-
In contrast to metastatic calcification,
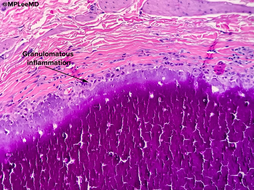
#DystrophicCalcification occurs in necrotic or injured cells, and calcium serum levels are normal.#MetastaticCalcification occurs when there is a problem with calcium metabolism. Interesting#Derm case
https://twitter.com/MPLEEMD/status/1088899583026085888?s=20 … #StepOne
Prikaži ovu nit -
TOMORROW! Clinical & scientific experts, patients, engineers &innovators will reimagine patient
#dermatology#derm care during final#HackingDermatology pitch at@CICcambridge with@mithackmed@AdvancingDerm@LEOscitech MORE: http://www.hackingdermatology.org/ -
#Acne in women: a manifestation of#hyperandrogenism . How to treat it? Read the article: https://buff.ly/2ROt2Fb#dermatology#tweetorial#medthread#MedEd#dermatologist#dermtwitter#medtwitter#derm#larocheposaypro#larocheposay#skincare#healthyskin#dermpath#pathologypic.twitter.com/VDKokg6iMr
-
So 5-day 5-night.. what do you think about wrestlemania?
#derm#doppelgangerpic.twitter.com/FaWbmhbxVi -
-
we went a little louder last night.
#derm @ Pulse Music Productions https://www.instagram.com/p/B7_FwoPgCel/?igshid=11kpnue94whxt … -
Did you know about this app using
#ArtificialIntelligence that can help detect skin#cancer?#dermatology#tweetorial#medthread#MedEd#dermatologist#dermtwitter#medtwitter#derm#larocheposaypro#larocheposay#skincare#healthyskin#dermpath#pathology#skincareroutinepic.twitter.com/la8MoyblHI -
However, as a
#derm PD, I would love to have a better gauge of an applicant's interest. If you only apply to 5 programs early, and ours is one of them, I know you mean it, and would be happy matching with us. That's huge. -
Job Alert: General Mohs Surgeon in Chicago! Come join this thriving practice who is looking for a Fellowship Trained Mohs Surgeon to go between their Norwood Park and Morton Grove offices. Learn more and apply at: https://bit.ly/2RW1sof
#dermatology#dermtologist#derm pic.twitter.com/1qJA5jLJ26
-
Give your patient a personal skin
#analysis ! Read more: https://buff.ly/2RVLM47#dermatology#tweetorial#medthread#MedEd#dermatologist#dermtwitter#medtwitter#derm#larocheposaypro#larocheposay#skincare#healthyskin#dermpath#pathology#skincareroutinepic.twitter.com/gYJKK3gkY6
-
Any good recs for a dermatologist in the East SFV area? Or the Valley in general. My face has decided to revert to being a teenager. And I need help!
#dermatology#sfv#derm -
Using corrective
#makeup and#acne. Read the article from Dr P.Deshayes: https://buff.ly/36qLxnb#dermatology#tweetorial#medthread#MedEd#dermatologist#dermtwitter#medtwitter#derm#larocheposaypro#skincare#healthyskin#dermpath#pathology#skincareroutine#microbiomepic.twitter.com/i1pFdc339v
Čini se da učitavanje traje već neko vrijeme.
Twitter je možda preopterećen ili ima kratkotrajnih poteškoća u radu. Pokušajte ponovno ili potražite dodatne informacije u odjeljku Status Twittera.