-
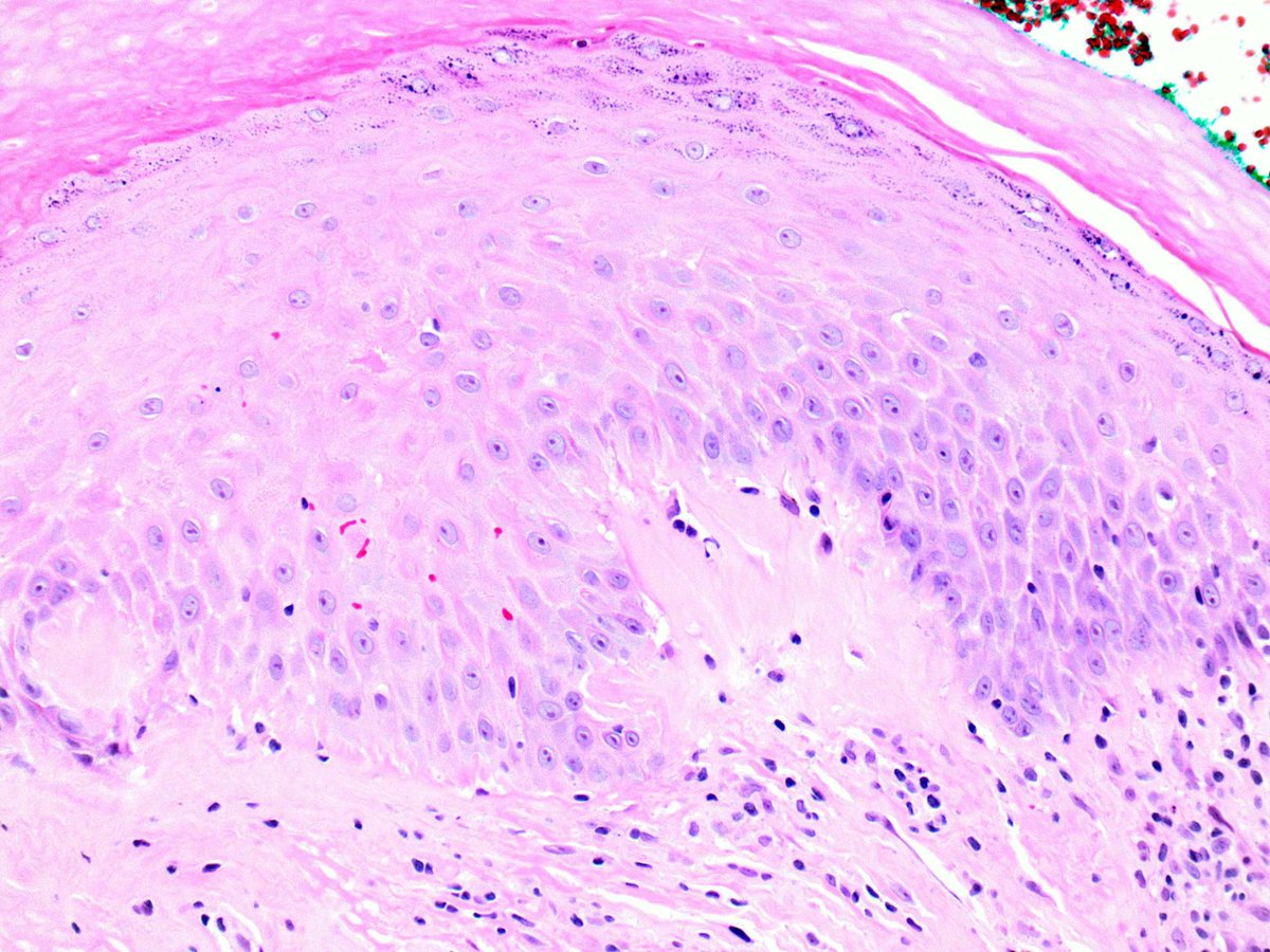
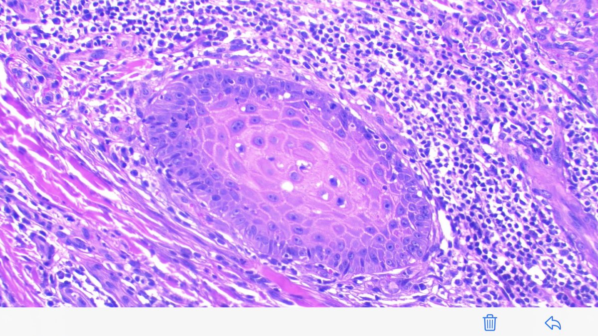
Ready for another
#dermatology quiz? What’s the dx?
