-
Watch now how
@ikeafonso1 from Brazil treated this#thrombectomy case using the#ADAPT technique! http://ow.ly/s38K50y8N2K pic.twitter.com/I8zoIsAydd
-
Exciting to read Credit Suisse's overview on Admedus.
#ADAPT treated tissue technology "could potentially become an important part of the long-term growth of the#TAVR and#structuralheart device markets. Stay tuned." Read full comment here http://bit.ly/USMDS pic.twitter.com/CQw0CbU7Np
-
Chiropractors adjust the cause of the dis-ease instead of treating the symptom.
#getchecked#KalispellChiropractic#ADAPT#ThePlaceForFamilies#WEAreChiropractic#KIDSChiropractic#Solutions#HealthyFamilies#GonsteadChiropractic#Specific#BaslerFamilyChiropracticpic.twitter.com/NxOYLApeBL
-
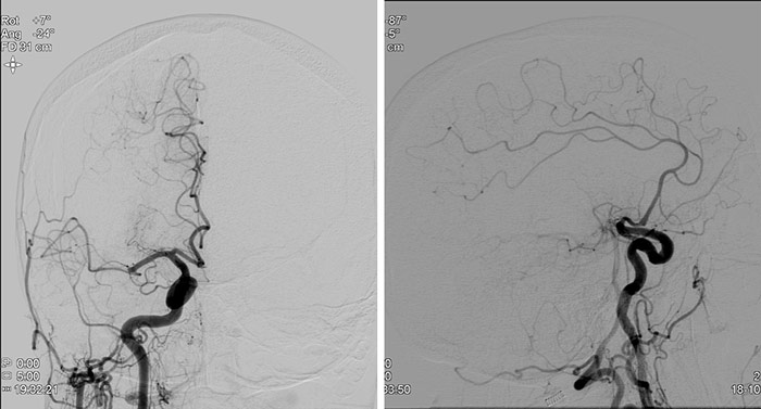
A quick case on Monday morning. Thrombus in the transition zone between M1 and M2.
#ADAPT with Sofia 5 FR.#thrombectomy@YoungNIR@LINNConline@ESOstrokepic.twitter.com/1nx2Bn3gX4
-
I really wanted to be able to knit socks again, the small needles for finger wt yarn are painful to grip after a couple of hours. I can however work with aran weight yarn without pain if I don't overdo it.
#adapt#knit#spooniepic.twitter.com/38zejsOSod
Prikaži ovu nit -
Seriously one of my favorite moments was watchin
@49ers celebrate WAAAAY TOO soon & knowing@PatrickMahomes was lurkin on the sideline
Like really guys??? Did you not see what Ma Homie just did vs @Titans &@HoustonTexans
?? This
knows how to #adapt
pic.twitter.com/G47Odzv72v -
Needing to
#adapt can be a nuisance or it can be a growth#opportunity. Luck is just an opportunity taken Get Lucky#entrepreneur101 -
$AHZ - not many sub $50 million Australian companies get to meet with Credit Suisse and then get a mention in their report. Interesting times ahead for our#SAVR and#TAVR programs.#ADAPT https://twitter.com/admedus/status/1224107598984728581 …
-
... because life doesn’t always turn out as you planned or expected for it to ...
#PlotTwist#Adapt https://twitter.com/miapolitan/status/1223808247171354624 …
-
Pick yourself up,
#adapt and#overcome#Yougotthispic.twitter.com/nWBfixX0IX
-
#OrganizationalCulture is learned, and in order to succeed, organizations need to be able to#adapt. https://www.youtube.com/watch?v=4cBN8xH-5Qw … @denisonconsulting#RCSM489 -
Facilitating a private studio booking today. Not sure of the number or ages of the children attending, so I created 3 craft stations with a variety of skill levels.
#alwaysbeprepared#adapt pic.twitter.com/UWQA6CZe6H
-
@SpeakerPelosi, Consider withdrawing your invitation to the#impeached President to address the nation he holds in such low esteem. His presence in the House will confer upon him a credibility he does not deserve. The rules have changed.#adapt -
When it is obvious that the goals cannot be reached, don't adjust the goals, adjust the action steps.
#EmbraceChange#FocusForward#Adapt#Recalibrate#MentalProsperitypic.twitter.com/vnMUeMLKY8
-
detach, and adjust. or get left behind.
#adapt -
What innovation design principles would you suggest for adaptation and resilience? e.g. Agile, collaboration, flexibility, strategic, tough, fail forward, fun, visionary, practical, ? Super grateful for Practice-based examples.
#innovation#Adapt -
#adapt#improvise “I wanted to buy a candle holder, but the store didn’t have one. So I got a cake.” - Mitch Hedberg#MitchHedberg#funny#FridayMotivationpic.twitter.com/pTHEnrWaZK
-
Volunteered to watch my friend’s daughter and then realized I have nothing except Netflix to entertain a 6 year old. Pulled out my Star Wars coloring book and crayons and that was a winner!
#improvise#adapt#overcome -
-
It got a little windy today while shooting a TV spot for
@WJCTJax's#ADAPT project pic.twitter.com/Q1iHDzYBo0
Čini se da učitavanje traje već neko vrijeme.
Twitter je možda preopterećen ili ima kratkotrajnih poteškoća u radu. Pokušajte ponovno ili potražite dodatne informacije u odjeljku Status Twittera.