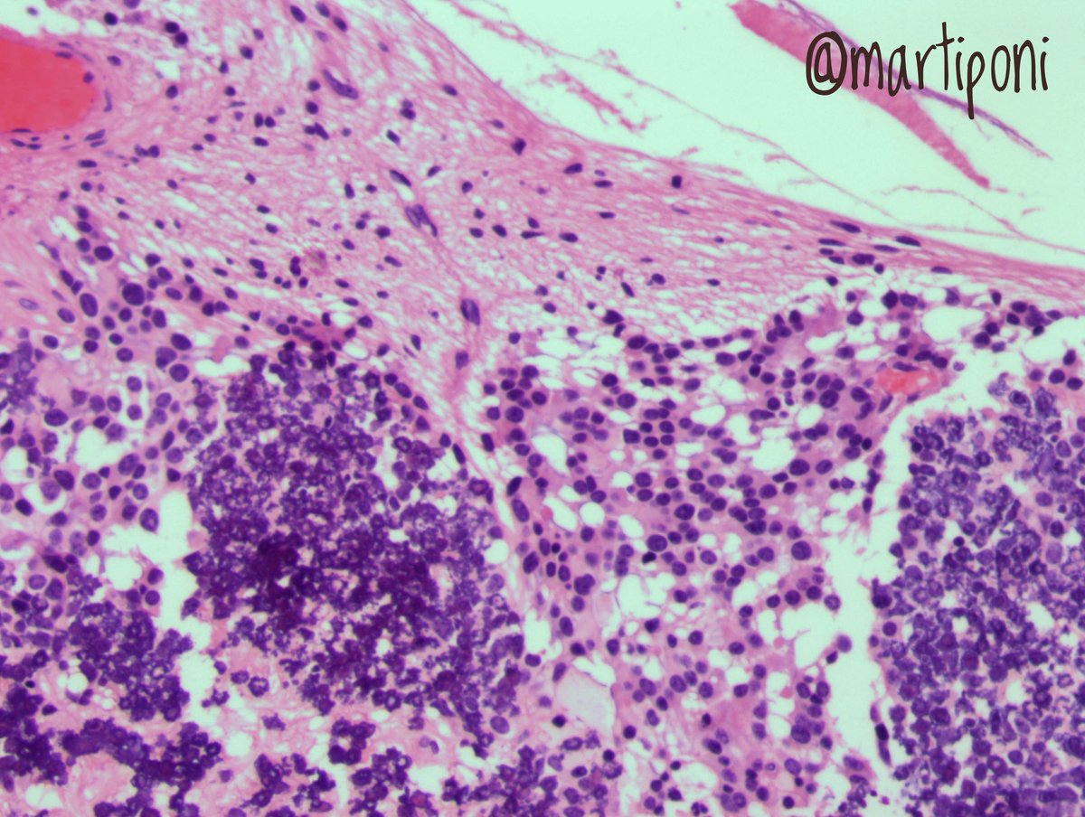
Here's a nice example of an epithelioid choroidal melanoma for your
#EyePath enjoyment pic.twitter.com/dHqb3wW4v2
-
2/? I am currently working on a short how-to post for grossing enucleations for melanoma. To be continued...