: @dermnetnz
: @VandergriffMD#dermtwitter#dermpathpic.twitter.com/eySmheIdfd
-

VALENTINE'S DAY GIVEAWAY 
Win a Bioderma Lot Worth £50!
To enter RT & FOLLOW FrenchieMummy & @BiodermaFr#ValentinesDaycomp giveaway#biodermauk#dermatology http://dld.bz/hWXzr pic.twitter.com/YMRbL8MEYH
-
Pityriasis Rosea, a self limiting and non contagious disorder that is still not fully understood.
#dermtwitter#medtwitter#dermatology pic.twitter.com/y7KTpMgF6f
-
Hot off the presses
@NatureMedicine: Single-cell#RNAseq is used to guide successful targeted treatment of a patient with a rare and severe drug-induced inflammatory skin reaction#dermatology#precisionmedicine#NMEDClinicalhttps://go.nature.com/38rkglF -
#DYK ~30% of patients with psoriasis will develop PsA Join us at#MauiDerm on Monday, Jan 27 @ 6:15 AM to hear Dr Andrew Blauvelt & Dr Orrin Troum discuss preclinical indicators of PsA in patients with#psoriasis & better understand PsA risk factors#NovartisDerm#Dermatology pic.twitter.com/rDndKELJ1v
-
Feeling grateful today. For my family, for a wonderful career in
#pathology, for all of you, for I have learned as much from you as you have from me! From my scope to your eyes, some direct immunofluorescence magic.#dermpath#SilviPearls#dermatology pic.twitter.com/93YP5aedWu
-
STORIFORM COLLAGENOMA







circumscribed, unencapsulated dermal nodule with prominent clefts and bland spindled fibroblasts! #pathology#dermpath#patologia#patología#dermatopathology#dermatology#dermatologíapic.twitter.com/PK4L6YhtK2
-
This EIC really puts the "inclusion" in epidermal inclusion cyst. These are often submitted as "sebaceous cysts."
#pathology#dermpath#Dermatology pic.twitter.com/Ld0zBJIumf
-
Research Activity
@MhorRitz@ritzfc2@CicmDermatology@Ritzts6bot@Ritzts6bth_@RITZYTS6_UFO#ปริญญาโทผิวหนัง#เรียนผิวหนัง#DermatologyCICM#Dermatology#CICM#Thammasat#SkincenterDermatologyCICM#CICM#Thammasatuniversity#ผิวหนัง https://www.facebook.com/481376145363006/posts/1448933518607259/ …pic.twitter.com/B3ghLpI1Es
-
My lab is on the hunt for postdoctoral fellows interested in host/microbial biology!
