-
What is up with this FFT?? Stage has been sitting there for 10 minutes. Taking 12 second images and shift changes about 20 degrees every minute or so. Defocus also varies with images.
#electronmicroscopy#whaaatpic.twitter.com/Ilw1eNsqN2
-
Our new UV Pipette Carousel is the only pipette rack that destroys up to 99% of contamination. Check it out here: http://ow.ly/hzfc50ycrwF
#EMShasit#genetics#electronmicroscopy#histology#lightmicroscopy#neuroscience#pathology#SEM#TEM#biology#microanalysis#microscopypic.twitter.com/41xvLoR5iC
-
Using 3D Serial Block-Face Scanning Electron Microscopy to Show Glomerular Injury in IgA Nephropathy https://buff.ly/3b1LUYN
#IgAnephropathy#electronmicroscopy pic.twitter.com/fwFMEAAhS4 -
Human myelination
#Myelin#EM#ElectronMicroscopy pic.twitter.com/XkIQqpQ7tq
-
Harley Instruments will represent Spicer Consulting at APMC 2020 in Hyderabad, India from 3rd to 7th Feb. Visit them at booth A04 to find out how our magnetic field cancelling systems and SC11 site survey systems can help your
#ElectronMicroscopy research. https://www.apmc12.in/ pic.twitter.com/SIg87IU2EI
-
Who is at
#APMC12 in Hyderabad, India this week? So are we! Come find us at booth A14 and see more examples of our new AXON software in action.#electronmicroscopy#conference#india#insitu#TEMpic.twitter.com/I2U8A9fBG5
-
CUI Ops Manager Pedro getting ready for our first EM Club seminar series
@CUIKCL1#electronmicroscopy#cuicrew#EMclub@petermcshadepic.twitter.com/yJAYwZ2nta
-
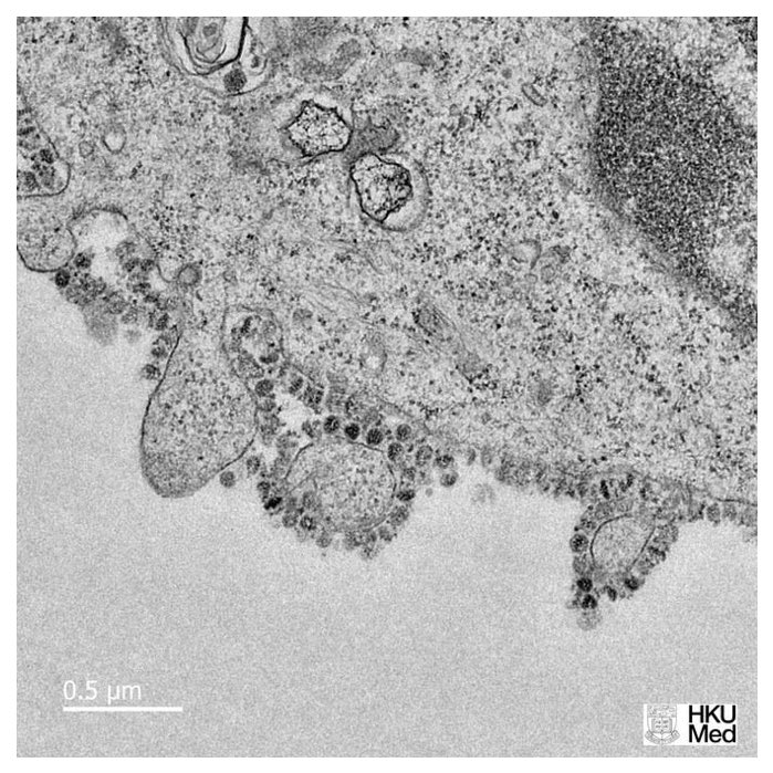
#TEM image of the 2019-nCov#coronavirus grown in cells, released by the University of Hong Kong’s Faculty of Medicine.#electronmicroscopy pic.twitter.com/1tL26cTQbm
-
A new collaboration agreement is now in place to study infectious
#diseases via electron microscopy, including the cell biology of virus-host interactions via#CryoEM. http://bit.ly/2PAaB5C@LaboratoryNews#ElectronMicroscopy@Pirbright_Instpic.twitter.com/kkprFKRaMd
-
Ayee there PCD people, look at this paper from ‘97 from human reproduction, this was a case study of a patient with KS,and the defect described is “abnormal central pair and Dynein arm lacking a hook (??)” any comments??
#PCD#fertility#publication#electronmicroscopy pic.twitter.com/uDpoGO2pP7
-
Hope to see you at AAFS 2020. Stop by to see these products: http://ow.ly/zw2250y8646
#forensics#electronmicroscopy#EMShasit#histology#lightmicroscopy#fluorescence#SEM#TEM#microanalysis#microscopy#microtomy#tradeshowpic.twitter.com/aIjy2Z6z3W
-
"Transmission Electron microscopy in liquids" at
#ElectronMicroscopy group and 8 more stimulating research projects linked with the prestigious La Caixa INPhINIT Fellowship program. Apply now! http://ow.ly/kaTN50xc6H5#laCaixafellowships Becarios "la Caixa"pic.twitter.com/9iSjfRG9e9
-
We offer three different Magnetic Field Cancelling Systems and three site survey Analysis Systems. Each system has its own merits and is suited to different customers. Find out which product best suits you: http://bit.ly/2wS2zuz
#ElectronMicroscopy#SEM#TEMpic.twitter.com/sXL5PWxwnc
-
Some microscopic things from central park.
#thing#pollen#centralpark#sciart#electronmicroscopy#microscopy#photography#interiordesign#homedecor#homestaging#nycart#nycphotography#nycartgallery… https://www.instagram.com/p/B77VABJpfk8/?igshid=emagnjwbx6p5 … -
Our Materials Applications Scientist Barnaby Levin is currently attending the Liquid Phase TEM GRC. He is happy to talk to anyone who is interested to know about how Direct Electron detectors can help with their in situ experiments.
#gordonconf#italy#electronmicroscopy -
Another Workshop is right around the corner! Check out the details here: http://ow.ly/HMR550y80Bi
#electronmicroscopy#fluorescence#histology#lightmicroscopy#SEM#specimen#TEM#workshop#EMShasit#anatomy#application#biology#microanalysis#microscopy#microtomypic.twitter.com/QmPdoZj1Z3
-
We had a great time at the Road to Greener Energy workshop at
@nuancecenter! Thank you everyone for joining us!#greenenergy#catalysis#batteries#insitu#electronmicroscopy pic.twitter.com/0jV7Za45z3 -
Electron microscopes are very complex and sensitive tools, so their optimisation can also get complicated. We have created an FAQ section to help address your most common concerns. http://bit.ly/2wGwSnX
#ElectronMicroscopy#SEM#TEMpic.twitter.com/Zgyq69tMRh
-
What is it Wednesday is back... Woohoo...get your guessing hats on and have a go. (the dirt is a big clue for Queenslanders)
#electronmicroscopy#SEM#HitachiTM4000#EMpic.twitter.com/PeiqqOgOXH
Prikaži ovu nit
Čini se da učitavanje traje već neko vrijeme.
Twitter je možda preopterećen ili ima kratkotrajnih poteškoća u radu. Pokušajte ponovno ili potražite dodatne informacije u odjeljku Status Twittera.