-
The first paper from our lab is out https://www.pnas.org/content/early/2020/01/16/1915047117 … We started with a simple question- are developing lymphocytes in the thymus of a neonate influenced by intestinal microbial colonization state (in mice)?
#microbiome#newPI#immunity#EarlyLife#Thymus#antibioticsPrikaži ovu nit -
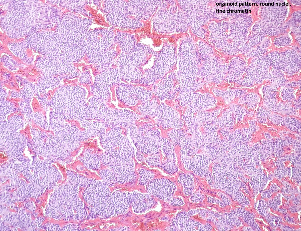
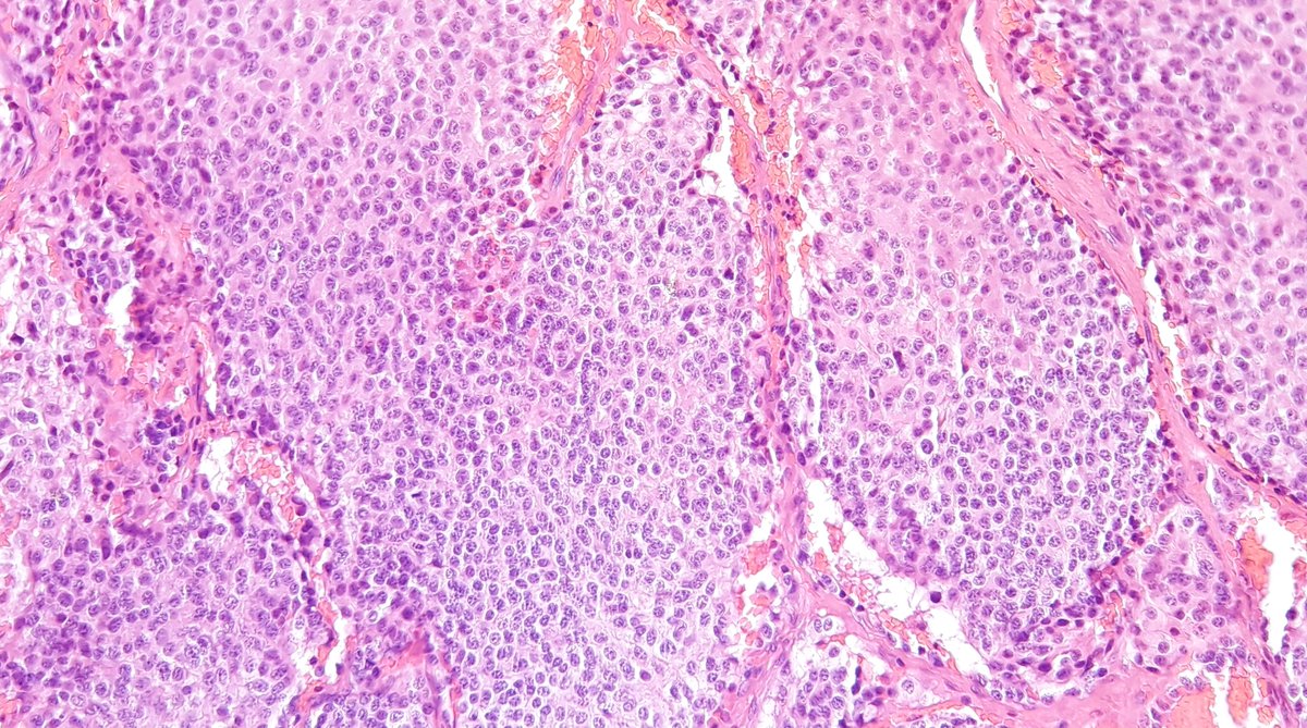
Here a unusual thymic tumor : atypical carcinoid !