#grosspath#eyepath pic.twitter.com/1Us9xqKlKK
-
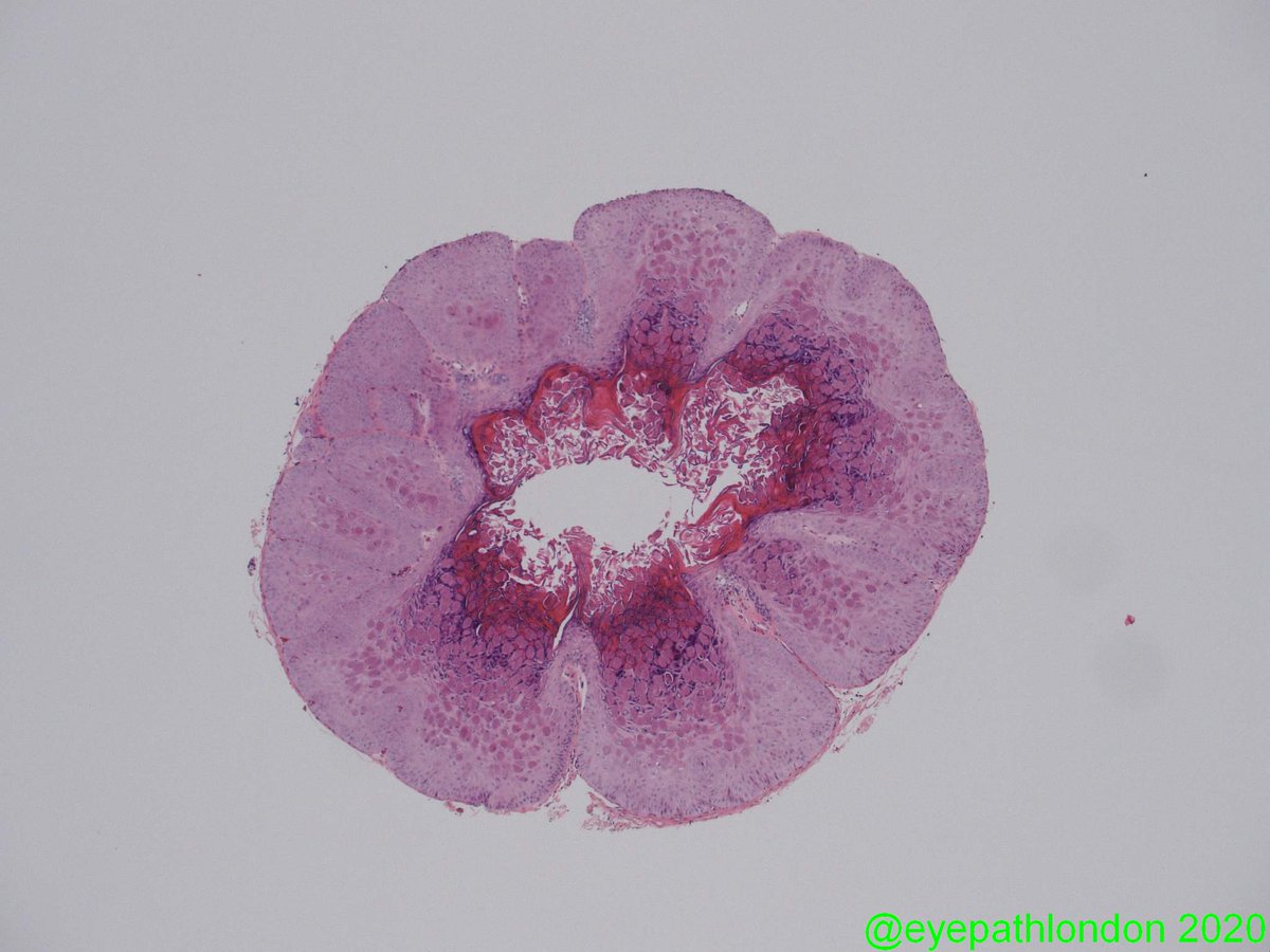
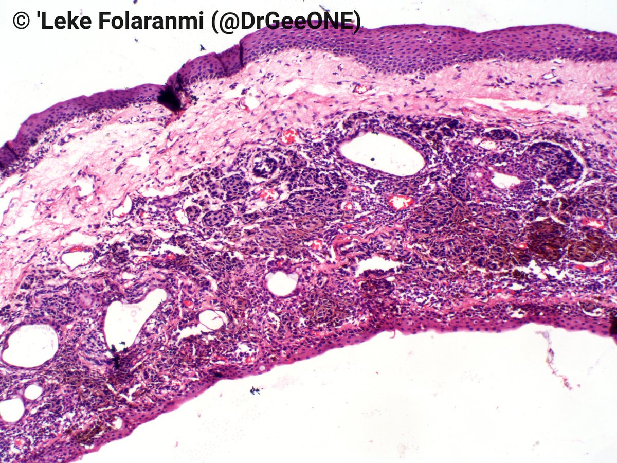
Here's an eyelid biopsy to start the week
#eyepath#dermpathpic.twitter.com/p8E4xi4r10
-
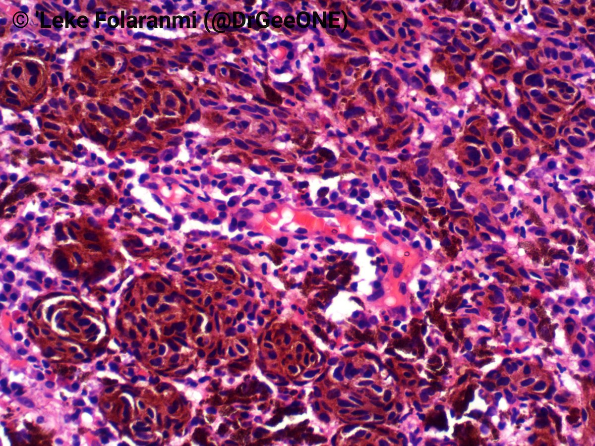
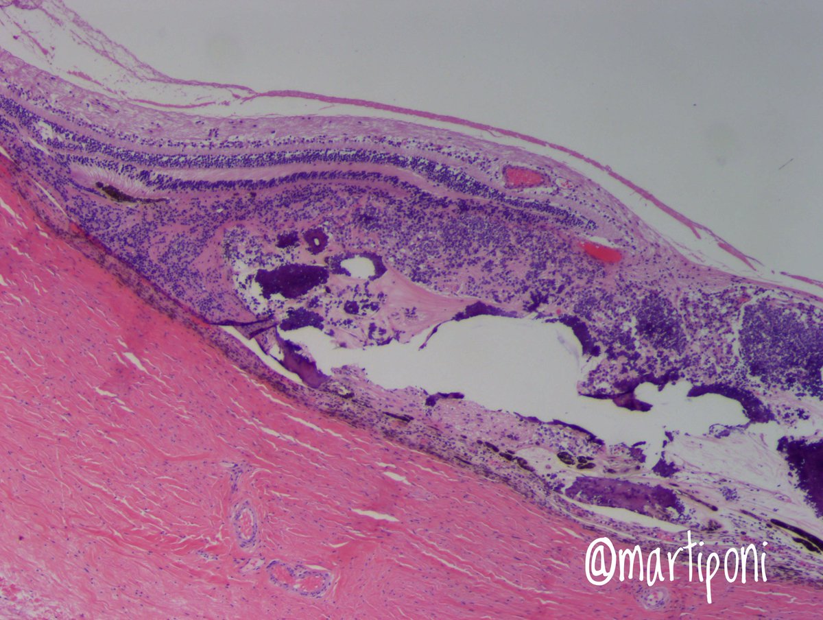
Histology of calcified
#Retinoblastoma (post treatment). A#FlexnerWintersteiner rosette in the last pic#pedipath#eyepath pic.twitter.com/knJ7OacgRT
Prikaži ovu nit -
August meeting highlight: 30F w acute eye pain & redness, exposure to a farm.
Acanthamoeba keratitis!
