-
“Because of recent research, we have reached this incredible milestone where for the first time we not only have a chance to impact the lives of patients who will come next but actually to change the outcomes for patients who are dealing with
#chordoma today." pic.twitter.com/miSdbIC4oS -
What is
#rehabilitation and how can it help#chordoma patients? In this video from our#ExpertAnswers series, Dr. Jack Fu@MDABrainSpine explains. https://youtu.be/XvLvMP34Ci0 pic.twitter.com/ecxMWZGkKa
-
What should
#chordoma patients know about surgical options? In this#ExpertAnswers video — one of 4 new videos in the series — chordoma surgeons Dr. Laurence Rhines &@DrShaanRaza@MDABrainSpine offer their insights. https://youtu.be/SIQ61aZUxRU pic.twitter.com/5kTJ5vCpCe
-
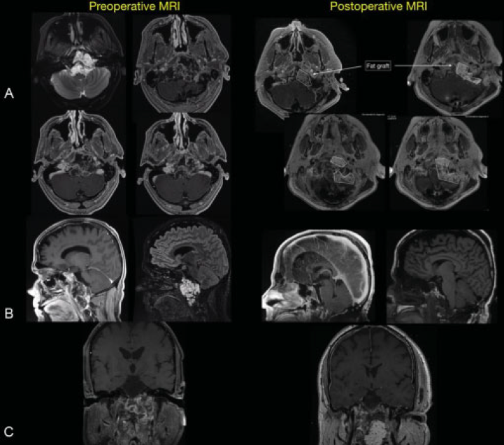
Aggressive,
#Multidisciplinary Staged#Microsurgical Resection of a Giant#Cervicomedullary Junction#Chordoma Check out the article and video links: https://youtu.be/uP9OSlKg_rE https://thieme-connect.com/products/ejournals/pdf/10.1055/s-0039-1695062.pdf?fbclid=IwAR1LgBli-STZD4R4ePdX6iN8KkhhGuaBHh438pLxUv3NOfoFX81bY5pOVXs ……@NASBSorg@uw_neurosurgery@UWHealth#skullbase#tumors#opvid#ecase#cvjpic.twitter.com/1p8lkwMqDc
-
.
@PennMedicine surgeons performed the#worldsfirst en bloc resection of a cervical#chordoma. -Watch the video http://bit.ly/2J9l4E3 -View clinical briefing http://bit.ly/2u1aV1O -Read@TheJNS article http://bit.ly/2Tvd6de#headandneck#intraoperative@pennsurgerypic.twitter.com/bomXb2YiVU -
Clival
#chordoma is one of the most challenging tumors to remove. See how endonasal endoscopy has revolutionized this surgery. https://youtu.be/Bjcpce19XQY@nyphospital@WCMCBrainSpine@ChordomaFDN@ChordomaUK@CanChordomaNet@TheJNS@NeurosurgeryCNS@WeillCornell@WCMCNeurology -
Josh Sommer was diagnosed with
#chordoma in 2006. Since then,@sommerjo has helped mobilize patients around the world and continues fighting for a cure as part of his work with@ChordomaFDN#RareAsOne#RareDiseasepic.twitter.com/2BCs0YBFwJJosh Sommer was diagnosed with chordoma in 2006. Since then, he has helped mobilize patients around the world and continues fighting for a cure -
Watch the 'Ask the Experts' panel from last month's
#ChordomaCommunity Conf. in Chicago, featuring@NeurosurgeryNM Jean-Paul Wolinsky, MD@NorthwesternMed Misty Kirby-Nolan, APN-CNP@SeanSachdevMD@vinaigondi and@UChicagoMed Deric Park, MD https://bit.ly/32iOvZX#chordoma -
Dr. Fran Hornicek from
@UCLAHealth is a global thought leader on#chordoma and#spinetumor. Great mentor, surgeon, and educator.@NASSspine http://bit.ly/2IAVKWy he will share reconstruction tips. Invaluable! Video from panel from@ChordomaFDNhttps://youtu.be/DrxJ3ujJUdQ -
Dr. Dan Sciubba is a complex spine
#neurosurgeon@HopkinsMedicine & co-chair of our@NASSspine section on#oncology.#chordoma expert & advocate for multiD care. Learn surgical pearls from a master surgeon in Chicago this week! http://bit.ly/2IAVKWy https://youtu.be/ET0LRMPtbMM -
Dr. Laurence Rhines is an outstanding educator, surgeon, and
#spinetumor expert from@MDAndersonNews@MDABrainSpine. Come join us in Chicago for@NASSspine next week to learn pearls and pitfalls of en bloc resection for#chordoma http://youtu.be/BEQWjUKphG0 http://bit.ly/2IAVKWy https://twitter.com/MDABrainSpine/status/1064543319760490496 … -
Tis the season, y'all. So much incredible progress & hope to support
@ChordomaFDN. This amazing team is relentless in its pursuit of better care, better treatments & better lives for everyone facing#chordoma#cancer, including Susan. https://bit.ly/2E7hJBx Learn how u can help -
ICYMI: Great VIDEO of Dr. Charles Lin
@bcmhouston who we are funding to lay the groundwork for discovering drugs that target#brachyury – a protein that is the key driver of#chordoma & also implicated in causing metastasis in other#cancers.https://www.youtube.com/watch?v=v6gN4_Oc_Jc … -
Neurosurgeon Jean-Paul Wolinsky, MD, explains how our specialists
@NorthwesternMed Lou & Jean Malnati Brain Tumor Institute of the Lurie Cancer Center at Northwestern Memorial Hospital treat patients with complex spinal tumors.#chordoma#cancerhttps://www.youtube.com/watch?time_continue=10&v=-NNyrxP5xCY … -
Dr. Wolinsky discusses treatments of spinal
#tumors http://ow.ly/pcLq30ieMg5 via@NorthwesternMed@YouTube#Healthcare#STEM#foamed#chordoma -
What are the most important things a
#chordoma patient should know?#Patients, doctors, &#caregivers weigh inhttp://bit.ly/2uf3g0P -
To our AMAZING
#ChordomaChampions: Thanks for everything you do! It's now easier to support#chordoma research/care http://bit.ly/2tytQyo -
Nice VIDEO from
@UPMCnews: Dr. Paul Gardner talks abt#chordoma#tumors &#endoscopic#endonasal surgeryhttp://bit.ly/1TUEAQz
Čini se da učitavanje traje već neko vrijeme.
Twitter je možda preopterećen ili ima kratkotrajnih poteškoća u radu. Pokušajte ponovno ili potražite dodatne informacije u odjeljku Status Twittera.