-
Personen Meer...
Geverifieerd account@NHSBT NHS Blood and Transplant manages the national voluntary donation system for blood, tissues, organs and stem cells. Also
@GiveBloodNHS and@NHSOrganDonorUK • nhsbt.nhs.uk
-
Let's hear it for the program volunteers, Well Shell team, & special guests
@georgelopez &@lopezfoundation who supported@Paintedturtleca's#KidneyDisease &#Transplant session! Thanks for giving your time,#heart, soul, & funny bone to ensuring that kids had fun at#Camp!pic.twitter.com/d4UQcXShiY
-
Shaping up to be a busy
#transplant weekend! -
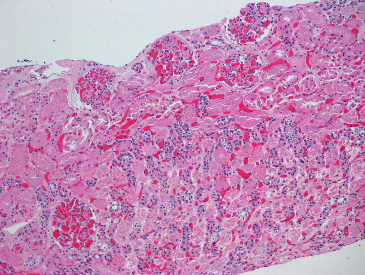
Time-zero
#transplant biopsy showing impressive congestion and tubular necrosis. Got worried so I called the transplant team. No perfusion on nuclear medicine scan. Nephrectomy showed renal vein thrombosis (parenchyma in second pic).#RenalPath pic.twitter.com/F6Jo9LUeG3
-
Ashanti has been doing great after her lung transplant! Cheer her on as she throws the first pitch at Busch Stadium for Sunday's game
@Cardinals vs. the Braves.#LetsGoCards#transplant#STL#GuardiansofChildhoodpic.twitter.com/d5iyUDB4u4
-
Friday in
#Transplant. Did someone say@WomenSurgeons@womeninsurgery?@UCSDHealth has done >100 abdominal organ transplants over the last year. The stellar team: Ana Dornich, Kristin Mekeel, Sarah Stringfield, Claire Meriwether, and Dani Carroll.#surgery#transplantationpic.twitter.com/OZjD5GtFSa
-
Kerrie shares how she will be forever grateful to the angel in the sky that saved the life of her gorgeous daughter Keeva through
#organdonation. Keeva had#cancer, chemotherapy before & after#liver#transplant & now looking forward to her 4th#birthday. https://www.facebook.com/308381019644605/posts/420037511812288/ …pic.twitter.com/n56OH4NGwV
-
Headed over to
@primarychildren to start a#transplant@UofUHealth – bij University of Utah Hospital -
Almost 115,000 people in the United States today are in need of a
#organ#transplant and about 75,000 of those on the list are actively waiting for a life-saving#donation and procedure.#DonateLife#HopeActivewearpic.twitter.com/8Hi9h4cFHQ
-
There are currently thousands of people in need of a
#kidney#transplant.In recent years, a growing number of people have offered one of their kidneys anonymously to someone. One of these was Adam who generously gave life to a total stranger.@Giveakidney https://www.facebook.com/308381019644605/posts/419612785188094/ …pic.twitter.com/eQkWSHEI44
-
Please help my campaign. With your help I could recover my sight Thanks.
#GoFundMe#gofundmecampaign#transplant#surgery#help#donate#Share#Senegal#Colombia#Japan#Poland#England#Belgium#Panama#Tunisia#GBY#WorldCup
#WorldCup2018#Russia2018http://www.gofundme.com/CornealTransplantHelp … -
Over 3,000 people are added to the
#kidney#transplant wait list each month (@nkf). RT to raise awareness.#organdonation#giftoflife#livingdonor#kidneydisease#ckdpic.twitter.com/KudIw6U5QJ
-
#Antibody mediated#rejection: do not forget the T cells!#transplant#kidney https://bit.ly/2JqLtgh pic.twitter.com/x66aDVLUuy
-
Aisha's remarkable story of survival and resilience and the medical team which worked to save her.
#cardiac#vascular#transplant@DA_Beadonor2@TrilliumGift@juglanspoa@hearthealthydoc@UHNTransplant@drbarryrubin@MaciverJ@DrPatMurphypic.twitter.com/ZNRIp9oJfS
Deze collectie tonen -
“The mass-murdering dictatorship in China is trying to whitewash the atrocities involved in its multi-billion-dollar organ-trade business- activists and lawmakers say humanity must turn up the pressure.”
#transplant#kidney https://www.thenewamerican.com/world-news/asia/item/29315-communist-chinese-organ-harvesting-draws-global-condemnation …pic.twitter.com/93XuA1Pshi
-
Faced with liver failure less than a week after birth, Baby Matilda’s life depended on a high-risk liver
#transplant. For mom, Kelly Smith, it was the longest journey of her life. Read Matilda’s#PatientStory: http://fal.cn/yFaM#AspenIdeas#TheFutureYoupic.twitter.com/3o0PblSrmJ -
It’s 19 years ago today that I became
#livingdonor & gave away my spare kidney Only mention this as it made no difference to me but massive difference to my daughter Always advocate@NHSOrganDonor@AJClarksonNHS@KatyPortell#kidneyfailure#Transplant -
If you need proof of what a transplant can do for people, check out this lot!
#amazing#transplant#improvingliveshttps://twitter.com/ottilieq/status/1009030164477612032 …
-
Patient and graft survival in
#hepatitisC positive#liver and#kidney#transplant recipients improved after introducing direct acting antiviral meds, but the expense of the meds limit access.@KristaLentine@SLUHealthNews http://ow.ly/vF7N30kDLMy pic.twitter.com/PCIlOoWAe6
-
Without #heparin donations of bone marrow wouldn't#transplant to#patients. Dr Ramon Salinas@donarsang has the numbers
http://ow.ly/JZrm30kEwhj pic.twitter.com/pFlkh0OVv1 -
This afternoon we had a joint teaching with our colleagues in the
@liveliverdonor team on managing the post operative liver transplant patient!#TuesdayTeachings#transplant
pic.twitter.com/GjRaWMNhb0
Het laden lijkt wat langer te duren.
Twitter is mogelijk overbelast of ondervindt een tijdelijke onderbreking. Probeer het opnieuw of bekijk de Twitter-status voor meer informatie.
