-
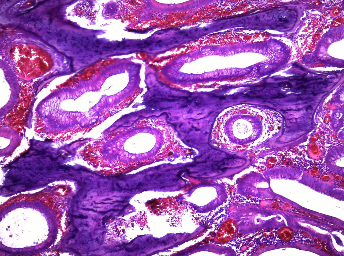
Colon Polyp = tubular adenoma with low grade dysplasia and osseous metaplasia: have you ever seen one like this?!


#polyp#adenoma#osseousmetaplasia#pathology#GIPath#patologiapic.twitter.com/q4ivJhAiQv
Prikaži ovu nit -
#DDW19 Brian Sullivan@Duke_GI_ fellow and incoming faculty presenting his work on#adenoma multiplicity, mentored by Dr Dawn Provenzale pic.twitter.com/E2F4lhfu51
-
It is the First Study
Evaluation of the Possibility to Detect Circulating Tumor DNA From Pituitary Adenoma
#liquidbiopsy#cancer#tumor#adenoma#ctdna#patients#kanserpic.twitter.com/yVIYpWUTCV
-
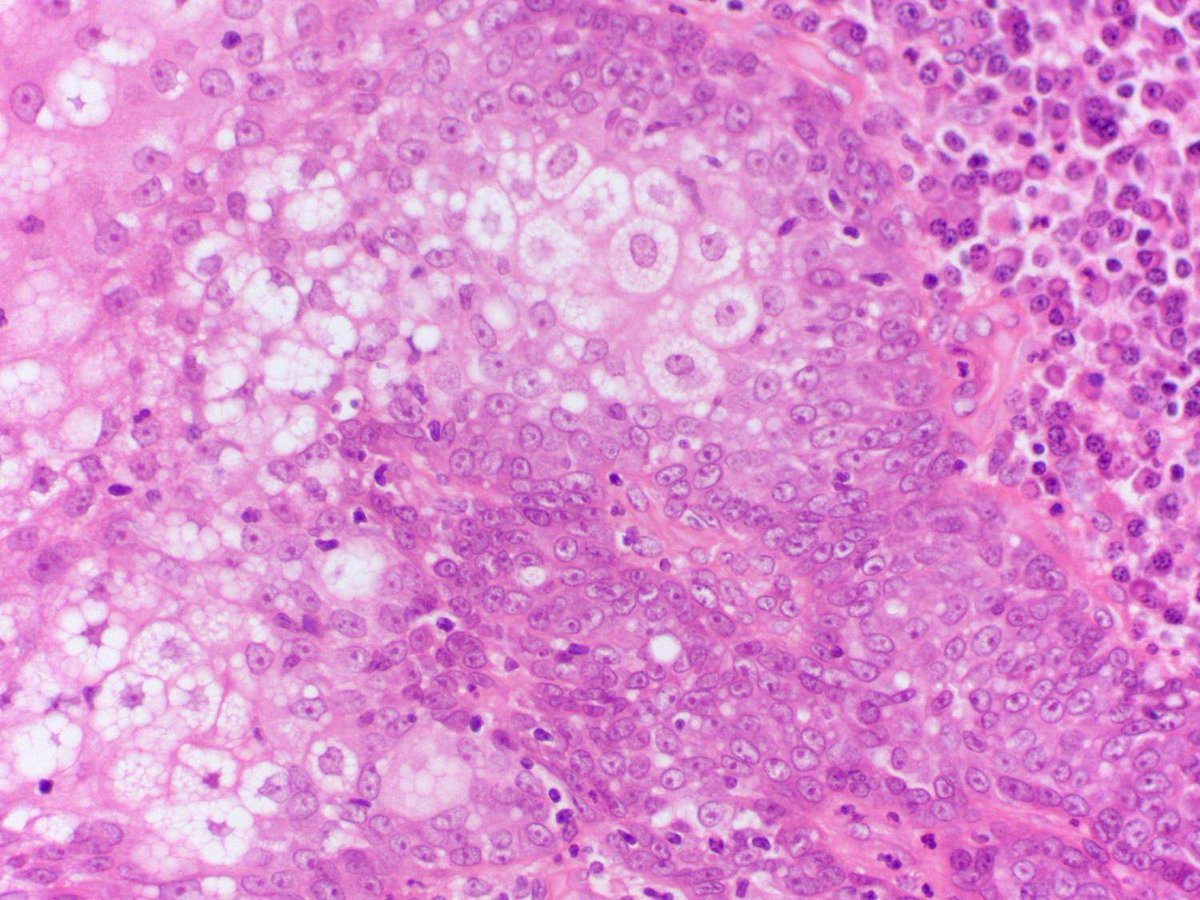
Two very different histologic patterns in the exact same pituitary adenoma.
