-
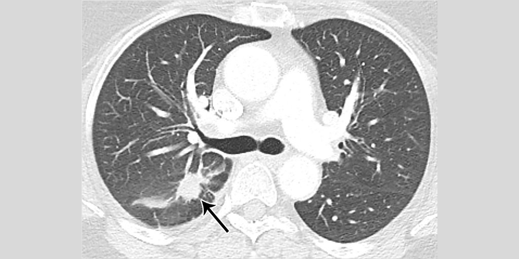
A case illustrating fibrocystic changes in pulmonary
#sarcoidosis (stage IV) progressing along the years. Note the bilateral#pneumothorax, likely sequela of subpleural bleb rupture.#radres#chestrad#FOAMrad#radiology#SupportRadiopaedia@Radiopaediahttps://radiopaedia.org/cases/sarcoidosis-fibrocystic-changes?lang=gb … -
CTEPH on
#SpectralCT, hits all the highlights. Eccentric thrombus Webs Corkscrew vessels Big PA & large hypertrophic RV Reflux on contrast into IVC & hepatic veins And, you get to see all the perfusion defects in the lungs!#radres#ChestRad pic.twitter.com/0ABMYs4Ipg -
Radiographer reporting is making headway in the US. Penn rad Dr Litt told
@MGHImaging Grand Rounds about the workforce crisis in#ChestRad and how radiology extenders there are now drafting CXR reports. This is the future (before#AI), he says, defying naysayers on Twitterpic.twitter.com/OpctNlJhqy
Prikaži ovu nit -
Post-CCT Cardiothoracic Imaging Radiology Fellow advertised on NHS jobs. Brand new opportunity to be part of our expanding department in Bath. Get in touch.
#CardsRads#CardioTwitter#YesCCT#WhyCMR#ChestRad#RadReg https://www.jobs.nhs.uk/showvac/1/2/915653995#.XSXvQJH2Qik.twitter … -
Thoracic spine MRI - dorsal pain evaluation - No discopathy
* Examine all the corners
<- always
- Aortic dissection + pleural effusion
#mskrad#radiology#radiologia#chestrad pic.twitter.com/lRVn3NpIMv
-
#Irad#ChestRad: Complications of Lung biopsy https://articl.net/resource/complications-of-lung-biopsy …pic.twitter.com/4s2Ix5eLfF
-
Not something you see every day - this
#patient has a total artificial heart. Pneumatic ventricles are quite striking to see on CT, especially as a#RadRes on call!#Radiology#ChestRad#FOAMradpic.twitter.com/kZ4BQUiGym
-
Benveniste and colleagues describe how to distinguish changes expected after radiation therapy for thoracic malignancies from complications such as infection and radiation-induced malignancy: https://bit.ly/2tWSziq
#ChestRad pic.twitter.com/eL3vkgckoI
-
Fibrosing mediastinitis may be rare and benign, but it can be life threatening. Careful assessment of imaging features helps to exclude malignancy, identify complications, and evaluate treatment response. https://bit.ly/2VQCYk1
@JBuckleyMD#ChestRad pic.twitter.com/YnzFNcNsCn
-
Hmmm A good example of the need of a radiologist
@SEICAT_RAD@marcelo97843311@rsalvadoriz@Arzanauskaite@RogueRad@radfreixomanso#ChestRad https://twitter.com/RogerAlvarezDO/status/1204988868707147776 …
-
Imágenes de
#CT de un caso de neumonía con PCR positivo para#2019nCoV Reconstrucción 3D VR muestra la distribución de las opacidades del vidrio esmerilado Hallazgos bastante inespecíficos!#radiology#coronavirus@radiology_rsna#radiología#ChestRad https://pubs.rsna.org/doi/10.1148/radiol.2020200257 …pic.twitter.com/Xrg6RU3Lhr -
This set of heart and lungs made my day today
@NWSORadiology trainees are brilliant - it is a pleasure to work with them at@LHCHFT#radres#radreg#chestrad#cvimaging#radiologypic.twitter.com/9PT0cYJ0px
-
3D VR CT reconstruction shows the distribution of the ground-glass opacities in a new case of
#coronavirus pneumonia#2019nCoV#radiology#ChestRad https://twitter.com/radiology_rsna/status/1224723108084535296 …
-
Image-guidance triggered adaptive replanning of radiation therapy for locally advanced lung cancer: an evaluation of cases requiring plan adaptation http://bit.ly/2QPKK9n
#radiology#chestrad#radoncpic.twitter.com/5intl8AyRm
-
How do lung parenchymal and tracheal CT morphology change after bariatric surgery? Copley and colleagues examined the question with functional and symptomatic correlation. http://bit.ly/36CF6Ny
@copley_sue#ChestRad pic.twitter.com/ioWnlGrilU
-
"Reduced
#LungCancer Mortality with Volume CT#Screening in a Randomized Trial"#ChestRad https://twitter.com/RogueRad/status/1222649705349419010 … -
Radiologists play a key role in the evaluation of suspected EVALI. Chest CT findings in EVALI most commonly show a pattern of diffuse lung injury with sparing of the periphery of the lungs, according to new research in
@radiology_rsna: http://bit.ly/2U757Co#Vaping#ChestRad pic.twitter.com/02UaCsplfk
-
Quantitative thin-section
#CT analysis has a growing role in the evaluation & management of diffuse#lungdiseases. Learn how quantitative tools can assist in disease characterization, severity assessment, & longitudinal monitoring. https://bit.ly/35E2fis#RadCME#ChestRad pic.twitter.com/IxkbVWIIXp
Prikaži ovu nit -
Most likely diagnosis? A. Sarcoidosis B. Pulmonary alveolar proteinosis C. Adenocarinoma in situ C. Respiratory bronchiolitis
#ChestRad#FOAMed@TanMohammedMD Answer: Pulmonary alveolar proteinosis. CT shows multifocal GGO associated with septal thickening ("crazy paving")pic.twitter.com/BYdDY2gE0h
Čini se da učitavanje traje već neko vrijeme.
Twitter je možda preopterećen ili ima kratkotrajnih poteškoća u radu. Pokušajte ponovno ili potražite dodatne informacije u odjeljku Status Twittera.