#postdoctoral#lab#research#dermatology#microbiome https://www.utsouthwestern.edu/education/graduate-school/research-opportunities/postdoctoral-scholars/skin-microbiome-harris-tryon.pdf … https://www.utsouthwestern.edu/labs/harris-tryon/ … -
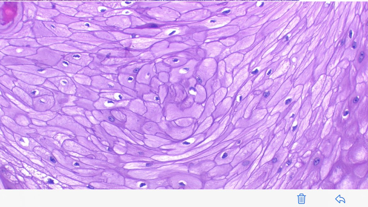
It seems like a banal SCC with keratoacanthomatous features, but it is a drug reaction pattern to treatment for metastatic melanoma with BRAF inhibitor. Take care




#dermatology#oncology#dermpath#dermatopathology#patologia#patología#pathologypic.twitter.com/ayrciZL6cL
-
#vitiligo: a review of the latest in care & research by@HarrisVitiligo MD
Full interview is here
https://youtu.be/1o4AGsg8IlE
#dermtwitter#dermatology#somedocs#dermatologia#dermocosmeticscience#skinhealthpic.twitter.com/IDDlm7AyOo -
Skin cancer can sneak up on you, even in these cold winter months, so remember to get your skin checked regularly. Schedule your appointment
@nrdermatology today.#dermatology#dermatologist#NewRiverDermatology https://buff.ly/2NM2ouM pic.twitter.com/bO1vQC5AXk
-
STOP using TOPICAL STEROIDS ( betamethasone, hydrocortisone, funbact A, skineal, Visita plus...etc) on the PENIS & VAGINA. It would just give a COSMETIC RELIEF, while WORSENING the UNDERLYING CONDITION. Pls share
#TopicalSteroids#Dermatology -
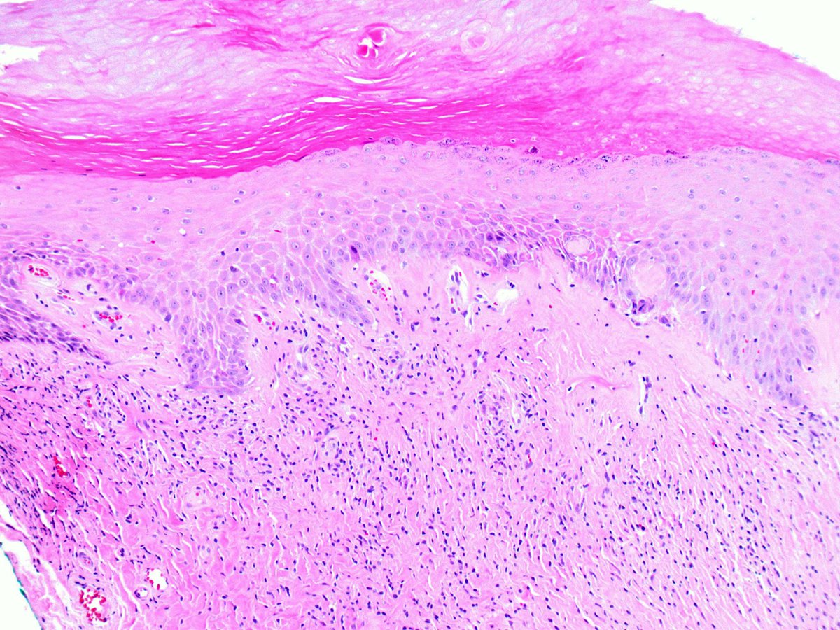
Telangiectasia macularis eruptiva perstans (TMEP): often subtle; good dilated vasculature and mast cell immunostain
#dermpath#dermatology#pathologypic.twitter.com/9TVXet5NrI
-
Male, right finger lesion. Painless unencapsulated well-circumscribed nodule. Oval to spindle cells showing perivascular concentric growth around branching thin-walled vascular structures: MYOPERICYTOMA!
#pathology#patología#dermpath#histopathology#patologia#dermatology pic.twitter.com/4ez14dt1Nh
-
Eyelid, adult, r/o BCC. Nice little trichoepithelioma! Still rare to get a biopsy of the entire lesion, at least in New York.
#dermpath#pathology#dermatology pic.twitter.com/auLpIzdbnm
-
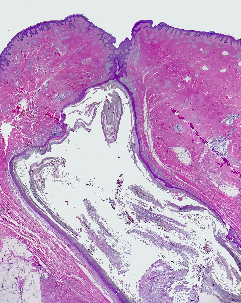
Adult, lower leg, scaly lesion - reactive perforating collagenosis. Really pleasing to look at.
#dermpath#pathology#dermatology pic.twitter.com/JFl4dKEpeT
-
This is an easy diagnosis but what histological features do these lesions have in common with psoriasis? A whole slide image posted by my colleague Nancy House and shared with her permission.
#dermpath#dermatology#pathologyhttps://kikoxp.com/posts/1446/public …Prikaži ovu nit -
Very beautiful example of two entities that coincidentally appeared in the biopsy. Always think of
#erythrasma#dermatology#dermatopathologyhttps://twitter.com/rami_alrohil/status/1124506072159543296 …
Čini se da učitavanje traje već neko vrijeme.
Twitter je možda preopterećen ili ima kratkotrajnih poteškoća u radu. Pokušajte ponovno ili potražite dodatne informacije u odjeljku Status Twittera.