-
Never underestimate the subtle things n life that R intended 2 shape the way u think & respond.
#easytomiss -
Firefox displays jpgs in CMYK format IE will not -- convert jpgs to RGB for web - received images from 3rd party vendor
#easytomiss -
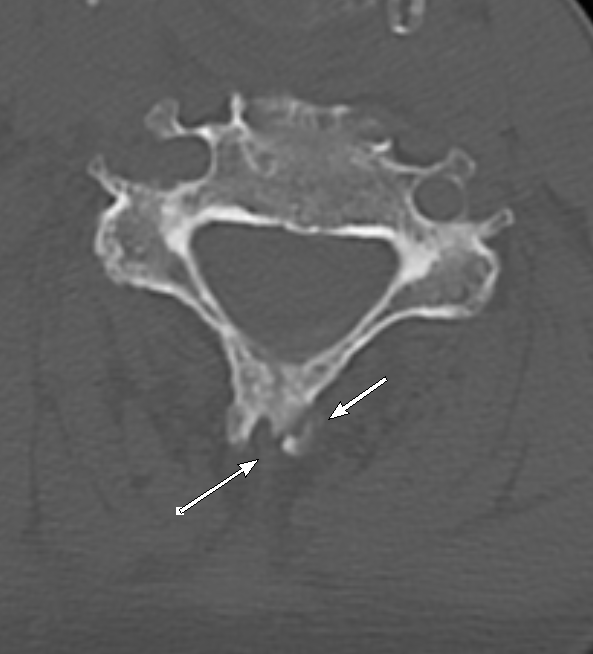
#easytomiss fracture of a bifid spinous process#spine#trauma#radiology#radres This fracture can be overlooked if you are focusing only on sagittal images#EMRad#FOAMrad#FOAMed@NASSspine https://bit.ly/32bT4VX pic.twitter.com/b0g3MRwzhf
-
Thanks to the Geo examiner who didn't mark a few pages of my project and exam xoxo
#EasyToMiss -
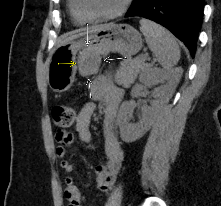
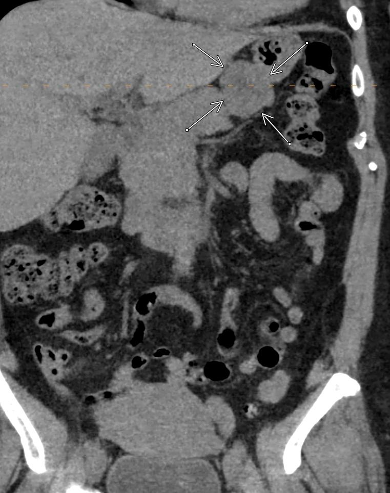
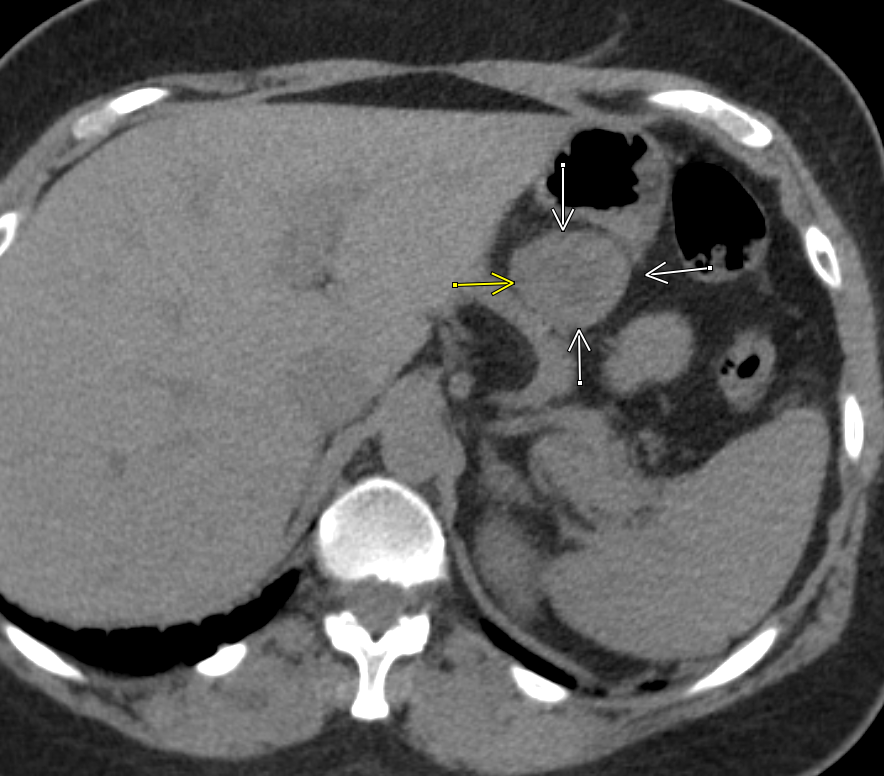
#easytomiss gastric stromal tumor on a ureter CT with no oral or intravenous contrast#radres look in all three planes before dismissing it as a bowel loop#radiology#EMRadpic.twitter.com/rwvrRbABRn
-
I am on The Tyra Show tom talking about No Pants Subway ride. Tyra calls Charlie famous. Total segment is < than 1.5 min long.
#easytomiss -
Non displaced trabecular compression fractures are
#easytomiss in osteoporotic#spine;#radres please review soft tissue window for such fractures-surrounding sclerosis due to edema/hemorrhage/compression can make them more visible#FOAMed@NASSspine https://bit.ly/37XAAdH pic.twitter.com/1oGrDA6jz6
-
#radres sometimes the finding is in the bottom corner, outside the requested area#easytomiss T4#fracture on a cervical#spine CT#FOAMed#FOAMrad#EMrad#MSKrad#Neurorad@ASER_ERad@NASSspinepic.twitter.com/zYOqyGSaFl
-
@Jeremy_Fahling I know, I get that a lot!#easytomiss -
Can we just start using
#easytomiss for all of our misses? -
@jenny_baum14 what can i say...
#easytomiss -
Reminder return your
#DBAdirectory level 1 form today. Pls pay particular attention to Level 1B where you rank your disciplines#easytomiss -
Brief nod at Mary Queen of Scots, in today's Dining section. http://nyti.ms/gsGW4N.
#easytomiss -
@dannyphilpott42@RichRoesner @livbarista she's not that special#easytomiss -
Ladies give guys slack when they don’t notice a a few inches cut from long hair My wife hasn’t noticed my obvious haircut today
#easytomiss -
I am completely losing it....just stood at a platform looking for the train and it's right there in front of me!!
#easytomiss -
The ref didn't see that shirt pull on puyol well it was about 2 yards directly in front of face
#easytomiss -
anyone know of any owl sanctuaries in new cross?
#easytomiss -
Partial anomalous pulmonary venous return on a routine PE study in ED
#easytomiss#EMrad#radres#FOAMrad Thanks@ayaz_aghayev#CVrad https://radiopaedia.org/articles/partial-anomalous-pulmonary-venous-return?lang=us …pic.twitter.com/9kJOQB22Bu
-
thanks for this
#easytomiss finding!
Čini se da učitavanje traje već neko vrijeme.
Twitter je možda preopterećen ili ima kratkotrajnih poteškoća u radu. Pokušajte ponovno ili potražite dodatne informacije u odjeljku Status Twittera.