-
1/10 Welcome to my first
#pathtweetorial!
I was recently gifted a lovely section of adrenal gland, so I figured: why not use it to make a guide to the kidney's most stylish (& functional) accessory?
#pathology#endopath#meded#beautyinthebenign#onepathboardpointatatimepic.twitter.com/NqC2WrrDkw
Prikaži ovu nit -
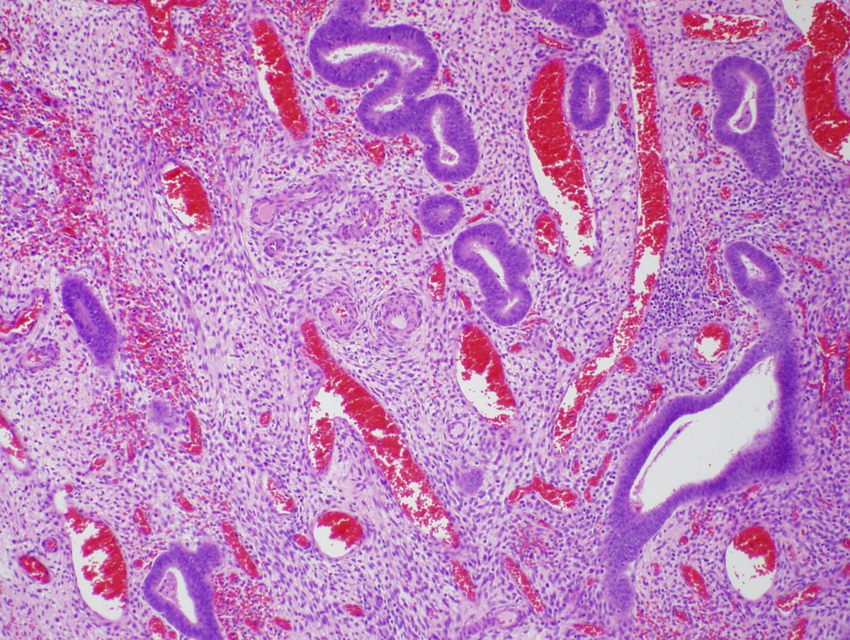
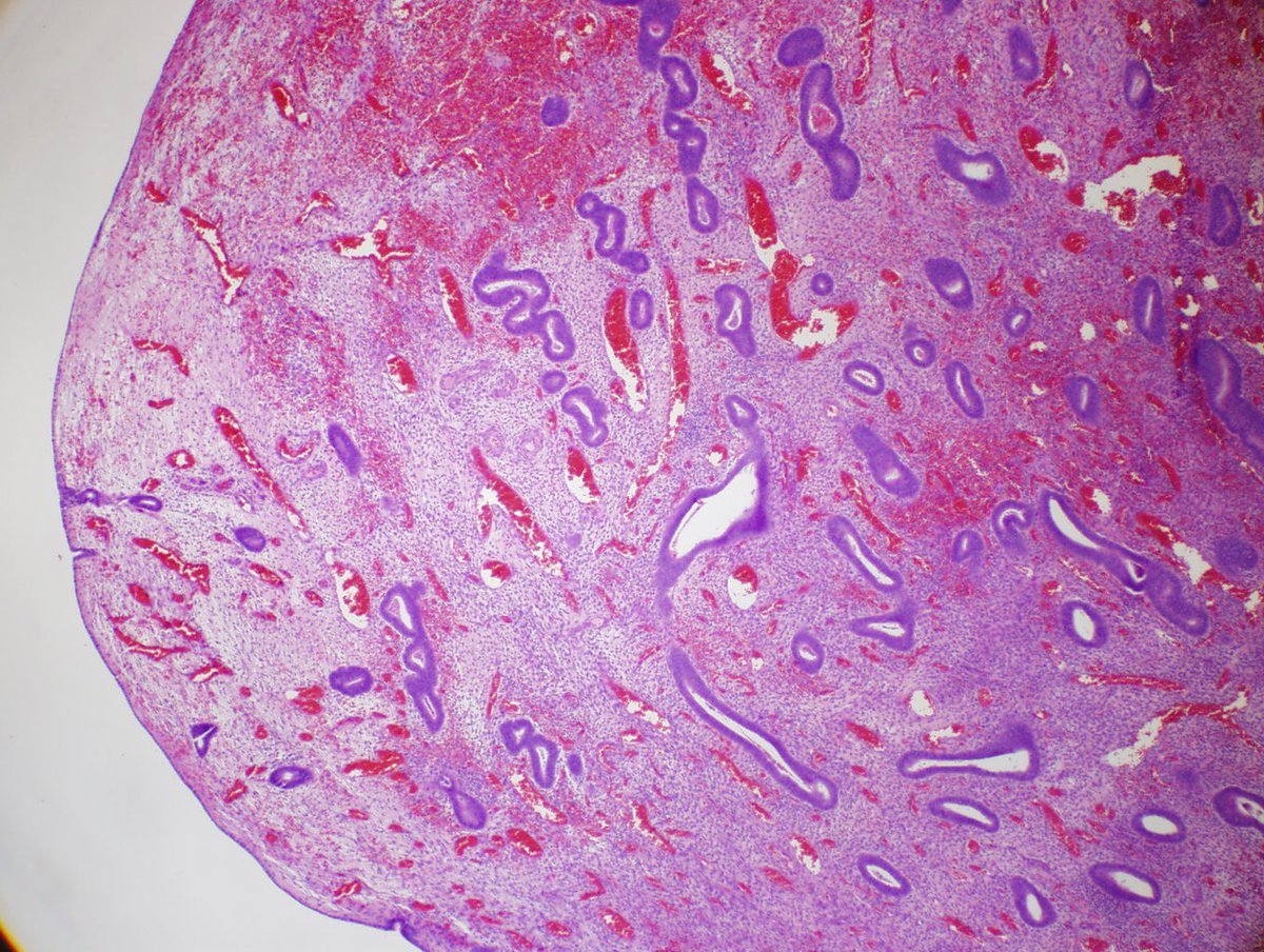
Quick dx for PGY1s-Endometrial polyp
Irregular dilated glands
Thickened blood vessels
Fibrous stroma
#Gynpath#BeautyInTheBenign pic.twitter.com/O0GqsXOAPH
-
Little ovary things I love: 1) rete ovarii (I always look for it for fun!) 2) normal ovarian stroma (I think its gorgeous)
#gynpath#beautyinthebenign pic.twitter.com/c8YhCHMmaN
-
2/3
Adnexal leiomyoma, probably arising from ovarian hilum
The tumor itself was not super exciting, heavily hyalinized (explaining the gross appearance). What’s unusual is where it arose from.
see last set
#beautyinthebenign#LPPath#gynpath @AyshaMubeen86@kriyer68pic.twitter.com/nDaX0hejTE
Prikaži ovu nit -
It's been a great morning so far, and I decided I would share a little
#BeautyInTheBenign with my internet friends. I hope everyone has a wonderful day!! pic.twitter.com/hWwQzoMJlo
-
Sclerotic fibroma --circumscribed, acellular sclerotic/collagenous nodule seated in the dermis --note the prominent clefting --is it the residua of some other, burned-out lesion??
#pathology#DermPath#BeautyInTheBenign pic.twitter.com/9RBNNgC6yH
-
Fibrous hamartoma of
A beautiful triphasic tumor
Typically in axilla as in this case
Nice recent series of 145 cases by Folpe group
#pedpath#BSTPath#BeautyInTheBenign@nusrat_xahra@kriyer68@HumanPathology@ariella8@Rami_AlRohil@iramos89 @AyshaMubeen86pic.twitter.com/eSwTQJKbg4
Prikaži ovu nit -
-
Absolutely Lorand!
#beautyinthebenign -
Pleomorphic adenoma. Fibrillary matrix in the background and intimately associated with epithelial component. Magenta on DQ and pale blue Pap. Spectacular cell block shows biphasic proliferation.