Rare, sight threatening infection! Infection of skin & CNS too. Contact lenses
risk. Tx: topicals, surgical intervention. Great case courtesy of Drs. Cayrol & Born #Eyepath pic.twitter.com/T59rsOmdhl
-
A quick case from our neuropathology fellow:
#unknowns#opthopath#eyepath#GoGators#pathologypic.twitter.com/5fyfRI0ZfT
-
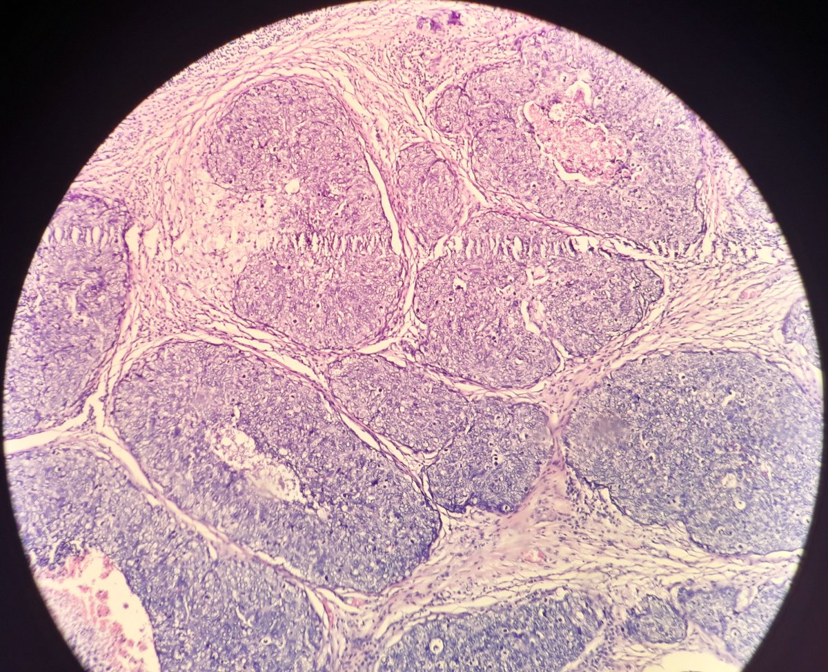
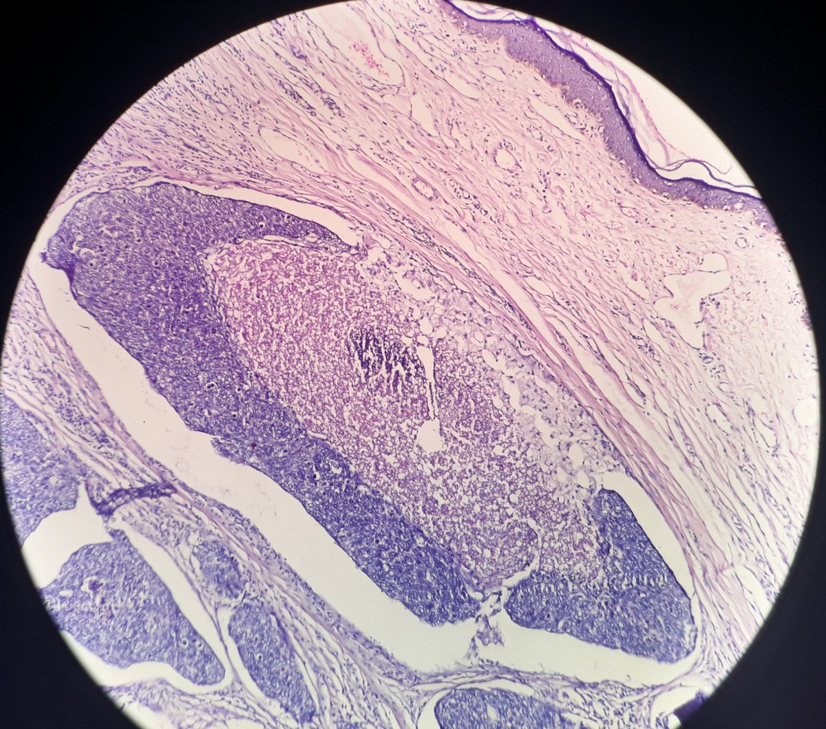
Circumscribed orbital mass in a middle aged male.