#pathology#neuropath#pituitary#adenoma pic.twitter.com/GKO6yLBrw7
-
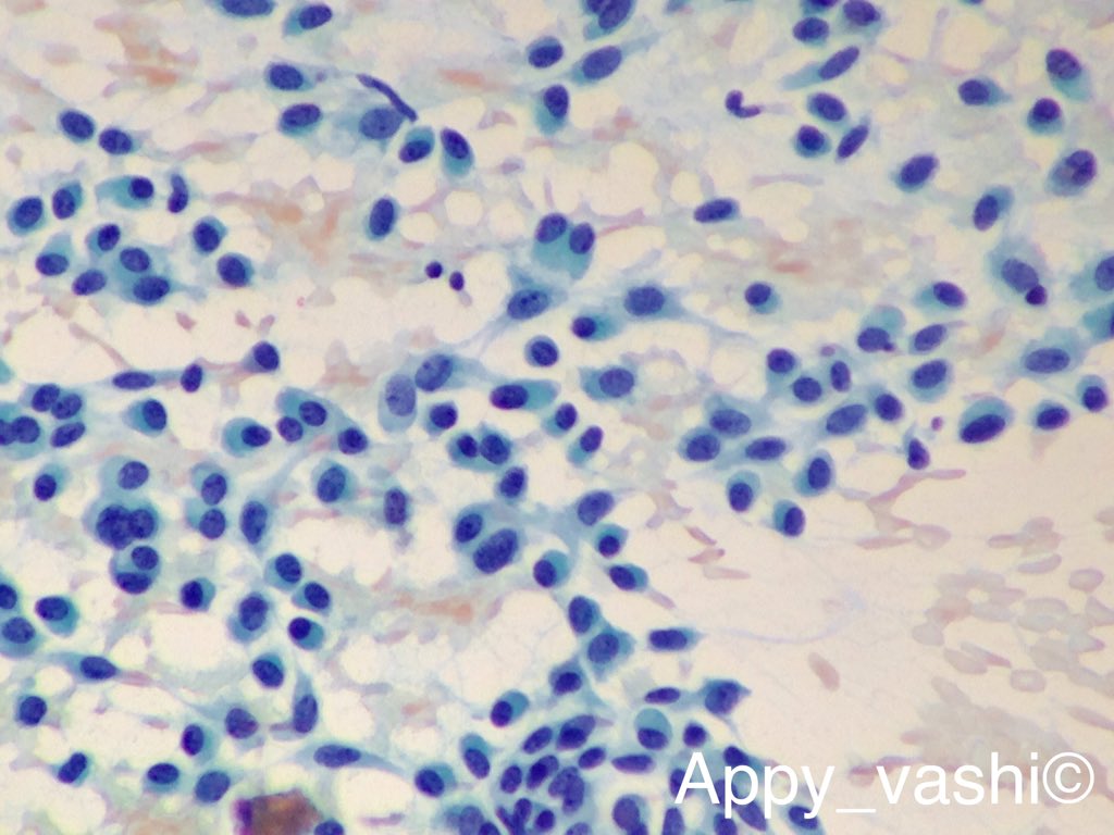
Female, 58 years old.
