-
1/10 Welcome to my first
#pathtweetorial!
I was recently gifted a lovely section of adrenal gland, so I figured: why not use it to make a guide to the kidney's most stylish (& functional) accessory?
#pathology#endopath#meded#beautyinthebenign#onepathboardpointatatimepic.twitter.com/NqC2WrrDkw
Prikaži ovu nit -

Pearls!
Dr Lori Erickson @MayoClinicPath • Aggressive variants of PTC#endopath
Hobnail, Columnar and Tall Cell: >30%cells w hobnail or tall cell features
Tall: comment on any %
Columnar: CDX2 +/-
Solid: Nearly all solid/trabecular/nested. DD poorly dif thyroid ca pic.twitter.com/xIHRvsLmUw
Prikaži ovu nit -
Another pretty hyalinizing trabecular tumor of
#thyroid with inclusions#endopath pic.twitter.com/onUHXiAk4z
-
Look what I found in this paraganglioma.
#pathology#EndoPath pic.twitter.com/xsHrtz7UCm
Prikaži ovu nit -





PAPILLARY THYROID CARCINOMA [ VARIANTS ] -My first #Endocrinepath Tweet
-
#pathclues#PathBoards#pathology#patologia#pathologists#pathresidents#thyroid#pathart#pathclassic#ThyroidPath#histopathology#ThyroidCancer#Endopath#headandneckpath#pathtwitterpic.twitter.com/ciiC77KAHoPrikaži ovu nit -
Thyroid lesion in a young patient. FNA material was negative for BRAF V600 mutation. What stain would you do?
#EndoPath#Thyroid#ENTPathpic.twitter.com/tvfcG2CpGh
Prikaži ovu nit -
This is a 60+
w/ unilateral parotid mass. Diagnosed on FNA as Warthin tumor
Most of the mass actually looks like it
#ENTpath#Headandneck#EndoPath pic.twitter.com/uOSh1rJqWp
Prikaži ovu nit -
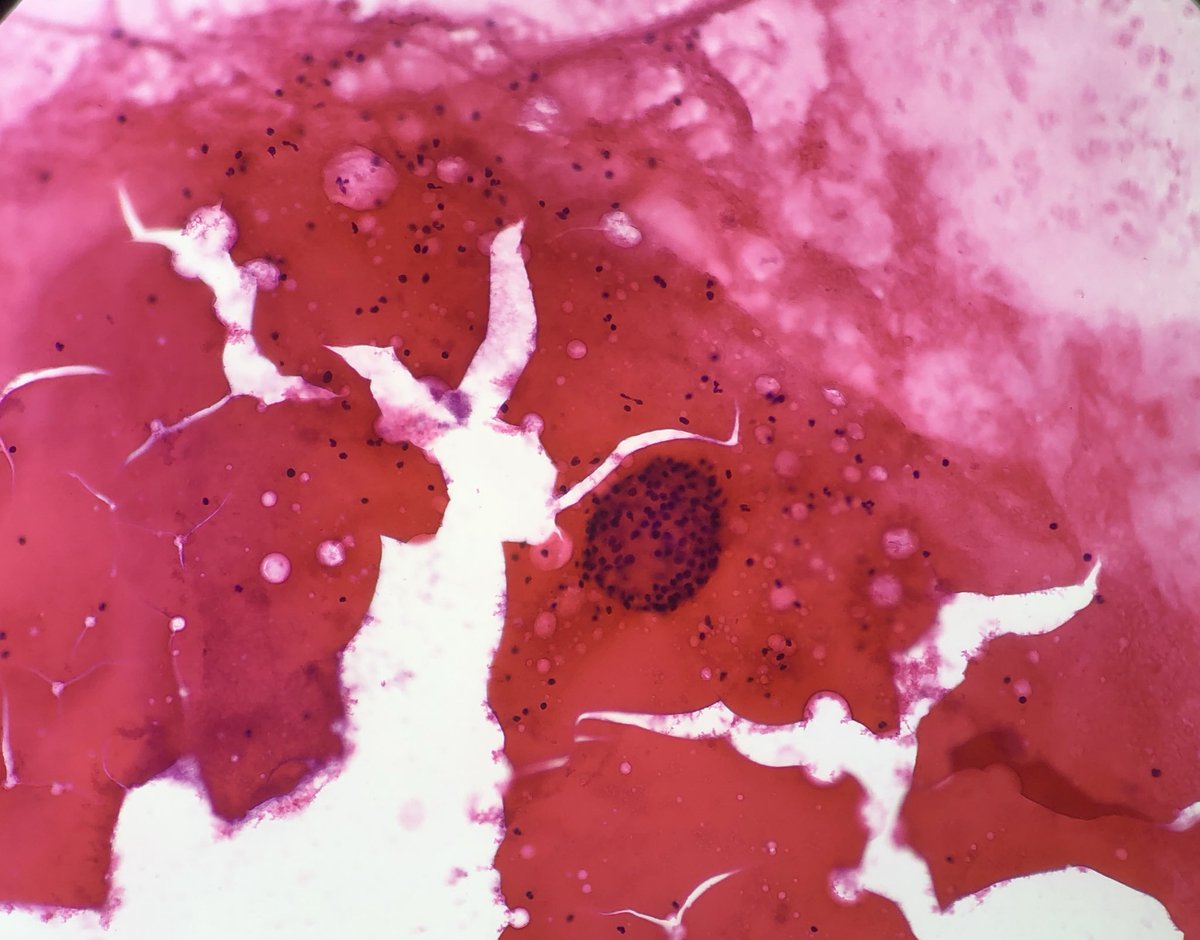
This is kind of an interesting thyroid FNA
#pathology#endopath H&E preparation What do you see? Middle aged
pic.twitter.com/7zNqh6dFaH
Prikaži ovu nit -
#FNAFriday Quiz case for brave#CytoPath tweeples. F48yo, i t's a cervical cyst, suspicious of thyroglossal origin. Courtesy of@isi200x#EndoPath pic.twitter.com/5sUrTYyW2R
Prikaži ovu nit -
Skeletal maturation is significantly delayed in boys with glucocorticoid-treated Duchenne
#musculardystrophy and is a factor that should be accounted for in the care of these patients. Read more: https://bit.ly/2vPsS7X#endocrinology#endotwitter#endopath#medtwitter -
El Dr. Syed Ali
@sza_jhcyto de@JHUPath estará en#SLACito20, Cartagena de Indias, Colombia. XXX Congreso de la Sociedad Latinoamericana de Citopatología. 28-30 de Abril 2020.#SLACito20#CytoPath#Citología Tiroides Bethesda#TBSRTC#EndoPath Más info: https://patologosdecolombia.org/congreso-latino-citopatologia-cartagena-2020-es/ …pic.twitter.com/blYnC2Ht1F