#EyePath#BSTpath@D4L14H@nusrat_xahra@MELanocyteMD@preethijaison@Chucktowndoc@AMubeen_Path@TheKarenPinto@kells108@Glzbek1@VijayPathopic.twitter.com/6lIALtRXu8
-
Eye histology and pathology are fascinating! Here is a compilation of some amazing eye pathology posts
#eyepath#ocularpath










“A global view of the eye globe”https://twitter.com/i/moments/1136991113288572928 … -
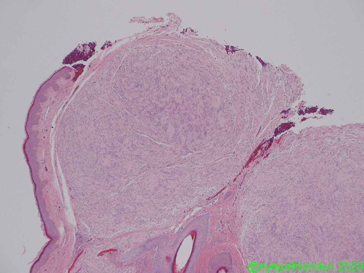
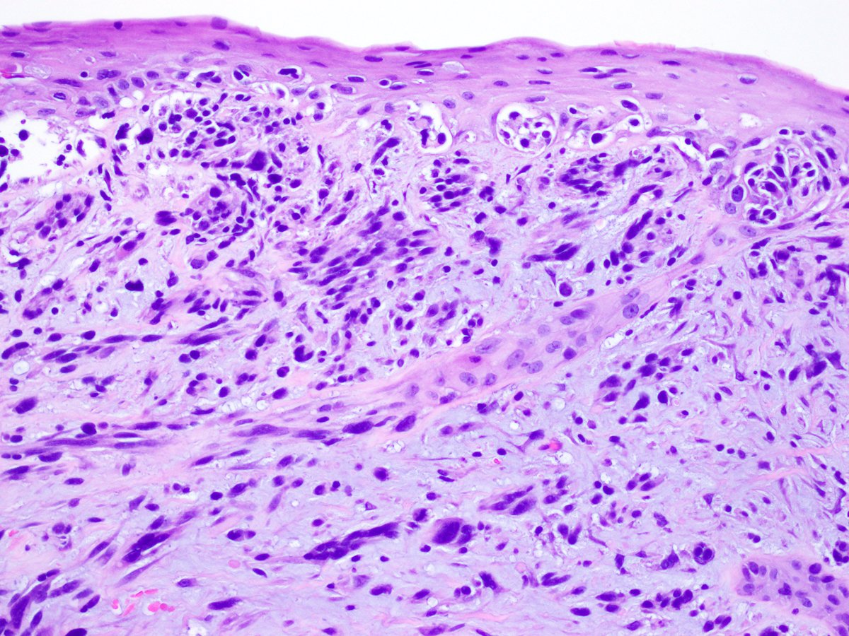
Beautiful tumour on eye lid often misdiagnosed by clinician.
#eyepath,#dermpath#pathboard#pathquizpic.twitter.com/Jqh6t09edW
-
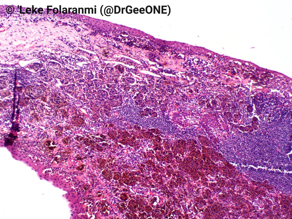
The DDX for granulomatous disease of the uvea often centers around sympathetic ophthalmia and Vogt-Koyanagi-Harada syndrome, but as shown here sarcoidosis can also involve this layer of the eye.
#eyepath#sarcoidpic.twitter.com/Ukzn54o3FF
-