#Parotid#gland nodule. The Interventional#Pathologist. Doing it better!#Ultrasound guided#fna performed by#pathologist. Typical#Pleomorphic#Adenoma. Category 4.#Neoplastic - Benign#MilanSystem#HUCA_Asturias#cytopath#pathology#Cytologypic.twitter.com/Y3IE7YLapP
Prikaži ovu nit -
Dr. F. Gatto presenting importance of
#multidisciplinary#medicalexperts#endocrine#pituitary#adenoma#patientsincluded#wapo2018pic.twitter.com/y2crwKvvjP
-
47yoM w chronic fatigue, Calcium levels: 11.7mg/dL, PTH: 391.8 pg/mL (15-65)
#parathyroid#adenoma#pathologistpic.twitter.com/r2lEZycaRV
-
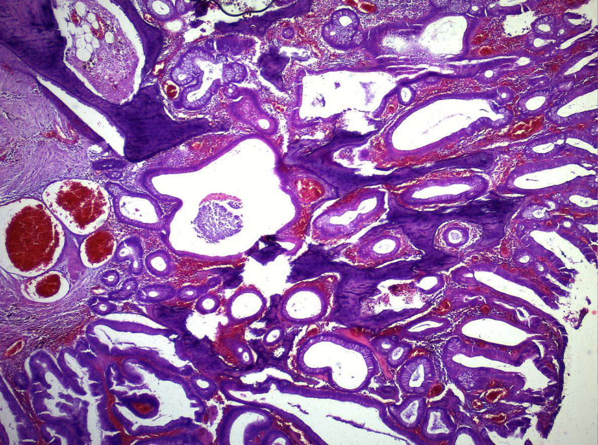
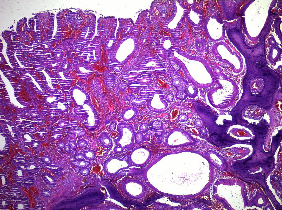
A close-up photo of the polyp details
#pathology#polyposis#colic#FAP#PAF#adenoma#carcinoma#APC#geneticpic.twitter.com/NUT4ve4Hst
-
The diagnosis is a metastatic pleomorphic
#adenoma, i.e. carcinoma ex pleomorphic adenoma. Sure does look like a#chordoma, including S100+, but brachyury isn't nuclear. FGFR1-PLAG1 fusions are found in pleomorphic adenoma, not chordomas.https://www.ncbi.nlm.nih.gov/pmc/articles/PMC4768723/ …Prikaži ovu nit -
Solitary lesion on face associated with
#Muir-Torre syndrome.#Sebaceous#Adenoma#dermpath#Histopathology#Indiapic.twitter.com/TGaYJkoJZQ
-
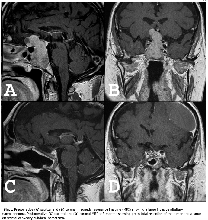
Four decades after she became blind, Pat Ward regained some of her vision when her pituitary
#adenoma was removed at@NorthwesternMed http://bit.ly/patricias-story pic.twitter.com/XpccN4dupJ
-
RT Tiny
#sebaceous#adenoma in patient with known#Muir-Torre syndrome#dermpath#pathologypic.twitter.com/SY9GiSjLOG
-
Man, 49 years old, nodule on the left arm. 1.2 cm.
#tubular#apocrine#adenoma and areas compatible with#DCIS.pic.twitter.com/VrdNR5zdQk
-
Lifetime Achievement Award winner and CGA member,
@Ahnend, contributed to this study indicating that there is no association between vitamin D and/or calcium supplementation and risk of recurrent colorectal adenoma. Check it out! https://www.ncbi.nlm.nih.gov/pubmed/30833381#MedEd#adenoma -
“I am stuck knowing there is something growing in my
#brain that should NOT be there. That sucks and is scary. I am also stuck with the#sideeffects of my new#medicine that really, I have no choice but to take”: https://buff.ly/2ILNnYq@blog_fibro#fibromyalgia#adenoma -
Dr. Kwo: AFP typically does not go up with malignant transformation of hepatic adenoma.
#Livermtg18#adenoma -
#ent#nsgy#OpVid from@AlbanyMed#neurosurgery demonstrating complications of extended#endoscopic endonasal surgery in an elderly patient#adenoma#education http://thieme-connect.com/products/ejournals/pdf/10.1055/s-0038-1625948.pdf …pic.twitter.com/lX2WWL7WzU
Čini se da učitavanje traje već neko vrijeme.
Twitter je možda preopterećen ili ima kratkotrajnih poteškoća u radu. Pokušajte ponovno ili potražite dodatne informacije u odjeljku Status Twittera.