-
To all my
#pathology colleagues, time to get back to work for 2020. May all your PTC diagnoses be as clear as this.#thyroid#endopath pic.twitter.com/JqT3Xotlkw
-
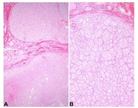
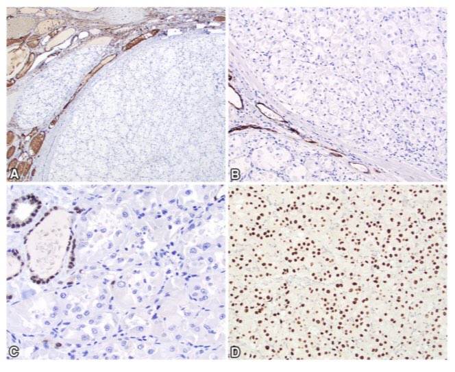
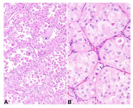
Crooke's cell adenoma:
Rare subtype (<1٪) of pituitary adenoma
MC in middle-aged
w/ Cushing dz
Aggressive, often w/ sinus invasion
>50٪ of cells w/ hyalinization of cytoplasm (PAS-)
LMWK+ at cell periphery
#pathology#neuropath#endopath#meded#pathresidentspic.twitter.com/etzt3OAj6V
Prikaži ovu nit -
It’s here! Just in time for Christmas, printed copies of our new book! All that hard work and holding this in my hands makes it real. Thank you again to all our amazing authors! https://www.springer.com/gp/book/9783030106225 …
#EndoPath#ENTPath#Pathology#Histologypic.twitter.com/wz4Xfe4JFQPrikaži ovu nit -
FS trick: unsure parathyroid vs. thyroid->polarize it: colloid has calcium oxylate crystals.
#Endopath#Thyroid#pathology@DrGeeONE@KayKoMD@D4L14H@ariella8@kriyer68pic.twitter.com/nC6ILwUdR0
-
Happened upon an extraordinary case with
@HeadandNeckPath Happy to finally be able to share with everyone@HeadNeckPathol#HeadandNeckpath#Endopath#BST http://rdcu.be/bXVOo pic.twitter.com/uu6idnb362
-
So excited that our book, Practical Head & Neck Pathology, is out! This is a practical quick reference for FAQs in common and challenging areas in
#ENTPath and#EndoPath. Thanks so much to all our amazing authors! http://ow.ly/6cwA50xpjYSPrikaži ovu nit -
Thyroid gland is a box of surprises. You never know what you can find: confirm or rule out
#FNAPath diagnosis and Bethesda Categories, discover entities not previously considered, tiny neoplasms... Let's start!#EndoPath#ILookLikeAPathologistpic.twitter.com/mqW09y3XvO -
Thyroid Multinodular hyperplasia:asymmetric, large, cystic and hemorrhagic with brown gelatinous colloid nodules, focal calcification. #grossgnosis#grosspathology#thyroid#endopath#entpath#pathologypic.twitter.com/an9NCh0Y7h – mjesto: Hospital Metropolitano De Santiago (HOMS)
Čini se da učitavanje traje već neko vrijeme.
Twitter je možda preopterećen ili ima kratkotrajnih poteškoća u radu. Pokušajte ponovno ili potražite dodatne informacije u odjeljku Status Twittera.