Paraproteinemic keratopathy is corneal immunoglobulin deposition occuring in the setting of monoclonal gammopathy of undetermined significance, smoldering plasma cell myeloma, or Waldenström macroglobulinemia.
#eyepath#keratopathypic.twitter.com/WiB2PQRBjs
-
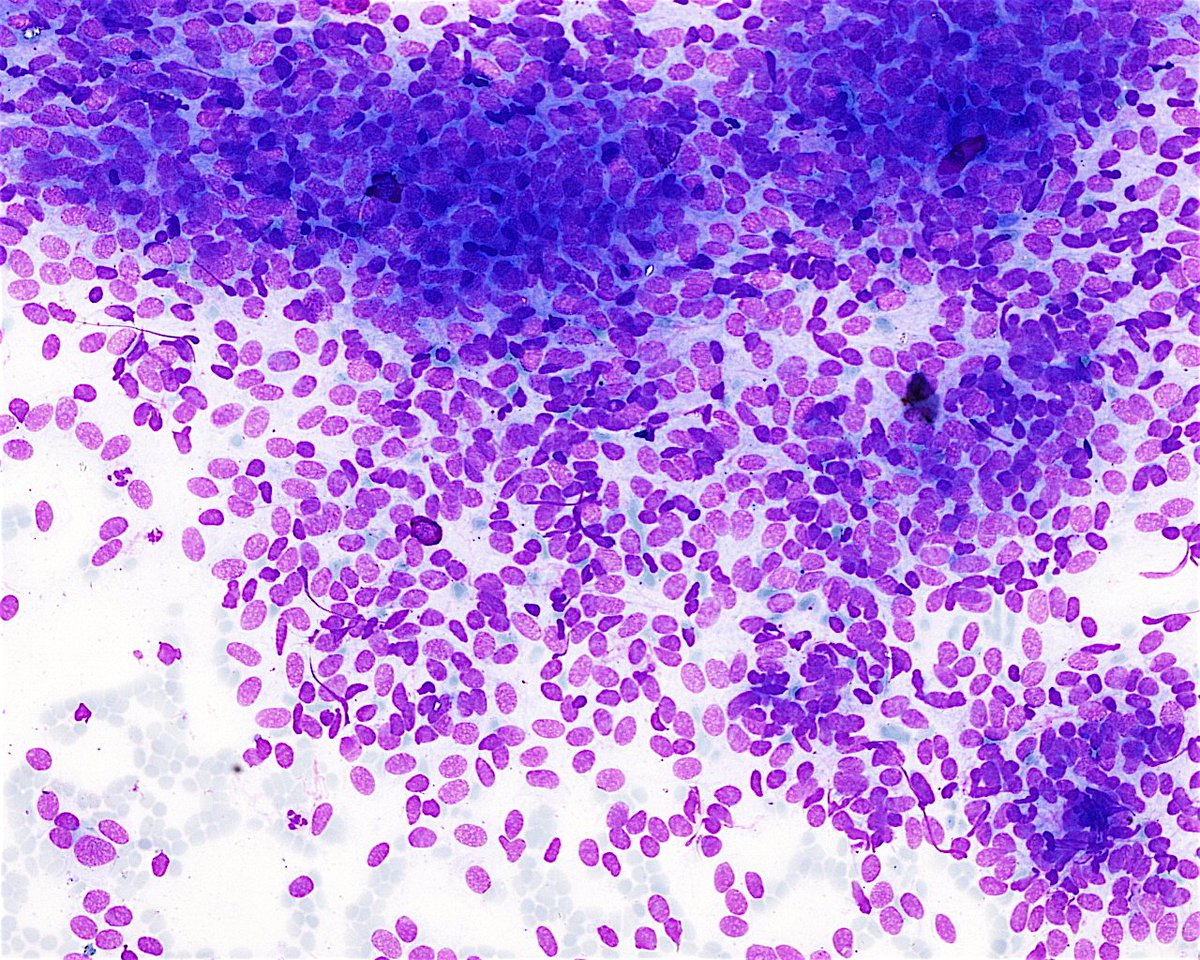
Posting my first case for #pathtwitter and it's#cytopath#headneckpath#ENTpath#eyepath 45/F with swelling near medial canthus x 6months@sza_jhcyto@BinXu16@Sara_Jiang@eyepathlondon@ViralBhanvadia@venkytalks@InduArun5@vi_monappa@padmapathology1pic.twitter.com/E60dfjbFgT
Prikaži ovu nit -
Autopsy globe from a type 1 diabetic patient stained with PAS. Diagnosis?
#Eyepath#diabetespic.twitter.com/Hxr02saZdu
-
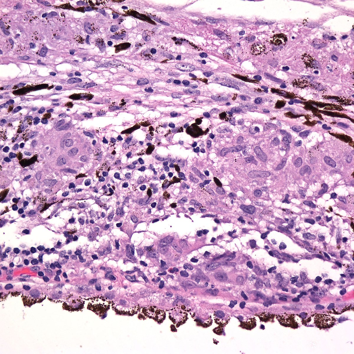
Conjunctival melanomas are relatively rare in african american patients. This one arose from Primary Acquired Melanosis (PAM), also known as conjunctival melanocytic intraepithelial neoplasia, and had prominent spindle cell features in some areas.