#pathology#thymus#pulmpath Organoid clusters of cells with round nuclei and fine chromatin. Synapto+. Atypical carcinoid because more than 2 mitoses/mm2 and some foci of necrosis. pic.twitter.com/xHIsZDQgBj
-
#Thymus praecox (#Lamiaceae) or wild#thyme is a little cushions forming subshrub. Here it’s growing growing in the rock crevices at#Lingmoor Fell,#LakeDistrict National Park.#wildflowerhourpic.twitter.com/Pve81RX89q
-
I am always amazed at how heartfelt congratulations are shared and communicated
@WEHI_Research. A poem celebrating Jacques Miller from Ian Wicks! Poetic praise for an award well won https://cosmosmagazine.com/society/poetic-praise-for-an-award-well-won?utm_content=bufferfef8b …#science#thymus -
"First hint that body’s ‘biological age’ can be reversed (by a cocktail of drugs)"
#growthhormone ->#regeneration of#thymus thymus -> T-cells T-cells -> against#cancer#infection https://www.nature.com/articles/d41586-019-02638-w … Now,#sleep->#growthhormone#AMsunlight->better sleep Get#AMsunlight! -
Very nice resource from Biagio in our lab
@IMMolecular! A must read if you work with#thymus and#gdTcells.https://twitter.com/forum_gd/status/1147451204462686209 … -
#IACtutorial in London. Dr@sza_jhcyto showed us a very interesting CASTLE case#thyroid#carcinoma#thymus-like pic.twitter.com/7lCBGZ1P4R
-
True
#JEMLegacy as Parrot et al lay the foundations for unraveling the role of the#thymus in T cell differentiation specifically
https://twitter.com/Gaia_JExpMed/status/1179104700945313798 …
-
Our first expert presenter of the day -- thanks so much to Daniel Gray for an inspiring talk on thymic T-cell differentiation at
#ASIAdvImmSchool! Great to see so much audience engagement and participation.@ASImmunology#immunity#thymus#tcellpic.twitter.com/kN7tP3J82F
Prikaži ovu nit -
Comparison of mice with or without Tregs suggests that one third of CD4+ T cells are potentially autoreactive |
#autoimmunity#thymus#Treg | Anna Cebula & Leszek Ignatowicz@GSUIBMS | Nature Communications@NatureComms https://go.nature.com/2BHxGvN pic.twitter.com/zRQpL1z0hI
-
What features of
#TCR determine#MHC-restricted T cell selection in the#thymus? https://www.nature.com/articles/s41467-019-08906-7 …#MHC#immunesystem#immune#Bioinformatics#data#DataScience#immunology -
Want to live
#forever then regrow your#thymus https://onlinelibrary.wiley.com/doi/full/10.1111/acel.13028 … -
Watching the new series of
@MasterChefUK the Professionals and once again they’re cooking#sweetbreads@VauxEmma@DacreJane#thymus pic.twitter.com/8kZSIVULpD
-
Our immune systems change a bit as we get older... learn more here! http://info4pi.org/library/educational-materials/educational-books#term327 …
#JMF#info4pi#PrimaryImmunodeficiency#immunesystem#tonsils#lymphnodes#blood#liver#bonemarrow#thymus#spleen#immunology#immunehealth#immunesystemsupport#immunefunction -
Great Ormond Street Hospital in
#London@GreatOrmondSt is one of only 2 centers in the world to offer#thymus#transplantation. Love this feature on patient Daniel!#primaryimmunodeficiencyhttps://twitter.com/GOSH_intl/status/1140562815259987970 …
-
It couldn't have been a better day: Great feedback for both
@KruegerLab talks at#ThymE2019@WeizmannScience. Execellent presentation by Heike, our PhD student. Floating in the Dead Sea. And finally a positive funding decision for a major grant.#Thymus#tcells -
Assiut VATS workshop 2019
#assiutvats2019#egypt#thoracic#thymus#uniportal#vats#lecture#assiut#ests endorsed coursepic.twitter.com/MXCpRh1jBH
-
Central
#Tcell tolerance | Deletion versus regulatory T cell differentiation |#Autoimmunity#Thymus | Model of limited developmental niches for antigen-specific#Treg cells | Review Ludger Klein@LMU_Muenchen Ellen Robey, Chyi-Song Hsieh,@NatRevImmunol https://buff.ly/2RKIKCR pic.twitter.com/ISybmoe3vv
Čini se da učitavanje traje već neko vrijeme.
Twitter je možda preopterećen ili ima kratkotrajnih poteškoća u radu. Pokušajte ponovno ili potražite dodatne informacije u odjeljku Status Twittera.