#HeadandNeckPath#ENTPath#Cytopath#BeautyInTheBenign pic.twitter.com/C5V77xQITC
-
Beautiful tingible body macrophages in a germinal center.
#Pathology#HemePath#BeautyInTheBenign pic.twitter.com/fxYFqjVUXP
-
Thank you dear Preethi for your kind reply!


I am so glad that you enjoyed the case as much as I do. I am with you #BeautyInTheBenign is the best part of#Pathology!pic.twitter.com/BlhzuaX9LG -
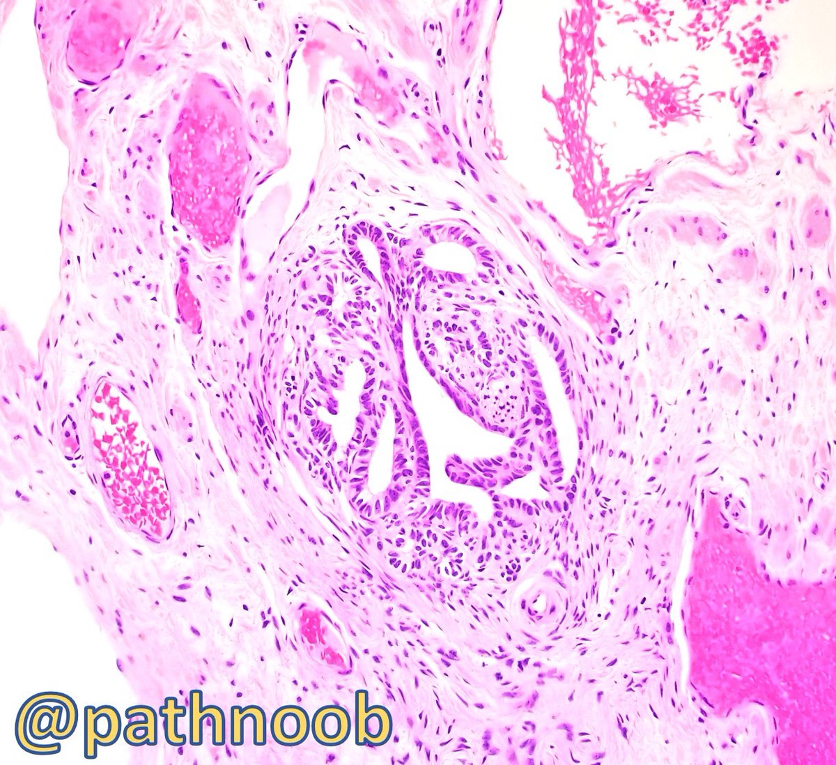
Cute incidentalomas in tumors. How often do they interest you more than the primary? Found this with uterine endometrioid carcinoma.
#GYNpath#pathology#pathologists#BeautyInTheBenign#incidentalomas@slusagar@OBGYNPATH@Pathmath1@Dramanyhassany1@AMubeen_Path@MAHoureih 1/2pic.twitter.com/XqZ5WKCVmD
Prikaži ovu nit -
Myrmecia.


One of the most beautiful histologic findings IMHO. Get lost in the keratohyaline granules!! #pathology#DermPath#BeautyInTheBenign pic.twitter.com/qRNxThVmKv
-
Beautiful muciphages!
#BeautyInTheBenign -
MobileMagz. StopandShop exit. I wonder if anyone even notices it here. One picture everyday. Day 298. . . . . .
#pictureoftheday#day298#archaicmag#stopandshopmadison#groceryshopping#fridaynightout#njcanbeboring#photooftheday#beautyinthebenign#no… https://ift.tt/339rTv0 pic.twitter.com/AhT3WoH7gm
Čini se da učitavanje traje već neko vrijeme.
Twitter je možda preopterećen ili ima kratkotrajnih poteškoća u radu. Pokušajte ponovno ili potražite dodatne informacije u odjeljku Status Twittera.