#eyepath#melanomapic.twitter.com/2d0aHnWZTy
-
2/2 High power views
#Eyepath#Dermpath#Pedipath Congenital naevipic.twitter.com/tPd1YZcBtI
Prikaži ovu nit -
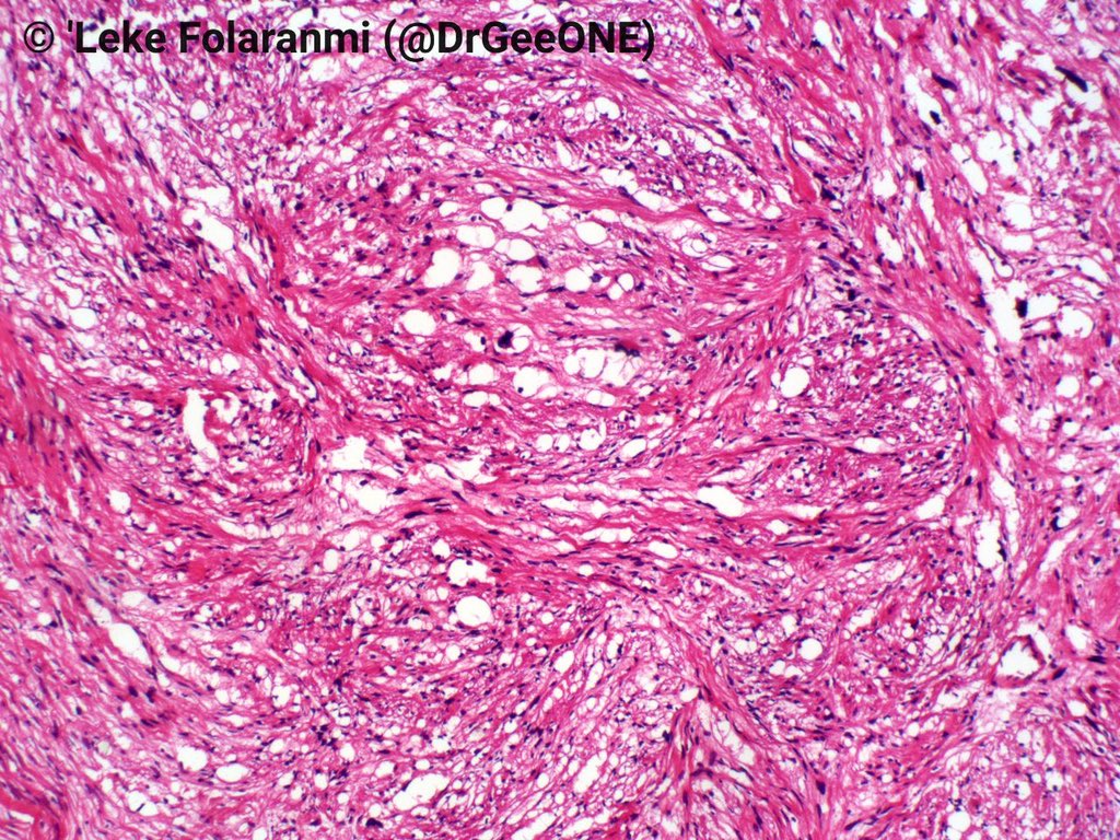
1/2 Posting this case at the request of
@AdegboyeAlarape Pigmented conjunctival mass in an 11YO . Duration: from birth. Would you be worried? Kindly share your opinions No IHC
#Eyepath#Dermpath#pedipath@eyepathlondon@NeuroEyepath@skinandall_@david_terrano@kis_lorandpic.twitter.com/riSr00D4oD
Prikaži ovu nit -
Alternaria
#keratitis in a gardener who got a piece of a thorn in her#eye. Consider wearing safety glasses!#eyepath#neuropath#pathtwitter#ophthalmologypic.twitter.com/uCG4S1IwOZ
-
#Metastases to the#eye are rare, but can happen. Here's a metastatic large cell neuroendocrine#carcinoma from the#lung that spread to the#retina.#eyepath@NMOphthalmology#neuropath#pathtwitter#pathology@NU_Pathologypic.twitter.com/f5kL2XHsgi
Čini se da učitavanje traje već neko vrijeme.
Twitter je možda preopterećen ili ima kratkotrajnih poteškoća u radu. Pokušajte ponovno ili potražite dodatne informacije u odjeljku Status Twittera.